SVEP1 Antibody - BSA Free

Images

 
Immunohistochemistry-Paraffin: SVEP1 Antibody [NBP1-90791] - Staining of human Kidney shows moderate cytoplasmic positivity in cells in tubules.
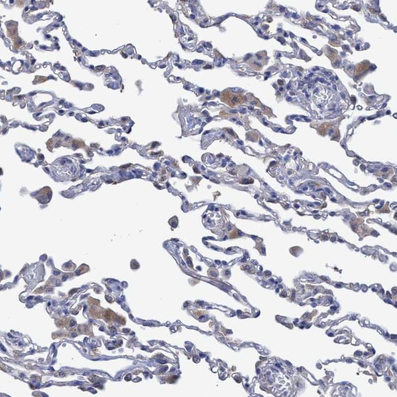
Immunohistochemistry-Paraffin: SVEP1 Antibody [NBP1-90791] - Staining of human lung shows moderate cytoplasmic positivity in macrophages.
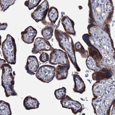
Immunohistochemistry-Paraffin: SVEP1 Antibody [NBP1-90791] - Staining of human placenta shows strong cytoplasmic positivity in trophoblastic cells.
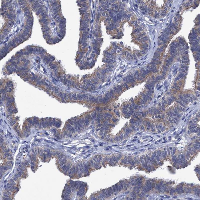
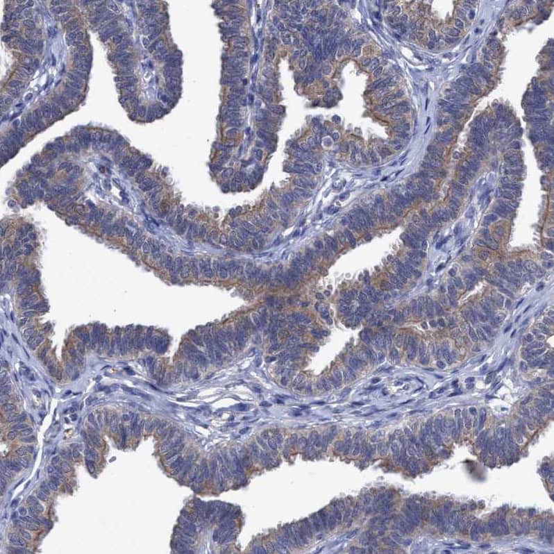
Immunohistochemistry-Paraffin: SVEP1 Antibody [NBP1-90791] - Staining of human prostate shows weak cytoplasmic positivity in glandular cells.
Staining of human fallopian tube shows weak cytoplasmic positivity in glandular cells.
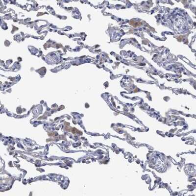
Staining of human Lung shows moderate cytoplasmic positivity in macrophages.

Product Details

Summary
Reactivity HuSpecies Glossary
Applications IHC
Clonality
Polyclonal
Host
Rabbit
Conjugate
Unconjugated
Format
BSA Free

Order Details

View Available Formulations
Catalog# & Formulation Size Price

SVEP1 Antibody - BSA Free Summary

Description
Novus Biologicals Rabbit SVEP1 Antibody - BSA Free (NBP1-90791) is a polyclonal antibody validated for use in IHC. All Novus Biologicals antibodies are covered by our 100% guarantee.
Immunogen
This antibody was developed against Recombinant Protein corresponding to amino acids: GDFICTPDNTGVNCTLTCLEGYDFTEGSTDKYYCAYEDGVWKPTYTTEWPDCAKKRFANHGFKSFEMFYKAARCDDTDLMKKFSEAFETTLG
Isotype
IgG
Clonality
Polyclonal
Host
Rabbit
Gene
SVEP1
Purity
Immunogen affinity purified
Innovator's Reward
Test in a species/application not listed above to receive a full credit towards a future purchase.

