PRAF1 Antibody - BSA Free

Images

 
Staining of human colon shows strong nucleoli positivity in glandular cells.
Staining of human ovary shows strong nucleoli positivity in follicle cells.
Staining of human cerebral cortex shows strong nuclear positivity in neuronal cells.
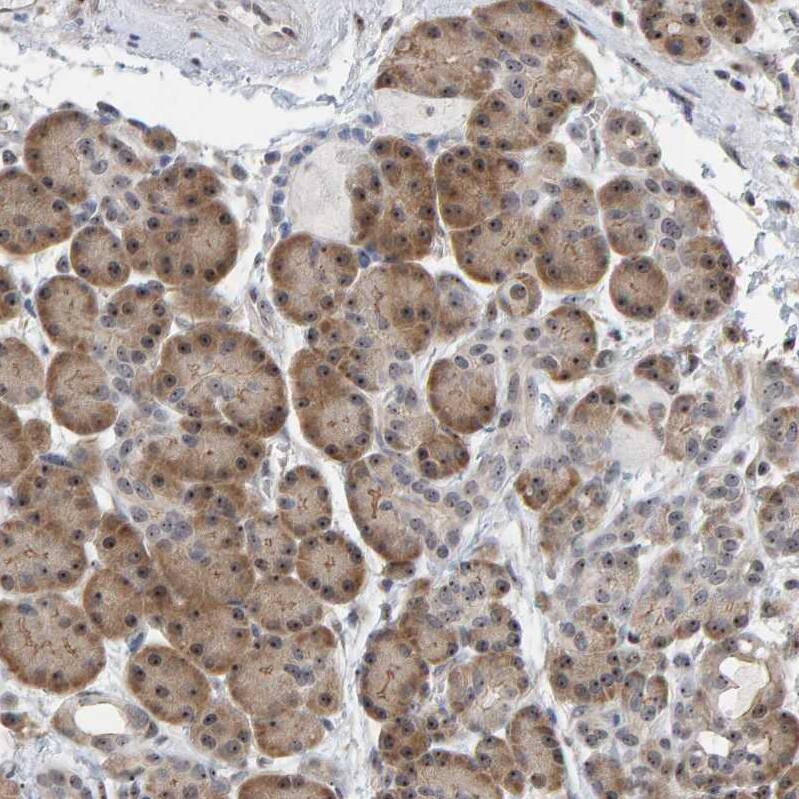
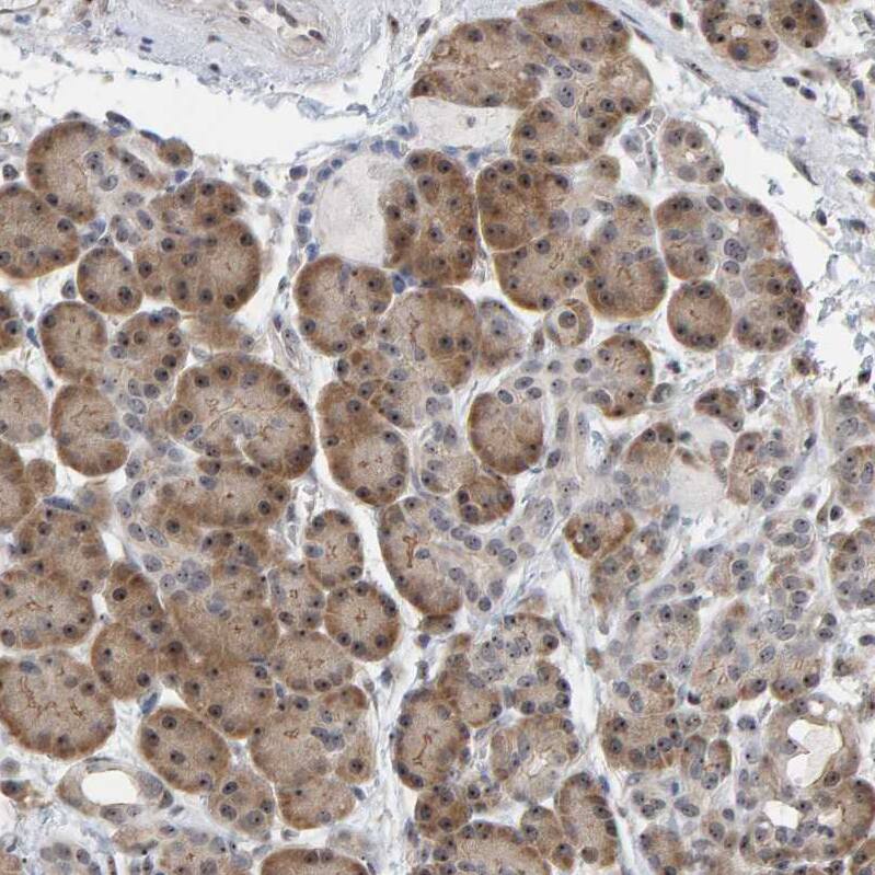
Staining of human pancreas shows strong positivity in nucleoli/cytoplasmic in exocrine glandular cells.
Staining of human skin shows strong positivity in nucleoli in epidermal cells.
Analysis in human cell line K562.

