PPP1R12C Antibody - BSA Free

Images

 
Immunohistochemistry-Paraffin: PPP1R12C Antibody [NBP1-94079] - Staining of human liver shows strong cytoplasmic positivity in hepatocytes.
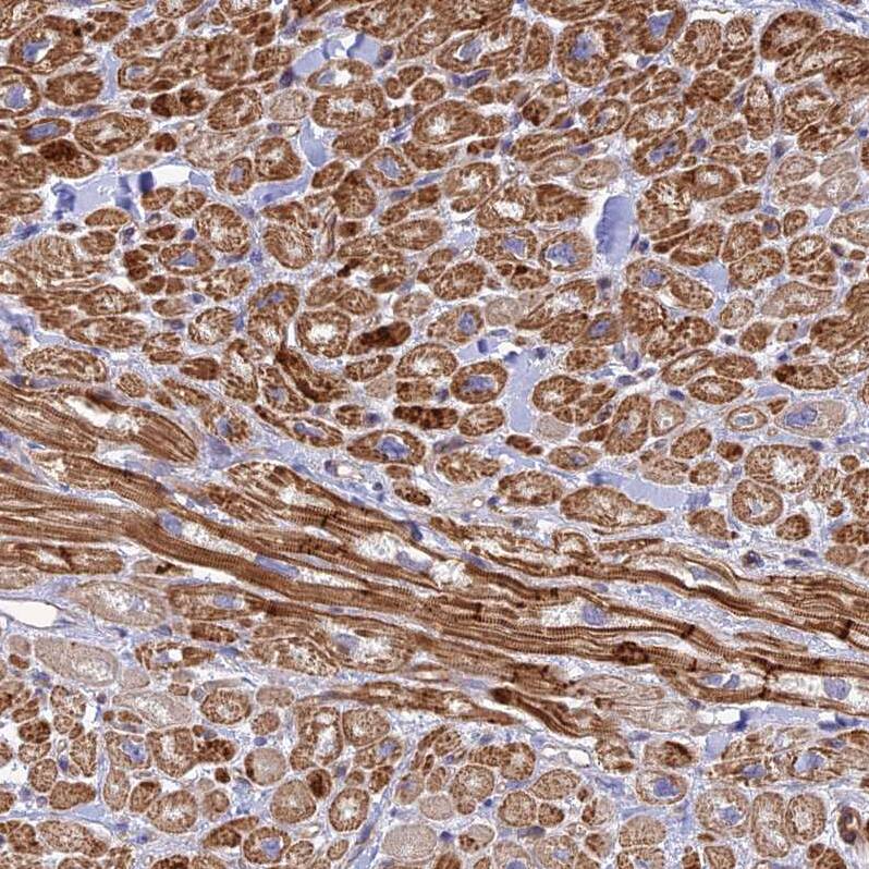
Staining of human heart muscle shows strong cytoplasmic positivity in cardiomyocytes.
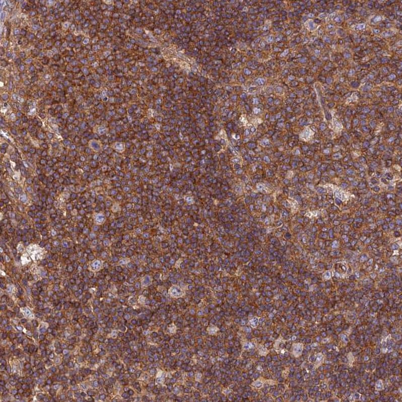
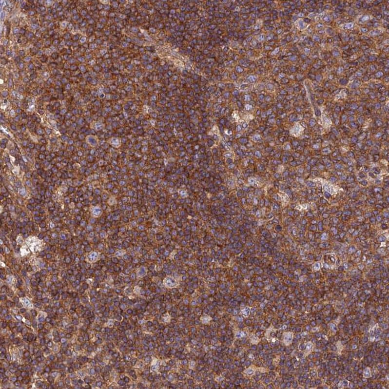
