PNK Antibody

Images

 
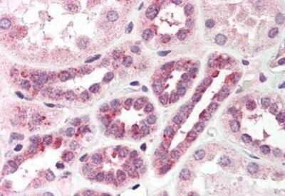
Immunohistochemistry-Paraffin: PNK Antibody [NBP1-02450] - Staining of human kidney. Immunohistochemistry of formalin-fixed, paraffin-embedded tissue after heat-induced antigen retrieval. Antibody concentration 5 ug/ml.

Product Details

Summary
Product Discontinued
View other related PNK Primary Antibodies

Order Details


    • Catalog Number
      NBP1-02450
    • Availability
      Product Discontinued

    Can't find what you are looking for? Use our Antibody Concierge Service & we will help you locate your antibody!

    Or feel free to contact us for alternative products.

PNK Antibody Summary

Immunogen
Synthetic peptide from human PNK.
Predicted Species
Chimpanzee (100%). Backed by our 100% Guarantee.
Isotype
IgG
Clonality
Polyclonal
Host
Rabbit
Gene
PNKP
Purity
Immunogen affinity purified
Innovator's Reward
Test in a species/application not listed above to receive a full credit towards a future purchase.

Applications/Dilutions

Dilutions
  • ELISA 1:3000-1:12000
  • Immunocytochemistry/ Immunofluorescence 1:10-1:500
  • Immunohistochemistry 1:10-1:500
  • Immunohistochemistry-Paraffin 5 ug/ml
  • Western Blot 1:300-1:1500

Reactivity Notes

Predicted reactivity based on percent identity from BLAST analysis: Canine (83%), Mouse (83%), Rat (83%)

Packaging, Storage & Formulations

Storage
Store at -20C. Avoid freeze-thaw cycles.
Buffer
20mM Potassium Phosphate (pH 7.2) and 0.15M NaCl
Preservative
0.01% Sodium Azide
Concentration
1.0 mg/ml
Purity
Immunogen affinity purified

Alternate Names for PNK Antibody

  • DNA 5'-kinase/3'-phosphatase
  • EIEE10
  • Homo sapiens polynucleotide kinase 3'-phosphatase (PNKP)
  • MCSZ
  • PNK
  • PNKbifunctional polynucleotide phosphatase/kinase
  • PNKP
  • polynucleotide kinase 3'-phosphatase
  • Polynucleotide kinase-3'-phosphatase

Background

Mammalian PNK (also known as PNKP, Polynucleotide kinase 3'-phosphatase, DNA 5'-kinase/3'-phosphatase and Polynucleotide kinase) catalyzes the 5 phosphorylation of nucleic acids and can have associated 3 phosphatase activity, predictive of an important function in DNA repair following ionizing radiation or oxidative damage. PNK is a nuclear protein that is expressed in many tissues with highest expression in spleen and testis, and lowest expression in small intestine.

Limitations

This product is for research use only and is not approved for use in humans or in clinical diagnosis. Primary Antibodies are guaranteed for 1 year from date of receipt.

Customers Who Viewed This Item Also Viewed...

NBP1-87154
Species: Hu
Applications: ICC/IF, IHC,  IHC-P, KD, WB
NB100-116
Species: Hu, Mu, Pm, Rt
Applications: ChIP, ELISA, GS, IB, ICC/IF, IHC, IHC-Fr,  IHC-P, IP, KD, PLA, Simple Western, WB
NBP2-16182
Species: Hu, Mu, Rt
Applications: ICC/IF, IHC,  IHC-P, WB
NBP2-98661
Species: Hu
Applications: ICC/IF, IHC,  IHC-P, WB
NBP2-38600
Species: Hu
Applications: ICC/IF, IHC,  IHC-P, WB
NBP1-41190
Species: Ch, Hu, Mu
Applications: B/N, ICC/IF, IP, PLA, WB
NBP1-48002
Species: Ca, Hu, Pm, Pm
Applications: ICC/IF, IHC,  IHC-P, IP, WB
NBP2-47358
Species: Hu
Applications: ICC/IF, IHC,  IHC-P
NBP1-89463
Species: Hu
Applications: ICC/IF, IHC,  IHC-P, KD, WB
NBP1-88330
Species: Hu
Applications: IHC,  IHC-P, WB
H00252969-M01
Species: Hu
Applications: ELISA, KD, WB
NBP2-13655
Species: Hu
Applications: ICC/IF, WB
NBP2-27335
Species: Hu, Mu, Rt(-)
Applications: CyTOF-ready, Flow, ICC/IF, WB
AF5675
Species: Hu, Mu, Rt
Applications: IHC, IP, KO, WB
NBP1-84881
Species: Hu
Applications: ICC/IF, IHC,  IHC-P, WB
NBP3-29042
Species: Hu, Mu
Applications: IP, WB
NB100-108
Species: Hu, Mu, Rt
Applications: ICC/IF, IHC,  IHC-P, WB
NB100-106
Species: Hu, Mu, Po, Pm, Rb, Rt
Applications: ELISA, Flow-IC, Flow, IB, ICC/IF, IHC, IHC-Fr,  IHC-P, IP, PLA, WB
MAB6609
Species: Hu, Mu
Applications: IHC, WB
NBP1-02450
Species: Hu, Pm
Applications: WB, ELISA, ICC/IF, IHC

Publications for PNK Antibody (NBP1-02450) (0)

There are no publications for PNK Antibody (NBP1-02450).
By submitting your publication information earn gift cards and discounts for future purchases.

Reviews for PNK Antibody (NBP1-02450) (0)

There are no reviews for PNK Antibody (NBP1-02450). By submitting a review you will receive an Amazon e-Gift Card or Novus Product Discount.
  • Review with no image -- $10/€7/£6/$10 CAD/¥70 Yuan/¥1110 Yen
  • Review with an image -- $25/€18/£15/$25 CAD/¥150 Yuan/¥2500 Yen

Product General Protocols

Find general support by application which include: protocols, troubleshooting, illustrated assays, videos and webinars.

Video Protocols

WB Video Protocol
ICC/IF Video Protocol

FAQs for PNK Antibody (NBP1-02450) (0)

There are no specific FAQs related to this product. Read our general customer & technical service FAQs.

Secondary Antibodies

 

Isotype Controls

Additional PNK Products

Research Areas for PNK Antibody (NBP1-02450)

Find related products by research area.

Blogs on PNK

There are no specific blogs for PNK, but you can read our latest blog posts.

Contact Information

Product PDFs

Calculators

Concentration Calculator

The concentration calculator allows you to quickly calculate the volume, mass or concentration of your vial. Simply enter your mass, volume, or concentration values for your reagent and the calculator will determine the rest.

=
÷

Review this Product

Be the first to review our PNK Antibody and receive a gift card or discount.

Bioinformatics

Gene Symbol PNKP
Entrez
Uniprot