ROR1 Antibody

Images

 
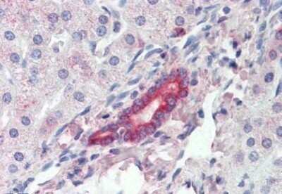
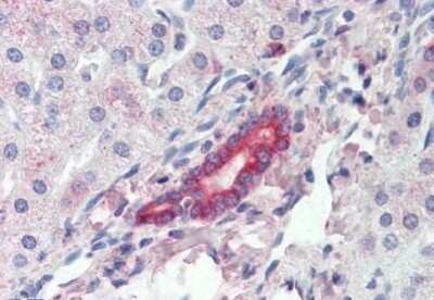
Immunohistochemistry-Paraffin: ROR1 Antibody [NBP1-52398] - Analysis of anti-ROR1 antibody with human liver at concentration 3 ug/ml.
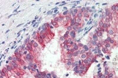
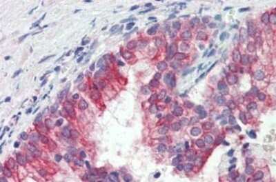
Immunohistochemistry-Paraffin: ROR1 Antibody [NBP1-52398] - Analysis of anti-ROR1 antibody with human prostate at concentration 3 ug/ml.

Product Details

Summary
Product Discontinued
View other related ROR1 Primary Antibodies

Order Details


    • Catalog Number
      NBP1-52398
    • Availability
      Product Discontinued

    Can't find what you are looking for? Use our Antibody Concierge Service & we will help you locate your antibody!

    Or feel free to contact us for alternative products.

ROR1 Antibody Summary

Immunogen
Peptide with sequence C-GNKSQKPYKIDSKQA, from the C-Terminus (near) of the ROR1 protein sequence according to NP_005003.2.
Specificity
Human ROR1. This antibody is expected to recognize isoform 1 (NP_005003.2) only.
Predicted Species
Mouse (93%), Rat (93%), Hamster (93%), Canine (93%), Bat (93%), Monkey (93%), Primate (93%), Equine (93%), Rabbit (93%), Bovine (93%). Backed by our 100% Guarantee.
Isotype
IgG
Clonality
Polyclonal
Host
Goat
Gene
ROR1
Purity
Immunogen affinity purified
Innovator's Reward
Test in a species/application not listed above to receive a full credit towards a future purchase.

Applications/Dilutions

Dilutions
  • Immunohistochemistry
  • Immunohistochemistry-Paraffin 3-6 ug/ml
  • Peptide ELISA 1:16000
Application Notes
IHC: NBP1-52398 was validated for use in immunohistochemistry on a panel of 21 formalin-fixed, paraffin-embedded (FFPE) human tissues after heat induced antigen retrieval in pH 6.0 citrate buffer. After incubation with the primary antibody, slides were incubated with biotinylated secondary antibody, followed by alkaline phosphatase-streptavidin and chromogen. The stained slides were evaluated by a pathologist to confirm staining specificity.

Reactivity Notes

Predicted cross-reactivity based on sequence identity: Gorilla (100%), Gibbon (100%), Marmoset (93%), Turkey (87%), Chicken (87%).

Packaging, Storage & Formulations

Storage
Store at -20C. Avoid freeze-thaw cycles.
Buffer
TBS (pH 7.3) and 0.5% BSA
Preservative
0.02% Sodium Azide
Concentration
0.5 mg/ml
Purity
Immunogen affinity purified

Alternate Names for ROR1 Antibody

  • EC 2.7.10.1
  • MGC99659
  • neurotrophic tyrosine kinase receptor-related 1
  • Neurotrophic tyrosine kinase, receptor-related 1
  • NTRKR1
  • NTRKR1dJ537F10.1
  • receptor tyrosine kinase-like orphan receptor 1
  • ROR1
  • tyrosine-protein kinase transmembrane receptor ROR1

Background

The protein encoded by this gene is a receptor protein tyrosine kinase that modulates neurite growth in the central nervous system. It is a type I membrane protein and belongs to the ROR subfamily of cell surface receptors. Alternative splicing results in multiple transcript variants encoding different isoforms.

