Pyruvate Carboxylase Antibody

Images

 
Western Blot: Pyruvate Carboxylase Antibody [NBP3-06329] - Anti-Pyruvate Carboxylase rabbit polyclonal antibody at 1:500 dilution.
Immunohistochemistry-Paraffin: Pyruvate Carboxylase Antibody [NBP3-06329] - Immunochemical staining of human Pyruvate Carboxylase in human liver with rabbit polyclonal antibody at 1:100 dilution, formalin-fixed paraffin ...read more
Western Blot: Pyruvate Carboxylase Antibody [NBP3-06329] - Anti-PC rabbit polyclonal antibody at 1:500 dilutionLane A: HeLa Whole Cell LysateLane B: A549 Whole Cell LysateLysates/proteins at 30 ug per lane.SecondaryGoat ...read more
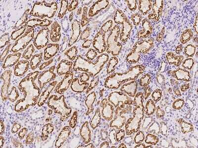
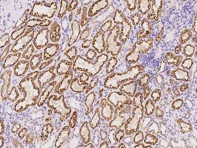
Immunohistochemistry-Paraffin: Pyruvate Carboxylase Antibody [NBP3-06329] - Immunochemical staining of human Pyruvate Carboxylase in human kidney with rabbit polyclonal antibody at 1:100 dilution, formalin-fixed ...read more
Immunoprecipitation: Pyruvate Carboxylase Antibody [NBP3-06329] - PC was immunoprecipitated using:Lane A: 0.5 mg HeLa Whole Cell Lysate4 uL anti-PC rabbit polyclonal antibody and 60 ug of Immunomagnetic beads Protein ...read more

Product Details

Summary
Product Discontinued
View other related Pyruvate Carboxylase Primary Antibodies

Order Details


    • Catalog Number
      NBP3-06329
    • Availability
      Product Discontinued

    Can't find what you are looking for? Use our Antibody Concierge Service & we will help you locate your antibody!

    Or feel free to contact us for alternative products.

Pyruvate Carboxylase Antibody Summary

Description
This antibody can be stored at 2C-8C for one month without detectable loss of activity. Antibody products are stable for twelve months from date of receipt when stored at -20C to -80C. Avoid repeated freeze-thaw cycles.
Immunogen
Produced in rabbits immunized with E. coli-derived Human Pyruvate Carboxylase fragment.
Isotype
IgG
Clonality
Polyclonal
Host
Rabbit
Gene
PC
Purity
Antigen and protein A Affinity-purified
Innovator's Reward
Test in a species/application not listed above to receive a full credit towards a future purchase.

Applications/Dilutions

Dilutions
  • Immunohistochemistry
  • Immunohistochemistry-Paraffin 1:50-1:200
  • Immunoprecipitation 1-5ul/mg of lysate
  • Western Blot 1:500-1:2000

Packaging, Storage & Formulations

Storage
Store at 4C short term. Aliquot and store at -20C long term. Avoid freeze-thaw cycles.
Buffer
PBS, pH7.0
Preservative
0.03% Proclin 300
Purity
Antigen and protein A Affinity-purified

Alternate Names for Pyruvate Carboxylase Antibody

  • EC 6.4.1
  • EC 6.4.1.1
  • PCBPyruvic carboxylase
  • Pyruvate Carboxylase
  • pyruvate carboxylase, mitochondrial

Background

PCB encodes pyruvate carboxylase, which requires biotin and ATP to catalyse the carboxylation of pyruvate to oxaloacetate. The active enzyme is a homotetramer arranged in a tetrahedron which is located exclusively in the mitochondrial matrix. Pyruvate carboxylase is involved in gluconeogenesis, lipogenesis, insulin secretion and synthesis of the neurotransmitter glutamate. Mutations in this gene have been associated with pyruvate carboxylase deficiency. Alternatively spliced transcript variants with different 5' UTRs, but encoding the same protein, have been found for this gene. [provided by RefSeq]

Limitations

This product is for research use only and is not approved for use in humans or in clinical diagnosis. Primary Antibodies are guaranteed for 1 year from date of receipt.

Customers Who Viewed This Item Also Viewed...

NBP2-33606
Species: Hu
Applications: ICC/IF, IHC,  IHC-P, WB
MAB1417
Species: Bv, Hu, Mu
Applications: ICC, IHC
NBP1-80533
Species: Hu, Mu
Applications: WB
NBP1-32398
Species: Hu, Mu, Rt
Applications: ICC/IF, IHC,  IHC-P, IP, KD, WB
NBP3-05078
Species: Hu, Mu, Rt
Applications: ICC/IF, IHC,  IHC-P, WB
NBP1-89559
Species: Hu
Applications: IHC,  IHC-P, WB
H00005105-M01
Species: Hu, Mu
Applications: ELISA, ICC/IF, IP, WB
AF1936
Species: Hu
Applications: IP, WB
H00003126-P01
Species: Hu
Applications: ELISA, AP, PA, WB
NBP2-43648
Species: Hu, Mu, Rt, Ze
Applications: ICC/IF, IHC,  IHC-P, WB
NBP1-32870
Species: Ch, Hu
Applications: IHC,  IHC-P, IP, KD, WB
NB100-56503
Species: Dr, Hu, Mu, Rb, Rt
Applications: Flow-CS, Flow-IC, Flow, IB, ICC/IF, IHC,  IHC-P, Simple Western, WB
NBP2-45316
Species: Hu, Pm
Applications: Flow, ICC/IF, IHC,  IHC-P, WB
H00001719-M01
Species: Hu, Mu, Rt, Ye
Applications: ELISA, ICC/IF, S-ELISA, WB
MAB1249
Species: Hu, Mu
Applications: CyTOF-ready, ICC, ICFlow
NBP3-12637
Species: Hu
Applications: ICC/IF, IHC,  IHC-P, IP, WB
NB110-41404
Species: Bv, Hu, Mu, Rt
Applications: ICC/IF, IHC, WB

Publications for Pyruvate Carboxylase Antibody (NBP3-06329) (0)

There are no publications for Pyruvate Carboxylase Antibody (NBP3-06329).
By submitting your publication information earn gift cards and discounts for future purchases.

Reviews for Pyruvate Carboxylase Antibody (NBP3-06329) (0)

There are no reviews for Pyruvate Carboxylase Antibody (NBP3-06329). By submitting a review you will receive an Amazon e-Gift Card or Novus Product Discount.
  • Review with no image -- $10/€7/£6/$10 CAD/¥70 Yuan/¥1110 Yen
  • Review with an image -- $25/€18/£15/$25 CAD/¥150 Yuan/¥2500 Yen

Product General Protocols

Find general support by application which include: protocols, troubleshooting, illustrated assays, videos and webinars.

Video Protocols

WB Video Protocol

FAQs for Pyruvate Carboxylase Antibody (NBP3-06329) (0)

There are no specific FAQs related to this product. Read our general customer & technical service FAQs.

Secondary Antibodies

 

Isotype Controls

Additional Pyruvate Carboxylase Products

Research Areas for Pyruvate Carboxylase Antibody (NBP3-06329)

Find related products by research area.

Blogs on Pyruvate Carboxylase

There are no specific blogs for Pyruvate Carboxylase, but you can read our latest blog posts.

Contact Information

Product PDFs

Calculators

Concentration Calculator

The concentration calculator allows you to quickly calculate the volume, mass or concentration of your vial. Simply enter your mass, volume, or concentration values for your reagent and the calculator will determine the rest.

=
÷

Review this Product

Be the first to review our Pyruvate Carboxylase Antibody and receive a gift card or discount.

Bioinformatics

Gene Symbol PC