Retinol Saturase Antibody - BSA Free

Images

 
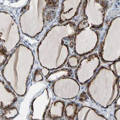
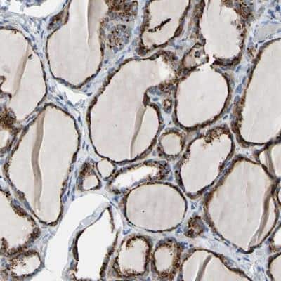
Immunohistochemistry-Paraffin: Retinol Saturase Antibody [NBP1-92325] - Staining of human thyroid gland shows strong cytoplasmic positivity with granular pattern in glandular cells.

Product Details

Summary
Reactivity HuSpecies Glossary
Applications WB, IHC
Clonality
Polyclonal
Host
Rabbit
Conjugate
Unconjugated
Format
BSA Free

Order Details

View Available Formulations
Catalog# & Formulation Size Price

Retinol Saturase Antibody - BSA Free Summary

Description
Novus Biologicals Rabbit Retinol Saturase Antibody - BSA Free (NBP1-92325) is a polyclonal antibody validated for use in IHC and WB. Anti-Retinol Saturase Antibody: Cited in 1 publication. All Novus Biologicals antibodies are covered by our 100% guarantee.
Immunogen
This antibody was developed against Recombinant Protein corresponding to amino acids: GVSVKKGHELVNIYCPIVVSNAGLFNTYEHLLPGNARCLPGVKQQLGTVRPGLGMTSVFICLRGTKEDLHLPSTNYYVYYDTDMDQAMERYVSMPREEAAEHIPLLFFAFPSAKDPTWE
Isotype
IgG
Clonality
Polyclonal
Host
Rabbit
Gene
RETSAT
Purity
Affinity purified
Innovator's Reward
Test in a species/application not listed above to receive a full credit towards a future purchase.

Applications/Dilutions

Dilutions
  • Immunohistochemistry 1:20 - 1:50
  • Immunohistochemistry-Paraffin 1:20 - 1:50
  • Western Blot 0.04-0.4 ug/ml
Application Notes
For IHC-Paraffin, HIER pH 6 retrieval is recommended. WB reactivity reported in (PMID: 25172377).
Control Peptide
Retinol Saturase Protein (NBP1-92325PEP)
Publications
Read Publication using NBP1-92325.

Packaging, Storage & Formulations

Storage
Store at 4C short term. Aliquot and store at -20C long term. Avoid freeze-thaw cycles.
Buffer
PBS (pH 7.2) and 40% Glycerol
Preservative
0.02% Sodium Azide
Purity
Affinity purified

Alternate Names for Retinol Saturase Antibody - BSA Free

  • All-trans-13,14-dihydroretinol saturase
  • all-trans-retinol 13,14-reductase
  • EC 1.3.99.23
  • FLJ20296
  • retinol saturase (all-trans-retinol 13,14-reductase)
  • RetSat

Background

Retinol saturase carrying out the saturation of the 13-14 double bond of all-trans-retinol to produce all-trans-13,14-dihydroretinol. Has activity toward all-trans-retinol as substrate. Does not use all-trans-retinoic acid nor 9-cis, 11-cis or 13-cis-retinol isomers as substrates. May play a role in the metabolism of vitamin A (By similarity)

Limitations

This product is for research use only and is not approved for use in humans or in clinical diagnosis. Primary Antibodies are guaranteed for 1 year from date of receipt.

Customers Who Viewed This Item Also Viewed...

NBP2-22106
Species: Hu, Mu, Rt
Applications: IHC,  IHC-P, IP, WB
NB300-537
Species: Bv, Hu, Mu, Rb, Rt
Applications: ChIP, Flow, GS, ICC/IF, IHC,  IHC-P, IP, KD, Simple Western, WB
AF1443
Species: Mu, Rt
Applications: ICC, IHC, Simple Western, WB
NBP1-92280
Species: Hu
Applications: ChIP-EXO-SEQ, IHC,  IHC-P, WB
DRB400
Species: Hu
Applications: ELISA
NBP1-87158
Species: Hu
Applications: IHC,  IHC-P, Simple Western, WB
NBP3-11884
Species: Hu
Applications: ELISA, ICC/IF, IHC,  IHC-P, RIA, WB
664-LI
Species: Hu
Applications: BA
NBP2-45516
Species: Hu, Mu, Rt
Applications: ICC/IF, IHC,  IHC-P, WB
NBP3-41290
Species: Hu, Po, Rt
Applications: IHC,  IHC-P, WB
MAB2476
Species: Hu
Applications: IHC, WB
NB200-106
Species: Mu, Rt
Applications: ELISA, ICC/IF, IHC, IHC-Fr,  IHC-P, WB
NBP2-02623
Species: Ca, Hu, Mu, Rt
Applications: Flow, ICC/IF, IHC,  IHC-P, WB
MAB1417
Species: Bv, Hu, Mu
Applications: ICC, IHC
NB100-74510
Species: Hu, Mu, Pm, Rt
Applications: ELISA, ICC/IF, IHC,  IHC-P, IP, WB
MAB4937
Species: Hu
Applications: CyTOF-ready, ICFlow, WB
AF5769
Species: Hu
Applications: IHC, WB
NBP1-92325
Species: Hu
Applications: WB, IHC

Publications for Retinol Saturase Antibody (NBP1-92325)(1)

We have publications tested in 1 application: WB.


Filter By Application
WB
(1)
All Applications
Filter By Species
All Species

Reviews for Retinol Saturase Antibody (NBP1-92325) (0)

There are no reviews for Retinol Saturase Antibody (NBP1-92325). By submitting a review you will receive an Amazon e-Gift Card or Novus Product Discount.
  • Review with no image -- $10/€7/£6/$10 CAD/¥70 Yuan/¥1110 Yen
  • Review with an image -- $25/€18/£15/$25 CAD/¥150 Yuan/¥2500 Yen

Product General Protocols

Find general support by application which include: protocols, troubleshooting, illustrated assays, videos and webinars.

Video Protocols

WB Video Protocol

FAQs for Retinol Saturase Antibody (NBP1-92325) (0)

There are no specific FAQs related to this product. Read our general customer & technical service FAQs.

Customers Who Bought This Also Bought

Contact Information

Product PDFs

Calculators

Concentration Calculator

The concentration calculator allows you to quickly calculate the volume, mass or concentration of your vial. Simply enter your mass, volume, or concentration values for your reagent and the calculator will determine the rest.

=
÷

Review this Product

Be the first to review our Retinol Saturase Antibody - BSA Free and receive a gift card or discount.

Bioinformatics

Gene Symbol RETSAT