Synaptogyrin 1 Antibody - BSA Free

Images

 
Western Blot: Synaptogyrin 1 Antibody [NBP1-77371] - Rat brain tissue lysate with SYNGR1 antibody at 1 ug/mL in (A) the absence and (B) the presence of blocking peptide.
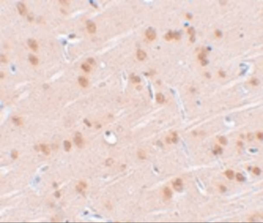
Immunohistochemistry: Synaptogyrin 1 Antibody - BSA Free [NBP1-77371] - Immunohistochemistry of Synaptogyrin 1 in rat brain tissue with Synaptogyrin 1 antibody at 2.5 u/mL.
Immunocytochemistry/ Immunofluorescence: Synaptogyrin 1 Antibody - BSA Free [NBP1-77371] - Immunofluorescence of Synaptogyrin 1 in rat brain tissue with Synaptogyrin 1 antibody at 20 ug/mL.

Product Details

Summary
Reactivity Hu, Mu, RtSpecies Glossary
Applications WB, ELISA, ICC/IF, IHC
Clonality
Polyclonal
Host
Rabbit
Conjugate
Unconjugated
Format
BSA Free
Concentration
1 mg/ml

Order Details

Synaptogyrin 1 Antibody - BSA Free Summary

Description
Novus Biologicals Rabbit Synaptogyrin 1 Antibody - BSA Free (NBP1-77371) is a polyclonal antibody validated for use in IHC, WB, ELISA and ICC/IF. All Novus Biologicals antibodies are covered by our 100% guarantee.
Immunogen
Antibody was raised against a 16 amino acid synthetic peptide from near the center of human SYNGR1. The immunogen is located within amino acids 120 - 170 of SYNGR1. Amino Acid Squence: WQVSKPKDNPLNEGTDA
Marker
Synaptic Vesicle Marker
Isotype
IgG
Clonality
Polyclonal
Host
Rabbit
Gene
SYNGR1
Purity
Peptide affinity purified
Innovator's Reward
Test in a species/application not listed above to receive a full credit towards a future purchase.

Applications/Dilutions

Dilutions
  • ELISA 1:100-1:2000
  • Immunocytochemistry/ Immunofluorescence 20 ug/ml
  • Immunohistochemistry 2.5 ug/ml
  • Immunohistochemistry-Paraffin 2.5 ug/ml
  • Western Blot 1 ug/ml
Control Peptide
Synaptogyrin 1 Peptide (NBP1-77371PEP)

Packaging, Storage & Formulations

Storage
Store at 4C short term. Aliquot and store at -20C long term. Avoid freeze-thaw cycles.
Buffer
PBS
Preservative
0.02% Sodium Azide
Concentration
1 mg/ml
Purity
Peptide affinity purified

Alternate Names for Synaptogyrin 1 Antibody - BSA Free

  • MGC1939
  • synaptogyrin 1
  • synaptogyrin-1

Background

Synaptogyrins comprise a family of tyrosine-phosphorylated membrane proteins with two neuronal (SYNGR1 and SYNGR3) and one ubiquitous (SYNGR2) members. SYNGR1 and -3 are synaptic vesicle proteins, residing in some cases on the same synaptic vesicle, and are thought to be involved in the regulation of neurotransmitter release. SYNGR2, by contrast, is absent from synaptic vesicles. The role and localization of a fourth synaptogyrin, SYNGR4, is unclear. The gene for SYNGR1is located at chromosome 22q13, a region linked to schizophrenia; however, there is mixed evidence suggesting that mutations in SYNGR1 might be associated with schizophrenia.

Limitations

This product is for research use only and is not approved for use in humans or in clinical diagnosis. Primary Antibodies are guaranteed for 1 year from date of receipt.

Customers Who Viewed This Item Also Viewed...

NBP2-50037
Species: Hu, Mu, Rt
Applications: ICC/IF, IHC, KO, WB
NBP1-84671
Species: Hu
Applications: ChIP-EXO-SEQ, IHC,  IHC-P, WB
AF2214
Species: Hu
Applications: ICC, IHC, WB
NBP2-13403
Species: Hu
Applications: ICC/IF, IHC,  IHC-P
NBP1-80656
Species: Hu, Mu
Applications: IHC,  IHC-P, WB
NBP1-59438
Species: Hu
Applications: IHC,  IHC-P, WB
NBP2-30475
Species: Hu
Applications: IHC,  IHC-P, IP
DBD00
Species: Hu
Applications: ELISA
NBP3-13445
Species: Hu, Mu, Rt
Applications: ICC/IF, IHC,  IHC-P, WB
NBP2-75497
Species: Hu, Mu, Rt
Applications: ICC/IF, IHC,  IHC-P, WB
NBP2-67471
Species: Hu, Mu, Rt
Applications: ICC/IF, IHC,  IHC-P, WB
NBP3-16602
Species: Hu, Mu, Rt
Applications: IHC,  IHC-P, IP, WB
NBP1-89544
Species: Hu
Applications: ChIP-EXO-SEQ, ICC/IF, IHC,  IHC-P, WB
H00342184-M07
Species: Hu
Applications: ELISA, ICC/IF, WB
NB100-74555
Species: Hu, Mu, Pm, Rb, Rt
Applications: Flow, ICC/IF, IHC-FrFl, IHC, IHC-Fr,  IHC-P, IP, WB
H00023316-M03
Species: Hu
Applications: ELISA, ICC/IF, IHC, IHC-Fr, WB
NBP2-30954
Species: Hu
Applications: ICC/IF, IHC,  IHC-P, Simple Western, WB
NBP1-77371
Species: Hu, Mu, Rt
Applications: WB, ELISA, ICC/IF, IHC

Publications for Synaptogyrin 1 Antibody (NBP1-77371) (0)

There are no publications for Synaptogyrin 1 Antibody (NBP1-77371).
By submitting your publication information earn gift cards and discounts for future purchases.

Reviews for Synaptogyrin 1 Antibody (NBP1-77371) (0)

There are no reviews for Synaptogyrin 1 Antibody (NBP1-77371). By submitting a review you will receive an Amazon e-Gift Card or Novus Product Discount.
  • Review with no image -- $10/€7/£6/$10 CAD/¥70 Yuan/¥1110 Yen
  • Review with an image -- $25/€18/£15/$25 CAD/¥150 Yuan/¥2500 Yen

Product General Protocols

Find general support by application which include: protocols, troubleshooting, illustrated assays, videos and webinars.

Video Protocols

WB Video Protocol
ICC/IF Video Protocol

FAQs for Synaptogyrin 1 Antibody (NBP1-77371) (0)

There are no specific FAQs related to this product. Read our general customer & technical service FAQs.

Secondary Antibodies

 

Isotype Controls

Additional Synaptogyrin 1 Products

Research Areas for Synaptogyrin 1 Antibody (NBP1-77371)

Find related products by research area.

Blogs on Synaptogyrin 1

There are no specific blogs for Synaptogyrin 1, but you can read our latest blog posts.

Customers Who Bought This Also Bought

Contact Information

Product PDFs

Calculators

Concentration Calculator

The concentration calculator allows you to quickly calculate the volume, mass or concentration of your vial. Simply enter your mass, volume, or concentration values for your reagent and the calculator will determine the rest.

=
÷

Review this Product

Be the first to review our Synaptogyrin 1 Antibody - BSA Free and receive a gift card or discount.

Bioinformatics

Gene Symbol SYNGR1
Uniprot