S100A9 Antibody (CL11191) - Azide and BSA Free

Images

 
Staining of human bone marrow shows moderate to strong cytoplasmic positivity in hematopoietic cells.
Orthogonal Strategies: Analysis in human bone marrow and kidney tissues using NBP3-43896 antibody. Corresponding S100A9 RNA-seq data are presented for the same tissues.
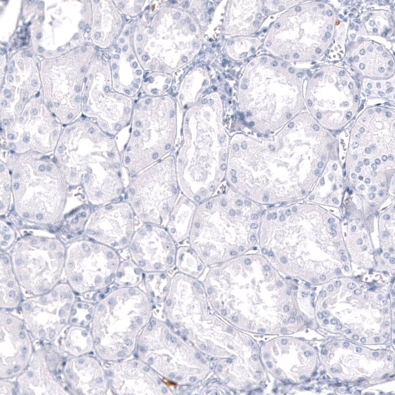
Staining of human kidney shows no positivity in cells in tubules as expected.
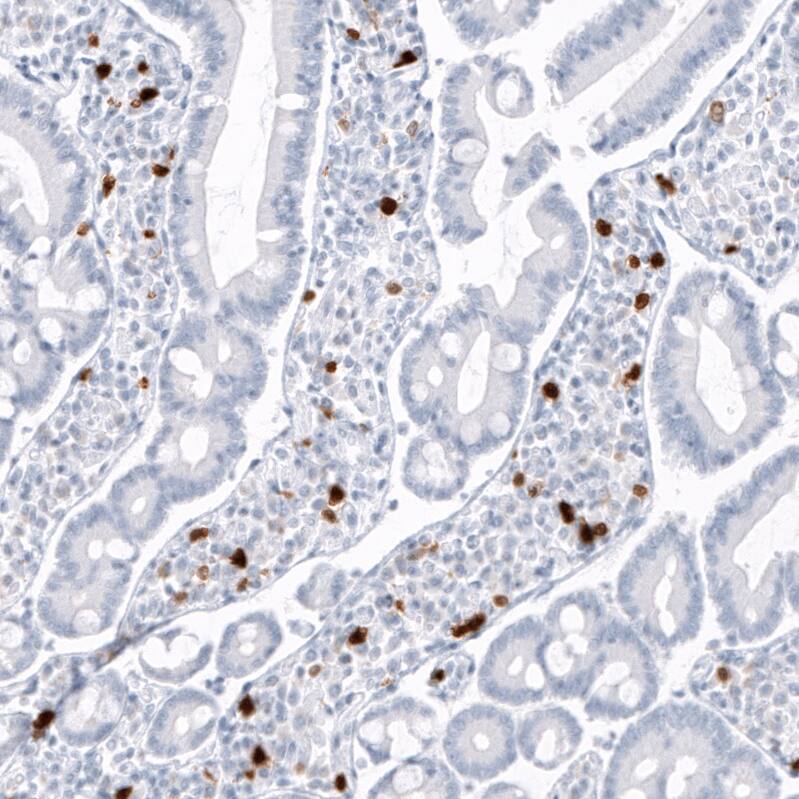
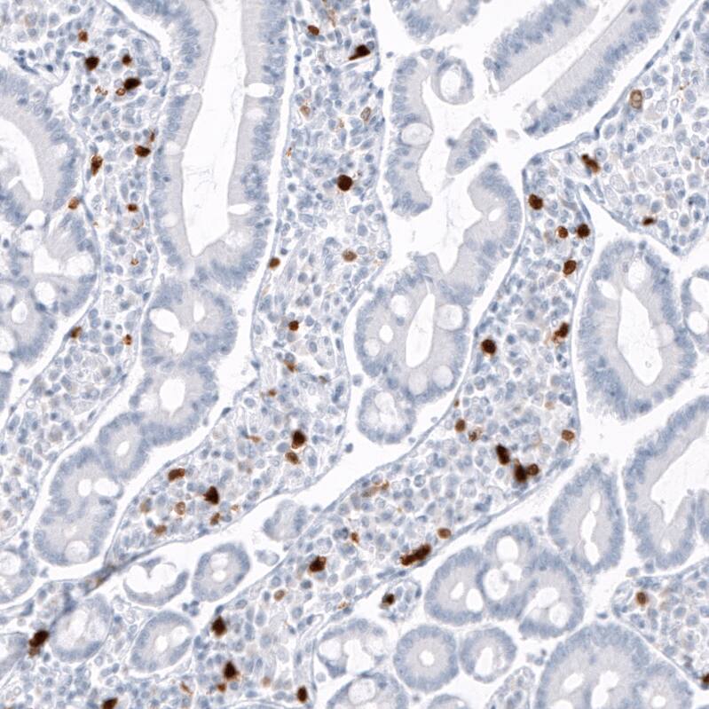
Staining of human small intestine shows strong cytoplasmic positivity in lymphoid cells.
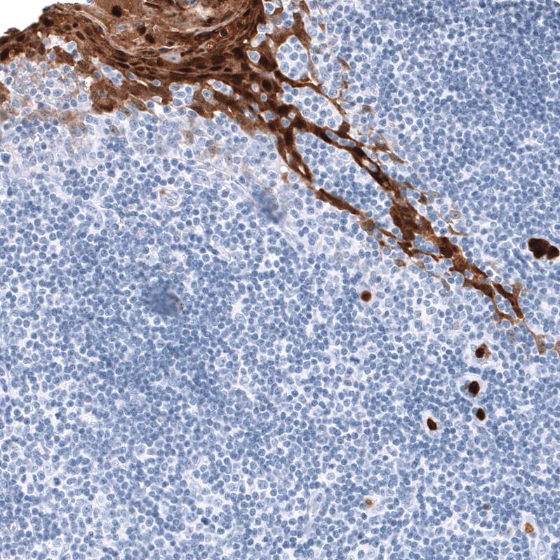
Staining of human tonsil shows strong cytoplasmic positivity in squamous epithelial cells.

