SERP1 Antibody - BSA Free

Images

 
Western Blot: SERP1 Antibody [NBP2-54686] - Lane 1: NIH-3T3 cell lysate (Mouse embryonic fibroblast cells) Lane 2: NBT-II cell lysate (Rat Wistar bladder tumour cells)
Immunocytochemistry/ Immunofluorescence: SERP1 Antibody [NBP2-54686] - Staining of human cell line A-431 shows localization to endoplasmic reticulum.
Immunohistochemistry-Paraffin: SERP1 Antibody [NBP2-54686] - Staining of human pancreas shows strong cytoplasmic positivity in Islets of Langerhans.
Western Blot: SERP1 Antibody [NBP2-54686] - Lane 1: Marker [kDa] 250, 130, 95, 72, 55, 36, 28, 17, 10Lane 2: Human cell line RT-4 Lane 3: Human cell line U-251 MG Lane 4: Human plasma Lane 5: Human Liver tissue
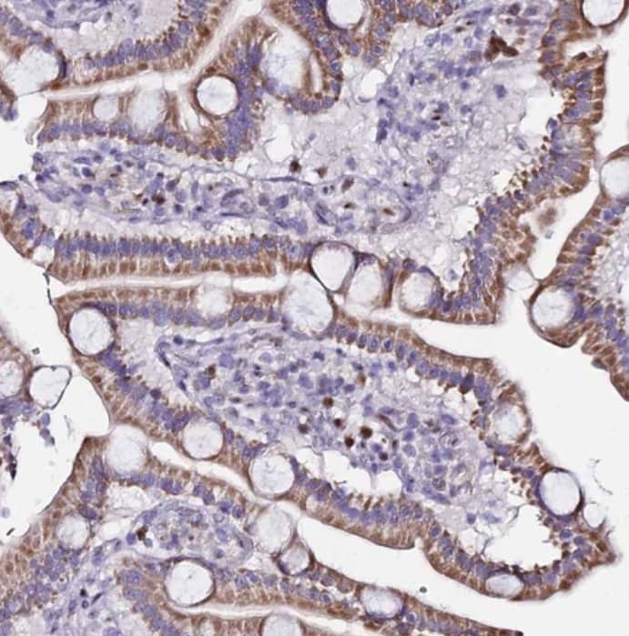
Staining of human Duodenum shows moderate granular cytoplasmic positivity in glandular cells.
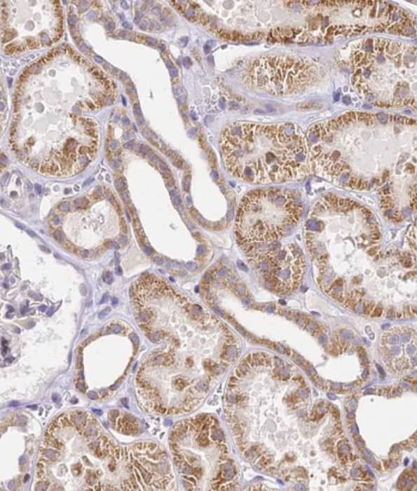
Staining of human Kidney shows moderate granular cytoplasmic positivity in cells in tubules.
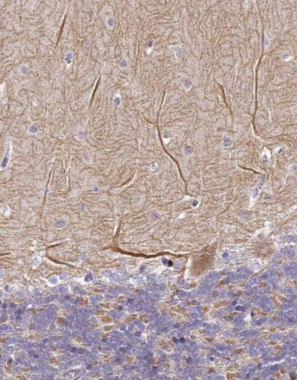
Staining of human Cerebellum shows weak granular cytoplasmic positivity in Purkinje cells.

Product Details

Summary
Reactivity Hu, Mu, RtSpecies Glossary
Applications WB, ICC/IF, IHC
Clonality
Polyclonal
Host
Rabbit
Conjugate
Unconjugated
Format
BSA Free

Order Details

View Available Formulations
Catalog# & Formulation Size Price

SERP1 Antibody - BSA Free Summary

Description
Novus Biologicals Rabbit SERP1 Antibody - BSA Free (NBP2-54686) is a polyclonal antibody validated for use in IHC, WB and ICC/IF. All Novus Biologicals antibodies are covered by our 100% guarantee.
Immunogen
This antibody was developed against a Recombinant Protein corresponding to amino acids: VAKQRIRMANEKHSKNITQRGNVAKT
Isotype
IgG
Clonality
Polyclonal
Host
Rabbit
Gene
SERP1
Purity
Affinity purified
Innovator's Reward
Test in a species/application not listed above to receive a full credit towards a future purchase.

