PLD6 Antibody - BSA Free

Images

 
Immunohistochemistry-Paraffin: PLD6 Antibody [NBP2-13771] Staining of human testis shows strong cytoplasmic positivity in cells in seminiferus ducts.
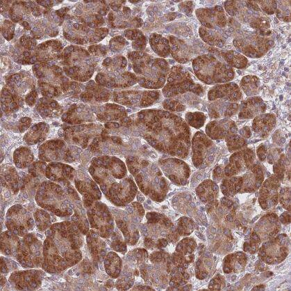
Immunohistochemistry-Paraffin: PLD6 Antibody [NBP2-13771] -Staining of human pancreas shows moderate cytoplasmic-membranous positivity in exocrine glandular cells.
Immunohistochemistry-Paraffin: PLD6 Antibody [NBP2-13771] -Staining of human duodenum shows moderate cytoplasmic-membranous positivity in glandular cells.
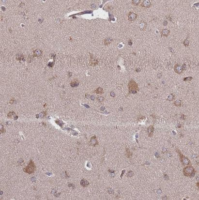
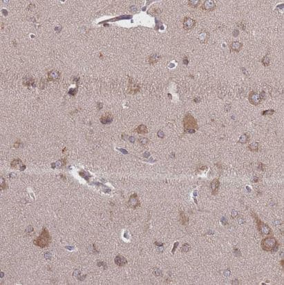
Immunohistochemistry-Paraffin: PLD6 Antibody [NBP2-13771] -Staining of human cerebral cortex shows moderate cytoplasmic-membranous positivity in neurons.

Product Details

Summary
Product Discontinued
View other related PLD6 Primary Antibodies

Order Details


    • Catalog Number
      NBP2-13771
    • Availability
      Product Discontinued

    Can't find what you are looking for? Use our Antibody Concierge Service & we will help you locate your antibody!

    Or feel free to contact us for alternative products.

PLD6 Antibody - BSA Free Summary

Immunogen
This antibody was developed against a recombinant protein corresponding to the amino acids: QDPGYMHHKFAIVDKRVLITGSLNWTTQAIQNNRENVLITEDDEYVRLFLEEFERIWEQFNPTKYTFFPPKKSHGSCAPPVSRAGGRLLSWHRTCGTSSESQT
Isotype
IgG
Clonality
Polyclonal
Host
Rabbit
Gene
PLD6
Purity
Immunogen affinity purified
Innovator's Reward
Test in a species/application not listed above to receive a full credit towards a future purchase.

Applications/Dilutions

Dilutions
  • Immunohistochemistry 1:20 - 1:50
  • Immunohistochemistry-Paraffin 1:20 - 1:50
Application Notes
For IHC-Paraffin, HIER pH 6 retrieval is recommended.

Packaging, Storage & Formulations

Storage
Store at 4C short term. Aliquot and store at -20C long term. Avoid freeze-thaw cycles.
Buffer
PBS (pH 7.2) and 40% Glycerol
Preservative
0.02% Sodium Azide
Purity
Immunogen affinity purified

Alternate Names for PLD6 Antibody - BSA Free

  • Choline phosphatase 6
  • EC 3.1.4.-
  • Mitochondrial phospholipase
  • MitoPLD
  • Phosphatidylcholine-hydrolyzing phospholipase D6
  • phospholipase D family, member 6
  • Phospholipase D6
  • PLD 6
  • Protein zucchini homolog

Limitations

This product is for research use only and is not approved for use in humans or in clinical diagnosis. Primary Antibodies are guaranteed for 1 year from date of receipt.

Customers Who Viewed This Item Also Viewed...

H00151056-B01P
Species: Hu, Mu
Applications: WB
MAB5018
Species: Hu
Applications: IP, WB
MAB2669
Species: Hu
Applications: IHC, Simple Western, WB
NBP2-46518
Species: Hu
Applications: IHC,  IHC-P, WB
NBP2-01763
Species: Hu, Mu, Rt
Applications: Flow, IHC,  IHC-P, WB
H00002038-M01
Species: Hu
Applications: ELISA, ICC/IF, WB
H00005555-P01
Species: Hu
Applications: ELISA, AP, PA, PAGE, WB
NBP3-46899
Species: Hu
Applications: ELISA, ICC/IF, WB
NBP1-31344
Species: Hu, Mu
Applications: ICC/IF, IHC,  IHC-P, WB
MAB1455
Species: Hu
Applications: CyTOF-ready, Dual ISH-IHC, ICC, IHC, ICFlow, Simple Western, WB
NBP1-88921
Species: Hu, Mu, Rt
Applications: ICC/IF, IHC, IHC-Fr,  IHC-P, WB
NB100-56104
Species: Ca, Hu, Mu, Rt
Applications: IHC, IHC-Fr,  IHC-P, IP, WB
NBP3-04752
Species: Hu, Mu, Rt
Applications: ELISA, IHC,  IHC-P, WB
NB110-57150
Species: Hu, Mu, Rt
Applications: IHC,  IHC-P, WB
NBP1-88923
Species: Hu, Mu
Applications: ICC/IF, IHC,  IHC-P, WB
AF6548
Species: Hu, Mu
Applications: IHC
AF5129
Species: Hu
Applications: WB
NBP2-13771
Species: Hu
Applications: IHC

Publications for PLD6 Antibody (NBP2-13771) (0)

There are no publications for PLD6 Antibody (NBP2-13771).
By submitting your publication information earn gift cards and discounts for future purchases.

Reviews for PLD6 Antibody (NBP2-13771) (0)

There are no reviews for PLD6 Antibody (NBP2-13771). By submitting a review you will receive an Amazon e-Gift Card or Novus Product Discount.
  • Review with no image -- $10/€7/£6/$10 CAD/¥70 Yuan/¥1110 Yen
  • Review with an image -- $25/€18/£15/$25 CAD/¥150 Yuan/¥2500 Yen

Product General Protocols

Find general support by application which include: protocols, troubleshooting, illustrated assays, videos and webinars.

FAQs for PLD6 Antibody (NBP2-13771) (0)

There are no specific FAQs related to this product. Read our general customer & technical service FAQs.

Secondary Antibodies

 

Isotype Controls

Additional PLD6 Products

Array NBP2-13771

Research Areas for PLD6 Antibody (NBP2-13771)

Find related products by research area.

Blogs on PLD6

There are no specific blogs for PLD6, but you can read our latest blog posts.

Contact Information

Product PDFs

Calculators

Concentration Calculator

The concentration calculator allows you to quickly calculate the volume, mass or concentration of your vial. Simply enter your mass, volume, or concentration values for your reagent and the calculator will determine the rest.

=
÷

Review this Product

Be the first to review our PLD6 Antibody - BSA Free and receive a gift card or discount.

Bioinformatics

Gene Symbol PLD6