Product Details

Summary
Reactivity HuSpecies Glossary
Applications WB, IHC
Clonality
Polyclonal
Host
Rabbit
Conjugate
Unconjugated
Format
BSA Free

Order Details

PRAF1 Antibody - BSA Free Summary

Description
Novus Biologicals Rabbit PRAF1 Antibody - BSA Free (NBP1-89867) is a polyclonal antibody validated for use in IHC and WB. Anti-PRAF1 Antibody: Cited in 1 publication. All Novus Biologicals antibodies are covered by our 100% guarantee.
Immunogen
This antibody was developed against Recombinant Protein corresponding to amino acids: LLQFPLGQDPSFLAIPILALPPSDSLVPPYIVWYIVWPSALISFLGCTLTVQFSNGKLQSPGNMRFTLYENKDSTNPRKRNQRILAAETDRLSYVGNNFG
Isotype
IgG
Clonality
Polyclonal
Host
Rabbit
Gene
POLR1E
Purity
Affinity purified
Innovator's Reward
Test in a species/application not listed above to receive a full credit towards a future purchase.

Applications/Dilutions

Dilutions
  • Immunohistochemistry 1:50 - 1:200
  • Immunohistochemistry-Paraffin 1:50 - 1:200
  • Western Blot 0.04-0.4 ug/ml
Application Notes
For IHC-Paraffin, HIER pH 6 retrieval is recommended. Immunocytochemistry/Immunofluorescence Fixation Permeabilization: Use PFA/Triton X-100.
Control Peptide
PRAF1 Protein (NBP1-89867PEP)
Publications
Read Publication using NBP1-89867.

Reactivity Notes

Reactivity reported in scientific literature (PMID: 23470167)

Packaging, Storage & Formulations

Storage
Store at 4C short term. Aliquot and store at -20C long term. Avoid freeze-thaw cycles.
Buffer
PBS (pH 7.2) and 40% Glycerol
Preservative
0.02% Sodium Azide
Purity
Affinity purified

Alternate Names for PRAF1 Antibody - BSA Free

  • DNA-directed RNA polymerase I subunit E
  • DNA-directed RNA polymerase I subunit RPA49
  • FLJ13390
  • FLJ13970
  • FLJ43482
  • PAF53RNA polymerase I-associated factor 1
  • polymerase (RNA) I associated factor 1
  • polymerase (RNA) I polypeptide E, 53kDa
  • PRAF1
  • RNA polymerase I associated factor 53
  • RNA polymerase I subunit A49
  • RNA polymerase I-associated factor 53
  • RP11-405L18.3

Background

DNA-dependent RNA polymerase catalyzes the transcription of DNA into RNA using the four ribonucleosidetriphosphates as substrates. Component of RNA polymerase I which synthesizes ribosomal RNA precursors. Appears to beinvolved in the formation of the initiation complex at the promoter by mediating the interaction between Pol I andUBTF/UBF

Limitations

This product is for research use only and is not approved for use in humans or in clinical diagnosis. Primary Antibodies are guaranteed for 1 year from date of receipt.

