RIC8B Antibody - BSA Free

Images

 
Immunocytochemistry/ Immunofluorescence: RIC8B Antibody [NBP2-13232] - Staining of human cell line A-431 shows localization to cytosol & centrosome. Antibody staining is shown in green.
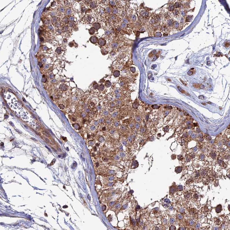
Immunohistochemistry-Paraffin: RIC8B Antibody [NBP2-13232] - Staining of human testis shows moderate to strong cytoplasmic positivity in seminiferous ducts.
Immunohistochemistry-Paraffin: RIC8B Antibody [NBP2-13232] - Staining of human cerebral cortex shows weak to moderate ctyoplasmic positivity in neurons.
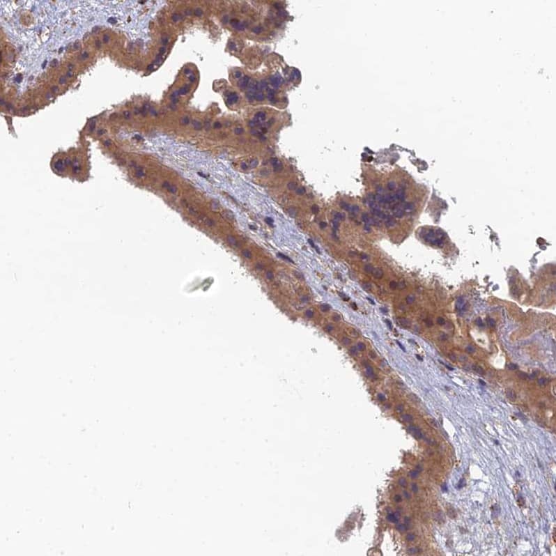
Immunohistochemistry-Paraffin: RIC8B Antibody [NBP2-13232] - Staning of human fallopian tube shows moderate to strong cytoplasmic positivity in granular layer.
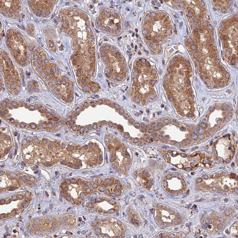
Immunohistochemistry-Paraffin: RIC8B Antibody [NBP2-13232] - Staining of human kidney shows moderate to strong cytoplasmic positivity in granular layer.
Staining of human testis shows moderate to strong cytoplasmic positivity in cells in seminiferous ducts.
Staining of human kidney shows moderate to strong cytoplasmic positivity in granular layer.
Staining of human cerebral cortex shows weak to moderate cytoplasmic positivity in neurons.
Staining of human fallopian tube shows moderate to strong cytoplasmic positivity in granular layer.

Product Details

Summary
Reactivity Hu, Mu, RtSpecies Glossary
Applications ICC/IF, IHC
Clonality
Polyclonal
Host
Rabbit
Conjugate
Unconjugated
Format
BSA Free

Order Details

View Available Formulations
Catalog# & Formulation Size Price

RIC8B Antibody - BSA Free Summary

Description
Novus Biologicals Rabbit RIC8B Antibody - BSA Free (NBP2-13232) is a polyclonal antibody validated for use in IHC and ICC/IF. All Novus Biologicals antibodies are covered by our 100% guarantee.
Immunogen
This antibody was developed against a recombinant protein corresponding to the amino acids: RVLRDYSDKHRATFKFESTDEDKRKKLCEGIFKVLIKDIPTTCQVSCLEVLRILSRDKKVLVPVTTKENMQILLRLAKLNELDDSLEKVSEFPVIVE
Predicted Species
Mouse (93%), Rat (90%). Backed by our 100% Guarantee.
Isotype
IgG
Clonality
Polyclonal
Host
Rabbit
Gene
RIC8B
Purity
Immunogen affinity purified
Innovator's Reward
Test in a species/application not listed above to receive a full credit towards a future purchase.