Staining of human lymphoid node shows strong cytoplasmic and membranous positivity in germinal and non germinal center cells.
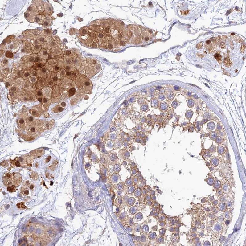
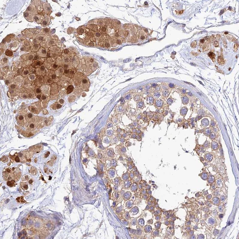
Staining of human testis shows strong cytoplasmic and membranous positivity in Leydig cells.
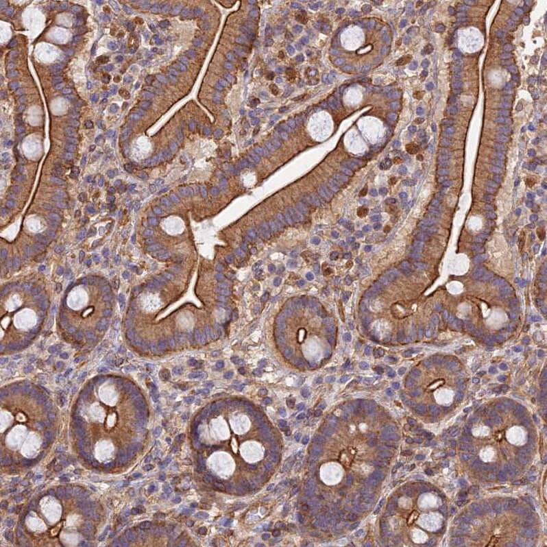
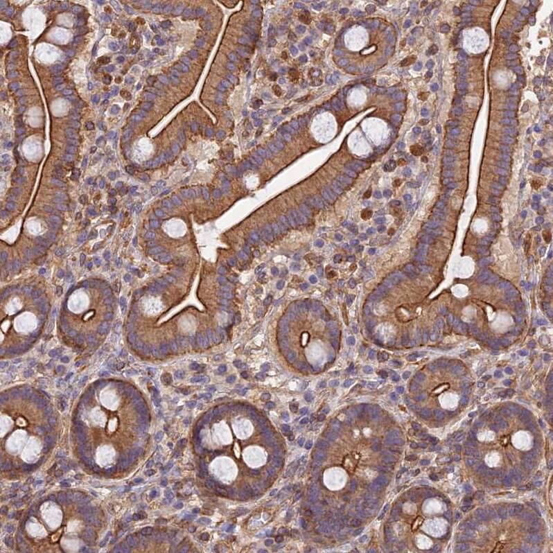
Staining of human duodenum shows strong cytoplasmic positivity in glandular cells.

