PLCD4 Antibody - BSA Free

Images

 
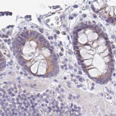
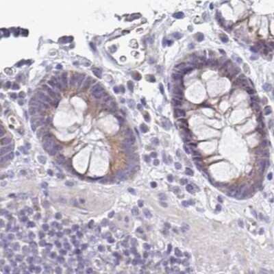
Immunohistochemistry-Paraffin: PLCD4 Antibody [NBP2-38392] - Staining of human colon.
Immunohistochemistry-Paraffin: PLCD4 Antibody [NBP2-38392] - Staining of human heart muscle shows low expression as expected.
Immunohistochemistry-Paraffin: PLCD4 Antibody [NBP2-38392] - Staining of human skeletal muscle shows high expression.
Orthogonal Strategies: Immunohistochemistry-Paraffin: PLCD4 Antibody [NBP2-38392] - Staining in human skeletal muscle and heart muscle tissues using anti-PLCD4 antibody. Corresponding PLCD4 RNA-seq data are ...read more
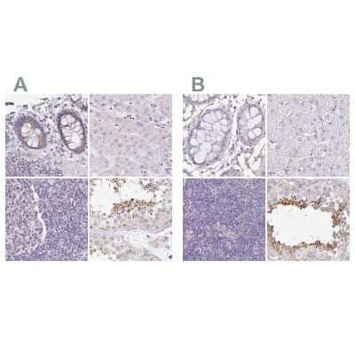
Independent Antibodies: Immunohistochemistry-Paraffin: PLCD4 Antibody [NBP2-38392] - Staining of human colon, liver, lymph node and testis using Anti-PLCD4 antibody NBP2-38392 (A) shows similar protein ...read more
Immunohistochemistry-Paraffin: PLCD4 Antibody [NBP2-38392] - Staining of human testis.
Immunohistochemistry-Paraffin: PLCD4 Antibody [NBP2-38392] - Staining of human liver.
Immunohistochemistry-Paraffin: PLCD4 Antibody [NBP2-38392] - Staining of human lymph node.

Product Details

Summary
Reactivity HuSpecies Glossary
Applications IHC
Clonality
Polyclonal
Host
Rabbit
Conjugate
Unconjugated
Format
BSA Free

Order Details

View Available Formulations
Catalog# & Formulation Size Price

PLCD4 Antibody - BSA Free Summary

Description
Novus Biologicals Rabbit PLCD4 Antibody - BSA Free (NBP2-38392) is a polyclonal antibody validated for use in IHC. All Novus Biologicals antibodies are covered by our 100% guarantee.
Immunogen
This antibody was developed against a recombinant protein corresponding to amino acids: MASLLQDQLTTDQDLLLMQEGMPMRKVRSKSWKKLRYFRLQNDGMTVWHARQARGSAKPSFSISDVETIRNGHDSELL
Isotype
IgG
Clonality
Polyclonal
Host
Rabbit
Gene
PLCD4
Purity
Immunogen affinity purified
Innovator's Reward
Test in a species/application not listed above to receive a full credit towards a future purchase.

Applications/Dilutions

Dilutions
  • Immunohistochemistry 1:50 - 1:200
  • Immunohistochemistry-Paraffin 1:50 - 1:200
Application Notes
For IHC-Paraffin, HIER pH 6 retrieval is recommended.
Control Peptide
PLCD4 Protein (NBP2-38392PEP)

Packaging, Storage & Formulations

Storage
Store at 4C short term. Aliquot and store at -20C long term. Avoid freeze-thaw cycles.
Buffer
PBS (pH 7.2) and 40% Glycerol
Preservative
0.02% Sodium Azide
Purity
Immunogen affinity purified

Alternate Names for PLCD4 Antibody - BSA Free

  • EC 3.1.4.11
  • hPLCD4
  • MGC12837
  • Phosphoinositide phospholipase C-delta-4
  • phospholipase C, delta 4
  • Phospholipase C-delta-4
  • PLC delta4
  • PLC-delta-4,1-phosphatidylinositol-4,5-bisphosphate phosphodiesterase delta-4

Background

Phosphatidylinositol-specific phospholipase C (PLC) plays an important role in receptor-mediated signal transduction bygenerating 2 second messenger molecules, inositol 1,4,5-triphosphate (IP3) and diacylglycerol, fromphosphatidylinositol 4,5-bisphosphate (PIP2). PLC comprises a diverse family of enzymes that differ in structure andtissue distribution (Berridge, 1993 (PubMed 8381210)).(supplied by OMIM)

Limitations

This product is for research use only and is not approved for use in humans or in clinical diagnosis. Primary Antibodies are guaranteed for 1 year from date of receipt.

