Septin-1 Antibody - BSA Free

Images

 
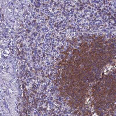
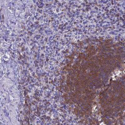
Orthogonal Strategies: Immunohistochemistry-Paraffin: Septin-1 Antibody [NBP1-84251] - Staining in human spleen and liver tissues using anti-SEPT1 antibody. Corresponding SEPT1 RNA-seq data are presented for the ...read more
Immunohistochemistry-Paraffin: Septin-1 Antibody [NBP1-84251] - Staining of human liver shows low expression as expected.
Immunohistochemistry-Paraffin: Septin-1 Antibody [NBP1-84251] - Staining of human spleen shows high expression.
Analysis in control (vector only transfected HEK293T lysate) and LY409449 over-expression lysate (Co-expressed with a C-terminal myc-DDK tag (~3.1 kDa) in mammalian HEK293T cells, LY409449).

Product Details

Summary
Reactivity Hu, Mu, RtSpecies Glossary
Applications WB, IHC
Clonality
Polyclonal
Host
Rabbit
Conjugate
Unconjugated
Format
BSA Free
Validated by:
       

Orthogonal Strategies

 

Order Details

View Available Formulations
Catalog# & Formulation Size Price

Septin-1 Antibody - BSA Free Summary

Description
Novus Biologicals Rabbit Septin-1 Antibody - BSA Free (NBP1-84251) is a polyclonal antibody validated for use in IHC and WB. All Novus Biologicals antibodies are covered by our 100% guarantee.
Immunogen
This antibody was developed against Recombinant Protein corresponding to amino acids: EVTHDLLYEGYRARCLQSLARPGARDRASRSKLSRQSATEIPLPMLPLADTEK
Predicted Species
Mouse (100%), Rat (100%). Backed by our 100% Guarantee.
Isotype
IgG
Clonality
Polyclonal
Host
Rabbit
Gene
SEPTIN1
Purity
Immunogen affinity purified
Innovator's Reward
Test in a species/application not listed above to receive a full credit towards a future purchase.

Applications/Dilutions

Dilutions
  • Immunohistochemistry 1:1000 - 1:2500
  • Immunohistochemistry-Paraffin 1:1000 - 1:2500
  • Western Blot 0.04-0.4 ug/ml
Application Notes
For IHC-Paraffin, HIER pH 6 retrieval is recommended.
Control Peptide
Septin-1 Protein (NBP1-84251PEP)

Packaging, Storage & Formulations

Storage
Store at 4C short term. Aliquot and store at -20C long term. Avoid freeze-thaw cycles.
Buffer
PBS (pH 7.2) and 40% Glycerol
Preservative
0.02% Sodium Azide
Purity
Immunogen affinity purified

Alternate Names for Septin-1 Antibody - BSA Free

  • DIFF6SEP1
  • differentiation 6 (deoxyguanosine triphosphate triphosphohydrolase)
  • LARP
  • Peanut-like protein 3
  • PNUTL3MGC20394
  • septin 1
  • septin-1
  • Serologically defined breast cancer antigen NY-BR-24

Background

This gene is a member of the septin family of GTPases. Members of this family are required for cytokinesis. This gene encodes a protein associated with the tau-based paired helical filament core, and may contribute to the formation of neurofibrillary tangles in Alzheimer's disease.

Limitations

This product is for research use only and is not approved for use in humans or in clinical diagnosis. Primary Antibodies are guaranteed for 1 year from date of receipt.

Customers Who Viewed This Item Also Viewed...

NB500-191
Species: Hu, Mu
Applications: IP, WB
AF2340
Species: Hu
Applications: CyTOF-ready, Flow, IP, WB
AF3749
Species: Hu
Applications: IHC, WB
NBP1-84307
Species: Hu
Applications: ICC/IF, WB
NBP1-48002
Species: Ca, Hu, Pm, Pm
Applications: ICC/IF, IHC,  IHC-P, IP, WB
AF933
Species: Ha, Hu, Mu, Rt
Applications: Block, Flow, IHC, IP, Simple Western, WB
NB100-148
Species: Ch, Hu, Mu, Rt
Applications: ChIP, ICC/IF, IHC, IHC-Fr,  IHC-P, IP, In vitro, KD, PLA, WB
NB100-2204
Species: Hu, Mu
Applications: IHC,  IHC-P, IP, WB
NBP2-01346
Species: Ca, Hu, Pm, Mu, Pm, Rt
Applications: Flow, ICC/IF, IHC,  IHC-P, WB
H00006890-M04
Species: Hu
Applications: ELISA, Flow, ICC/IF, WB
NBP3-41339
Species: Hu, Mu, Rt
Applications: IHC,  IHC-P, WB
NBP1-84251
Species: Hu, Mu, Rt
Applications: WB, IHC

Publications for Septin-1 Antibody (NBP1-84251) (0)

There are no publications for Septin-1 Antibody (NBP1-84251).
By submitting your publication information earn gift cards and discounts for future purchases.

Reviews for Septin-1 Antibody (NBP1-84251) (0)

There are no reviews for Septin-1 Antibody (NBP1-84251). By submitting a review you will receive an Amazon e-Gift Card or Novus Product Discount.
  • Review with no image -- $10/€7/£6/$10 CAD/¥70 Yuan/¥1110 Yen
  • Review with an image -- $25/€18/£15/$25 CAD/¥150 Yuan/¥2500 Yen

Product General Protocols

Find general support by application which include: protocols, troubleshooting, illustrated assays, videos and webinars.

Video Protocols

WB Video Protocol

FAQs for Septin-1 Antibody (NBP1-84251) (0)

There are no specific FAQs related to this product. Read our general customer & technical service FAQs.

Secondary Antibodies

 

Isotype Controls

Additional Septin-1 Products

Research Areas for Septin-1 Antibody (NBP1-84251)

Find related products by research area.

Blogs on Septin-1

There are no specific blogs for Septin-1, but you can read our latest blog posts.

Customers Who Bought This Also Bought

Contact Information

Product PDFs

Calculators

Concentration Calculator

The concentration calculator allows you to quickly calculate the volume, mass or concentration of your vial. Simply enter your mass, volume, or concentration values for your reagent and the calculator will determine the rest.

=
÷

Review this Product

Be the first to review our Septin-1 Antibody - BSA Free and receive a gift card or discount.

Bioinformatics

Gene Symbol SEPTIN1