POR/Cytochrome P450 Reductase Antibody (JB54-31)

Images

 
Western Blot: POR/Cytochrome P450 Reductase Antibody (JB54-31) [NBP2-75626] - Analysis of Cytochrome P450 Reductase on SK-Br-3 (1) , A549 (2) and mouse lung (3) lysate using anti-Cytochrome P450 Reductase antibody at ...read more
Immunocytochemistry/ Immunofluorescence: POR/Cytochrome P450 Reductase Antibody (JB54-31) [NBP2-75626] - Staining Cytochrome P450 Reductase in A549 cells (green). The nuclear counter stain is DAPI (blue). Cells were ...read more
Immunohistochemistry-Paraffin: POR/Cytochrome P450 Reductase Antibody (JB54-31) [NBP2-75626] - Analysis of paraffin-embedded rat brain tissue using anti-Cytochrome P450 Reductase antibody. Counter stained with ...read more
Flow Cytometry: POR/Cytochrome P450 Reductase Antibody (JB54-31) [NBP2-75626] - Analysis of HepG2 cells with Cytochrome P450 Reductase antibody at 1/100 dilution (red) compared with an unlabelled control (cells without ...read more
Immunocytochemistry/ Immunofluorescence: POR/Cytochrome P450 Reductase Antibody (JB54-31) [NBP2-75626] - Staining Cytochrome P450 Reductase in HepG2 cells (green). The nuclear counter stain is DAPI (blue). Cells were ...read more
Immunocytochemistry/ Immunofluorescence: POR/Cytochrome P450 Reductase Antibody (JB54-31) [NBP2-75626] - Staining Cytochrome P450 Reductase in LOVO cells (green). The nuclear counter stain is DAPI (blue). Cells were ...read more
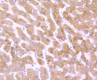
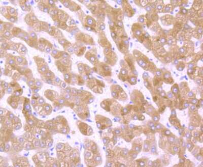
Immunohistochemistry-Paraffin: POR/Cytochrome P450 Reductase Antibody (JB54-31) [NBP2-75626] - Analysis of paraffin-embedded human liver tissue using anti-Cytochrome P450 Reductase antibody. Counter stained with ...read more
Immunohistochemistry-Paraffin: POR/Cytochrome P450 Reductase Antibody (JB54-31) [NBP2-75626] - Analysis of paraffin-embedded human lung cancer tissue using anti-Cytochrome P450 Reductase antibody. Counter stained with ...read more
Immunohistochemistry-Paraffin: POR/Cytochrome P450 Reductase Antibody (JB54-31) [NBP2-75626] - Analysis of paraffin-embedded mouse testis tissue using anti-Cytochrome P450 Reductase antibody. Counter stained with ...read more

Order Details


    • Catalog Number
      NBP2-75626
    • Availability
      Product Discontinued

    Can't find what you are looking for? Use our Antibody Concierge Service & we will help you locate your antibody!

    Or feel free to contact us for alternative products.

POR/Cytochrome P450 Reductase Antibody (JB54-31) Summary

Additional Information
Recombinant Monoclonal Antibody.
Immunogen
Recombinant protein within Human POR/Cytochrome P450 Reductase aa 80-220 / 677. (SwissProt: P16435 Human; SwissProt: P37040 Mouse; SwissProt: P00388 Rat)
Localization
Endoplasmic reticulum.
Isotype
IgG
Clonality
Monoclonal
Host
Rabbit
Gene
POR
Purity
Protein A purified
Innovator's Reward
Test in a species/application not listed above to receive a full credit towards a future purchase.

Applications/Dilutions

Dilutions
  • Flow Cytometry 1:50-1:100
  • Immunocytochemistry/ Immunofluorescence 1:50-1:200
  • Immunohistochemistry
  • Immunohistochemistry-Paraffin 1:50-1:200
  • Western Blot 1:500-1:1000
Theoretical MW
77 kDa.
Disclaimer note: The observed molecular weight of the protein may vary from the listed predicted molecular weight due to post translational modifications, post translation cleavages, relative charges, and other experimental factors.

