S100A9 Antibody (MRP14/840) - Azide and BSA Free

Images

 
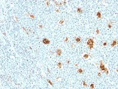
Immunohistochemistry-Paraffin: S100A9 Antibody (MRP14/840) - Azide and BSA Free [NBP3-11441] - Human Tonsil stained with MRP14 Monoclonal Antibody (MRP14/840)

Product Details

Summary
Reactivity HuSpecies Glossary
Applications Flow, ICC/IF, IHC, ICC/IF, IHC-Fr (-)
Clone
MRP14/840
Clonality
Monoclonal
Host
Mouse
Conjugate
Unconjugated
Format
Azide and BSA Free
Concentration
1 mg/ml

Order Details

View Available Formulations
Catalog# & Formulation Size Price

S100A9 Antibody (MRP14/840) - Azide and BSA Free Summary

Description
1.0 mg/ml of antibody purified from Bioreactor Concentrate. Prepared in 1mM PBS WITHOUT BSA. Also available at 200 ug/ml WITH BSA & azide (NBP2-45292).

Antibody with azide - store at 2 to 8C.
Immunogen
Recombinant human S100A9 protein (Uniprot: P06702)
Localization
Cytoplasmic
Marker
Macrophage Marker
Specificity
Recognizes a protein of14kDa, identified as MRP-14 (also known as Calgranulin B or S100AA9). It comprises 60% of the cytoplasmic protein fraction of circulating polymorphonuclear granulocytes and is also found in monocytes, macrophages and ileal tissue eosinophils. Peripheral blood monocytes carry the antigen extra- and intracellularly, neutrophils only intracellularly. It is a potent chemotactic factor for neutrophils. Plasma concentrations are elevated in diseases associated with increased neutrophil activity, like inflammatory bowel disease. Granulocytes terminate their existence after transmigration through the intestinal wall. Therefore, it is also detectable in feces. Elevated levels have been observed in body fluids such as plasma, saliva, gingival crevicular fluid, stools, and synovial fluid during infection and inflammatory conditions. This monoclonal antibody reacts with neutrophils, monocytes, and macrophages, and has been shown as an important marker for identifying macrophages in tissue sections.
Isotype
IgM Kappa
Clonality
Monoclonal
Host
Mouse
Gene
S100A9
Purity
Protein L or PEG purified
Innovator's Reward
Test in a species/application not listed above to receive a full credit towards a future purchase.

Applications/Dilutions

Dilutions
  • Flow Cytometry 0.5 - 1 ug/million cells in 0.1 ml
  • Immunocytochemistry/ Immunofluorescence 1-2 ug/ml
  • Immunofluorescence 0.5 - 1.0 ug/ml
  • Immunohistochemistry
  • Immunohistochemistry-Paraffin 0.5 - 1 ug/ml
Application Notes
Immunohistochemistry (Formalin-fixed. Not suitable for frozen tissues): 1-2ug/ml for 30 minutes at RT. Staining of formalin-fixed tissues requires heating tissue sections in 10mM Tris with 1mM EDTA, pH 9.0, for 45 min at 95C followed by cooling at RT for 20 minutes.
Optimal dilution for a specific application should be determined.
Theoretical MW
14 kDa.
Disclaimer note: The observed molecular weight of the protein may vary from the listed predicted molecular weight due to post translational modifications, post translation cleavages, relative charges, and other experimental factors.

Packaging, Storage & Formulations

Storage
Store at -20C. Avoid freeze-thaw cycles.
Buffer
1 mM PBS
Preservative
No Preservative
Concentration
1 mg/ml
Purity
Protein L or PEG purified

Alternate Names for S100A9 Antibody (MRP14/840) - Azide and BSA Free

  • CAGBMigration inhibitory factor-related protein 14
  • Calgranulin B
  • calgranulin-B
  • Calprotectin L1H subunit
  • CFAGMRP-14,60B8AG
  • CGLB
  • L1AG
  • LIAG
  • MAC387
  • MIF
  • MRP-14
  • MRP14Leukocyte L1 complex heavy chain
  • NIF
  • P14
  • protein S100-A9
  • S100 calcium binding protein A9 (calgranulin B)
  • S100 calcium binding protein A9
  • S100 calcium-binding protein A9 (calgranulin B)
  • S100 calcium-binding protein A9
  • S100A9

Background

S100A9 is a member of the S100 family of proteins containing 2 EF-hand calcium-binding motifs. S100 proteins are localized in the cytoplasm and/or nucleus of a wide range of cells, and are involved in the regulation of a number of cellular processes such as cell cycle progression and differentiation. S100A9 may function in the inhibition of casein kinase, and altered expression is associated with the disease cystic fibrosis. Overexpression of S100A9 has also recently been linked to a poor prognosis with invasive ductal carcinoma of the breast.

Limitations

This product is for research use only and is not approved for use in humans or in clinical diagnosis. Primary Antibodies are guaranteed for 1 year from date of receipt.