Customers Who Viewed This Item Also Viewed...

AF2364
Species: Hu
Applications: IHC, WB
NBP2-19810
Species: Hu
Applications: ICC/IF, IHC,  IHC-P, IP, WB
NBP2-22203
Species: Hu, Pm, Mu, Rt
Applications: ELISA, Flow, ICC/IF, IHC,  IHC-P, WB
1129-ER
Species: Hu
Applications: BA
NBP2-41211
Species: Hu, Mu, Rt
Applications: ELISA, ICC/IF, IHC,  IHC-P, WB
NBP2-48615
Species: Hu
Applications: IHC,  IHC-P, WB
AF1230
Species: Hu, Mu, Rt
Applications: IHC, KO, WB
AF231
Species: Hu
Applications: CyTOF-ready, Dual ISH-IHC, ELISA(Cap), ELISA(Det), ELISA(Sta), Flow, ICC, IHC, IP, Simple Western, WB
NBP3-20228
Species: Hu
Applications: IHC,  IHC-P, PEP-ELISA, WB
MAB8930
Species: Hu
Applications: ICC, Simple Western, WB
AF1396
Species: Hu
Applications: WB
NBP2-76718
Species: Hu
Applications: ELISA
AF467
Species: Hu, Mu
Applications: CyTOF-ready, Flow, ICC, IHC, Simple Western, WB
NBP3-45656
Species: Hu, Mu, Rt
Applications: ELISA, IHC, IP, WB
NBP2-22106
Species: Hu, Mu, Rt
Applications: IHC,  IHC-P, IP, WB
AF1347
Species: Hu, Mu, Rt
Applications: ICC, IHC, Simple Western, WB
NBP2-50037
Species: Hu, Mu, Rt
Applications: ICC/IF, IHC, KO, WB
NBP2-36776
Species: Hu
Applications: ICC/IF, IHC,  IHC-P, KD, WB

Publications for PLCD4 Antibody (NBP2-38392) (0)

There are no publications for PLCD4 Antibody (NBP2-38392).
By submitting your publication information earn gift cards and discounts for future purchases.

Reviews for PLCD4 Antibody (NBP2-38392) (0)

There are no reviews for PLCD4 Antibody (NBP2-38392). By submitting a review you will receive an Amazon e-Gift Card or Novus Product Discount.
  • Review with no image -- $10/€7/£6/$10 CAD/¥70 Yuan/¥1110 Yen
  • Review with an image -- $25/€18/£15/$25 CAD/¥150 Yuan/¥2500 Yen

Product General Protocols

Find general support by application which include: protocols, troubleshooting, illustrated assays, videos and webinars.

FAQs for PLCD4 Antibody (NBP2-38392) (0)

There are no specific FAQs related to this product. Read our general customer & technical service FAQs.

Secondary Antibodies

 

Isotype Controls

Additional PLCD4 Products

Research Areas for PLCD4 Antibody (NBP2-38392)

Find related products by research area.

Blogs on PLCD4

There are no specific blogs for PLCD4, but you can read our latest blog posts.

Customers Who Bought This Also Bought

Contact Information

Product PDFs

Calculators

Concentration Calculator

The concentration calculator allows you to quickly calculate the volume, mass or concentration of your vial. Simply enter your mass, volume, or concentration values for your reagent and the calculator will determine the rest.

=
÷

Review this Product

Be the first to review our PLCD4 Antibody - BSA Free and receive a gift card or discount.

Bioinformatics

Gene Symbol PLCD4
Uniprot