TPT1/TCTP Antibody (JU13-32)

Images

 
Western Blot: TPT1/TCTP Antibody (JU13-32) [NBP2-75686] - Analysis of TCTP on different lysates using anti-TCTP antibody at 1/1,000 dilution.Positive control:Lane 1: Mouse placenta tissue Lane 2: Mouse testis ...read more
Immunocytochemistry/ Immunofluorescence: TPT1/TCTP Antibody (JU13-32) [NBP2-75686] - Staining TCTP in SH-SY5Y cells (green). The nuclear counter stain is DAPI (blue). Cells were fixed in paraformaldehyde, permeabilised ...read more
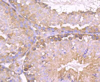
Immunohistochemistry-Paraffin: TPT1/TCTP Antibody (JU13-32) [NBP2-75686] - Analysis of paraffin-embedded mouse testis tissue using anti-TCTP antibody. Counter stained with hematoxylin.
Flow Cytometry: TPT1/TCTP Antibody (JU13-32) [NBP2-75686] - Analysis of THP-1 cells with TCTP antibody at 1/100 dilution (red) compared with an unlabelled control (cells without incubation with primary antibody; black). ...read more
Immunocytochemistry/ Immunofluorescence: TPT1/TCTP Antibody (JU13-32) [NBP2-75686] - Staining TCTP in A431 cells (green). The nuclear counter stain is DAPI (blue). Cells were fixed in paraformaldehyde, permeabilised ...read more
Immunocytochemistry/ Immunofluorescence: TPT1/TCTP Antibody (JU13-32) [NBP2-75686] - Staining TCTP in LOVO cells (green). The nuclear counter stain is DAPI (blue). Cells were fixed in paraformaldehyde, permeabilised ...read more
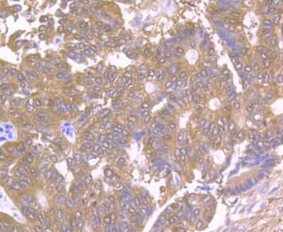
Immunohistochemistry-Paraffin: TPT1/TCTP Antibody (JU13-32) [NBP2-75686] - Analysis of paraffin-embedded human colon cancer tissue using anti-TCTP antibody. Counter stained with hematoxylin.

Product Details

Summary
Product Discontinued
View other related TPT1/TCTP Primary Antibodies

Order Details


    • Catalog Number
      NBP2-75686
    • Availability
      Product Discontinued

    Can't find what you are looking for? Use our Antibody Concierge Service & we will help you locate your antibody!

    Or feel free to contact us for alternative products.

TPT1/TCTP Antibody (JU13-32) Summary

Additional Information
Recombinant Monoclonal Antibody.
Immunogen
Synthetic peptide within Human TPT1/TCTP aa 35-84 / 172. (SwissProt: P13693 Human; SwissProt: P63028 Mouse; SwissProt: P63029 Rat)
Localization
Cytoplasm.
Isotype
IgG
Clonality
Monoclonal
Host
Rabbit
Gene
TPT1
Purity
Protein A purified
Innovator's Reward
Test in a species/application not listed above to receive a full credit towards a future purchase.

Applications/Dilutions

Dilutions
  • Flow Cytometry 1:50-1:100
  • Immunocytochemistry/ Immunofluorescence 1:50-1:200
  • Immunohistochemistry
  • Immunohistochemistry-Paraffin 1:50-1:200
  • Immunoprecipitation
  • Western Blot 1:500-1:2000
Theoretical MW
20 kDa.
Disclaimer note: The observed molecular weight of the protein may vary from the listed predicted molecular weight due to post translational modifications, post translation cleavages, relative charges, and other experimental factors.

Packaging, Storage & Formulations

Storage
Store at 4C short term. Aliquot and store at -20C long term. Avoid freeze-thaw cycles.
Buffer
TBS (pH7.4), 0.05% BSA, 40% Glycerol
Preservative
0.05% Sodium Azide
Concentration
1 mg/ml
Purity
Protein A purified

Alternate Names for TPT1/TCTP Antibody (JU13-32)

  • FLJ27337
  • Fortilin
  • Histamine-releasing factor
  • HRF
  • p02
  • p23
  • TCTP
  • TCTPHRFfortilin
  • TPT1
  • translationally-controlled tumor protein
  • tumor protein, translationally-controlled 1

Background

Histamine is an inflammatory mediator that is ubiquitously expressed and has a broad range of pharmacologic effects. Specifically, it plays a role in the central nervous, gastrointestinal, respiratory and immune systems. Histamine release is mediated by the stimulation of mast cells and basophils. Histamine-releasing factor (HRF) is a cytokine-like molecule that causes the release of histamine, IL-4 and IL-13 from basophils as well as the secretion of IL-8 and a calcium response in eosinophils. HRF belongs to the translationally controlled tumor protein (TCTP) family and is detected as a protein of 21 kDa in mice and 23 kDa in human. It is expressed in several healthy and tumoral cells, including erythrocytes, hepatocytes, macrophages, platelets, keratinocytes, erythroleukemia cells, gliomas, melanomas, hepatoblastomas and lymphomas, and it is localized in the cytoplasm. HRF plays a pivotal role in allergic diseases, and due to its wide distribution in brain, is thought to be involved in neurodegenerative disorders, such as Alzheimer's disease and Down Syndrome.