Applications/Dilutions

Dilutions
  • Immunocytochemistry/ Immunofluorescence 0.25-2 ug/ml
  • Immunohistochemistry 1:50 - 1:200
  • Immunohistochemistry-Paraffin 1:50 - 1:200
  • Western Blot 0.04-0.4 ug/ml
Application Notes
IHC-Paraffin, HIER pH 6 retrieval is recommended. ICC/IF,Fixation Permeabilization: Use PFA/Triton X-100.
Control Peptide
SERP1 Recombinant Protein Antigen (NBP2-54686PEP)

Packaging, Storage & Formulations

Storage
Store at 4C short term. Aliquot and store at -20C long term. Avoid freeze-thaw cycles.
Buffer
PBS (pH 7.2) and 40% Glycerol
Preservative
0.02% Sodium Azide
Purity
Affinity purified

Alternate Names for SERP1 Antibody - BSA Free

  • FLJ43424
  • MGC117327
  • MGC133321
  • RAMP4MGC133322
  • ribosome associated membrane protein 4
  • Ribosome-attached membrane protein 4
  • stress-associated endoplasmic reticulum protein 1

Background

Interacts with target proteins during their translocation into the lumen of the endoplasmic reticulum. Protects unfolded target proteins against degradation during ER stress. May facilitate glycosylation of target proteins after termination of ER stress. May modulate the use of N-glycosylation sites on target proteins (By similarity)

Limitations

This product is for research use only and is not approved for use in humans or in clinical diagnosis. Primary Antibodies are guaranteed for 1 year from date of receipt.

Customers Who Viewed This Item Also Viewed...

H00000439-M03
Species: Hu, Rt
Applications: ELISA, ICC/IF, IHC,  IHC-P, KD, WB
NBP3-12232
Species: Hu, Mu, Rt
Applications: ELISA, IHC,  IHC-P, IP, WB
NBP1-06274
Species: Ce, Ch, Dr, Hu, Mu, Rt, Sh, Ze
Applications: Flow, ICC/IF, IHC-FrFl, IHC,  IHC-P, Simple Western, WB
MAB1417
Species: Bv, Hu, Mu
Applications: ICC, IHC
NB100-1965
Species: Av, Bv, Ch, Dr, Gp, Hu, Mu, Po, Rb, Rt, Sh, Xp, Ze
Applications: Flow, ICC/IF, IHC,  IHC-P, IP, Simple Western, WB
1310-SE
Species: Hu
Applications: EnzAct
AF1157
Species: Mu
Applications: IHC, WB
H00148327-M01
Species: Hu
Applications: ELISA, ICC/IF, KD, PLA, WB
NBP1-62583
Species: Hu
Applications: WB
NBP3-47902
Species: Hu, Mu, Rt
Applications: ELISA, IHC, WB
NBP2-30949
Species: Hu
Applications: IHC,  IHC-P
AF1543
Species: Hu
Applications: IHC, WB
NBP1-97512
Species: Mu
Applications: ICC/IF, IHC, IHC-Fr,  IHC-P, IP, WB
NB100-74635
Species: Hu
Applications: IHC,  IHC-P, IP, WB (-)
NBP2-44520
Species: Ca(-), Hu, Rt(-)
Applications: Flow-IC, Flow, ICC/IF, IF, IHC,  IHC-P, MI, WB
NBP1-81293
Species: Hu
Applications: ICC/IF, IHC,  IHC-P, KD, WB
DTPA00
Species: Hu
Applications: ELISA
NBP2-49284
Species: Hu
Applications: ICC/IF, IHC,  IHC-P, Simple Western, WB
NBP3-35145
Species: Hu, Mu, Rt
Applications: ELISA, ICC/IF, IHC,  IHC-P, WB
NBP2-54686
Species: Hu, Mu, Rt
Applications: WB, ICC/IF, IHC

Publications for SERP1 Antibody (NBP2-54686) (0)

There are no publications for SERP1 Antibody (NBP2-54686).
By submitting your publication information earn gift cards and discounts for future purchases.

Reviews for SERP1 Antibody (NBP2-54686) (0)

There are no reviews for SERP1 Antibody (NBP2-54686). By submitting a review you will receive an Amazon e-Gift Card or Novus Product Discount.
  • Review with no image -- $10/€7/£6/$10 CAD/¥70 Yuan/¥1110 Yen
  • Review with an image -- $25/€18/£15/$25 CAD/¥150 Yuan/¥2500 Yen

Product General Protocols

Find general support by application which include: protocols, troubleshooting, illustrated assays, videos and webinars.

Video Protocols

WB Video Protocol
ICC/IF Video Protocol

FAQs for SERP1 Antibody (NBP2-54686) (0)

There are no specific FAQs related to this product. Read our general customer & technical service FAQs.

Customers Who Bought This Also Bought

Contact Information

Product PDFs

Calculators

Concentration Calculator

The concentration calculator allows you to quickly calculate the volume, mass or concentration of your vial. Simply enter your mass, volume, or concentration values for your reagent and the calculator will determine the rest.

=
÷

Review this Product

Be the first to review our SERP1 Antibody - BSA Free and receive a gift card or discount.

Bioinformatics

Gene Symbol SERP1