SYTL5 Antibody - BSA Free

Images

 
Western Blot: SYTL5 Antibody [NBP1-90926] - Lane 1: Marker [kDa] 230, 130, 95, 72, 56, 36, 28, 17, 11. Lane 2: Human cell line RT-564
Immunocytochemistry/ Immunofluorescence: SYTL5 Antibody [NBP1-90926] - Immunofluorescent staining of human cell line U-2 OS shows localization to nucleoplasm, cytosol & microtubules.
Immunohistochemistry-Paraffin: SYTL5 Antibody [NBP1-90926] - Staining of human testis shows strong cytoplasmic positivity in leydig cells.
Staining of human pancreas shows strong cytoplasmic positivity in exocrine glandular cells.
Staining of human adrenal gland shows strong membranous and cytoplasmic positivity in glandular cells.
Lane 1: Marker [kDa] 230, 130, 95, 72, 56, 36, 28, 17, 11Lane 2: Human cell line RT-4
Staining of human liver shows moderate cytoplasmic positivity in hepatocytes.
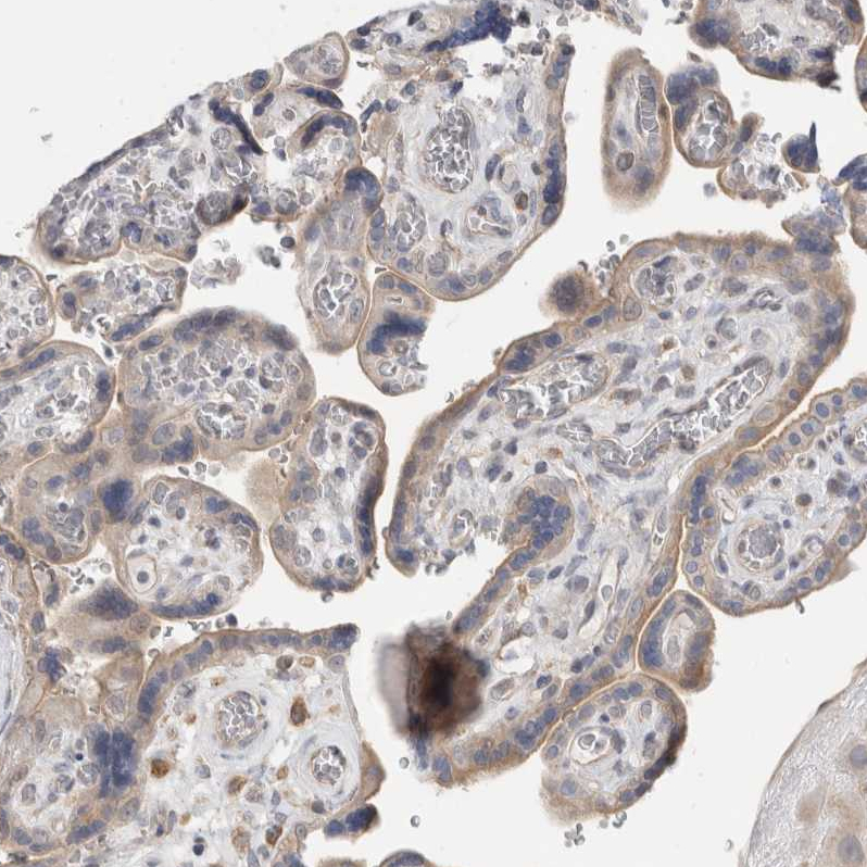
Staining of human placenta shows moderate membranous and cytoplasmic positivity in trophoblastic cells.
Staining of human skeletal muscle shows no positivity in myocytes as expected.

Product Details

Summary
Reactivity HuSpecies Glossary
Applications WB, ICC/IF, IHC
Clonality
Polyclonal
Host
Rabbit
Conjugate
Unconjugated
Format
BSA Free

Order Details

SYTL5 Antibody - BSA Free Summary

Description
Novus Biologicals Rabbit SYTL5 Antibody - BSA Free (NBP1-90926) is a polyclonal antibody validated for use in IHC, WB and ICC/IF. All Novus Biologicals antibodies are covered by our 100% guarantee.
Immunogen
This antibody was developed against Recombinant Protein corresponding to amino acids: KQVNVLGTDVVRQSILRRSPAEEVQSQEQTRQDAEKSDTSPVAGKKASHDGPKRKGFLLSKFRSATRGEIITPKTDTGRSYSLDLDGQHFRSLKSPPGSDRGSTGSSDLNDQEP
Isotype
IgG
Clonality
Polyclonal
Host
Rabbit
Gene
SYTL5
Purity
Immunogen affinity purified
Innovator's Reward
Test in a species/application not listed above to receive a full credit towards a future purchase.