Product Details

Summary
Reactivity HuSpecies Glossary
Applications IHC
Clone
CL11191
Clonality
Monoclonal
Host
Mouse
Conjugate
Unconjugated
Format
Azide and BSA Free
Concentration
LYOPH
Validated by:
       

Orthogonal Strategies

 

Order Details

S100A9 Antibody (CL11191) - Azide and BSA Free Summary

Description
Novus Biologicals Mouse S100A9 Antibody (CL11191) - Azide and BSA Free (NBP3-07983) is a monoclonal antibody validated for use in IHC. All Novus Biologicals antibodies are covered by our 100% guarantee.
Immunogen
This antibody was generated using a recombinant protein sequence of P06702, with the exact immunogen sequence remaining proprietary.
Isotype
IgG2a
Clonality
Monoclonal
Host
Mouse
Gene
S100A9
Purity
Protein A purified
Innovator's Reward
Test in a species/application not listed above to receive a full credit towards a future purchase.

Applications/Dilutions

Dilutions
  • Immunohistochemistry-Paraffin 1:200 - 1:500
Application Notes
For IHC-Paraffin, HIER pH 6 retrieval is recommended.

Packaging, Storage & Formulations

Storage
Store at 4C short term. Aliquot and store at -20C long term. Avoid freeze-thaw cycles.
Buffer
Lyophilized from a 0.2 um filtered solution in PBS with Trehalose
Preservative
No Preservative
Concentration
LYOPH
Purity
Protein A purified
Reconstitution Instructions
Centrifuge the vial of lyophilized antibody at 12,000 x g for 20 seconds. Reconstitute by adding sterile, distilled water to achieve a final antibody concentration of 1mg/ml.

Alternate Names for S100A9 Antibody (CL11191) - Azide and BSA Free

  • CAGBMigration inhibitory factor-related protein 14
  • Calgranulin B
  • calgranulin-B
  • Calprotectin L1H subunit
  • CFAGMRP-14,60B8AG
  • CGLB
  • L1AG
  • LIAG
  • MAC387
  • MIF
  • MRP-14
  • MRP14Leukocyte L1 complex heavy chain
  • NIF
  • P14
  • protein S100-A9
  • S100 calcium binding protein A9 (calgranulin B)
  • S100 calcium binding protein A9
  • S100 calcium-binding protein A9 (calgranulin B)
  • S100 calcium-binding protein A9
  • S100A9

Background

S100A9 is a member of the S100 family of proteins containing 2 EF-hand calcium-binding motifs. S100 proteins are localized in the cytoplasm and/or nucleus of a wide range of cells, and are involved in the regulation of a number of cellular processes such as cell cycle progression and differentiation. S100A9 may function in the inhibition of casein kinase, and altered expression is associated with the disease cystic fibrosis. Overexpression of S100A9 has also recently been linked to a poor prognosis with invasive ductal carcinoma of the breast.

Limitations

This product is for research use only and is not approved for use in humans or in clinical diagnosis. Primary Antibodies are guaranteed for 1 year from date of receipt.

Customers Who Viewed This Item Also Viewed...