Applications/Dilutions

Dilutions
  • Immunohistochemistry 1:500 - 1:1000
  • Immunohistochemistry-Paraffin 1:200-1:500
Application Notes
For IHC-Paraffin, HIER pH 6 retrieval is recommended.
Control Peptide
SVEP1 Recombinant Protein Antigen (NBP1-90791PEP)

Packaging, Storage & Formulations

Storage
Store at 4C short term. Aliquot and store at -20C long term. Avoid freeze-thaw cycles.
Buffer
PBS (pH 7.2) and 40% Glycerol
Preservative
0.02% Sodium Azide
Purity
Immunogen affinity purified

Alternate Names for SVEP1 Antibody - BSA Free

  • C9orf13
  • CCP module-containing protein 22
  • CCP22
  • FLJ16013
  • FLJ90719
  • POLYDOM
  • selectin-like protein
  • SELOB
  • SEL-OB
  • sushi, von Willebrand factor type A, EGF and pentraxin domain containing 1
  • sushi, von Willebrand factor type A, EGF and pentraxin domain-containing protein 1
  • SVEP1

Limitations

This product is for research use only and is not approved for use in humans or in clinical diagnosis. Primary Antibodies are guaranteed for 1 year from date of receipt.

Customers Who Viewed This Item Also Viewed...

NBP2-47405
Species: Hu
Applications: IHC,  IHC-P
NBP2-57496
Species: Hu
Applications: ICC/IF
NBP2-14871
Species: Mu, Rt
Applications: ICC/IF, WB
NB120-2860
Species: Ba, Bv, Ch, Hu, Mu, Rt
Applications: ELISA, Flow, ICC/IF, IHC,  IHC-P, WB
NBP2-15669
Species: Mu, Rt, Ze
Applications: IHC-WhMt, IHC, WB
NB600-232
Species: Hu, Mu
Applications: ChIP, IHC,  IHC-P, IP, WB
NBP2-34143
Species: Hu
Applications: ChIP-EXO-SEQ, ICC/IF, IHC,  IHC-P, KD, WB
DPSG10
Species: Hu
Applications: ELISA
3047-CC
Species: Hu
Applications: BA
236-EG
Species: Hu
Applications: BA
H00001421-M03
Species: Hu
Applications: ELISA, S-ELISA, WB
AF808
Species: Mu
Applications: ELISA(Cap), ELISA(Det), ELISA(Sta), ICC, IHC, Neut, WB
AF482
Species: Mu
Applications: IHC, WB
MAB1675
Species: Ch, Hu, Mu, Rt
Applications: ICC, IHC
NBP1-90214
Species: Hu
Applications: ICC/IF, IHC,  IHC-P, WB
NBP2-02450
Species: Hu
Applications: ICC/IF, IHC,  IHC-P, WB
NBP1-90791
Species: Hu
Applications: IHC

Publications for SVEP1 Antibody (NBP1-90791) (0)

There are no publications for SVEP1 Antibody (NBP1-90791).
By submitting your publication information earn gift cards and discounts for future purchases.

Reviews for SVEP1 Antibody (NBP1-90791) (0)

There are no reviews for SVEP1 Antibody (NBP1-90791). By submitting a review you will receive an Amazon e-Gift Card or Novus Product Discount.
  • Review with no image -- $10/€7/£6/$10 CAD/¥70 Yuan/¥1110 Yen
  • Review with an image -- $25/€18/£15/$25 CAD/¥150 Yuan/¥2500 Yen

Product General Protocols

Find general support by application which include: protocols, troubleshooting, illustrated assays, videos and webinars.

FAQs for SVEP1 Antibody (NBP1-90791) (0)

There are no specific FAQs related to this product. Read our general customer & technical service FAQs.

Customers Who Bought This Also Bought

Contact Information

Product PDFs

Calculators

Concentration Calculator

The concentration calculator allows you to quickly calculate the volume, mass or concentration of your vial. Simply enter your mass, volume, or concentration values for your reagent and the calculator will determine the rest.

=
÷

Review this Product

Be the first to review our SVEP1 Antibody - BSA Free and receive a gift card or discount.

Bioinformatics

Gene Symbol SVEP1