SUMO1 Antibody (SJ20-03)

Images

 
Western Blot: SUMO1 Antibody (SJ20-03) [NBP2-67419] - Analysis of SUMO-1 on Hela cell lysates. Proteins were transferred to a PVDF membrane and blocked with 5% BSA in PBS for 1 hour at room temperature. The primary ...read more
Immunocytochemistry/ Immunofluorescence: SUMO1 Antibody (SJ20-03) [NBP2-67419] - Staining SUMO-1 in MCF-7 cells (green). The nuclear counter stain is DAPI (blue). Cells were fixed in paraformaldehyde, permeabilised with ...read more
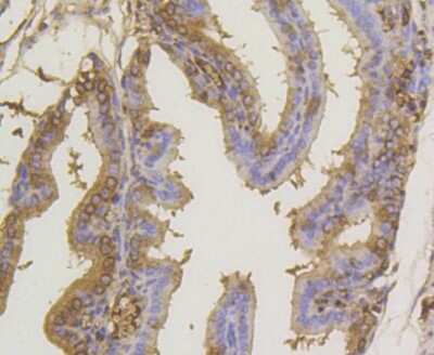
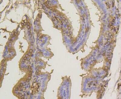
Immunohistochemistry-Paraffin: SUMO1 Antibody (SJ20-03) [NBP2-67419] - Analysis of paraffin-embedded mouse esophagus tissue with Rabbit anti-SUMO1 antibody washed with ddH2O and PBS, and then probed with the primary ...read more
Flow Cytometry: SUMO1 Antibody (SJ20-03) [NBP2-67419] - Analysis of Hela cells with SUMO-1 antibody at 1/50 dilution (blue) compared with an unlabelled control (cells without incubation with primary antibody; red). ...read more
Immunocytochemistry/ Immunofluorescence: SUMO1 Antibody (SJ20-03) [NBP2-67419] - Staining SUMO-1 in A549 cells (green). The nuclear counter stain is DAPI (blue). Cells were fixed in paraformaldehyde, permeabilised with ...read more
Immunocytochemistry/ Immunofluorescence: SUMO1 Antibody (SJ20-03) [NBP2-67419] - Staining SUMO-1 in Hela cells (green). The nuclear counter stain is DAPI (blue). Cells were fixed in paraformaldehyde, permeabilised with ...read more
Immunohistochemistry-Paraffin: SUMO1 Antibody (SJ20-03) [NBP2-67419] - Analysis of paraffin-embedded human breast carcinoma tissue using anti-SUMO-1 antibody. Counter stained with hematoxylin.
Immunohistochemistry-Paraffin: SUMO1 Antibody (SJ20-03) [NBP2-67419] - Analysis of paraffin-embedded human thyroid tissue using anti-SUMO-1 antibody. Counter stained with hematoxylin.
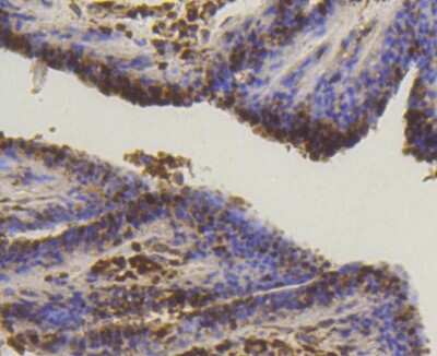
Immunohistochemistry-Paraffin: SUMO1 Antibody (SJ20-03) [NBP2-67419] - Analysis of paraffin-embedded human tonsil tissue using anti-SUMO-1 antibody. Counter stained with hematoxylin.
Immunohistochemistry-Paraffin: SUMO1 Antibody (SJ20-03) [NBP2-67419] - Analysis of paraffin-embedded mouse placenta tissue using anti-SUMO-1 antibody. Counter stained with hematoxylin.
Immunohistochemistry-Paraffin: SUMO1 Antibody (SJ20-03) [NBP2-67419] - Analysis of paraffin-embedded mouse thyroid tissue using anti-SUMO-1 antibody. Counter stained with hematoxylin.
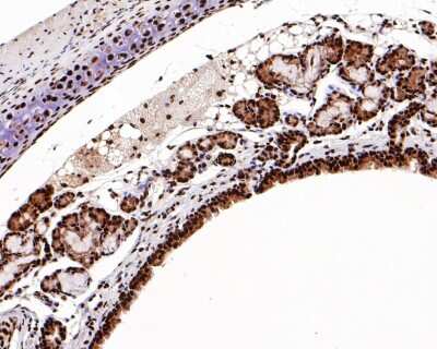
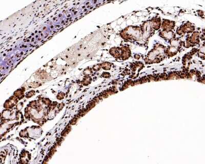
Immunohistochemistry-Paraffin: SUMO1 Antibody (SJ20-03) [NBP2-67419] - Analysis of paraffin-embedded mouse trachea tissue with Rabbit anti-SUMO-1 antibody washed with ddH2O and PBS, and then probed with the primary ...read more