Limitations

This product is for research use only and is not approved for use in humans or in clinical diagnosis. Primary Antibodies are guaranteed for 1 year from date of receipt.

Customers Who Viewed This Item Also Viewed...

NBP1-52813
Species: Hu, Rt
Applications: ICC/IF,  IHC-P, WB
AF2064
Species: Hu
Applications: Simple Western, WB
645-WN
Species: Hu, Mu
Applications: BA
AF2440
Species: Mu
Applications: IHC, WB
NBP2-44501
Species: Hu, Mu, Rt
Applications: Flow, ICC/IF, IF, IHC,  IHC-P
AF1120
Species: Mu
Applications: IHC, WB
AF1526
Species: Mu
Applications: CyTOF-ready, Flow, IHC, WB
AF1001
Species: Mu
Applications: IHC
AF231
Species: Hu
Applications: CyTOF-ready, Dual ISH-IHC, ELISA(Cap), ELISA(Det), ELISA(Sta), Flow, ICC, IHC, IP, Simple Western, WB
NBP1-20920
Species: Hu, Mu
Applications: ICC/IF, IHC,  IHC-P, PEP-ELISA, WB
AF1617
Species: Hu
Applications: WB
NB100-524
Species: Hu, Mu
Applications: Flow-IC, Flow, ICC/IF, IHC, IHC-Fr,  IHC-P, IP, WB
AF887
Species: Hu, Mu, Rt
Applications: CyTOF-ready, IHC, ICFlow, Simple Western, WB
NBP2-79843
Species: Hu
Applications: CyTOF-ready, ELISA, Flow, ICC/IF, IHC,  IHC-P, PA, WB
7268-CT
Species: Hu
Applications: BA
AF4649
Species: Mu
Applications: CyTOF-ready, Flow, ICC, WB
AF6260
Species: Hu
Applications: WB
AF562
Species: Rt
Applications: Neut, WB
AF7164
Species: Hu
Applications: WB
NBP1-52398
Species: Hu, Mu, Rt, Bt, Bv, Ca, Eq, Ha, Pm, Pm, Rb
Applications: ELISA, IHC

Publications for ROR1 Antibody (NBP1-52398) (0)

There are no publications for ROR1 Antibody (NBP1-52398).
By submitting your publication information earn gift cards and discounts for future purchases.

Reviews for ROR1 Antibody (NBP1-52398) (0)

There are no reviews for ROR1 Antibody (NBP1-52398). By submitting a review you will receive an Amazon e-Gift Card or Novus Product Discount.
  • Review with no image -- $10/€7/£6/$10 CAD/¥70 Yuan/¥1110 Yen
  • Review with an image -- $25/€18/£15/$25 CAD/¥150 Yuan/¥2500 Yen

Product General Protocols

Find general support by application which include: protocols, troubleshooting, illustrated assays, videos and webinars.

FAQs for ROR1 Antibody (NBP1-52398) (0)

There are no specific FAQs related to this product. Read our general customer & technical service FAQs.

Secondary Antibodies

 

Isotype Controls

Additional ROR1 Products

Research Areas for ROR1 Antibody (NBP1-52398)

Find related products by research area.

Blogs on ROR1

There are no specific blogs for ROR1, but you can read our latest blog posts.

Contact Information

Product PDFs

Calculators

Concentration Calculator

The concentration calculator allows you to quickly calculate the volume, mass or concentration of your vial. Simply enter your mass, volume, or concentration values for your reagent and the calculator will determine the rest.

=
÷

Review this Product

Be the first to review our ROR1 Antibody and receive a gift card or discount.

Bioinformatics

Gene Symbol ROR1
Entrez
Uniprot