Applications/Dilutions

Dilutions
  • Immunocytochemistry/ Immunofluorescence 0.25-2 ug/ml
  • Immunohistochemistry 1:50 - 1:200
  • Immunohistochemistry-Paraffin 1:50 - 1:200
  • Western Blot 0.04-0.4 ug/ml
Application Notes
For IHC-Paraffin, HIER pH 6 retrieval is recommended. ICC/IF Fixation Permeabilization: Use PFA/Triton X-100.
Control Peptide
SYTL5 Protein (NBP1-90926PEP)

Packaging, Storage & Formulations

Storage
Store at 4C short term. Aliquot and store at -20C long term. Avoid freeze-thaw cycles.
Buffer
PBS (pH 7.2) and 40% Glycerol
Preservative
0.02% Sodium Azide
Purity
Immunogen affinity purified

Alternate Names for SYTL5 Antibody - BSA Free

  • exophilin 9
  • synaptotagmin-like 5

Limitations

This product is for research use only and is not approved for use in humans or in clinical diagnosis. Primary Antibodies are guaranteed for 1 year from date of receipt.

Customers Who Viewed This Item Also Viewed...

H00005873-M02
Species: Hu, Mu, Rb
Applications: ELISA, Flow, ICC/IF, IHC,  IHC-P, IP, KD, S-ELISA, WB
NBP1-86176
Species: Hu
Applications: ICC/IF, IHC,  IHC-P, WB
NB100-41385
Species: Hu, Mu
Applications: ICC/IF, IHC,  IHC-P, KD, PEP-ELISA, WB
NBP1-78136
Species: Dr
Applications: ELISA, ICC/IF, IHC, WB
NBP3-16506
Species: Hu, Mu, Rt
Applications: ICC/IF, IHC,  IHC-P, WB
NBP1-92308
Species: Hu
Applications: IHC,  IHC-P, WB
NBP1-87174
Species: Hu, Mu, Rt
Applications: ICC/IF, IHC,  IHC-P, KD, WB
NBP3-46833
Species: Hu, Mu, Rt
Applications: ELISA, IHC, WB
NBP1-55113
Species: Hu, Pm, Mu
Applications: IHC,  IHC-P, WB
NBP2-37485
Species: Hu, Pm, Mu, Pm
Applications: CyTOF-ready, ELISA, Flow, IHC,  IHC-P, WB
AF8064
Species: Hu
Applications: ICC, IHC, WB
NBP2-45499
Species: Hu, Mu, Rt
Applications: IHC,  IHC-P, WB
NBP1-33110
Species: Hu, Mu, Rt
Applications: ICC/IF, IHC,  IHC-P, KO, WB
NB120-13253
Species: Bv, Hu, Pm, Mu, Rt
Applications: ICC/IF, IHC-FrFl, IHC,  IHC-P, IP, WB
NBP2-36776
Species: Hu
Applications: ICC/IF, IHC,  IHC-P, KD, WB
NBP1-52148
Species: Hu
Applications: Flow, ICC/IF, IHC,  IHC-P, PEP-ELISA
NBP1-86366
Species: Hu
Applications: ICC/IF, IHC,  IHC-P, WB
NBP1-85966
Species: Hu
Applications: IHC,  IHC-P, WB
AF7904
Species: Hu, Mu
Applications: WB
NBP1-90926
Species: Hu
Applications: WB, ICC/IF, IHC

Publications for SYTL5 Antibody (NBP1-90926) (0)

There are no publications for SYTL5 Antibody (NBP1-90926).
By submitting your publication information earn gift cards and discounts for future purchases.

Reviews for SYTL5 Antibody (NBP1-90926) (0)

There are no reviews for SYTL5 Antibody (NBP1-90926). By submitting a review you will receive an Amazon e-Gift Card or Novus Product Discount.
  • Review with no image -- $10/€7/£6/$10 CAD/¥70 Yuan/¥1110 Yen
  • Review with an image -- $25/€18/£15/$25 CAD/¥150 Yuan/¥2500 Yen

Product General Protocols

Find general support by application which include: protocols, troubleshooting, illustrated assays, videos and webinars.

Video Protocols

WB Video Protocol
ICC/IF Video Protocol

FAQs for SYTL5 Antibody (NBP1-90926) (0)

There are no specific FAQs related to this product. Read our general customer & technical service FAQs.

Secondary Antibodies

 

Isotype Controls

Additional SYTL5 Products

Array NBP1-90926

Research Areas for SYTL5 Antibody (NBP1-90926)

Find related products by research area.

Blogs on SYTL5

There are no specific blogs for SYTL5, but you can read our latest blog posts.

Customers Who Bought This Also Bought

Contact Information

Product PDFs

Calculators

Concentration Calculator

The concentration calculator allows you to quickly calculate the volume, mass or concentration of your vial. Simply enter your mass, volume, or concentration values for your reagent and the calculator will determine the rest.

=
÷

Review this Product

Be the first to review our SYTL5 Antibody - BSA Free and receive a gift card or discount.

Bioinformatics

Gene Symbol SYTL5