Product Details

Summary
Product Discontinued
View other related SUMO1 Primary Antibodies

Order Details


    • Catalog Number
      NBP2-67419
    • Availability
      Product Discontinued

    Can't find what you are looking for? Use our Antibody Concierge Service & we will help you locate your antibody!

    Or feel free to contact us for alternative products.

SUMO1 Antibody (SJ20-03) Summary

Additional Information
Recombinant Monoclonal Antibody.
Immunogen
Synthetic peptide within Human SUMO1 aa 51-100 / 101. (SwissProt: P63165 Human; SwissProt: P63166 Mouse; SwissProt: Q5I0H3 Rat)
Localization
Nucleus membrane, Cytoplasm, Nucleus, Cell membrane.
Isotype
IgG
Clonality
Monoclonal
Host
Rabbit
Gene
SUMO1
Purity
Protein A purified
Innovator's Reward
Test in a species/application not listed above to receive a full credit towards a future purchase.

Applications/Dilutions

Dilutions
  • Chromatin Immunoprecipitation 1:10-1:500
  • Flow Cytometry 1:50-1:100
  • Immunocytochemistry/ Immunofluorescence 1:50-1:200
  • Immunohistochemistry
  • Immunohistochemistry-Paraffin 1:50-1:200
  • Immunoprecipitation
  • Western Blot 1:1000-1:2000

Packaging, Storage & Formulations

Storage
Store at 4C short term. Aliquot and store at -20C long term. Avoid freeze-thaw cycles.
Buffer
TBS (pH7.4), 0.05% BSA, 40% Glycerol
Preservative
0.05% Sodium Azide
Concentration
1 mg/ml
Purity
Protein A purified

Alternate Names for SUMO1 Antibody (SJ20-03)

  • DAP1
  • GAP modifying protein 1
  • GAP-modifying protein 1
  • GMP1SMT3CSMT3H3OFC10UBL1PIC1
  • PIC1
  • SENP2
  • Sentrin
  • small ubiquitin-related modifier 1
  • SMT3 homolog 3
  • SMT3 suppressor of mif two 3 homolog 1 (S. cerevisiae)
  • SMT3 suppressor of mif two 3 homolog 1 (yeast)
  • SMT3
  • SMT3C
  • SMT3H3
  • SUMO1
  • SUMO-1
  • Ubiquitin-homology domain protein PIC1
  • ubiquitin-like 1 (sentrin)
  • Ubiquitin-like protein SMT3C
  • Ubiquitin-like protein UBL1
  • UBL1

Background

Sumo 1 is a ubiquitin-like protein which binds to a wide range of target proteins. Does not seem to be involved in protein degradation and may function as an antagonist of ubiquitin in the degradation process. Plays a role in a number of cellular processes such as nuclear transport, DNA replication and repair, mitosis and signal transduction. Involved in targeting RANGAP1 to the nuclear pore complex protein RANBP2. SUMO 1 is also known to form a complex with RanGAP1.