Product Details

Summary
Reactivity Hu, Mu, RtSpecies Glossary
Applications IHC
Clonality
Polyclonal
Host
Rabbit
Conjugate
Unconjugated
Format
BSA Free

Order Details

View Available Formulations
Catalog# & Formulation Size Price

PPP1R12C Antibody - BSA Free Summary

Description
Novus Biologicals Rabbit PPP1R12C Antibody - BSA Free (NBP1-94079) is a polyclonal antibody validated for use in IHC. All Novus Biologicals antibodies are covered by our 100% guarantee.
Immunogen
This antibody was developed against Recombinant Protein corresponding to amino acids: DIARYLLSHGANIAAVNSDGDLPLDLAESDAMEGLLKAEIARRGVDVEAAKRAEEELLLHDTRCWLNGGAMPEARHPRTGASALHV
Predicted Species
Mouse (99%), Rat (99%). Backed by our 100% Guarantee.
Isotype
IgG
Clonality
Polyclonal
Host
Rabbit
Gene
PPP1R12C
Purity
Affinity purified
Innovator's Reward
Test in a species/application not listed above to receive a full credit towards a future purchase.

Applications/Dilutions

Dilutions
  • Immunohistochemistry 1:1000 - 1:2500
  • Immunohistochemistry-Paraffin 1:1000 - 1:2500
Application Notes
For IHC-Paraffin, HIER pH 6 retrieval is recommended.
Control Peptide
PPP1R12C Protein (NBP1-94079PEP)

Packaging, Storage & Formulations

Storage
Store at 4C short term. Aliquot and store at -20C long term. Avoid freeze-thaw cycles.
Buffer
PBS (pH 7.2) and 40% Glycerol
Preservative
0.02% Sodium Azide
Purity
Affinity purified

Alternate Names for PPP1R12C Antibody - BSA Free

  • DKFZp434D0412
  • LENG3
  • leukocyte receptor cluster (LRC) encoded novel gene 3
  • leukocyte receptor cluster (LRC) member 3
  • MBS85
  • myosin-binding subunit 85
  • p84
  • p85
  • protein phosphatase 1 myosin-binding subunit of 85 kDa
  • protein phosphatase 1 myosin-binding subunit p85
  • protein phosphatase 1 regulatory subunit 12C
  • protein phosphatase 1, regulatory (inhibitor) subunit 12C
  • protein phosphatase 1, regulatory subunit 12C

Limitations

This product is for research use only and is not approved for use in humans or in clinical diagnosis. Primary Antibodies are guaranteed for 1 year from date of receipt.

Customers Who Viewed This Item Also Viewed...

AF887
Species: Hu, Mu, Rt
Applications: CyTOF-ready, IHC, ICFlow, Simple Western, WB
NB100-82001
Species: Hu, Mu, Po, Rt
Applications: ICC/IF, IHC,  IHC-P, Simple Western, WB
NBP2-15071
Species: Hu, Mu, Rt
Applications: ICC/IF, IHC,  IHC-P, KO, WB
NBP2-46404
Species: Hu, Mu, Rt
Applications: IHC,  IHC-P
NBP2-19804
Species: Hu, Mu
Applications: ICC/IF, IHC,  IHC-P, WB
NBP2-12793
Species: Hu, Mu
Applications: IHC,  IHC-P, IP, WB
AF2685
Species: Hu
Applications: IHC, Simple Western, WB
H00001523-M01
Species: Hu, Mu, Rt
Applications: ELISA, ICC/IF, IHC,  IHC-P, IP, WB
NB100-74648
Species: Hu
Applications: ICC/IF, IHC,  IHC-P, IP, WB
MAB1417
Species: Bv, Hu, Mu
Applications: ICC, IHC
AF1230
Species: Hu, Mu, Rt
Applications: IHC, KO, WB
NBP2-22203
Species: Hu, Pm, Mu, Rt
Applications: ELISA, Flow, ICC/IF, IHC,  IHC-P, WB
AF3846
Species: Hu, Mu, Rt
Applications: IHC, WB
MAB6210
Species: Hu
Applications: Simple Western, WB
MAB6347
Species: Hu
Applications: WB
236-EG
Species: Hu
Applications: BA
AF231
Species: Hu
Applications: CyTOF-ready, Dual ISH-IHC, ELISA(Cap), ELISA(Det), ELISA(Sta), Flow, ICC, IHC, IP, Simple Western, WB
NBP1-49533
Species: Hu, Mu, Pl, Rt
Applications: Flow-IC, Flow, ICC/IF, IHC,  IHC-P, KD, WB
NBP1-94079
Species: Hu, Mu, Rt
Applications: IHC

Publications for PPP1R12C Antibody (NBP1-94079) (0)

There are no publications for PPP1R12C Antibody (NBP1-94079).
By submitting your publication information earn gift cards and discounts for future purchases.

Reviews for PPP1R12C Antibody (NBP1-94079) (0)

There are no reviews for PPP1R12C Antibody (NBP1-94079). By submitting a review you will receive an Amazon e-Gift Card or Novus Product Discount.
  • Review with no image -- $10/€7/£6/$10 CAD/¥70 Yuan/¥1110 Yen
  • Review with an image -- $25/€18/£15/$25 CAD/¥150 Yuan/¥2500 Yen

Product General Protocols

Find general support by application which include: protocols, troubleshooting, illustrated assays, videos and webinars.

FAQs for PPP1R12C Antibody (NBP1-94079) (0)

There are no specific FAQs related to this product. Read our general customer & technical service FAQs.

Customers Who Bought This Also Bought

Contact Information

Product PDFs

Calculators

Concentration Calculator

The concentration calculator allows you to quickly calculate the volume, mass or concentration of your vial. Simply enter your mass, volume, or concentration values for your reagent and the calculator will determine the rest.

=
÷

Review this Product

Be the first to review our PPP1R12C Antibody - BSA Free and receive a gift card or discount.

Bioinformatics

Gene Symbol PPP1R12C