Customers Who Viewed This Item Also Viewed...

NBP1-82545
Species: Hu, Mu
Applications: ICC/IF, IHC,  IHC-P, KD, WB
NBP3-12158
Species: Hu
Applications: Flow, ICC/IF, IHC,  IHC-P, PEP-ELISA, WB
NBP2-19676
Species: Hu
Applications: ICC/IF, IHC,  IHC-P, WB
NB110-61646
Species: Hu, Mu
Applications: ICC/IF, IHC,  IHC-P, IP, WB
NBP1-87886
Species: Hu, Rt
Applications: IHC,  IHC-P, WB
NBP1-80883
Species: Hu
Applications: ICC/IF, IHC,  IHC-P, WB
NBP3-38210
Species: Hu, Mu, Rt
Applications: ELISA, ICC/IF, IHC,  IHC-P, WB
NBP2-16686
Species: Hu
Applications: ICC/IF, IHC,  IHC-P, KO, WB
NB300-269
Species: Bv, Ce, Ch, Dr, Eq, Hu, Mu, Pl, Po, Rt, Y, Ye
Applications: Flow, ICC/IF, IHC-WhMt, IHC, IHC-Fr,  IHC-P, KD, WB
NBP2-38206
Species: Hu
Applications: IHC,  IHC-P, KD, WB
NBP2-47609
Species: Hu
Applications: ICC/IF, IHC,  IHC-P
NBP2-49118
Species: Hu
Applications: IHC,  IHC-P
NBP1-82455
Species: Hu
Applications: ICC/IF, IHC,  IHC-P, WB
MAB6495
Species: Hu
Applications: ICC, Simple Western, WB
NBP1-23017
Species: Hu, Mu
Applications: ICC/IF, IHC,  IHC-P, IP, KD, Simple Western, WB
NB100-1533
Species: Hu, Mu, Po, Rt, Sh
Applications: Flow, ICC/IF, IHC,  IHC-P, PEP-ELISA, WB
NBP2-58841
Species: Hu
Applications: ChIP-EXO-SEQ, ICC/IF
MAB1417
Species: Bv, Hu, Mu
Applications: ICC, IHC

Publications for PRAF1 Antibody (NBP1-89867)(1)


Reviews for PRAF1 Antibody (NBP1-89867) (0)

There are no reviews for PRAF1 Antibody (NBP1-89867). By submitting a review you will receive an Amazon e-Gift Card or Novus Product Discount.
  • Review with no image -- $10/€7/£6/$10 CAD/¥70 Yuan/¥1110 Yen
  • Review with an image -- $25/€18/£15/$25 CAD/¥150 Yuan/¥2500 Yen

Product General Protocols

Find general support by application which include: protocols, troubleshooting, illustrated assays, videos and webinars.

Video Protocols

WB Video Protocol

FAQs for PRAF1 Antibody (NBP1-89867) (0)

There are no specific FAQs related to this product. Read our general customer & technical service FAQs.

Customers Who Bought This Also Bought

Contact Information

Product PDFs

Calculators

Concentration Calculator

The concentration calculator allows you to quickly calculate the volume, mass or concentration of your vial. Simply enter your mass, volume, or concentration values for your reagent and the calculator will determine the rest.

=
÷

Review this Product

Be the first to review our PRAF1 Antibody - BSA Free and receive a gift card or discount.

Bioinformatics

Gene Symbol POLR1E