Applications/Dilutions

Dilutions
  • Immunocytochemistry/ Immunofluorescence 0.25-2 ug/ml
  • Immunohistochemistry 1:50 - 1:200
  • Immunohistochemistry-Paraffin 1:50 - 1:200
Application Notes
For IHC-Paraffin, HIER pH 6 retrieval is recommended. For ICC/IF Fixation/Permeabilization: PFA/Triton X-100.
Control Peptide
RIC8B Protein (NBP2-13232PEP)

Packaging, Storage & Formulations

Storage
Store at 4C short term. Aliquot and store at -20C long term. Avoid freeze-thaw cycles.
Buffer
PBS (pH 7.2) and 40% Glycerol
Preservative
0.02% Sodium Azide
Purity
Immunogen affinity purified

Alternate Names for RIC8B Antibody - BSA Free

  • Brain synembrin
  • hSyn
  • Protein Ric-8B
  • RIC8
  • RIC8B resistance to inhibitors of cholinesterase 8 homolog B (C. elegans)
  • synembryn
  • synembryn-B

Limitations

This product is for research use only and is not approved for use in humans or in clinical diagnosis. Primary Antibodies are guaranteed for 1 year from date of receipt.

Customers Who Viewed This Item Also Viewed...

AF6260
Species: Hu
Applications: WB
NB110-68800
Species: Hu, Mu, Pm
Applications: ICC/IF, WB
NBP1-85727
Species: Hu
Applications: ICC/IF, IHC,  IHC-P
NBP2-21577
Species: Hu, Mu, Rt
Applications: ICC/IF, IHC, IHC-Fr,  IHC-P, IP, KD, WB
H00056731-M02
Species: Hu
Applications: ELISA, ICC/IF, WB
NBP2-02433
Species: Hu, Mu, Rt
Applications: ICC/IF, IHC,  IHC-P, WB
NBP1-32728
Species: Hu, Mu, Rt
Applications: ICC/IF, IHC,  IHC-P, IP, WB
AF9024
Species: Mu, Rt
Applications: IHC, WB
H00132112-Q01
Species: Hu
Applications: ELISA, AP, PA, WB
NBP1-32521
Species: Hu, Mu
Applications: ICC/IF, IHC,  IHC-P, KO, WB
NBP2-16699
Species: Hu, Mu, Rt, Ze
Applications: ICC/IF, IHC-WhMt, IHC, IHC-Fr,  IHC-P, IP, PLA, WB
AF5738
Species: Hu
Applications: ICC, KO, WB
NBP3-13283
Species: Hu, Mu, Rt
Applications: ICC/IF, IHC,  IHC-P, WB
NBP2-52563
Species: Hu
Applications: CyTOF-ready, ELISA, Flow, ICC, ICC/IF, IHC-WhMt, IHC,  IHC-P, WB

Publications for RIC8B Antibody (NBP2-13232) (0)

There are no publications for RIC8B Antibody (NBP2-13232).
By submitting your publication information earn gift cards and discounts for future purchases.

Reviews for RIC8B Antibody (NBP2-13232) (0)

There are no reviews for RIC8B Antibody (NBP2-13232). By submitting a review you will receive an Amazon e-Gift Card or Novus Product Discount.
  • Review with no image -- $10/€7/£6/$10 CAD/¥70 Yuan/¥1110 Yen
  • Review with an image -- $25/€18/£15/$25 CAD/¥150 Yuan/¥2500 Yen

Product General Protocols

Find general support by application which include: protocols, troubleshooting, illustrated assays, videos and webinars.

Video Protocols

ICC/IF Video Protocol

FAQs for RIC8B Antibody (NBP2-13232) (0)

There are no specific FAQs related to this product. Read our general customer & technical service FAQs.

Customers Who Bought This Also Bought

Contact Information

Product PDFs

Calculators

Concentration Calculator

The concentration calculator allows you to quickly calculate the volume, mass or concentration of your vial. Simply enter your mass, volume, or concentration values for your reagent and the calculator will determine the rest.

=
÷

Review this Product

Be the first to review our RIC8B Antibody - BSA Free and receive a gift card or discount.

Bioinformatics

Gene Symbol RIC8B