PLEKHG6 Antibody - BSA Free

Images

 
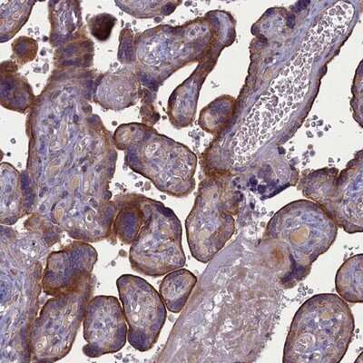
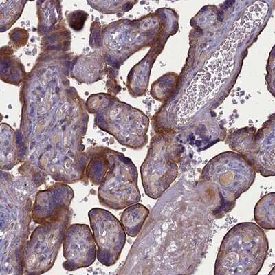
Immunohistochemistry-Paraffin: PLEKHG6 Antibody [NBP1-83840] - Staining of human placenta shows strong membranous staining positivity in trophoblastic cells.
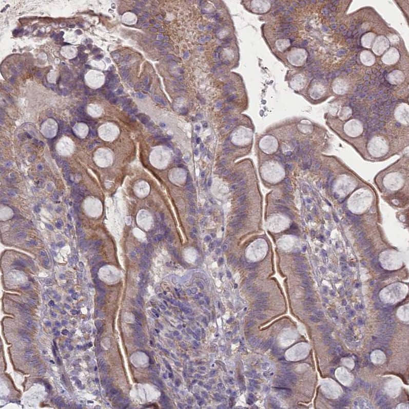
Staining of human small intestine shows moderate cytoplasmic positivity in glandular cells.
Staining of human lymph node shows no positivity in non-germinal center cells as expected.
Staining of human cerebral cortex shows strong granular cytoplasmic positivity in neurons.

Product Details

Summary
Reactivity HuSpecies Glossary
Applications IHC
Clonality
Polyclonal
Host
Rabbit
Conjugate
Unconjugated
Format
BSA Free

Order Details

View Available Formulations
Catalog# & Formulation Size Price

PLEKHG6 Antibody - BSA Free Summary

Description
Novus Biologicals Rabbit PLEKHG6 Antibody - BSA Free (NBP1-83840) is a polyclonal antibody validated for use in IHC. All Novus Biologicals antibodies are covered by our 100% guarantee.
Immunogen
This antibody was developed against Recombinant Protein corresponding to amino acids: GLLMEVSAETLFGNVPSLIRTHRSFWDEVLGPTLEETRASGQPLDPIGLQSGFLTFGQRFHPYVQYCLRVKQTMAYAREQQETNPLFHAFVQWCE
Isotype
IgG
Clonality
Polyclonal
Host
Rabbit
Gene
PLEKHG6
Purity
Affinity purified
Innovator's Reward
Test in a species/application not listed above to receive a full credit towards a future purchase.

Applications/Dilutions

Dilutions
  • Immunohistochemistry 1:20 - 1:50
  • Immunohistochemistry-Paraffin 1:20 - 1:50
Application Notes
For IHC-Paraffin, HIER pH 6 retrieval is recommended.
Control Peptide
PLEKHG6 Protein (NBP1-83840PEP)

Reactivity Notes

Immunogen displays the following percentage of sequence identity for non-tested species: Mouse (84%), Rat (83%)

Packaging, Storage & Formulations

Storage
Store at 4C short term. Aliquot and store at -20C long term. Avoid freeze-thaw cycles.
Buffer
PBS (pH 7.2) and 40% Glycerol
Preservative
0.02% Sodium Azide
Purity
Affinity purified

Alternate Names for PLEKHG6 Antibody - BSA Free

  • FLJ10665
  • pleckstrin homology domain containing, family G (with RhoGef domain) member 6
  • pleckstrin homology domain-containing family G member 6

Limitations

This product is for research use only and is not approved for use in humans or in clinical diagnosis. Primary Antibodies are guaranteed for 1 year from date of receipt.

Customers Who Viewed This Item Also Viewed...

NB100-91273
Species: Hu, Mu, Pm, Rt
Applications: ICC/IF, IHC,  IHC-P, WB
NB100-91266
Species: Hu, Mu, Rt
Applications: ICC/IF, IHC, IHC-Fr,  IHC-P, WB
NBP1-48291
Species: Hu, Mu, Rt
Applications: Flow, IHC,  IHC-P, IP, WB
AF6260
Species: Hu
Applications: WB
NB110-68800
Species: Hu, Mu, Pm
Applications: ICC/IF, WB
NBP1-85727
Species: Hu
Applications: ICC/IF, IHC,  IHC-P
NBP2-21577
Species: Hu, Mu, Rt
Applications: ICC/IF, IHC, IHC-Fr,  IHC-P, IP, KD, WB
H00056731-M02
Species: Hu
Applications: ELISA, ICC/IF, WB
NBP1-91941
Species: Hu
Applications: IHC,  IHC-P, WB
NBP2-56923
Species: Hu
Applications: ICC/IF
NBP2-46483
Species: Hu, Mu, Rt
Applications: IHC,  IHC-P, WB
H00000389-M06
Species: Hu, Mu, Rt
Applications: ELISA, ICC/IF, IHC, S-ELISA, WB
NBP1-58359
Species: Hu
Applications: IHC,  IHC-P, WB
NBP2-25160
Species: Bv, Ca, Eq, Hu, Mu, Po, Rt
Applications: ICC/IF, IHC, WB
NBP2-67895
Species: Hu, Mu, Rt
Applications: Flow, IHC,  IHC-P, IP, WB
DVE00
Species: Hu
Applications: ELISA
NBP1-88437
Species: Hu
Applications: IHC,  IHC-P, WB
H00005962-M06
Species: Ch, Hu, Mu, Rt
Applications: ELISA, ICC/IF, IHC, WB

Publications for PLEKHG6 Antibody (NBP1-83840) (0)

There are no publications for PLEKHG6 Antibody (NBP1-83840).
By submitting your publication information earn gift cards and discounts for future purchases.

Reviews for PLEKHG6 Antibody (NBP1-83840) (0)

There are no reviews for PLEKHG6 Antibody (NBP1-83840). By submitting a review you will receive an Amazon e-Gift Card or Novus Product Discount.
  • Review with no image -- $10/€7/£6/$10 CAD/¥70 Yuan/¥1110 Yen
  • Review with an image -- $25/€18/£15/$25 CAD/¥150 Yuan/¥2500 Yen

Product General Protocols

Find general support by application which include: protocols, troubleshooting, illustrated assays, videos and webinars.

FAQs for PLEKHG6 Antibody (NBP1-83840) (0)

There are no specific FAQs related to this product. Read our general customer & technical service FAQs.

Customers Who Bought This Also Bought

Contact Information

Product PDFs

Calculators

Concentration Calculator

The concentration calculator allows you to quickly calculate the volume, mass or concentration of your vial. Simply enter your mass, volume, or concentration values for your reagent and the calculator will determine the rest.

=
÷

Review this Product

Be the first to review our PLEKHG6 Antibody - BSA Free and receive a gift card or discount.

Bioinformatics

Gene Symbol PLEKHG6