PLK3 Antibody

Images

 
Orthogonal Strategies: Immunohistochemistry-Paraffin: PLK3 Antibody [NBP2-32530] - Analysis in human gallbladder and skeletal muscle tissues using NBP2-32530 antibody. Corresponding PLK3 RNA-seq data are ...read more
Western Blot: PLK3 Antibody [NBP2-32530] - Analysis in human cell line SK-MEL-30.
Immunohistochemistry-Paraffin: PLK3 Antibody [NBP2-32530] - Staining of human skin shows moderate nuclear positivity in squamous epithelial cells.
Immunohistochemistry-Paraffin: PLK3 Antibody [NBP2-32530] - Staining of human endometrium shows weak to moderate nuclear positivity in glandular cells.
Immunohistochemistry-Paraffin: PLK3 Antibody [NBP2-32530] - Staining of human gallbladder shows strong nuclear positivity in glandular cells.
Immunohistochemistry-Paraffin: PLK3 Antibody [NBP2-32530] - Staining of human skeletal muscle shows no positivity in myocytes as expected.
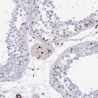
Immunohistochemistry-Paraffin: PLK3 Antibody [NBP2-32530] - Staining of human testis shows strong nuclear positivity in Leydig cells.

Product Details

Summary
Product Discontinued
View other related PLK3 Primary Antibodies
Validated by:
       

Orthogonal Strategies

 

Order Details


    • Catalog Number
      NBP2-32530
    • Availability
      Product Discontinued

    Can't find what you are looking for? Use our Antibody Concierge Service & we will help you locate your antibody!

    Or feel free to contact us for alternative products.

PLK3 Antibody Summary

Immunogen
This antibody was developed against a recombinant protein corresponding to amino acids: DHTKLILSGWEPLLVTFVARNRSACTYLASHLRQLGCSPDLRQRLRYALRLL
Predicted Species
Mouse (100%), Rat (100%). Backed by our 100% Guarantee.
Isotype
IgG
Clonality
Polyclonal
Host
Rabbit
Gene
PLK3
Purity
Immunogen affinity purified
Innovator's Reward
Test in a species/application not listed above to receive a full credit towards a future purchase.

Applications/Dilutions

Dilutions
  • Immunocytochemistry/ Immunofluorescence
  • Immunohistochemistry 1:50 - 1:200
  • Immunohistochemistry-Paraffin 1:50 - 1:200
  • Western Blot 0.04-0.4 ug/ml
Application Notes
For IHC-Paraffin, HIER pH 6 retrieval is recommended. Use in ICC/IF reported in scientific publication (PMID: 32575753).
Publications
Read Publications using
NBP2-32530 in the following applications:

Packaging, Storage & Formulations

Storage
Store at 4C short term. Aliquot and store at -20C long term. Avoid freeze-thaw cycles.
Buffer
PBS (pH 7.2) and 40% Glycerol
Preservative
0.02% Sodium Azide
Purity
Immunogen affinity purified

Alternate Names for PLK3 Antibody

  • CNK
  • CNKpolo-like kinase 3 (Drosophila)
  • cytokine-inducible kinase
  • Cytokine-inducible serine/threonine-protein kinase
  • EC 2.7.11
  • FNK
  • FNKEC 2.7.11.21
  • PLK3
  • polo-like kinase 3PLK-3
  • PRK
  • PRKFGF-inducible kinase
  • Proliferation-related kinase
  • serine/threonine-protein kinase PLK3

Limitations

This product is for research use only and is not approved for use in humans or in clinical diagnosis. Primary Antibodies are guaranteed for 1 year from date of receipt.

Customers Who Viewed This Item Also Viewed...