Customers Who Viewed This Item Also Viewed...

NB200-106
Species: Mu, Rt
Applications: ELISA, ICC/IF, IHC, IHC-Fr,  IHC-P, WB
AF3059
Species: Mu
Applications: ICC, Simple Western, WB
NBP2-29463
Species: Pm, Hu, Pm, Mu
Applications: Flow, ICC/IF, IHC,  IHC-P, WB
NB200-103
Species: Hu, Mu, Rt, Xp(-), Ye
Applications: CyTOF-ready, ELISA, Flow-IC, Flow, ICC/IF, IHC, IHC-Fr,  IHC-P, IP, WB
NBP2-46085
Species: Hu
Applications: IHC,  IHC-P, WB
H00027065-M01
Species: Hu, Rt
Applications: ELISA, ICC/IF, S-ELISA, WB
M6000B
Species: Mu
Applications: ELISA
NBP1-86784
Species: Hu
Applications: IHC,  IHC-P
NBP1-92355
Species: Hu, Mu, Rt
Applications: IHC,  IHC-P, WB
NBP2-45603
Species: Hu, Mu, Rt
Applications: Flow, IHC,  IHC-P, WB
NBP1-87103
Species: Hu, Mu
Applications: IHC,  IHC-P, WB
NBP1-87102
Species: Hu, Mu, Rt
Applications: ICC/IF, IHC,  IHC-P, WB
NBP1-20944
Species: Hu
Applications: Flow, ICC/IF, IHC,  IHC-P, PEP-ELISA, WB
NBP2-59320
Species: Ha, Hu, Mu, Rt
Applications: ICC/IF, IHC, WB
NBP1-32870
Species: Ch, Hu
Applications: IHC,  IHC-P, IP, KD, WB
AF2377
Species: Mu
Applications: IHC, Simple Western, WB
NBP1-82454
Species: Hu, Mu
Applications: ICC/IF, IHC,  IHC-P, WB
NBP3-38209
Species: Hu, Rt
Applications: ELISA, ICC/IF, IHC,  IHC-P, IP, WB
NBP3-11441
Species: Hu
Applications: Flow, ICC/IF, IHC, ICC/IF, IHC-Fr (-)

Publications for S100A9 Antibody (NBP3-11441) (0)

There are no publications for S100A9 Antibody (NBP3-11441).
By submitting your publication information earn gift cards and discounts for future purchases.

Reviews for S100A9 Antibody (NBP3-11441) (0)

There are no reviews for S100A9 Antibody (NBP3-11441). By submitting a review you will receive an Amazon e-Gift Card or Novus Product Discount.
  • Review with no image -- $10/€7/£6/$10 CAD/¥70 Yuan/¥1110 Yen
  • Review with an image -- $25/€18/£15/$25 CAD/¥150 Yuan/¥2500 Yen

Product General Protocols

Find general support by application which include: protocols, troubleshooting, illustrated assays, videos and webinars.

Video Protocols

ICC/IF Video Protocol

FAQs for S100A9 Antibody (NBP3-11441). (Showing 1 - 2 of 2 FAQ).

  1. Have any of your S100A9 antibodies been tested for use in neutralization, or blocking assays, on human samples?
    • Unfortunately at this time we have not tested, or received customer feedback on our S100A9 antibodies for use in blocking or neutralizing assays. If you were planning on testing any of our S100A9 antibodies for neutralizing or blocking capabilities, we would recommend our Innovator’s Reward Program. Under the terms of this program we would be happy to provide a credit for a free vial in exchange for new data on this previously untested or reported application. Please submit this data in the form of an online review. Additional <a href="http://www.novusbio.com/support/innovators-reward.html" target="_self">Innovators Reward Program</a> information can be found using this link.
  2. We would like to stain paraffin embedded human intestinal tissue for Calprotectin. One question will be which cells express the majority of Calprotectin - invading neutrophils vs epithelium for example. The antibody list you provide is quite extensive. Which antibody would you recommend for our purpose? Which tissue would you recommend as positive control.
    • Nine of our antibodies to Calprotectin have been validated for IHC-P with human tissue, and you can see all of these products. A number of our IHC images were generated using human spleen samples, and as such this may be a good choice of a positive control tissue. We do sell a human spleen slide product, which is suitable for IHC-P. Unfortunately I do not have an in-depth knowledge of Calprotectin, however the image shown for our antibody with catalogue number NBP1-02826 demonstrates clear staining of neutrophils. The following paper also suggests that the protein is abundant in neutrophils: PMID 11435495.

Customers Who Bought This Also Bought

Contact Information

Product PDFs

Calculators

Concentration Calculator

The concentration calculator allows you to quickly calculate the volume, mass or concentration of your vial. Simply enter your mass, volume, or concentration values for your reagent and the calculator will determine the rest.

=
÷

Review this Product

Be the first to review our S100A9 Antibody (MRP14/840) - Azide and BSA Free and receive a gift card or discount.

Bioinformatics

Gene Symbol S100A9