Thyroglobulin Antibody (TGB04 + TGB05) - IHC-Prediluted

Images

 
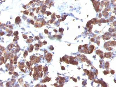
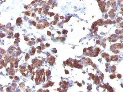
Immunohistochemistry-Paraffin: Thyroglobulin Antibody (TGB04 + TGB05) [NBP2-45122] - Human Thyroid stained with Thyroglobulin Monoclonal Antibody (TGB04 + TGB05).

Product Details

Summary
Reactivity Hu, Mu, RtSpecies Glossary
Applications IHC
Clone
TGB04 + TGB05
Clonality
Monoclonal
Host
Mouse
Conjugate
Unconjugated
Format
IHC-Prediluted

Order Details

Thyroglobulin Antibody (TGB04 + TGB05) - IHC-Prediluted Summary

Description
The prediluted antibody does not require any mixing, dilution, reconstitution, or titration; the antibody is ready-to-use and optimized for staining.
Immunogen
Human thyroid follicular cells
Localization
Cytoplasmic and secreted
Marker
Thyroidal Cell Marker
Specificity
Thyroglobulin is a 660kDa dimeric pre-protein with multiple glycosylation sites. It is produced by and processed within the thyroid gland to produce the hormone thyroxine and triiodothyronine. Prior to forming dimers, thyroglobulin monomers undergo conformational maturation in the endoplasmic reticulation. The vast majority of follicular carcinomas of the thyroid will give positive immunoreactivity for anti-thyroglobulin even though sometimes only focally. Poorly differentiated carcinomas of the thyroid are frequently anti-thyroglobulin negative. Adenocarcinomas of other-than-thyroid origin do not react with this antibody. This antibody is useful in identification of thyroid carcinoma of the papillary and follicular types. Presence of thyroglobulin in metastatic lesions establishes the thyroid origin of tumor. Anti-thyroglobulin, combined with anti-calcitonin, can identify medullary carcinomas of the thyroid. Furthermore, anti-thyroglobulin, combined with anti-TTF1, can be a reliable marker to differentiate between primary thyroid and lung neoplasms.
Isotype
IgG1 Kappa/IgG1 Kappa
Clonality
Monoclonal
Host
Mouse
Gene
TG
Purity
Protein A or G purified
Innovator's Reward
Test in a species/application not listed above to receive a full credit towards a future purchase.

Applications/Dilutions

Dilutions
  • Immunohistochemistry
  • Immunohistochemistry-Paraffin
Application Notes
Immunohistochemistry (Formalin-fixed): 0.1-0.2ug/ml for 30 min at RT. Staining of formalin-fixed tissues requires heating tissue sections in 10mM Tris with 1mM EDTA, pH 9.0, for 45 min at 95C followed by cooling at RT for 20 minutes.
Optimal dilution for a specific application should be determined.

Packaging, Storage & Formulations

Storage
Store at 4C.
Buffer
10 mM PBS with 0.05% BSA
Preservative
0.05% Sodium Azide
Purity
Protein A or G purified

Alternate Names for Thyroglobulin Antibody (TGB04 + TGB05) - IHC-Prediluted

  • AITD3
  • AITD3TGN
  • cog
  • TDH3
  • Tg
  • TGN
  • Thyroglobulin

Background

Thyroglobulin is synthesized by the follicular epithelial cells of the thyroid. Thyroglobulin is the glycoprotein precursor to the thyroid hormones. Its synthesis and metabolism have seemingly wasteful features. It has a molecular weight of 660,000, with 2 identical subunits of MW 300,000 and 10% sugars; yet its complete hydrolysis yields only 2 to 4 molecules of the iodothyroxines T4 and T3. Baas et al. (1986) showed that the TG gene encodes an 8.7-kb mRNA, covers at least 300 kb of genomic DNA and contains at least 37 exons separated by introns as large as 64 kb. A striking structural difference between the 5-prime and 3-prime parts of the gene suggested that it is composed of 2 evolutionarily different regions. The first 30 kb of DNA encodes 3 kb of the mRNA yielding an exon:intron ratio of 1:10, whereas the remaining 270 kb encodes 5.7 kb of the mRNA with a ratio of 1.47.