Packaging, Storage & Formulations

Storage
Store at 4C short term. Aliquot and store at -20C long term. Avoid freeze-thaw cycles.
Buffer
TBS (pH7.4), 0.05% BSA, 40% Glycerol
Preservative
0.05% Sodium Azide
Concentration
1 mg/ml
Purity
Protein A purified

Alternate Names for POR/Cytochrome P450 Reductase Antibody (JB54-31)

  • CPR
  • CYPOR
  • CYPORFLJ26468
  • Cytochrome P450 Reductase
  • DKFZp686G04235
  • EC 1.6.2.4
  • NADPH--cytochrome P450 reductase
  • NADPH-dependent cytochrome P450 reductase
  • P450 (cytochrome) oxidoreductase
  • P450R
  • POR

Limitations

This product is for research use only and is not approved for use in humans or in clinical diagnosis. Primary Antibodies are guaranteed for 1 year from date of receipt.

Customers Who Viewed This Item Also Viewed...

MAB1417
Species: Bv, Hu, Mu
Applications: ICC, IHC
DY1707
Species: Hu
Applications: ELISA
AF3690
Species: Hu, Mu
Applications: ChIP, ICC, WB
NBP1-46838
Species: Hu
Applications: IP (-), WB
NBP2-24915
Species: Bv, Hu, Mu, Rt
Applications: IHC,  IHC-P, WB
AF1436
Species: Mu
Applications: WB
NB100-56503
Species: Dr, Hu, Mu, Rb, Rt
Applications: Flow-CS, Flow-IC, Flow, IB, ICC/IF, IHC,  IHC-P, Simple Western, WB
NBP2-01756
Species: Hu, Mu, Rt
Applications: Flow, ICC/IF, IHC,  IHC-P, WB
NBP2-37502
Species: Hu
Applications: CyTOF-ready, ELISA, Flow, ICC/IF, IHC,  IHC-P, WB
H00065057-M02
Species: Hu
Applications: ChIP, ELISA, ICC/IF, IHC,  IHC-P, IP, WB
AF5739
Species: Hu, Mu, Rt
Applications: WB
MAB2476
Species: Hu
Applications: IHC, WB
NB100-74510
Species: Hu, Mu, Pm, Rt
Applications: ELISA, ICC/IF, IHC,  IHC-P, IP, WB
NB100-182
Species: Av, Ca, Hu, Ma, Mu, Pm, Rt, Ze
Applications: ChIP, ChIP, Flow, IB, ICC/IF, IHC,  IHC-P, IP, KD, KO, RNAi, Simple Western, WB
AF1936
Species: Hu
Applications: IP, WB
H00003845-M01
Species: Hu, Mu
Applications: ELISA, ICC/IF, IP, WB
AF1638
Species: Hu, Mu, Rt
Applications: ICC, Simple Western, WB
H00342184-M07
Species: Hu
Applications: ELISA, ICC/IF, WB
664-LI
Species: Hu
Applications: BA
NBP2-75626
Species: Hu, Mu, Rt
Applications: WB, Flow, ICC/IF, IHC

Publications for POR/Cytochrome P450 Reductase Antibody (NBP2-75626) (0)

There are no publications for POR/Cytochrome P450 Reductase Antibody (NBP2-75626).
By submitting your publication information earn gift cards and discounts for future purchases.

Reviews for POR/Cytochrome P450 Reductase Antibody (NBP2-75626) (0)

There are no reviews for POR/Cytochrome P450 Reductase Antibody (NBP2-75626). By submitting a review you will receive an Amazon e-Gift Card or Novus Product Discount.
  • Review with no image -- $10/€7/£6/$10 CAD/¥70 Yuan/¥1110 Yen
  • Review with an image -- $25/€18/£15/$25 CAD/¥150 Yuan/¥2500 Yen

Product General Protocols

Find general support by application which include: protocols, troubleshooting, illustrated assays, videos and webinars.

Video Protocols

WB Video Protocol
ICC/IF Video Protocol

FAQs for POR/Cytochrome P450 Reductase Antibody (NBP2-75626) (0)

There are no specific FAQs related to this product. Read our general customer & technical service FAQs.

Secondary Antibodies

 

Isotype Controls

Additional POR/Cytochrome P450 Reductase Products

Research Areas for POR/Cytochrome P450 Reductase Antibody (NBP2-75626)

Find related products by research area.

Blogs on POR/Cytochrome P450 Reductase

There are no specific blogs for POR/Cytochrome P450 Reductase, but you can read our latest blog posts.

Contact Information

Product PDFs

Calculators

Concentration Calculator

The concentration calculator allows you to quickly calculate the volume, mass or concentration of your vial. Simply enter your mass, volume, or concentration values for your reagent and the calculator will determine the rest.

=
÷

Review this Product

Be the first to review our POR/Cytochrome P450 Reductase Antibody (JB54-31) and receive a gift card or discount.

Bioinformatics

Gene Symbol POR