NB200-106
Species: Mu, Rt
Applications: ELISA, ICC/IF, IHC, IHC-Fr,  IHC-P, WB
AF3059
Species: Mu
Applications: ICC, Simple Western, WB
NBP2-29463
Species: Pm, Hu, Pm, Mu
Applications: Flow, ICC/IF, IHC,  IHC-P, WB
NB200-103
Species: Hu, Mu, Rt, Xp(-), Ye
Applications: CyTOF-ready, ELISA, Flow-IC, Flow, ICC/IF, IHC, IHC-Fr,  IHC-P, IP, WB
NBP2-46085
Species: Hu
Applications: IHC,  IHC-P, WB
H00027065-M01
Species: Hu, Rt
Applications: ELISA, ICC/IF, S-ELISA, WB
M6000B
Species: Mu
Applications: ELISA
NBP1-86784
Species: Hu
Applications: IHC,  IHC-P
NBP1-92355
Species: Hu, Mu, Rt
Applications: IHC,  IHC-P, WB
NBP2-45603
Species: Hu, Mu, Rt
Applications: Flow, IHC,  IHC-P, WB
NBP1-87103
Species: Hu, Mu
Applications: IHC,  IHC-P, WB
NBP1-87102
Species: Hu, Mu, Rt
Applications: ICC/IF, IHC,  IHC-P, WB
NBP1-20944
Species: Hu
Applications: Flow, ICC/IF, IHC,  IHC-P, PEP-ELISA, WB
NBP2-59320
Species: Ha, Hu, Mu, Rt
Applications: ICC/IF, IHC, WB
NBP1-32870
Species: Ch, Hu
Applications: IHC,  IHC-P, IP, KD, WB
AF2377
Species: Mu
Applications: IHC, Simple Western, WB
NBP1-82454
Species: Hu, Mu
Applications: ICC/IF, IHC,  IHC-P, WB
NBP3-38209
Species: Hu, Rt
Applications: ELISA, ICC/IF, IHC,  IHC-P, IP, WB
NBP3-43896
Species: Hu
Applications: IHC

Publications for S100A9 Antibody (NBP3-43896) (0)

There are no publications for S100A9 Antibody (NBP3-43896).
By submitting your publication information earn gift cards and discounts for future purchases.

Reviews for S100A9 Antibody (NBP3-43896) (0)

There are no reviews for S100A9 Antibody (NBP3-43896). By submitting a review you will receive an Amazon e-Gift Card or Novus Product Discount.
  • Review with no image -- $10/€7/£6/$10 CAD/¥70 Yuan/¥1110 Yen
  • Review with an image -- $25/€18/£15/$25 CAD/¥150 Yuan/¥2500 Yen

Product General Protocols

Find general support by application which include: protocols, troubleshooting, illustrated assays, videos and webinars.

FAQs for S100A9 Antibody (NBP3-43896). (Showing 1 - 2 of 2 FAQ).

  1. Have any of your S100A9 antibodies been tested for use in neutralization, or blocking assays, on human samples?
    • Unfortunately at this time we have not tested, or received customer feedback on our S100A9 antibodies for use in blocking or neutralizing assays. If you were planning on testing any of our S100A9 antibodies for neutralizing or blocking capabilities, we would recommend our Innovator’s Reward Program. Under the terms of this program we would be happy to provide a credit for a free vial in exchange for new data on this previously untested or reported application. Please submit this data in the form of an online review. Additional <a href="http://www.novusbio.com/support/innovators-reward.html" target="_self">Innovators Reward Program</a> information can be found using this link.
  2. We would like to stain paraffin embedded human intestinal tissue for Calprotectin. One question will be which cells express the majority of Calprotectin - invading neutrophils vs epithelium for example. The antibody list you provide is quite extensive. Which antibody would you recommend for our purpose? Which tissue would you recommend as positive control.
    • Nine of our antibodies to Calprotectin have been validated for IHC-P with human tissue, and you can see all of these products. A number of our IHC images were generated using human spleen samples, and as such this may be a good choice of a positive control tissue. We do sell a human spleen slide product, which is suitable for IHC-P. Unfortunately I do not have an in-depth knowledge of Calprotectin, however the image shown for our antibody with catalogue number NBP1-02826 demonstrates clear staining of neutrophils. The following paper also suggests that the protein is abundant in neutrophils: PMID 11435495.

Customers Who Bought This Also Bought

Contact Information

Product PDFs

Calculators

Concentration Calculator

The concentration calculator allows you to quickly calculate the volume, mass or concentration of your vial. Simply enter your mass, volume, or concentration values for your reagent and the calculator will determine the rest.

=
÷

Review this Product

Be the first to review our S100A9 Antibody (CL11191) - Azide and BSA Free and receive a gift card or discount.

Bioinformatics

Gene Symbol S100A9