SH3PXD2B Antibody - BSA Free

Images

 
Genetic Strategies: Western Blot: SH3PXD2B Antibody [NBP1-93965] - Analysis in U2OS cells transfected with control siRNA, target specific siRNA probe #1 and #2. Remaining relative intensity is presented. Loading ...read more
Immunocytochemistry/ Immunofluorescence: SH3PXD2B Antibody [NBP1-93965] - Staining of human cell line U-2 OS shows localization to nucleus & plasma membrane. Antibody staining is shown in green.
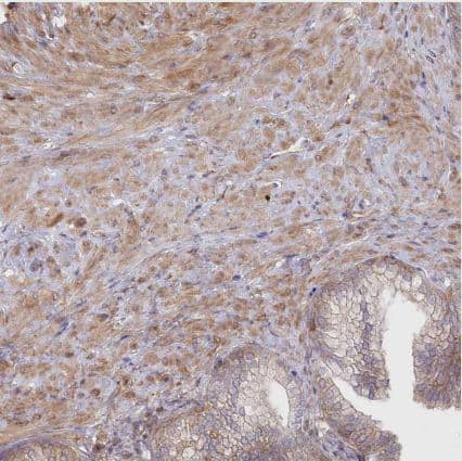
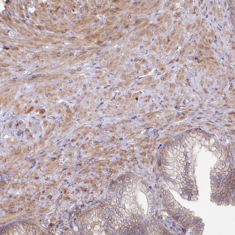
Immunohistochemistry-Paraffin: SH3PXD2B Antibody [NBP1-93965] - Staining of human prostate shows moderate cytoplasmic positivity in smooth muscle cells.
Genetic Strategies: Analysis in U2OS cells transfected with control siRNA, target specific siRNA probe #1 and #2. Remaining relative intensity is presented. Loading control: Anti-GAPDH.
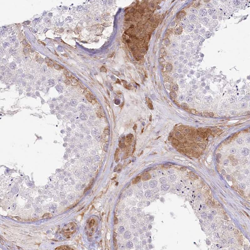
Staining of human testis shows strong cytoplasmic positivity in Leydig cells.
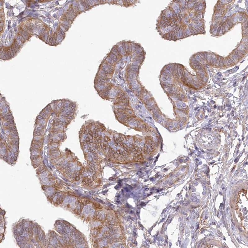
Staining of human Fallopian tube shows moderate cytoplasmic positivity in glandular cells.
Staining of human prostate shows moderate cytoplasmic positivity in smooth muscle cells.
Staining of human skeletal muscle shows low expression in myocytes as expected.

Product Details

Summary
Reactivity HuSpecies Glossary
Applications WB, ICC/IF, IHC, Mycoplasma
Clonality
Polyclonal
Host
Rabbit
Conjugate
Unconjugated
Format
BSA Free
Validated by:
     

Genetic Strategies

   

Order Details

View Available Formulations
Catalog# & Formulation Size Price

SH3PXD2B Antibody - BSA Free Summary

Description
Novus Biologicals Rabbit SH3PXD2B Antibody - BSA Free (NBP1-93965) is a polyclonal antibody validated for use in IHC, WB and ICC/IF. Anti-SH3PXD2B Antibody: Cited in 1 publication. All Novus Biologicals antibodies are covered by our 100% guarantee.
Immunogen
This antibody was developed against Recombinant Protein corresponding to amino acids: PPGVILPMMPAKHIPPARDSRRPEPKPDKSRLFQLKNDMGLECGHKVLAKEVKKPNLRPISKSKTDLPEEKPDATPQNPFLKSRPQV
Isotype
IgG
Clonality
Polyclonal
Host
Rabbit
Gene
SH3PXD2B
Purity
Immunogen affinity purified
Innovator's Reward
Test in a species/application not listed above to receive a full credit towards a future purchase.

