Progesterone R/NR3C3 Antibody (RM357)

Images

 
Western Blot: Progesterone R/NR3C3 Antibody (RM357) [NBP2-77437] - Western Blot of T47D cell lysate using NBP2-77437.
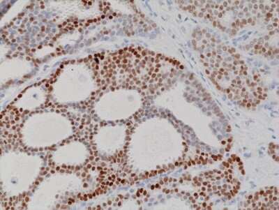
Immunohistochemistry: Progesterone R/NR3C3 Antibody (RM357) [NBP2-77437] - Immunohistochemical staining of formalin fixed and paraffin embedded human breast cancer tissue section using NBP2-77437.

Product Details

Summary
Product Discontinued
View other related Progesterone R/NR3C3 Primary Antibodies

Order Details


    • Catalog Number
      NBP2-77437
    • Availability
      Product Discontinued

    Can't find what you are looking for? Use our Antibody Concierge Service & we will help you locate your antibody!

    Or feel free to contact us for alternative products.

Progesterone R/NR3C3 Antibody (RM357) Summary

Additional Information
Recombinant Monoclonal Antibody.
Immunogen
A peptide corresponding to C-terminus of human Progesterone R/NR3C3
Specificity
This antibody reacts to human Progesterone Receptor (PR). It may also react to mouse and rat PR, as predicted by immunogen homology
Isotype
IgG
Clonality
Monoclonal
Host
Rabbit
Gene
PGR
Purity
Protein A purified
Innovator's Reward
Test in a species/application not listed above to receive a full credit towards a future purchase.

Applications/Dilutions

Dilutions
  • Immunohistochemistry 1:100 - 1:200
  • Western Blot 1:1000 - 1:2000

Reactivity Notes

This antibody may also react to Mouse and Rat Progesterone R/NR3C3, as predicted by immunogen sequence identity.

Packaging, Storage & Formulations

Storage
Store at -20C. Avoid freeze-thaw cycles.
Buffer
50% Glycerol/PBS with 1% BSA
Preservative
0.09% Sodium Azide
Purity
Protein A purified

Alternate Names for Progesterone R/NR3C3 Antibody (RM357)

  • NR3C3
  • NR3C3PRNuclear receptor subfamily 3 group C member 3
  • PGR
  • Progesterone R
  • progesterone receptor
  • ProgesteroneR

Background

The human Progesterone Receptor (PgR) is a member of the steroid family of nuclear receptors. PgR is found as a 120 kDa protein (Form B) or a 94 kDa protein (Form A) due to the use of alternative translation initiation sites. In its inactive state, PgR forms a multiprotein complex which includes heat shock proteins and immunophins. Upon binding of progesterone hormone to its receptor, there is a conformational change that allows dimerization and binding of the receptor to progesterone response elements (PRE) sequences, resulting in activated transcription.

Limitations

This product is for research use only and is not approved for use in humans or in clinical diagnosis. Primary Antibodies are guaranteed for 1 year from date of receipt.

Customers Who Viewed This Item Also Viewed...

NB300-560
Species: Av, Bv, Ma, Hu, Mu, Pm, Rt
Applications: IF, IHC, IHC-Fr,  IHC-P, WB
1129-ER
Species: Hu
Applications: BA
AF231
Species: Hu
Applications: CyTOF-ready, Dual ISH-IHC, ELISA(Cap), ELISA(Det), ELISA(Sta), Flow, ICC, IHC, IP, Simple Western, WB
NB100-56603
Species: Ca, Hu, Mu, Pm, Rt
Applications: IHC,  IHC-P, WB
NB200-103
Species: Hu, Mu, Rt, Xp(-), Ye
Applications: CyTOF-ready, ELISA, Flow-IC, Flow, ICC/IF, IHC, IHC-Fr,  IHC-P, IP, WB
AF262
Species: Hu
Applications: ICC, IHC, Neut, WB
NBP1-89146
Species: Hu
Applications: ICC/IF, IHC,  IHC-P
NB300-731
Species: Gp, Hu, Mu, Rb, Rt, Sh, Ye
Applications: B/N, ChIP, Flow, GS, ICC/IF, IHC,  IHC-P, IP, WB
NBP1-26612
Species: Hu
Applications: IP (-), WB
NBP2-38530
Species: Hu
Applications: ICC/IF, IHC,  IHC-P, WB
NB200-305
Species: Hu, Pm, Mu
Applications: ChIP, DB, Flow, ICC/IF, IHC, IHC-Fr,  IHC-P, IP, Simple Western, WB
NBP1-89522
Species: Hu, Mu, Rt
Applications: ICC/IF, IHC,  IHC-P, WB
MAB6860
Species: Hu
Applications: IP, WB
NBP2-20383
Species: Hu, Mu
Applications: ICC/IF, IHC,  IHC-P, WB
NBP2-02623
Species: Ca, Hu, Mu, Rt
Applications: Flow, ICC/IF, IHC,  IHC-P, WB
NBP1-90813
Species: Hu
Applications: IHC,  IHC-P, WB

Publications for Progesterone R/NR3C3 Antibody (NBP2-77437) (0)

There are no publications for Progesterone R/NR3C3 Antibody (NBP2-77437).
By submitting your publication information earn gift cards and discounts for future purchases.

Reviews for Progesterone R/NR3C3 Antibody (NBP2-77437) (0)

There are no reviews for Progesterone R/NR3C3 Antibody (NBP2-77437). By submitting a review you will receive an Amazon e-Gift Card or Novus Product Discount.
  • Review with no image -- $10/€7/£6/$10 CAD/¥70 Yuan/¥1110 Yen
  • Review with an image -- $25/€18/£15/$25 CAD/¥150 Yuan/¥2500 Yen

Product General Protocols

Find general support by application which include: protocols, troubleshooting, illustrated assays, videos and webinars.

Video Protocols

WB Video Protocol

FAQs for Progesterone R/NR3C3 Antibody (NBP2-77437). (Showing 1 - 1 of 1 FAQ).

  1. I am interested in getting antibodies for PR (progesterone receptor) that would work in flow cytometry. Could you recommend some choices?
    • We do not currently have any antibodies directed towards the progesterone receptor that have been validated in flow cytometry, but any of our antibodies that work in ICC should work just fine in flow as they are essentially the same application. Please see this link for our Progesterone Receptor antibodies validated in ICC.

Secondary Antibodies

 

Isotype Controls

Additional Progesterone R/NR3C3 Products

Research Areas for Progesterone R/NR3C3 Antibody (NBP2-77437)

Find related products by research area.

Blogs on Progesterone R/NR3C3

There are no specific blogs for Progesterone R/NR3C3, but you can read our latest blog posts.

Contact Information

Product PDFs

Calculators

Concentration Calculator

The concentration calculator allows you to quickly calculate the volume, mass or concentration of your vial. Simply enter your mass, volume, or concentration values for your reagent and the calculator will determine the rest.

=
÷

Review this Product

Be the first to review our Progesterone R/NR3C3 Antibody (RM357) and receive a gift card or discount.

Bioinformatics

Gene Symbol PGR