TORC2 Antibody (5B10)

Images

 
Western Blot: TORC2 Antibody (5B10) [NBP1-51665] - Western blot analysis using CRTC2 mouse mAb against Hela (1) and HEK293 (2) cell lysate.
Immunocytochemistry/ Immunofluorescence: TORC2 Antibody (5B10) [NBP1-51665] - Immunofluorescence analysis of Hela cells using CRTC2 mouse mAb (green). Blue: DRAQ5 fluorescent DNA dye. Red: Actin filaments have been ...read more
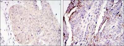
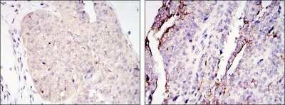
Immunohistochemistry-Paraffin: TORC2 Antibody (5B10) [NBP1-51665] - Immunohistochemical analysis of paraffin-embedded ovary tumour tissues (left) and lung cancer (right) using CRTC2 mouse mAb with DAB staining.
Flow Cytometry: TORC2 Antibody (5B10) [NBP1-51665] - Flow cytometric analysis of Hela cells using CRTC2 mouse mAb (green) and negative control (purple).

Product Details

Summary
Product Discontinued
View other related TORC2 Primary Antibodies

Order Details


    • Catalog Number
      NBP1-51665
    • Availability
      Product Discontinued

    Can't find what you are looking for? Use our Antibody Concierge Service & we will help you locate your antibody!

    Or feel free to contact us for alternative products.

TORC2 Antibody (5B10) Summary

Immunogen
Purified recombinant fragment of human CRTC2 expressed in E. Coli.
Isotype
IgG1
Clonality
Monoclonal
Host
Mouse
Gene
CRTC2
Purity
Unpurified
Innovator's Reward
Test in a species/application not listed above to receive a full credit towards a future purchase.

Applications/Dilutions

Dilutions
  • ELISA 1:10000
  • Flow Cytometry
  • Immunocytochemistry/ Immunofluorescence 1:200-1:1000
  • Immunohistochemistry 1:10-1:500
  • Immunohistochemistry-Paraffin 1:200-1:1000
  • Western Blot 1:500-1:2000
Theoretical MW
80 kDa.
Disclaimer note: The observed molecular weight of the protein may vary from the listed predicted molecular weight due to post translational modifications, post translation cleavages, relative charges, and other experimental factors.

Reactivity Notes

Human, Primate

Packaging, Storage & Formulations

Storage
Store at 4C short term. Aliquot and store at -20C long term. Avoid freeze-thaw cycles.
Buffer
Ascites
Preservative
0.03% Sodium Azide
Purity
Unpurified

Alternate Names for TORC2 Antibody (5B10)

  • CREB regulated transcription coactivator 2
  • CREB-regulated transcription coactivator 2
  • CRTC2
  • TORC2
  • TORC-2
  • TORC2transducer of regulated cAMP response element-binding protein (CREB) 2
  • Transducer of CREB protein 2
  • Transducer of regulated cAMP response element-binding protein 2

Background

TORC2 (transducer of regulated CREB activity 2) is part of a family of CREB (cAMP response element-binding protein) coactivators that also includes TORC1 and TORC3. These proteins function to activate CREB-dependent transcription in response to cAMP and calcium signaling pathways. TORC2 has been found to be pivotal to the process of gluconeogenesis. TORC2 is also known as CREB regulated transcription activator 2, and CRTC2.

Limitations

This product is for research use only and is not approved for use in humans or in clinical diagnosis. Primary Antibodies are guaranteed for 1 year from date of receipt.

Customers Who Viewed This Item Also Viewed...

NB600-607
Species: Hu, Rt
Applications: ELISA, IHC,  IHC-P, WB
AF887
Species: Hu, Mu, Rt
Applications: CyTOF-ready, IHC, ICFlow, Simple Western, WB
NBP1-89865
Species: Hu, Mu, Rt
Applications: ICC/IF, IHC,  IHC-P, WB
DYC2510-2
Species: Hu, Mu, Rt
Applications: ELISA
NBP1-51645
Species: Hu, Mu, Pm
Applications: ELISA, Flow, ICC/IF, IHC,  IHC-P, WB
NBP2-24503
Species: Hu, Mu
Applications: ICC/IF, IHC,  IHC-P, IP, WB
NBP2-24837
Species: Hu, Mu
Applications: ICC/IF, IHC,  IHC-P, WB
NBP2-19804
Species: Hu, Mu
Applications: ICC/IF, IHC,  IHC-P, WB
NBP2-15071
Species: Hu, Mu, Rt
Applications: ICC/IF, IHC,  IHC-P, KO, WB
NBP2-46404
Species: Hu, Mu, Rt
Applications: IHC,  IHC-P
MAB1417
Species: Bv, Hu, Mu
Applications: ICC, IHC
NB110-40424
Species: Hu
Applications: IHC,  IHC-P, IP, WB
MAB6210
Species: Hu
Applications: Simple Western, WB
AF2850
Species: Hu, Mu, Rt
Applications: ICC, IHC, Simple Western, WB
NB200-157
Species: Hu
Applications: IHC,  IHC-P, KO, WB
NBP2-22127
Species: Hu, Mu, Pm, Rt
Applications: ELISA, Flow, ICC/IF, IHC,  IHC-P, Simple Western, WB
AF2854
Species: Hu, Mu, Rt
Applications: IHC, WB
NB600-1049
Species: Hu, Mu, Rt
Applications: ICC/IF, IHC,  IHC-P, WB
NBP1-51665
Species: Hu, Pm
Applications: WB, ELISA, Flow, ICC/IF, IHC

Publications for TORC2 Antibody (NBP1-51665) (0)

There are no publications for TORC2 Antibody (NBP1-51665).
By submitting your publication information earn gift cards and discounts for future purchases.

Reviews for TORC2 Antibody (NBP1-51665) (0)

There are no reviews for TORC2 Antibody (NBP1-51665). By submitting a review you will receive an Amazon e-Gift Card or Novus Product Discount.
  • Review with no image -- $10/€7/£6/$10 CAD/¥70 Yuan/¥1110 Yen
  • Review with an image -- $25/€18/£15/$25 CAD/¥150 Yuan/¥2500 Yen

Product General Protocols

Find general support by application which include: protocols, troubleshooting, illustrated assays, videos and webinars.

Video Protocols

WB Video Protocol
ICC/IF Video Protocol

FAQs for TORC2 Antibody (NBP1-51665) (0)

There are no specific FAQs related to this product. Read our general customer & technical service FAQs.

Secondary Antibodies

 

Isotype Controls

Additional TORC2 Products

Research Areas for TORC2 Antibody (NBP1-51665)

Find related products by research area.

Blogs on TORC2

There are no specific blogs for TORC2, but you can read our latest blog posts.

Contact Information

Product PDFs

Calculators

Concentration Calculator

The concentration calculator allows you to quickly calculate the volume, mass or concentration of your vial. Simply enter your mass, volume, or concentration values for your reagent and the calculator will determine the rest.

=
÷

Review this Product

Be the first to review our TORC2 Antibody (5B10) and receive a gift card or discount.

Bioinformatics

Gene Symbol CRTC2