Applications/Dilutions

Dilutions
  • Immunocytochemistry/ Immunofluorescence 0.25-2 ug/ml
  • Immunohistochemistry 1:200 - 1:500
  • Immunohistochemistry-Paraffin 1:200 - 1:500
  • Knockdown Validated
  • Western Blot 0.04 - 0.4 ug/ml
Application Notes
For IHC-Paraffin, HIER pH 6 retrieval is recommended. ICC/IF Fixation Permeabilization: Use PFA/Triton X-100.
Control Peptide
SH3PXD2B Protein (NBP1-93965PEP)
Publications
Read Publication using
NBP1-93965 in the following applications:

  • WB
    1 publication

Reactivity Notes

Immunogen displays the following percentage of sequence identity for non-tested species: Rat (80%).

Packaging, Storage & Formulations

Storage
Store at 4C short term. Aliquot and store at -20C long term. Avoid freeze-thaw cycles.
Buffer
PBS (pH 7.2) and 40% Glycerol
Preservative
0.02% Sodium Azide
Purity
Immunogen affinity purified

Alternate Names for SH3PXD2B Antibody - BSA Free

  • SH3 and PX domains 2B

Limitations

This product is for research use only and is not approved for use in humans or in clinical diagnosis. Primary Antibodies are guaranteed for 1 year from date of receipt.

Customers Who Viewed This Item Also Viewed...

AF2685
Species: Hu
Applications: IHC, Simple Western, WB
NBP2-15971
Species: Hu, Mu, Rt
Applications: ICC/IF, IHC,  IHC-P, KO, WB
AF231
Species: Hu
Applications: CyTOF-ready, Dual ISH-IHC, ELISA(Cap), ELISA(Det), ELISA(Sta), Flow, ICC, IHC, IP, Simple Western, WB
NBP2-49230
Species: Hu
Applications: ICC/IF, IHC,  IHC-P, WB
NB100-56722
Species: Ca, Hu, Mu, Rb, Rt
Applications: B/N, DB, ELISA, Flow-CS, Flow, Func, ICC/IF, IP, In vitro, WB
MAB9181
Species: Hu
Applications: CyTOF-ready, Flow, IHC, IP, WB
NBP1-31546
Species: Hu, Mu, Rt
Applications: Flow, ICC/IF, IHC,  IHC-P, IP, WB
NBP3-45362
Species: Hu, Mu, Rt
Applications: ELISA, ICC/IF, IHC, WB
NBP2-94716
Species: Hu, Mu, Rt
Applications: ELISA, WB
NB300-950
Species: Hu, Mu
Applications: IHC,  IHC-P, PEP-ELISA, WB
MAB1904
Species: Hu
Applications: ICC, IHC, WB
NBP2-22106
Species: Hu, Mu, Rt
Applications: IHC,  IHC-P, IP, WB
NBP1-89163
Species: Hu
Applications: ICC/IF, IHC,  IHC-P
NBP2-13677
Species: Hu
Applications: ICC/IF, IHC,  IHC-P, WB

Publications for SH3PXD2B Antibody (NBP1-93965)(1)

We have publications tested in 1 confirmed species: Human.

We have publications tested in 1 application: WB.


Filter By Application
WB
(1)
All Applications
Filter By Species
Human
(1)
All Species

Reviews for SH3PXD2B Antibody (NBP1-93965) (0)

There are no reviews for SH3PXD2B Antibody (NBP1-93965). By submitting a review you will receive an Amazon e-Gift Card or Novus Product Discount.
  • Review with no image -- $10/€7/£6/$10 CAD/¥70 Yuan/¥1110 Yen
  • Review with an image -- $25/€18/£15/$25 CAD/¥150 Yuan/¥2500 Yen

Product General Protocols

Find general support by application which include: protocols, troubleshooting, illustrated assays, videos and webinars.

Video Protocols

WB Video Protocol
ICC/IF Video Protocol

FAQs for SH3PXD2B Antibody (NBP1-93965) (0)

There are no specific FAQs related to this product. Read our general customer & technical service FAQs.

Customers Who Bought This Also Bought

Contact Information

Product PDFs

Calculators

Concentration Calculator

The concentration calculator allows you to quickly calculate the volume, mass or concentration of your vial. Simply enter your mass, volume, or concentration values for your reagent and the calculator will determine the rest.

=
÷

Review this Product

Be the first to review our SH3PXD2B Antibody - BSA Free and receive a gift card or discount.

Bioinformatics

Gene Symbol SH3PXD2B