SHROOM3 Antibody

Images

 
Orthogonal Strategies: Immunohistochemistry-Paraffin: SHROOM3 Antibody [NBP2-14617] - Analysis in human gallbladder and skeletal muscle tissues using NBP2-14617 antibody. Corresponding SHROOM3 RNA-seq data are ...read more
Immunohistochemistry-Paraffin: SHROOM3 Antibody [NBP2-14617] - Staining of human Skeletal muscle shows no positivity in myocytes as expected.
Immunohistochemistry-Paraffin: SHROOM3 Antibody [NBP2-14617] - Staining of human gallbladder shows strong cytoplasmic and membranous positivity in glandular cells.
Immunohistochemistry-Paraffin: SHROOM3 Antibody [NBP2-14617] - Staining of human fallopian tube shows strong membranous and cytoplasmic postivity in glandular cells.
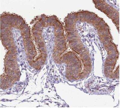
Immunohistochemistry-Paraffin: SHROOM3 Antibody [NBP2-14617] - Staining of human colon shows strong cytoplasmic and membranous postivity in glandular cells.
Immunohistochemistry-Paraffin: SHROOM3 Antibody [NBP2-14617] - Staining of human endometrium shows strong membranous and cytoplasmic postivity in glandular cells.

Product Details

Summary
Product Discontinued
View other related SHROOM3 Primary Antibodies
Validated by:
       

Orthogonal Strategies

 

Order Details


    • Catalog Number
      NBP2-14617
    • Availability
      Product Discontinued

    Can't find what you are looking for? Use our Antibody Concierge Service & we will help you locate your antibody!

    Or feel free to contact us for alternative products.

SHROOM3 Antibody Summary

Immunogen
This antibody was developed against a recombinant protein corresponding to the amino acids: EEGTRKRVSLPQWPPPSRAKWAHAAREDSLPEESSAPDFANLKHYQKQQSLPSLCSTSDPDTPLGAPSTPGRISLRISESVLRDSPPPHEDYEDEVF
Isotype
IgG
Clonality
Polyclonal
Host
Rabbit
Gene
SHROOM3
Purity
Immunogen affinity purified
Innovator's Reward
Test in a species/application not listed above to receive a full credit towards a future purchase.

Applications/Dilutions

Dilutions
  • Immunohistochemistry 1:50 - 1:200
  • Immunohistochemistry-Paraffin 1:50-1:200
Application Notes
For IHC-Paraffin, HIER pH 6 retrieval is recommended.

Packaging, Storage & Formulations

Storage
Store at 4C short term. Aliquot and store at -20C long term. Avoid freeze-thaw cycles.
Buffer
PBS (pH 7.2) and 40% Glycerol
Preservative
0.02% Sodium Azide
Purity
Immunogen affinity purified

Alternate Names for SHROOM3 Antibody

  • APXL3
  • MSTP013
  • SHRM
  • ShrmL
  • SHROOM3 shroom family member 3

Limitations

This product is for research use only and is not approved for use in humans or in clinical diagnosis. Primary Antibodies are guaranteed for 1 year from date of receipt.

Customers Who Viewed This Item Also Viewed...

NBP2-15971
Species: Hu, Mu, Rt
Applications: ICC/IF, IHC,  IHC-P, KO, WB
H00057630-M01
Species: Hu, Mu, Rt
Applications: ELISA, IP, WB
NBP1-91988
Species: Hu, Mu, Rt
Applications: IHC,  IHC-P, WB
AF2685
Species: Hu
Applications: IHC, Simple Western, WB
NBP2-25160
Species: Bv, Ca, Eq, Hu, Mu, Po, Rt
Applications: ICC/IF, IHC, WB
NBP1-58359
Species: Hu
Applications: IHC,  IHC-P, WB
AF5175
Species: Mu
Applications: IHC, Simple Western, WB
NBP2-15437
Species: Hu, Pm, Mu
Applications: IHC, IHC-Fr,  IHC-P, WB
NBP1-85047
Species: Hu, Mu, Po, Rt
Applications: ICC/IF, IHC,  IHC-P, WB
AF6465
Species: Hu, Rt
Applications: ICC, WB
H00010097-M01
Species: Hu
Applications: ELISA, IHC,  IHC-P, S-ELISA, WB
AF7865
Species: Hu, Mu, Rt
Applications: ICC, WB
H00003059-M02
Species: Hu
Applications: ELISA, IHC,  IHC-P, KD, PLA, S-ELISA, WB
NB100-91273
Species: Hu, Mu, Pm, Rt
Applications: ICC/IF, IHC,  IHC-P, WB
MAB7739
Species: Hu
Applications: ICC, Simple Western, WB
NBP1-87789
Species: Hu
Applications: ICC/IF, IHC,  IHC-P
NBP2-24750
Species: Hu, Mu, Pm, Rt
Applications: IHC,  IHC-P, WB
MAB6896
Species: Hu, Mu, Rt
Applications: IHC, Simple Western, WB

Publications for SHROOM3 Antibody (NBP2-14617) (0)

There are no publications for SHROOM3 Antibody (NBP2-14617).
By submitting your publication information earn gift cards and discounts for future purchases.

Reviews for SHROOM3 Antibody (NBP2-14617) (0)

There are no reviews for SHROOM3 Antibody (NBP2-14617). By submitting a review you will receive an Amazon e-Gift Card or Novus Product Discount.
  • Review with no image -- $10/€7/£6/$10 CAD/¥70 Yuan/¥1110 Yen
  • Review with an image -- $25/€18/£15/$25 CAD/¥150 Yuan/¥2500 Yen

Product General Protocols

Find general support by application which include: protocols, troubleshooting, illustrated assays, videos and webinars.

FAQs for SHROOM3 Antibody (NBP2-14617) (0)

There are no specific FAQs related to this product. Read our general customer & technical service FAQs.

Contact Information

Product PDFs

Calculators

Concentration Calculator

The concentration calculator allows you to quickly calculate the volume, mass or concentration of your vial. Simply enter your mass, volume, or concentration values for your reagent and the calculator will determine the rest.

=
÷

Review this Product

Be the first to review our SHROOM3 Antibody and receive a gift card or discount.

Bioinformatics

Gene Symbol SHROOM3