RRP1B Antibody - BSA Free

Images

 
Genetic Strategies: Western Blot: RRP1B Antibody [NBP1-81533] - Analysis in U2OS cells transfected with control siRNA, target specific siRNA probe #1 and #2. Remaining relative intensity is presented.
Immunocytochemistry/ Immunofluorescence: RRP1B Antibody [NBP1-81533] - Immunofluorescent staining of human cell line A-431 shows localization to nucleoli.
Immunohistochemistry-Paraffin: RRP1B Antibody [NBP1-81533] - Staining of human tonsil shows moderate to strong nuclear positivity in non-germinal center cells.
Immunohistochemistry-Paraffin: RRP1B Antibody [NBP1-81533] - Staining of human cerebellum shows moderate to strong nuclear positivity in cells in molecular layer.
Immunohistochemistry-Paraffin: RRP1B Antibody [NBP1-81533] - Staining of human skin shows moderate to strong nuclear positivity in keratinocytes.
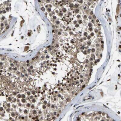
Immunohistochemistry-Paraffin: RRP1B Antibody [NBP1-81533] - Staining of human testis shows moderate to strong nuclear positivity in cells in seminiferous ducts.

Product Details

Summary
Reactivity HuSpecies Glossary
Applications WB, ICC/IF, IHC, Mycoplasma
Clonality
Polyclonal
Host
Rabbit
Conjugate
Unconjugated
Format
BSA Free
Validated by:
     

Genetic Strategies

   

Order Details

View Available Formulations
Catalog# & Formulation Size Price

RRP1B Antibody - BSA Free Summary

Description
Novus Biologicals Rabbit RRP1B Antibody - BSA Free (NBP1-81533) is a polyclonal antibody validated for use in IHC, WB and ICC/IF. Anti-RRP1B Antibody: Cited in 2 publications. All Novus Biologicals antibodies are covered by our 100% guarantee.
Immunogen
This antibody was developed against Recombinant Protein corresponding to amino acids: SISQLSFAEDISADEDDQILSQGKHKKKGNKLLEKTNLEKEKGSRVFCVEEEDSESSLQKRRRKKKKKHHLQPENPGPGGAAPSLEQNRGREPEASGLKALKARVAEPGAEATSSTG
Isotype
IgG
Clonality
Polyclonal
Host
Rabbit
Gene
RRP1B
Purity
Immunogen affinity purified
Innovator's Reward
Test in a species/application not listed above to receive a full credit towards a future purchase.

Applications/Dilutions

Dilutions
  • Immunocytochemistry/ Immunofluorescence 0.25-2 ug/ml
  • Immunohistochemistry 1:500 - 1:1000
  • Immunohistochemistry-Paraffin 1:500 - 1:1000
  • Knockdown Validated
  • Western Blot 0.04-0.4 ug/ml
Application Notes
For IHC-Paraffin, HIER pH 6 retrieval is recommended. ICC/IF Fixation Permeabilization: Use PFA/Triton X-100.
Control Peptide
RRP1B Protein (NBP1-81533PEP)
Publications
Read Publications using NBP1-81533.

Reactivity Notes

Reactivity reported in scientific literature (PMID: 23604122)

Packaging, Storage & Formulations

Storage
Store at 4C short term. Aliquot and store at -20C long term. Avoid freeze-thaw cycles.
Buffer
PBS (pH 7.2) and 40% Glycerol
Preservative
0.02% Sodium Azide
Purity
Immunogen affinity purified

Alternate Names for RRP1B Antibody - BSA Free

  • Nnp1
  • ribosomal RNA processing 1 homolog B (S. cerevisiae)
  • RRP1

Background

The RRP1B gene enocdes a ribosomal RNA processing protein 1 homolog B that in isoform 1 is 758 amino acids and 84kDA and in isoform 2 is 740 amino acids long at 82 kDA. RRP1B is characterized by its interactions with genes ESR2, LSM1, LUC7L2, LUC7L3, and C7orf55-LUC7L2. It has been researched regarding its role in various diseases such as breast cancer and cancer progression in terms of metastasis efficiency.

Limitations

This product is for research use only and is not approved for use in humans or in clinical diagnosis. Primary Antibodies are guaranteed for 1 year from date of receipt.

Customers Who Viewed This Item Also Viewed...

NB100-116
Species: Hu, Mu, Pm, Rt
Applications: ChIP, ELISA, GS, IB, ICC/IF, IHC, IHC-Fr,  IHC-P, IP, KD, PLA, Simple Western, WB
NB300-269
Species: Bv, Ce, Ch, Dr, Eq, Hu, Mu, Pl, Po, Rt, Y, Ye
Applications: Flow, ICC/IF, IHC-WhMt, IHC, IHC-Fr,  IHC-P, KD, WB
NBP2-20369
Species: Hu, Mu
Applications: ICC/IF, IHC,  IHC-P, WB
NB100-2350
Species: Hu, Mu, Rt
Applications: ChIP, ICC/IF, IHC,  IHC-P, IP, WB
H00054933-P01
Species: Hu
Applications: ELISA, AP, PA, WB
NBP1-31348
Species: Hu, Mu, Rt
Applications: ICC/IF, IHC,  IHC-P, WB
NBP1-88713
Species: Hu
Applications: IHC,  IHC-P, WB
NBP2-00997
Species: Ca, Hu, Pm, Mu, Pm, Rt
Applications: IHC,  IHC-P, WB
NB110-74569
Species: Hu, Mu, Rt
Applications: Flow, ICC/IF, IHC, IHC-Fr,  IHC-P, IP, WB
NBP2-16182
Species: Hu, Mu, Rt
Applications: ICC/IF, IHC,  IHC-P, WB
NLS3775
Species: Hu, Pm
Applications: ICC/IF, IHC,  IHC-P
H00008971-B01P
Species: Hu
Applications: ICC/IF, WB
AF1408
Species: Hu, Rt
Applications: IHC, IP, KO, Simple Western, WB
NBP1-85351
Species: Hu, Mu, Rt
Applications: ICC/IF, IHC,  IHC-P, WB
NB300-560
Species: Av, Bv, Ma, Hu, Mu, Pm, Rt
Applications: IF, IHC, IHC-Fr,  IHC-P, WB
NBP3-13367
Species: Mu, Rt
Applications: ICC/IF, IHC, IHC-Fr,  IHC-P, WB

Publications for RRP1B Antibody (NBP1-81533)(2)

Reviews for RRP1B Antibody (NBP1-81533) (0)

There are no reviews for RRP1B Antibody (NBP1-81533). By submitting a review you will receive an Amazon e-Gift Card or Novus Product Discount.
  • Review with no image -- $10/€7/£6/$10 CAD/¥70 Yuan/¥1110 Yen
  • Review with an image -- $25/€18/£15/$25 CAD/¥150 Yuan/¥2500 Yen

Product General Protocols

Find general support by application which include: protocols, troubleshooting, illustrated assays, videos and webinars.

Video Protocols

WB Video Protocol
ICC/IF Video Protocol

FAQs for RRP1B Antibody (NBP1-81533) (0)

There are no specific FAQs related to this product. Read our general customer & technical service FAQs.

Customers Who Bought This Also Bought

Contact Information

Product PDFs

Calculators

Concentration Calculator

The concentration calculator allows you to quickly calculate the volume, mass or concentration of your vial. Simply enter your mass, volume, or concentration values for your reagent and the calculator will determine the rest.

=
÷

Review this Product

Be the first to review our RRP1B Antibody - BSA Free and receive a gift card or discount.

Bioinformatics

Gene Symbol RRP1B