SIM2 Antibody

Images

 
Immunocytochemistry/ Immunofluorescence: SIM2 Antibody [NBP1-88619] - Staining of human cell line U-251 MG shows localization to nucleoplasm and nuclear bodies. Antibody staining is shown in green.
Immunohistochemistry-Paraffin: SIM2 Antibody [NBP1-88619] - Staining of human Rectum shows strong nuclear positivity in glandular cells.
Immunohistochemistry-Paraffin: SIM2 Antibody [NBP1-88619] - Staining of human Kidney shows moderate nuclear positivity in cells in glomeruli and tubules.
Immunohistochemistry-Paraffin: SIM2 Antibody [NBP1-88619] - Staining of human Placenta shows strong nuclear positivity in trophoblastic cells.
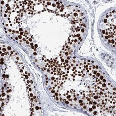
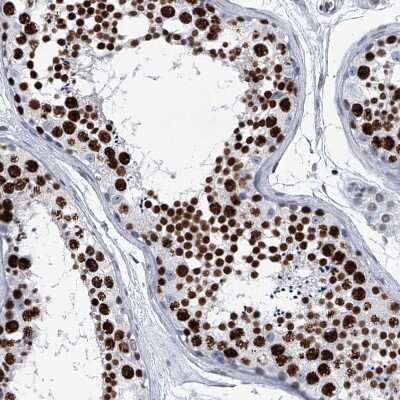
Immunohistochemistry-Paraffin: SIM2 Antibody [NBP1-88619] - Staining of human Testis shows strong nuclear positivity in cells in seminiferous ducts.

Product Details

Summary
Product Discontinued
View other related SIM2 Primary Antibodies

Order Details


    • Catalog Number
      NBP1-88619
    • Availability
      Product Discontinued

    Can't find what you are looking for? Use our Antibody Concierge Service & we will help you locate your antibody!

    Or feel free to contact us for alternative products.

SIM2 Antibody Summary

Immunogen
This antibody was developed against Recombinant Protein corresponding to amino acids: CIVSVNYVLTEIEYKELQLSLEQVSTAKSQDSWRTALSTSQETRKLVKPKNTKMKTKLRTNPYPPQQYSSFQMDKLECGQLGNWRASPPASAAAPPELQPHSESSDLLYTPSYSLPFSYHYGHFPLDSHVFSSKKPMLPAKFGQP
Isotype
IgG
Clonality
Polyclonal
Host
Rabbit
Gene
SIM2
Purity
Immunogen affinity purified
Innovator's Reward
Test in a species/application not listed above to receive a full credit towards a future purchase.

Applications/Dilutions

Dilutions
  • Immunocytochemistry/ Immunofluorescence 0.25-2 ug/ml
  • Immunohistochemistry 1:20 - 1:50
  • Immunohistochemistry-Paraffin 1:20-1:50
Application Notes
For IHC-Paraffin, HIER pH 6 retrieval is recommended. ICC/IF, Fixation Permeabilization: Use PFA/Triton X-100.

Reactivity Notes

Immunogen displays the following percentage of sequence identity for non-tested species: Mouse (86%), Rat (85%)

Packaging, Storage & Formulations

Storage
Store at 4C short term. Aliquot and store at -20C long term. Avoid freeze-thaw cycles.
Buffer
PBS (pH 7.2) and 40% Glycerol
Preservative
0.02% Sodium Azide
Purity
Immunogen affinity purified

Alternate Names for SIM2 Antibody

  • human transcription factor SIM2, homolog of the Drosophila single-minded geneSIM110BHLHE15
  • short isoform
  • single-minded (Drosophila) homolog 2
  • single-minded homolog 2 (Drosophila)
  • transcription factor SIM2

Background

SIM1 and SIM2 genes are Drosophila single-minded (sim) gene homologs. The Drosophila sim gene encodes a transcription factor that is a master regulator of fruit fly neurogenesis. SIM2 maps within the so-called Down syndrome chromosomal region. Based on the mapping position, its potential function as transcriptional repressor and similarity to Drosophila sim, it is proposed that SIM2 may contribute to some specific Down syndrome phenotypes

Limitations

This product is for research use only and is not approved for use in humans or in clinical diagnosis. Primary Antibodies are guaranteed for 1 year from date of receipt.

