PPP2CB [p Tyr307] Antibody (ST49-05)

Images

 
Western Blot: PPP2CB [p Tyr307] Antibody (ST49-05) [NBP2-67512] - Analysis of PPP2CB [p Tyr307] on different lysates. Proteins were transferred to a PVDF membrane and blocked with 5% BSA in PBS for 1 hour at room ...read more
Immunocytochemistry/ Immunofluorescence: PPP2CB [p Tyr307] Antibody (ST49-05) [NBP2-67512] - Staining Phospho-PP2A(pY307) in PC12 cells (green). The nuclear counter stain is DAPI (blue). Cells were fixed in ...read more
Immunohistochemistry-Paraffin: PPP2CB [p Tyr307] Antibody (ST49-05) [NBP2-67512] - Analysis of paraffin-embedded human esophagus tissue with Rabbit anti-PPP2CB [p Tyr307] antibody washed with ddH2O and PBS, and then ...read more
Western Blot: PPP2CB [p Tyr307] Antibody (ST49-05) [NBP2-67512] - Analysis of Phospho-PP2A(pY307) on different lysates using anti-Phospho-PP2A(pY307) antibody at 1/1,000 dilution. Positive control: Lane 1: A431 Lane 2: ...read more
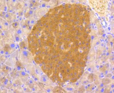
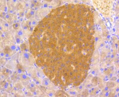
Immunohistochemistry-Paraffin: PPP2CB [p Tyr307] Antibody (ST49-05) [NBP2-67512] - Analysis of paraffin-embedded human pancreas tissue using anti-Phospho-PP2A(pY307) antibody. Counter stained with hematoxylin.
Immunohistochemistry-Paraffin: PPP2CB [p Tyr307] Antibody (ST49-05) [NBP2-67512] - Analysis of paraffin-embedded mouse brain tissue using anti-Phospho-PP2A(pY307) antibody. Counter stained with hematoxylin.
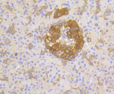
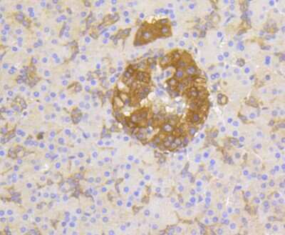
Immunohistochemistry-Paraffin: PPP2CB [p Tyr307] Antibody (ST49-05) [NBP2-67512] - Analysis of paraffin-embedded mouse pancreas tissue using anti-Phospho-PP2A(pY307) antibody. Counter stained with hematoxylin.
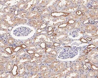
Immunohistochemistry-Paraffin: PPP2CB [p Tyr307] Antibody (ST49-05) [NBP2-67512] - Analysis of paraffin-embedded human kidney tissue with Rabbit anti-Phospho-PP2A(Y307) antibody washed with ddH2O and PBS, and then ...read more

Product Details

Summary
Product Discontinued
View other related PPP2CB Primary Antibodies

Order Details


    • Catalog Number
      NBP2-67512
    • Availability
      Product Discontinued

    Can't find what you are looking for? Use our Antibody Concierge Service & we will help you locate your antibody!

    Or feel free to contact us for alternative products.

PPP2CB [p Tyr307] Antibody (ST49-05) Summary

Additional Information
Recombinant Monoclonal Antibody.
Immunogen
Synthetic phospho-peptide corresponding to residues surrounding Tyr307 of Human PPP2CB aa 260-309 / 309. (SwissProt: P62714 Human; SwissProt: P67775 Human; SwissProt: P62715 Mouse; SwissProt: P63330 Mouse; SwissProt: P62716 Rat; SwissProt: P63331 Rat)
Modification
p Tyr307
Localization
Centromere, Chromosome, Cytoplasm, Cytoskeleton, Nucleus.
Isotype
IgG
Clonality
Monoclonal
Host
Rabbit
Gene
PPP2CB
Purity
Protein A purified
Innovator's Reward
Test in a species/application not listed above to receive a full credit towards a future purchase.

Applications/Dilutions

Dilutions
  • Immunocytochemistry/ Immunofluorescence 1:50-1:200
  • Immunohistochemistry
  • Immunohistochemistry-Paraffin 1:50-1:200
  • Immunoprecipitation
  • Western Blot 1:1000-1:5000

Packaging, Storage & Formulations

Storage
Store at 4C short term. Aliquot and store at -20C long term. Avoid freeze-thaw cycles.
Buffer
TBS (pH7.4), 0.05% BSA, 40% Glycerol
Preservative
0.05% Sodium Azide
Concentration
1 mg/ml
Purity
Protein A purified

Alternate Names for PPP2CB [p Tyr307] Antibody (ST49-05)

  • EC 3.1.3.16
  • PP2Abeta
  • PP2A-beta
  • PP2CB
  • protein phosphatase 2 (formerly 2A), catalytic subunit, beta isoform
  • protein phosphatase 2, catalytic subunit, beta isoform
  • protein phosphatase 2, catalytic subunit, beta isozyme
  • protein phosphatase 2A catalytic subunit, beta isoform
  • protein phosphatase type 2A catalytic subunit
  • serine/threonine protein phosphatase 2A, catalytic subunit, beta isoform
  • serine/threonine-protein phosphatase 2A catalytic subunit beta isoform