NBP1-48291
Species: Hu, Mu, Rt
Applications: Flow, IHC,  IHC-P, IP, WB
NBP3-04961
Species: Hu, Mu, Rt
Applications: ELISA, ICC/IF, WB
NBP2-93808
Species: Hu, Mu, Rt
Applications: ICC/IF, IHC,  IHC-P, WB
7770-GT
Species: Hu
Applications: EnzAct
AF8691
Species: Hu, Mu, Rt
Applications: IHC, KO, Simple Western, WB
NB300-221
Species: Av, Bv, Ca, Ch, ChHa, Dr, Eq, Fe, Ha, Hu, Mu, Ma-Op, Po, Pm, Rb, Rt, Sh, Ze
Applications: ChIP, ICC/IF, IHC, IHC-Fr, IP, KD, Simple Western, Single-Cell Western, WB
NBP2-55226
Species: Hu, Pm
Applications: IHC, IHC-Fr,  IHC-P
NBP1-91228
Species: Hu, Rt
Applications: IHC,  IHC-P, WB
664-LI
Species: Hu
Applications: BA
NB100-56104
Species: Ca, Hu, Mu, Rt
Applications: IHC, IHC-Fr,  IHC-P, IP, WB
NBP2-02563
Species: Hu
Applications: Flow, ICC/IF, IHC,  IHC-P, WB
NB200-103
Species: Hu, Mu, Rt, Xp(-), Ye
Applications: CyTOF-ready, ELISA, Flow-IC, Flow, ICC/IF, IHC, IHC-Fr,  IHC-P, IP, WB
NBP1-33402
Species: Hu
Applications: ICC/IF, WB
MAB7557
Species: Hu
Applications: IHC, WB
NBP1-78977
Species: Hu, Mu, Rt
Applications: Flow-IC, Flow, ICC/IF, IHC,  IHC-P, IM, IP, Simple Western, WB
NBP2-71688
Species: Ca, Hu, Mu, Rt
Applications: CyTOF-ready, Flow, ICC/IF, IHC,  IHC-P, IP, WB
NB100-116
Species: Hu, Mu, Pm, Rt
Applications: ChIP, ELISA, GS, IB, ICC/IF, IHC, IHC-Fr,  IHC-P, IP, KD, PLA, Simple Western, WB
MAB8930
Species: Hu
Applications: ICC, Simple Western, WB
NBP2-13296
Species: Hu
Applications: IHC,  IHC-P, WB
NBP2-32530
Species: Hu, Mu, Rt
Applications: WB, ICC/IF, IHC

Publications for PLK3 Antibody (NBP2-32530)(2)

We have publications tested in 1 confirmed species: Human.

We have publications tested in 2 applications: ICC/IF, WB.


Filter By Application
ICC/IF
(1)
WB
(2)
All Applications
Filter By Species
Human
(2)
All Species

Reviews for PLK3 Antibody (NBP2-32530) (0)

There are no reviews for PLK3 Antibody (NBP2-32530). By submitting a review you will receive an Amazon e-Gift Card or Novus Product Discount.
  • Review with no image -- $10/€7/£6/$10 CAD/¥70 Yuan/¥1110 Yen
  • Review with an image -- $25/€18/£15/$25 CAD/¥150 Yuan/¥2500 Yen

Product General Protocols

Find general support by application which include: protocols, troubleshooting, illustrated assays, videos and webinars.

Video Protocols

WB Video Protocol
ICC/IF Video Protocol

FAQs for PLK3 Antibody (NBP2-32530) (0)

There are no specific FAQs related to this product. Read our general customer & technical service FAQs.

Secondary Antibodies

 

Isotype Controls

Additional PLK3 Products

Array NBP2-32530

Research Areas for PLK3 Antibody (NBP2-32530)

Find related products by research area.

Blogs on PLK3

There are no specific blogs for PLK3, but you can read our latest blog posts.

Contact Information

Product PDFs

Calculators

Concentration Calculator

The concentration calculator allows you to quickly calculate the volume, mass or concentration of your vial. Simply enter your mass, volume, or concentration values for your reagent and the calculator will determine the rest.

=
÷

Review this Product

Be the first to review our PLK3 Antibody and receive a gift card or discount.

Bioinformatics

Gene Symbol PLK3