STIM1 Antibody (SD0814)

Images

 
Western Blot: STIM1 Antibody (SD0814) [NBP2-67784] - Analysis of STIM1 on different lysates using anti-STIM1 antibody at 1/1,000 dilution. Positive control: Lane 1: K562 Lane 2: HepG2
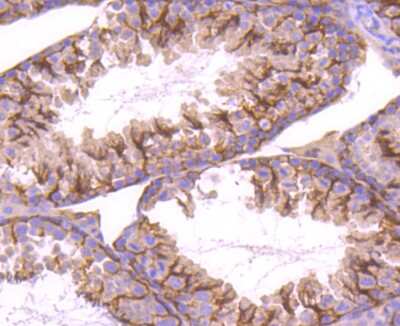
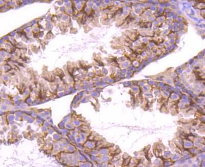
Immunohistochemistry-Paraffin: STIM1 Antibody (SD0814) [NBP2-67784] - Analysis of paraffin-embedded mouse testis tissue using anti-STIM1 antibody. Counter stained with hematoxylin.
Immunohistochemistry-Paraffin: STIM1 Antibody (SD0814) [NBP2-67784] - Analysis of paraffin-embedded human spleen tissue using anti-STIM1 antibody. Counter stained with hematoxylin.

Product Details

Summary
Product Discontinued
View other related STIM1 Primary Antibodies

Order Details


    • Catalog Number
      NBP2-67784
    • Availability
      Product Discontinued

    Can't find what you are looking for? Use our Antibody Concierge Service & we will help you locate your antibody!

    Or feel free to contact us for alternative products.

STIM1 Antibody (SD0814) Summary

Additional Information
Recombinant Monoclonal Antibody.
Immunogen
Recombinant protein within Human STIM1 aa 561-685 / 685. (SwissProt: Q13586 Human; SwissProt: P70302 Mouse; SwissProt: P84903 Rat)
Localization
Cell membrane, Endoplasmic reticulum membrane, Cytoplasm, Sarcoplasmic reticulum.
Isotype
IgG
Clonality
Monoclonal
Host
Rabbit
Gene
STIM1
Purity
Protein A purified
Innovator's Reward
Test in a species/application not listed above to receive a full credit towards a future purchase.

Applications/Dilutions

Dilutions
  • Immunohistochemistry
  • Immunohistochemistry-Paraffin 1:50-1:200
  • Immunoprecipitation
  • Western Blot 1:1000

Packaging, Storage & Formulations

Storage
Store at 4C short term. Aliquot and store at -20C long term. Avoid freeze-thaw cycles.
Buffer
TBS (pH7.4), 0.05% BSA, 40% Glycerol
Preservative
0.05% Sodium Azide
Concentration
1 mg/ml
Purity
Protein A purified

Alternate Names for STIM1 Antibody (SD0814)

  • GOK
  • GOKD11S4896E
  • STIM1
  • stromal interaction molecule 1

Background

Stromal interaction molecule 1 plays a role in mediating Ca(2+) influx following depletion of intracellular Ca(2+) stores. It acts as Ca(2+) sensor in the endoplasmic reticulum via its EF-hand domain. Upon Ca(2+) depletion, it translocates from the endoplasmic reticulum to the plasma membrane where it activates the Ca(2+) release-activated Ca(2+) (CRAC) channel subunit.

Limitations

This product is for research use only and is not approved for use in humans or in clinical diagnosis. Primary Antibodies are guaranteed for 1 year from date of receipt.

Customers Who Viewed This Item Also Viewed...

NBP1-75522
Species: Hu, Mu, Rt
Applications: ELISA, ICC/IF, IHC, IHC-Fr,  IHC-P, ISH, PLA, WB
NB100-98844
Species: Hu, Mu, Rt
Applications: ICC/IF, IHC, WB
NBP3-35783
Species: Hu, Mu, Rt
Applications: ELISA, ICC/IF, IHC,  IHC-P, WB
NBP3-45656
Species: Hu, Mu, Rt
Applications: ELISA, IHC, IP, WB
NBP2-76956
Species: Hu, Mu, Rt
Applications: Flow, ICC/IF, IHC,  IHC-P, WB
NBP2-04611
Species: Hu
Applications: WB
NBP2-19630
Species: Hu, Mu, Rt
Applications: IHC,  IHC-P, WB
MAB5745
Species: Hu
Applications: IHC, WB
NBP1-86125
Species: Hu
Applications: IHC,  IHC-P
NBP1-77262
Species: Hu, Mu
Applications: ELISA, ICC/IF, IHC,  IHC-P, WB
NBP1-77260
Species: Hu, Mu, Rt
Applications: ELISA, ICC/IF, IHC,  IHC-P, WB
NBP2-34294
Species: Hu, Mu, Rt
Applications: Flow, IHC,  IHC-P
NBP1-88370
Species: Hu, Mu
Applications: ICC/IF, IHC,  IHC-P, WB
NBP2-49671
Species: Hu
Applications: ICC/IF, IHC,  IHC-P
NBP2-22203
Species: Hu, Pm, Mu, Rt
Applications: ELISA, Flow, ICC/IF, IHC,  IHC-P, WB
NBP1-20989
Species: Hu, Rt
Applications: IHC,  IHC-P, PEP-ELISA, WB
NB600-607
Species: Hu, Rt
Applications: ELISA, IHC,  IHC-P, WB
NBP1-21398
Species: Hu, Mu
Applications: ICC/IF, IHC,  IHC-P, IP, WB
AF887
Species: Hu, Mu, Rt
Applications: CyTOF-ready, IHC, ICFlow, Simple Western, WB
NBP2-67784
Species: Hu, Mu, Rt
Applications: WB, IHC, IP

Publications for STIM1 Antibody (NBP2-67784) (0)

There are no publications for STIM1 Antibody (NBP2-67784).
By submitting your publication information earn gift cards and discounts for future purchases.

Reviews for STIM1 Antibody (NBP2-67784) (0)

There are no reviews for STIM1 Antibody (NBP2-67784). By submitting a review you will receive an Amazon e-Gift Card or Novus Product Discount.
  • Review with no image -- $10/€7/£6/$10 CAD/¥70 Yuan/¥1110 Yen
  • Review with an image -- $25/€18/£15/$25 CAD/¥150 Yuan/¥2500 Yen

Product General Protocols

Find general support by application which include: protocols, troubleshooting, illustrated assays, videos and webinars.

Video Protocols

WB Video Protocol

FAQs for STIM1 Antibody (NBP2-67784) (0)

There are no specific FAQs related to this product. Read our general customer & technical service FAQs.

Secondary Antibodies

 

Isotype Controls

Additional STIM1 Products

Research Areas for STIM1 Antibody (NBP2-67784)

Find related products by research area.

Blogs on STIM1

There are no specific blogs for STIM1, but you can read our latest blog posts.

Contact Information

Product PDFs

Calculators

Concentration Calculator

The concentration calculator allows you to quickly calculate the volume, mass or concentration of your vial. Simply enter your mass, volume, or concentration values for your reagent and the calculator will determine the rest.

=
÷

Review this Product

Be the first to review our STIM1 Antibody (SD0814) and receive a gift card or discount.

Bioinformatics

Gene Symbol STIM1