Limitations

This product is for research use only and is not approved for use in humans or in clinical diagnosis. Primary Antibodies are guaranteed for 1 year from date of receipt.

Customers Who Viewed This Item Also Viewed...

AF2009
Species: Hu
Applications: ICC, IHC
AF7895
Species: Hu
Applications: IHC, WB
MAB1417
Species: Bv, Hu, Mu
Applications: ICC, IHC
NBP1-80670
Species: Hu
Applications: IHC,  IHC-P, WB
AF7197
Species: Hu, Mu
Applications: ICC, IHC, WB
NBP2-92630
Species: Hu, Mu, Rt
Applications: ELISA, ICC/IF, IHC,  IHC-P, WB
MAB1455
Species: Hu
Applications: CyTOF-ready, Dual ISH-IHC, ICC, IHC, ICFlow, Simple Western, WB
NBP2-52979
Species: Hu, Mu
Applications: Flow, ICC/IF, IHC,  IHC-P, WB
288-TPN/CF
Species: Hu
Applications: BA
NBP2-37477
Species: Hu
Applications: ELISA, ICC/IF, IHC,  IHC-P, WB
DY1707
Species: Hu
Applications: ELISA
NBP2-44501
Species: Hu, Mu, Rt
Applications: Flow, ICC/IF, IF, IHC,  IHC-P
NBP1-88057
Species: Hu, Rt
Applications: ICC/IF, IHC,  IHC-P, WB
NB120-14817
Species: Hu, Rt
Applications: ICC/IF, IHC, S-ELISA, WB
M6000B
Species: Mu
Applications: ELISA
NBP2-20383
Species: Hu, Mu
Applications: ICC/IF, IHC,  IHC-P, WB
202-IL
Species: Hu
Applications: BA

Publications for Thyroglobulin Antibody (NBP2-45122) (0)

There are no publications for Thyroglobulin Antibody (NBP2-45122).
By submitting your publication information earn gift cards and discounts for future purchases.

Reviews for Thyroglobulin Antibody (NBP2-45122) (0)

There are no reviews for Thyroglobulin Antibody (NBP2-45122). By submitting a review you will receive an Amazon e-Gift Card or Novus Product Discount.
  • Review with no image -- $10/€7/£6/$10 CAD/¥70 Yuan/¥1110 Yen
  • Review with an image -- $25/€18/£15/$25 CAD/¥150 Yuan/¥2500 Yen

Product General Protocols

Find general support by application which include: protocols, troubleshooting, illustrated assays, videos and webinars.

FAQs for Thyroglobulin Antibody (NBP2-45122) (0)

There are no specific FAQs related to this product. Read our general customer & technical service FAQs.

Secondary Antibodies

 

Isotype Controls

Additional Thyroglobulin Products

Research Areas for Thyroglobulin Antibody (NBP2-45122)

Find related products by research area.

Blogs on Thyroglobulin.

TTF1 / NKX2.1 - An essential regulator of lung development with implications in cancer diagnostics
Thyroid transcription factor 1 (TTF-1), also known as NKX2.1, is a conserved master regulatory transcription factor involved in the development of the lung, brain, and thyroid (1). In the lung TTF-1 positively regulates the expression of several lu...  Read full blog post.

Customers Who Bought This Also Bought

Contact Information

Product PDFs

Calculators

Concentration Calculator

The concentration calculator allows you to quickly calculate the volume, mass or concentration of your vial. Simply enter your mass, volume, or concentration values for your reagent and the calculator will determine the rest.

=
÷

Review this Product

Be the first to review our Thyroglobulin Antibody (TGB04 + TGB05) - IHC-Prediluted and receive a gift card or discount.

Bioinformatics

Gene Symbol TG