Background

PPP2CB also known as Serine/threonine-protein phosphatase 2A catalytic subunit beta isoform, is a 309 amino acid protein that is 36 kDa, localizes in cytoplasm and nucleus, is implicated in the negative control of cell growth and division and modulates the activity of phosphorylase B kinase casein kinase 2, mitogen-stimulated S6 kinase, and MAP-2 kinase. Studies of this protein are being done on the following diseases and disorders: cerebral cavernous malformations, cavernous malformation, cerebral cavernous malformations 3, Werner syndrome, Chagas disease, hepatitis c, trypanosomiasis, cerebritis, Alzheimer's disease, prostate cancer, hepatitis, prostatitis, immunodeficiency, malaria, neuronitis, and breast cancer. PPP2CB protein has been linked to Neurophysiological process Glutamate regulation of Dopamine D1A receptor signaling, Signal transduction Calcium signaling, Development Beta-adrenergic receptors signaling via cAMP,Cell cycle Regulation of G1/S transition (part 1), Cell cycle Start of DNA replication in early S phase, Cell Cycle Control by BTG Proteins, CDK5 Pathway, mTOR Pathway, AMPK Enzyme Complex Pathway, Cyclins and Cell Cycle Regulation, Akt Pathway, Insulin Pathway, TGF-beta Pathway, Wnt Pathway, Apoptosis and survival BAD phosphorylation, and many other pathways where interacts with HIST1H4B , HIST1H4A, HIST1H4C, HIST1H4D, HIST1H4E, AXIN2, and over 280 other interacting proteins.

Limitations

This product is for research use only and is not approved for use in humans or in clinical diagnosis. Primary Antibodies are guaranteed for 1 year from date of receipt.

Customers Who Viewed This Item Also Viewed...

NBP1-87232
Species: Hu
Applications: ICC/IF, IHC,  IHC-P, WB
AF3989
Species: Hu, Mu, Rt
Applications: WB
NBP2-45384
Species: Hu, Mu, Rt
Applications: IHC,  IHC-P, WB
6507-IL/CF
Species: Hu
Applications: BA
NBP2-19907
Species: Hu, Mu
Applications: ICC/IF, IHC,  IHC-P, IP, WB
NB600-302
Species: Bv, Dr, Hu, Mu
Applications: ChIP, ELISA, Flow-IC, Flow, IB, ICC/IF, IHC, IHC-Fr,  IHC-P, IP, PLA, S-ELISA, Simple Western, WB
NB400-114
Species: Ch, Fe, Ha, Hu, Mu, Pl, Po, Pm, Rt
Applications: ICC/IF, IHC,  IHC-P, IP, KD, WB
NB100-464
Species: Hu, Mu
Applications: IHC,  IHC-P, IP, WB
NBP1-31348
Species: Hu, Mu, Rt
Applications: ICC/IF, IHC,  IHC-P, WB
NBP1-87931
Species: Hu, Mu, Rt
Applications: ICC/IF, IHC,  IHC-P, WB
1341-WF
Species: Hu
Applications: BA
NBP2-38600
Species: Hu
Applications: ICC/IF, IHC,  IHC-P, WB
NB110-40619
Species: Hu, Mu
Applications: IHC,  IHC-P, IP (-), WB
NBP2-15971
Species: Hu, Mu, Rt
Applications: ICC/IF, IHC,  IHC-P, KO, WB
NB100-56637
Species: Hu, Mu
Applications: WB
NB100-247
Species: Hu
Applications: IHC,  IHC-P, IP, WB
NBP1-83276
Species: Hu, Rt
Applications: ICC/IF, IHC,  IHC-P, WB
NBP2-67512
Species: Hu, Mu, Rt
Applications: WB, ICC/IF, IHC, IP

Publications for PPP2CB Antibody (NBP2-67512) (0)

There are no publications for PPP2CB Antibody (NBP2-67512).
By submitting your publication information earn gift cards and discounts for future purchases.

Reviews for PPP2CB Antibody (NBP2-67512) (0)

There are no reviews for PPP2CB Antibody (NBP2-67512). By submitting a review you will receive an Amazon e-Gift Card or Novus Product Discount.
  • Review with no image -- $10/€7/£6/$10 CAD/¥70 Yuan/¥1110 Yen
  • Review with an image -- $25/€18/£15/$25 CAD/¥150 Yuan/¥2500 Yen

Product General Protocols

Find general support by application which include: protocols, troubleshooting, illustrated assays, videos and webinars.

Video Protocols

WB Video Protocol
ICC/IF Video Protocol

FAQs for PPP2CB Antibody (NBP2-67512) (0)

There are no specific FAQs related to this product. Read our general customer & technical service FAQs.

Secondary Antibodies

 

Isotype Controls

Additional PPP2CB Products

Research Areas for PPP2CB Antibody (NBP2-67512)

Find related products by research area.

Blogs on PPP2CB

There are no specific blogs for PPP2CB, but you can read our latest blog posts.

Contact Information

Product PDFs

Calculators

Concentration Calculator

The concentration calculator allows you to quickly calculate the volume, mass or concentration of your vial. Simply enter your mass, volume, or concentration values for your reagent and the calculator will determine the rest.

=
÷

Review this Product

Be the first to review our PPP2CB [p Tyr307] Antibody (ST49-05) and receive a gift card or discount.

Bioinformatics

Gene Symbol PPP2CB