Customers Who Viewed This Item Also Viewed...

NB100-124
Species: Bv, Ma, Hu, Mu, Pm, Rt, Sh
Applications: ChIP, CHIP-SEQ, GS, IB, ICC/IF, IHC,  IHC-P, IP, WB
NB100-128
Species: Hu, Mu, Rt
Applications: ChIP, GS, ICC/IF, IHC,  IHC-P, WB
NBP1-80726
Species: Hu
Applications: ICC/IF, IHC,  IHC-P, WB
NBP2-55947
Species: Hu
Applications: ICC/IF
NB100-105
Species: Bv, Ca, Fe, Ma, Hu, Pm, Mu, Po, Pm, Rb, Rt, Sh, Xp
Applications: ChIP, ChIP, ELISA, Flow, GS, IA, IB, ICC/IF, IHC-FrFl, IHC, IHC-Fr,  IHC-P, IP, In vitro, KD, KO, LA, PLA, Simple Western, TCS, WB
NBP2-84260
Species: Mu
Applications: IHC,  IHC-P, WB
NBP1-81838
Species: Hu, Mu
Applications: IHC,  IHC-P, WB
NBP2-48615
Species: Hu
Applications: IHC,  IHC-P, WB
NBP1-88927
Species: Hu, Mu
Applications: ICC/IF, IHC,  IHC-P, WB
NBP1-82503
Species: Hu
Applications: ChIP-EXO-SEQ, IHC,  IHC-P
NBP2-24589
Species: Bv, Ca, Eq, Hu, Mu, Pm
Applications: IB, IHC,  IHC-P, KO, Simple Western, WB
NBP3-16540
Species: Hu, Mu, Rt
Applications: ICC/IF, IHC,  IHC-P, WB
DY1747
Species: Hu
Applications: ELISA
AF231
Species: Hu
Applications: CyTOF-ready, Dual ISH-IHC, ELISA(Cap), ELISA(Det), ELISA(Sta), Flow, ICC, IHC, IP, Simple Western, WB
DKK300
Species: Hu
Applications: ELISA
NBP1-78977
Species: Hu, Mu, Rt
Applications: Flow-IC, Flow, ICC/IF, IHC,  IHC-P, IM, IP, Simple Western, WB
H00005555-P01
Species: Hu
Applications: ELISA, AP, PA, PAGE, WB
NBP3-25721
Species: Ca, Fe, Hu, Mu, Rt
Applications: ICC/IF, IHC,  IHC-P, WB

Publications for SIM2 Antibody (NBP1-88619) (0)

There are no publications for SIM2 Antibody (NBP1-88619).
By submitting your publication information earn gift cards and discounts for future purchases.

Reviews for SIM2 Antibody (NBP1-88619) (0)

There are no reviews for SIM2 Antibody (NBP1-88619). By submitting a review you will receive an Amazon e-Gift Card or Novus Product Discount.
  • Review with no image -- $10/€7/£6/$10 CAD/¥70 Yuan/¥1110 Yen
  • Review with an image -- $25/€18/£15/$25 CAD/¥150 Yuan/¥2500 Yen

Product General Protocols

Find general support by application which include: protocols, troubleshooting, illustrated assays, videos and webinars.

Video Protocols

ICC/IF Video Protocol

FAQs for SIM2 Antibody (NBP1-88619) (0)

There are no specific FAQs related to this product. Read our general customer & technical service FAQs.

Secondary Antibodies

 

Isotype Controls

Additional SIM2 Products

Array NBP1-88619

Research Areas for SIM2 Antibody (NBP1-88619)

Find related products by research area.

Blogs on SIM2

There are no specific blogs for SIM2, but you can read our latest blog posts.

Contact Information

Product PDFs

Calculators

Concentration Calculator

The concentration calculator allows you to quickly calculate the volume, mass or concentration of your vial. Simply enter your mass, volume, or concentration values for your reagent and the calculator will determine the rest.

=
÷

Review this Product

Be the first to review our SIM2 Antibody and receive a gift card or discount.

Bioinformatics

Gene Symbol SIM2