Protein O-Glucosyltransferase 1/POGLUT1/KTELC1 Antibody - BSA Free

Images

 
Immunohistochemistry-Paraffin: Protein O-Glucosyltransferase 1/POGLUT1/KTELC1 Antibody [NBP1-90311] - Staining of human kidney shows weak cytoplasmic positivity in cells in tubules.
Immunohistochemistry-Paraffin: Protein O-Glucosyltransferase 1/POGLUT1/KTELC1 Antibody [NBP1-90311] - Staining of human liver shows no positivity in hepatocytes as expected.
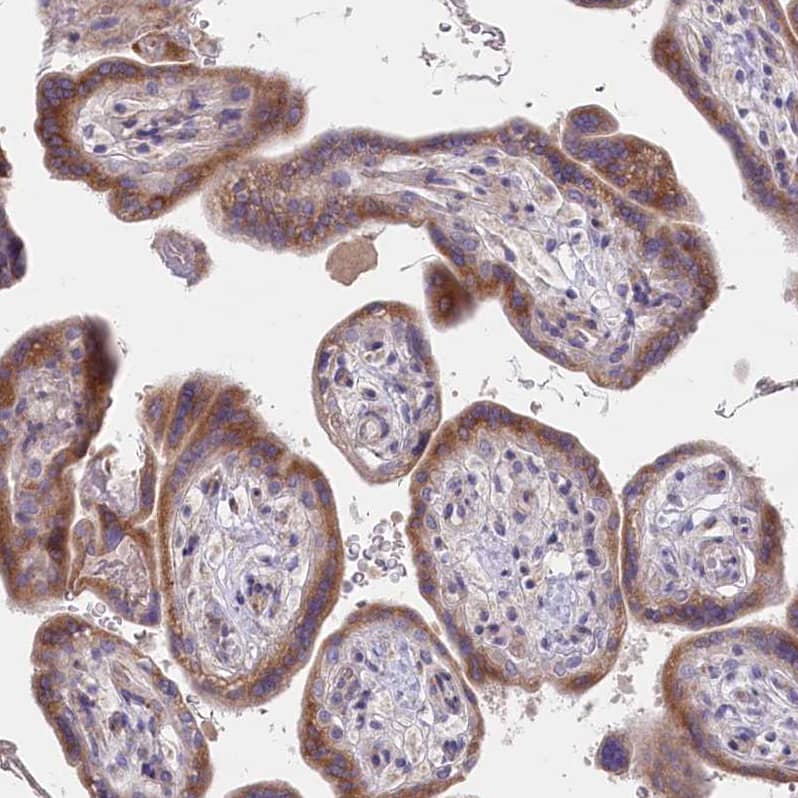
Staining of human placenta shows moderate cytoplasmic positivity in trophoblastic cells.
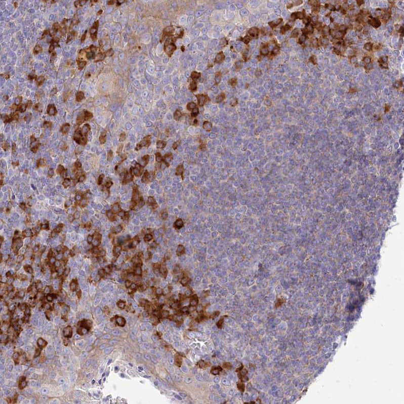
Staining of human tonsil shows strong cytoplasmic positivity in non-germinal center cells.
Analysis in control (vector only transfected HEK293T lysate) and POGLUT1 over-expression lysate (Co-expressed with a C-terminal myc-DDK tag (~3.1 kDa) in mammalian HEK293T cells).

Product Details

Summary
Reactivity Hu, MuSpecies Glossary
Applications WB, IHC
Clonality
Polyclonal
Host
Rabbit
Conjugate
Unconjugated
Format
BSA Free

Order Details

View Available Formulations
Catalog# & Formulation Size Price

Protein O-Glucosyltransferase 1/POGLUT1/KTELC1 Antibody - BSA Free Summary

Description
Novus Biologicals Rabbit Protein O-Glucosyltransferase 1/POGLUT1/KTELC1 Antibody - BSA Free (NBP1-90311) is a polyclonal antibody validated for use in IHC and WB. Anti-Protein O-Glucosyltransferase 1/POGLUT1/KTELC1 Antibody: Cited in 3 publications. All Novus Biologicals antibodies are covered by our 100% guarantee.
Immunogen
This antibody was developed against Recombinant Protein corresponding to amino acids: VQELLQFVKANDDVAQEIAERGSQFIRNHLQMDDITCYWENLLSEYSKFLSYNVTRRKGYDQIIPKMLKTEL
Isotype
IgG
Clonality
Polyclonal
Host
Rabbit
Gene
POGLUT1
Purity
Immunogen affinity purified
Innovator's Reward
Test in a species/application not listed above to receive a full credit towards a future purchase.