Limitations

This product is for research use only and is not approved for use in humans or in clinical diagnosis. Primary Antibodies are guaranteed for 1 year from date of receipt.

Customers Who Viewed This Item Also Viewed...

NBP3-16540
Species: Hu, Mu, Rt
Applications: ICC/IF, IHC,  IHC-P, WB
MAB2959
Species: Hu
Applications: ICC
NB300-812
Species: Hu, Rt
Applications: IHC,  IHC-P, PEP-ELISA, WB
NB100-56405
Species: Hu, Mu
Applications: ICC/IF, IHC,  IHC-P, Simple Western, WB
NB100-59787
Species: Hu, Mu
Applications: Flow, IB, ICC/IF, IHC,  IHC-P, IP, KD, PLA, WB
NBP1-89522
Species: Hu, Mu, Rt
Applications: ICC/IF, IHC,  IHC-P, WB
NBP1-89150
Species: Hu
Applications: IHC,  IHC-P, WB
NBP1-31302
Species: Hu, Mu, Rt
Applications: ICC/IF, IHC,  IHC-P, KO, WB
H00011026-M01
Species: Hu
Applications: ELISA, WB
NBP1-56590
Species: Hu, Rt
Applications: ICC/IF, WB
NBP2-02623
Species: Ca, Hu, Mu, Rt
Applications: Flow, ICC/IF, IHC,  IHC-P, WB
AF9024
Species: Mu, Rt
Applications: IHC, WB
NBP2-13961
Species: Hu
Applications: ICC/IF, IHC,  IHC-P, WB
NBP2-54301
Species: Hu, Mu, Rt
Applications: CyTOF-ready, ELISA, IHC,  IHC-P, WB
NB120-2938
Species: Bv, Hu, Mu
Applications: IHC,  IHC-P, WB
NB200-103
Species: Hu, Mu, Rt, Xp(-), Ye
Applications: CyTOF-ready, ELISA, Flow-IC, Flow, ICC/IF, IHC, IHC-Fr,  IHC-P, IP, WB
H00026054-M01
Species: Hu, Mu
Applications: ELISA, Flow, ICC/IF, IHC,  IHC-P, IP, S-ELISA, WB
NB600-1318
Species: Hu, Mu, Rt
Applications: ICC/IF, WB
NBP2-67419
Species: Hu, Mu, Rt
Applications: WB, ChIP, Flow, ICC/IF, IHC, IP

Publications for SUMO1 Antibody (NBP2-67419) (0)

There are no publications for SUMO1 Antibody (NBP2-67419).
By submitting your publication information earn gift cards and discounts for future purchases.

Reviews for SUMO1 Antibody (NBP2-67419) (0)

There are no reviews for SUMO1 Antibody (NBP2-67419). By submitting a review you will receive an Amazon e-Gift Card or Novus Product Discount.
  • Review with no image -- $10/€7/£6/$10 CAD/¥70 Yuan/¥1110 Yen
  • Review with an image -- $25/€18/£15/$25 CAD/¥150 Yuan/¥2500 Yen

Product General Protocols

Video Protocols

WB Video Protocol
ChIP Webinar
ChIP Video Protocol
ICC/IF Video Protocol

FAQs for SUMO1 Antibody (NBP2-67419) (0)

There are no specific FAQs related to this product. Read our general customer & technical service FAQs.

Secondary Antibodies

 

Isotype Controls

Additional SUMO1 Products

Research Areas for SUMO1 Antibody (NBP2-67419)

Find related products by research area.

Blogs on SUMO1

There are no specific blogs for SUMO1, but you can read our latest blog posts.

Contact Information

Product PDFs

Calculators

Concentration Calculator

The concentration calculator allows you to quickly calculate the volume, mass or concentration of your vial. Simply enter your mass, volume, or concentration values for your reagent and the calculator will determine the rest.

=
÷

Review this Product

Be the first to review our SUMO1 Antibody (SJ20-03) and receive a gift card or discount.

Bioinformatics

Gene Symbol SUMO1