Sort By:
page of 1

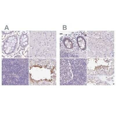
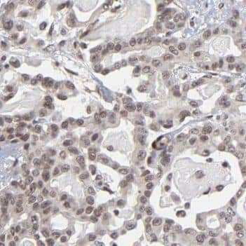
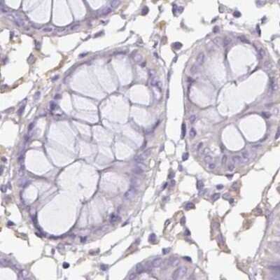
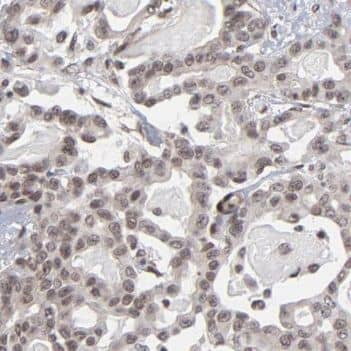
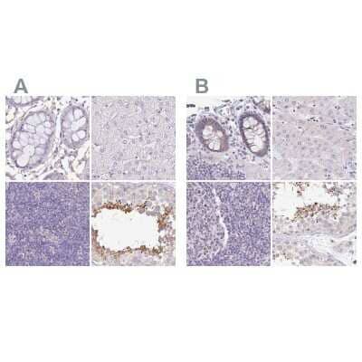
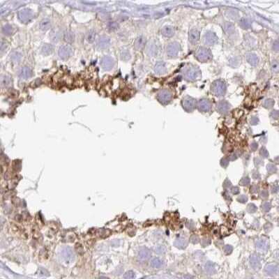
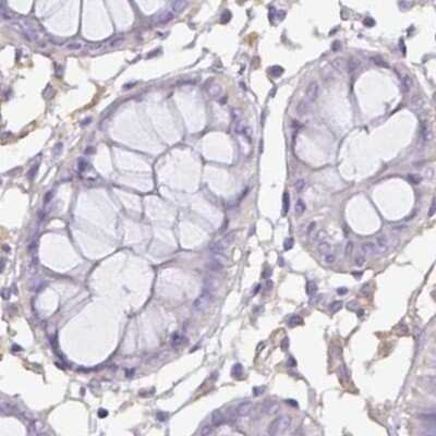
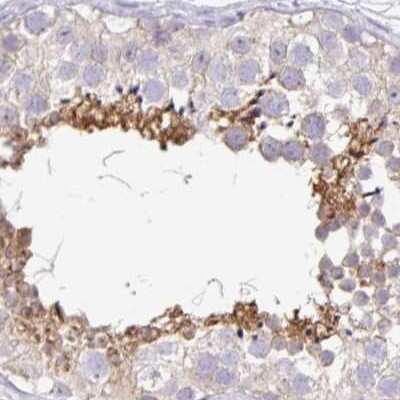
PLCD4 Antibodies

We offer PLCD4 Antibodies for use in common research applications: ELISA, Immunocytochemistry/Immunofluorescence, Sandwich ELISA, Western Blot. Each PLCD4 Antibody is fully covered by our Guarantee+, to give you complete peace of mind and the support when you need it. Our PLCD4 Antibodies can be used in a variety of model species: Human. Use the list below to choose the PLCD4 Antibody which is most appropriate for your research; you can click on each one to view full technical details, images, references, reviews and related products. Choose from our PLCD4 polyclonal antibodies and browse our PLCD4 monoclonal antibody catalog.
Alternate Names for PLCD4 Antibodies
anti-PLCD4 antibody, anti-EC 3.1.4.11 antibody, anti-hPLCD4 antibody, anti-MGC12837 antibody, anti-Phosphoinositide phospholipase C-delta-4 antibody, anti-phospholipase C, delta 4 antibody, anti-Phospholipase C-delta-4 antibody, anti-PLC delta4 antibody, anti-PLC-delta-4,1-phosphatidylinositol-4,5-bisphosphate phosphodiesterase delta-4 antibody
6 Results for "plcd4" in Primary Antibodies
0.1 ml
Hu
Species Glossary
Reactivity: Hu
IHC
Applications: IHC
Rabbit Polyclonal
Host: Rabbit Polyclonal
Sample Size Available
Sizes: Sample Size Available
Unconjugated  
         
Validated by:          
Available Formulations
Formulation Catalog # Availability Price  
compare
(select up to 3 products from this page to compare)
0.1 ml
Hu
Species Glossary
Reactivity: Hu
ICC/IF, IHC
Applications: ICC/IF, IHC
Rabbit Polyclonal
Host: Rabbit Polyclonal
Sample Size Available
Sizes: Sample Size Available
Unconjugated  
         
Validated by:          
Available Formulations
Formulation Catalog # Availability Price  
compare
(select up to 3 products from this page to compare)
0.1 ml
Hu, Mu, Rt
Species Glossary
Reactivity: Hu, Mu, Rt
WB
Applications: WB
Rabbit Polyclonal
Host: Rabbit Polyclonal
Sample Size Available
Sizes: Sample Size Available
Unconjugated  
Available Formulations
Formulation Catalog # Availability Price  
compare
(select up to 3 products from this page to compare)
100 μg
Hu, Mu, Rt
Species Glossary
Reactivity: Hu, Mu, Rt
ELISA, IHC
Applications: ELISA, IHC
Rabbit Polyclonal
Host: Rabbit Polyclonal
Unconjugated  
compare
(select up to 3 products from this page to compare)
0.1 mg
Hu
Species Glossary
Reactivity: Hu
WB, ELISA
Applications: WB, ELISA
Mouse Monoclonal
Host: Mouse Monoclonal
Unconjugated  
compare
(select up to 3 products from this page to compare)
0.1 mg
Hu
Species Glossary
Reactivity: Hu
WB
Applications: WB
Rabbit Polyclonal
Host: Rabbit Polyclonal
Unconjugated  
compare
(select up to 3 products from this page to compare)
page of 1