SENP6 Antibody

Images

 
Immunocytochemistry/ Immunofluorescence: SENP6 Antibody [NBP1-82958] - Immunofluorescent staining of human cell line A-431 shows localization to nucleoplasm.
Immunohistochemistry-Paraffin: SENP6 Antibody [NBP1-82958] - Staining of human placenta shows moderate nuclear positivity in trophoblastic cells.
Immunohistochemistry-Paraffin: SENP6 Antibody [NBP1-82958] - Staining of human testis shows strong nuclear positivity in Leydig cells.
Immunohistochemistry-Paraffin: SENP6 Antibody [NBP1-82958] - Staining of human prostate shows weak positivity in nucleoli in glandular cells.
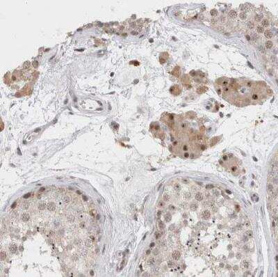
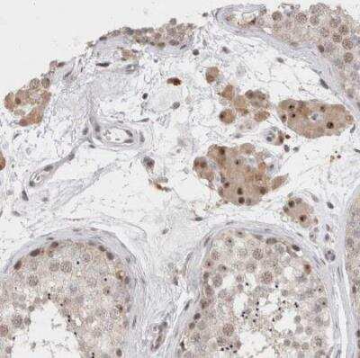
Immunohistochemistry-Paraffin: SENP6 Antibody [NBP1-82958] - Staining of human skin shows strong positivity in nucleoli in squamous epithelial cells.

Product Details

Summary
Product Discontinued
View other related SENP6 Primary Antibodies

Order Details


    • Catalog Number
      NBP1-82958
    • Availability
      Product Discontinued

    Can't find what you are looking for? Use our Antibody Concierge Service & we will help you locate your antibody!

    Or feel free to contact us for alternative products.

SENP6 Antibody Summary

Immunogen
This antibody was developed against Recombinant Protein corresponding to amino acids: PTPPLSPASKKCLTHLEDLQRNCRQAITLNESTGPLLRTSIHQNSGGQKSQNTGLTTKKFYGNNVEKVPIDIIVNCDDSKHTYLQTNGKVILPGAKIPKITNLKERKTSLSDLNDPIILSSDDDDDNDRTNRRESISPQPADSACSSPA
Isotype
IgG
Clonality
Polyclonal
Host
Rabbit
Gene
SENP6
Purity
Immunogen affinity purified
Innovator's Reward
Test in a species/application not listed above to receive a full credit towards a future purchase.

Applications/Dilutions

Dilutions
  • Immunocytochemistry/ Immunofluorescence 0.25-2 ug/ml
  • Immunohistochemistry 1:200 - 1:500
  • Immunohistochemistry-Paraffin 1:200 - 1:500
Application Notes
For IHC-Paraffin, HIER pH 6 retrieval is recommended. ICC/IF, Fixation Permeabilization: Use PFA/Triton X-100.
Publications
Read Publication using NBP1-82958.

Packaging, Storage & Formulations

Storage
Store at 4C short term. Aliquot and store at -20C long term. Avoid freeze-thaw cycles.
Buffer
PBS (pH 7.2) and 40% Glycerol
Preservative
0.02% Sodium Azide
Purity
Immunogen affinity purified

Alternate Names for SENP6 Antibody

  • EC 3.4.22.-
  • KIAA0797FLJ11887
  • Sentrin/SUMO-specific protease SENP6
  • sentrin-specific protease 6
  • SSP1KIAA0389
  • SUMO1/sentrin specific peptidase 6,2810017C20Rik
  • SUMO1/sentrin specific protease 6
  • SUMO-1-specific protease 1
  • SUSP1FLJ11355