Applications/Dilutions

Dilutions
  • Immunohistochemistry 1:500 - 1:1000
  • Immunohistochemistry-Paraffin 1:500-1:1000
  • Western Blot 0.04-0.4 ug/ml
Application Notes
For IHC-Paraffin, HIER pH 6 retrieval is recommended.
Control Peptide
Protein O-Glucosyltransferase 1/POGLUT1/KTELC1 Protein (NBP1-90311PEP)
Publications
Read Publications using
NBP1-90311 in the following applications:

Reactivity Notes

Immunogen displays the following percentage of sequence identity for non-tested species: Rat (89%). Mouse reactivity reported in scientific literature (PMID: 29953591).

Packaging, Storage & Formulations

Storage
Store at 4C short term. Aliquot and store at -20C long term. Avoid freeze-thaw cycles.
Buffer
PBS (pH 7.2) and 40% Glycerol
Preservative
0.02% Sodium Azide
Purity
Immunogen affinity purified

Alternate Names for Protein O-Glucosyltransferase 1/POGLUT1/KTELC1 Antibody - BSA Free

  • 9630046K23Rik
  • C3orf9
  • CAP10-like protein, 46 kDa
  • chromosome 3 open reading frame 9
  • CLP46
  • EC 2.4.1.-
  • hCLP46CAP10-like 46 kDa protein
  • KDELC family like 1
  • KDELCL1
  • KTEL (Lys-Tyr-Glu-Leu) containing 1
  • KTEL motif-containing protein 1
  • KTELC1
  • MDS010
  • MDSRP
  • MDSRPKTELC1
  • MGC32995
  • Myelodysplastic syndromes relative protein
  • POGLUT1
  • protein O-glucosyltransferase 1
  • Rumi
  • x 010 protein

Background

KTELC1 may be involved in important physiological functions in the liver

Limitations

This product is for research use only and is not approved for use in humans or in clinical diagnosis. Primary Antibodies are guaranteed for 1 year from date of receipt.

Customers Who Viewed This Item Also Viewed...

236-EG
Species: Hu
Applications: BA
NBP1-47791
Species: Hu, Mu, Rt
Applications: ChIP, ICC/IF, IHC,  IHC-P, WB
AF4117
Species: Rt
Applications: IHC, WB
NB100-78486
Species: Hu, Mu, Rt(-)
Applications: CyTOF-ready, Flow, ICC/IF, IHC,  IHC-P, IP, KO, WB
NBP2-47561
Species: Hu
Applications: ICC/IF, IHC,  IHC-P, WB
NBP3-24870
Species: Hu
Applications: ICC/IF
NBP3-26876
Species: Hu
Applications: IHC,  IHC-P
NBP1-90949
Species: Hu
Applications: IHC,  IHC-P, WB
NBP2-49553
Species: Hu
Applications: ICC/IF, IHC,  IHC-P
AF1555
Species: Hu
Applications: WB
NBP1-80616
Species: Hu, Mu, Rt
Applications: IHC,  IHC-P, WB
NBP2-03198
Species: Hu
Applications: Flow, ICC/IF, IHC,  IHC-P, WB
AF5924
Species: Hu
Applications: ICC, IHC, Simple Western, WB
MAB6495
Species: Hu
Applications: ICC, Simple Western, WB
AF3735
Species: Hu
Applications: IHC, WB
NBP1-90311
Species: Hu, Mu
Applications: WB, IHC

Publications for Protein O-Glucosyltransferase 1/POGLUT1/KTELC1 Antibody (NBP1-90311)(3)

Reviews for Protein O-Glucosyltransferase 1/POGLUT1/KTELC1 Antibody (NBP1-90311) (0)

There are no reviews for Protein O-Glucosyltransferase 1/POGLUT1/KTELC1 Antibody (NBP1-90311). By submitting a review you will receive an Amazon e-Gift Card or Novus Product Discount.
  • Review with no image -- $10/€7/£6/$10 CAD/¥70 Yuan/¥1110 Yen
  • Review with an image -- $25/€18/£15/$25 CAD/¥150 Yuan/¥2500 Yen

Product General Protocols

Find general support by application which include: protocols, troubleshooting, illustrated assays, videos and webinars.

Video Protocols

WB Video Protocol

FAQs for Protein O-Glucosyltransferase 1/POGLUT1/KTELC1 Antibody (NBP1-90311) (0)

There are no specific FAQs related to this product. Read our general customer & technical service FAQs.

Customers Who Bought This Also Bought

Contact Information

Product PDFs

Calculators

Concentration Calculator

The concentration calculator allows you to quickly calculate the volume, mass or concentration of your vial. Simply enter your mass, volume, or concentration values for your reagent and the calculator will determine the rest.

=
÷

Review this Product

Be the first to review our Protein O-Glucosyltransferase 1/POGLUT1/KTELC1 Antibody - BSA Free and receive a gift card or discount.

Bioinformatics

Gene Symbol POGLUT1