Limitations

This product is for research use only and is not approved for use in humans or in clinical diagnosis. Primary Antibodies are guaranteed for 1 year from date of receipt.

Customers Who Viewed This Item Also Viewed...

NB120-2928
Species: Hu, Mu, Pm, Rb, Rt, Sh
Applications: ICC/IF, IHC,  IHC-P, IP, WB
NB110-61646
Species: Hu, Mu
Applications: ICC/IF, IHC,  IHC-P, IP, WB
AF4210
Species: Hu
Applications: IHC, Simple Western, WB
H00010963-M01
Species: Hu, Mu
Applications: ELISA, ICC/IF, IHC,  IHC-P, IP, S-ELISA, WB
NBP2-46157
Species: Hu
Applications: Flow, IHC,  IHC-P, WB
NBP1-81696
Species: Hu, Mu, Rt
Applications: ICC/IF, IHC,  IHC-P, WB
NBP2-29463
Species: Pm, Hu, Pm, Mu
Applications: Flow, ICC/IF, IHC,  IHC-P, WB
NBP1-33736
Species: Hu, Mu, Rt
Applications: ICC/IF, IHC,  IHC-P, IP, WB
NBP2-46085
Species: Hu
Applications: IHC,  IHC-P, WB
H00027065-M01
Species: Hu, Rt
Applications: ELISA, ICC/IF, S-ELISA, WB
NBP2-47427
Species: Ca, Hu
Applications: ICC/IF, IHC,  IHC-P, WB
NB300-731
Species: Gp, Hu, Mu, Rb, Rt, Sh, Ye
Applications: B/N, ChIP, Flow, GS, ICC/IF, IHC,  IHC-P, IP, WB
NB200-106
Species: Mu, Rt
Applications: ELISA, ICC/IF, IHC, IHC-Fr,  IHC-P, WB
NBP2-34031
Species: Hu
Applications: ICC/IF, IHC,  IHC-P, WB
NB300-576
Species: Ch, Gp, Hu, Mu, Pm, Rb, Rt, Xp
Applications: Flow, ICC/IF, IHC,  IHC-P, IP, WB
NB110-96874
Species: Ca, Ha, Hu, Mu, Rt
Applications: ICC/IF, IHC,  IHC-P, IP, WB
NBP1-97503
Species: Bv, Ca, Ch, Gp, Ha, Hu, Mu, Md, Po, Pm, Rb, Rt, Sh, Xp
Applications: IHC,  IHC-P, IP, WB
AF2377
Species: Mu
Applications: IHC, Simple Western, WB
NBP1-92025
Species: Hu, Mu, Rt
Applications: ICC/IF, IHC,  IHC-P, WB
NBP2-75686
Species: Hu, Mu, Rt
Applications: WB, Flow, ICC/IF, IHC, IP

Publications for TPT1/TCTP Antibody (NBP2-75686) (0)

There are no publications for TPT1/TCTP Antibody (NBP2-75686).
By submitting your publication information earn gift cards and discounts for future purchases.

Reviews for TPT1/TCTP Antibody (NBP2-75686) (0)

There are no reviews for TPT1/TCTP Antibody (NBP2-75686). By submitting a review you will receive an Amazon e-Gift Card or Novus Product Discount.
  • Review with no image -- $10/€7/£6/$10 CAD/¥70 Yuan/¥1110 Yen
  • Review with an image -- $25/€18/£15/$25 CAD/¥150 Yuan/¥2500 Yen

Product General Protocols

Video Protocols

WB Video Protocol
ICC/IF Video Protocol

FAQs for TPT1/TCTP Antibody (NBP2-75686) (0)

There are no specific FAQs related to this product. Read our general customer & technical service FAQs.

Secondary Antibodies

 

Isotype Controls

Additional TPT1/TCTP Products

Research Areas for TPT1/TCTP Antibody (NBP2-75686)

Find related products by research area.

Blogs on TPT1/TCTP

There are no specific blogs for TPT1/TCTP, but you can read our latest blog posts.

Contact Information

Product PDFs

Calculators

Concentration Calculator

The concentration calculator allows you to quickly calculate the volume, mass or concentration of your vial. Simply enter your mass, volume, or concentration values for your reagent and the calculator will determine the rest.

=
÷

Review this Product

Be the first to review our TPT1/TCTP Antibody (JU13-32) and receive a gift card or discount.

Bioinformatics

Gene Symbol TPT1