Background

Ubiquitin-like molecules (UBLs), such as SUMO1 (UBL1; MIM 601912), are structurally related to ubiquitin (MIM 191339) and can be ligated to target proteins in a similar manner as ubiquitin. However, covalent attachment of UBLs does not result in degradation of the modified proteins. SUMO1 modification is implicated in the targeting of RANGAP1 (MIM 602362) to the nuclear pore complex, as well as in stabilization of I-kappa-B-alpha (NFKBIA; MIM 164008) from degradation by the 26S proteasome. Like ubiquitin, UBLs are synthesized as precursor proteins, with 1 or more amino acids following the C-terminal glycine-glycine residues of the mature UBL protein. Thus, the tail sequences of the UBL precursors need to be removed by UBL-specific proteases, such as SENP6, prior to their conjugation to target proteins (Kim et al., 2000 [PubMed 10799485]).[supplied by OMIM]

Limitations

This product is for research use only and is not approved for use in humans or in clinical diagnosis. Primary Antibodies are guaranteed for 1 year from date of receipt.

Customers Who Viewed This Item Also Viewed...

NBP2-32901
Species: Hu, Rt
Applications: Flow, ICC/IF, IHC,  IHC-P, WB
NBP3-16540
Species: Hu, Mu, Rt
Applications: ICC/IF, IHC,  IHC-P, WB
MAB2959
Species: Hu
Applications: ICC
NBP2-03852
Species: Hu, Pm, Mu, Pm, Rt
Applications: Flow, ICC/IF, IHC,  IHC-P, WB
NBP1-86394
Species: Hu
Applications: ICC/IF, IHC,  IHC-P
NB100-56405
Species: Hu, Mu
Applications: ICC/IF, IHC,  IHC-P, Simple Western, WB
AF808
Species: Mu
Applications: ELISA(Cap), ELISA(Det), ELISA(Sta), ICC, IHC, Neut, WB
NBP1-56590
Species: Hu, Rt
Applications: ICC/IF, WB
NBP1-83060
Species: Hu
Applications: ICC/IF, IHC,  IHC-P
NB100-59787
Species: Hu, Mu
Applications: Flow, IB, ICC/IF, IHC,  IHC-P, IP, KD, PLA, WB
NBP2-92873
Species: Hu, Mu, Rt
Applications: ELISA, IHC,  IHC-P, WB
NBP2-22106
Species: Hu, Mu, Rt
Applications: IHC,  IHC-P, IP, WB
NBP1-81696
Species: Hu, Mu, Rt
Applications: ICC/IF, IHC,  IHC-P, WB
NBP2-45516
Species: Hu, Mu, Rt
Applications: ICC/IF, IHC,  IHC-P, WB
H00006047-A01
Species: Hu
Applications: ELISA, IP, WB
NBP2-37956
Species: Hu
Applications: ICC/IF, IHC,  IHC-P
NBP1-30865
Species: Hu
Applications: IHC,  IHC-P, WB
NBP2-84247
Species: Hu
Applications: WB

Publications for SENP6 Antibody (NBP1-82958)(1)

We have publications tested in 1 confirmed species: Human.


Filter By Application
All Applications
Filter By Species
Human
(1)
All Species

Reviews for SENP6 Antibody (NBP1-82958) (0)

There are no reviews for SENP6 Antibody (NBP1-82958). By submitting a review you will receive an Amazon e-Gift Card or Novus Product Discount.
  • Review with no image -- $10/€7/£6/$10 CAD/¥70 Yuan/¥1110 Yen
  • Review with an image -- $25/€18/£15/$25 CAD/¥150 Yuan/¥2500 Yen

Product General Protocols

Find general support by application which include: protocols, troubleshooting, illustrated assays, videos and webinars.

Video Protocols

ICC/IF Video Protocol

FAQs for SENP6 Antibody (NBP1-82958) (0)

There are no specific FAQs related to this product. Read our general customer & technical service FAQs.

Contact Information

Product PDFs

Calculators

Concentration Calculator

The concentration calculator allows you to quickly calculate the volume, mass or concentration of your vial. Simply enter your mass, volume, or concentration values for your reagent and the calculator will determine the rest.

=
÷

Review this Product

Be the first to review our SENP6 Antibody and receive a gift card or discount.

Bioinformatics

Gene Symbol SENP6