PKC iota Antibody (PRKCI/4911) - Azide and BSA Free

Images

 
Protein Array: PKC iota Antibody (PRKCI/4911) - Azide and BSA Free [NBP3-14155] - Analysis of Protein Array containing more than 19,000 full-length human proteins using PKC iota Antibody (PRKCI/4911).
Formalin-fixed, paraffin-embedded cat liver stained with PKC iota Antibody (PRKCI/4911) - Azide and BSA Free.
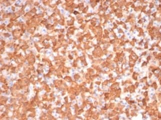
Formalin-fixed, paraffin-embedded dog liver stained with PKC iota Antibody (PRKCI/4911) - Azide and BSA Free. HIER: Tris/EDTA, pH9.0, 45min. 2 °: HRP-polymer, 30min. DAB, 5min.
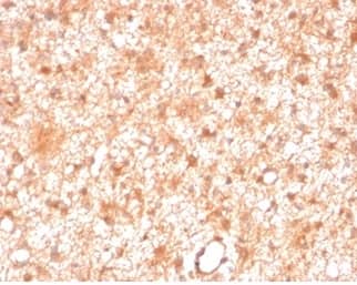
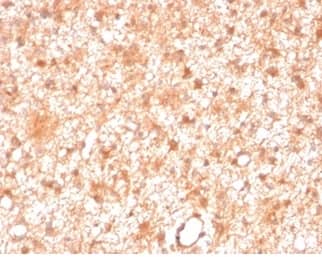
Formalin-fixed, paraffin-embedded human brain stained with PKC iota Antibody (PRKCI/4911) - Azide and BSA Free.

Product Details

Summary
Reactivity Hu, Ca, FeSpecies Glossary
Applications IHC, MA
Clone
PRKCI/4911
Clonality
Monoclonal
Host
Mouse
Conjugate
Unconjugated
Format
Azide and BSA Free
Concentration
1 mg/ml

Order Details

PKC iota Antibody (PRKCI/4911) - Azide and BSA Free Summary

Description
1.0 mg/ml of antibody purified from Bioreactor Concentrate by Protein A/G. Prepared in 10mM PBS WITHOUT BSA & azide. Also available at 200 ug/ml WITH BSA & azide (NBP3-13752).

Antibody with azide - store at 2 to 8C. Antibody without azide - store at -20 to -80 C.
Immunogen
Recombinant fragment (around aa100-300) of human PKC iota protein (exact sequence is proprietary) (Uniprot: P41743)
Localization
Cytoplasm, Cell Membrane, Nucleus
Isotype
IgG2b Kappa
Clonality
Monoclonal
Host
Mouse
Gene
PRKCI
Purity
Protein A or G purified
Innovator's Reward
Test in a species/application not listed above to receive a full credit towards a future purchase.

Applications/Dilutions

Dilutions
  • Immunohistochemistry-Paraffin 1-2 ug/ml
  • Protein Array
Application Notes
Immunohistochemistry (Formalin-fixed): 1-2ug/ml for 30 minutes at RT. Staining of formalin-fixed tissues requires heating tissue sections in 10mM Tris with 1mM EDTA, pH 9.0, for 45 min at 95C followed by cooling at RT for 20 minutes
Theoretical MW
68 kDa.
Disclaimer note: The observed molecular weight of the protein may vary from the listed predicted molecular weight due to post translational modifications, post translation cleavages, relative charges, and other experimental factors.

Packaging, Storage & Formulations

Storage
Store at -20 to -80C. Avoid freeze-thaw cycles.
Buffer
10mM PBS
Preservative
No Preservative
Concentration
1 mg/ml
Purity
Protein A or G purified

Alternate Names for PKC iota Antibody (PRKCI/4911) - Azide and BSA Free

  • aPKC-lambda/iota
  • Atypical protein kinase C-lambda/iota
  • DXS1179E
  • EC 2.7.11
  • EC 2.7.11.13
  • MGC26534
  • nPKC-iota
  • PKC iota
  • PKCI
  • PRKC-lambda/iota
  • protein kinase C iota type
  • protein kinase C, iota

Background

PKC iota encodes a member of the protein kinase C (PKC) family of serine/threonine protein kinases. The PKC family comprises at least eight members, which are differentially expressed and are involved in a wide variety of cellular processes. This protein kinase is calcium-independent and phospholipid-dependent. It is not activated by phorbolesters or diacylglycerol. This kinase can be recruited to vesicle tubular clusters (VTCs) by direct interaction with the small GTPase RAB2, where this kinase phosphorylates glyceraldehyde-3-phosphate dehydrogenase (GAPD/GAPDH) and plays a role in microtubule dynamics in the early secretory pathway. This kinase is found to be necessary for BCL-ABL-mediated resistance to drug-induced apoptosis and therefore protects leukemia cells against drug-induced apoptosis. There is a single exon pseudogene mapped on chromosome X.

Limitations

This product is for research use only and is not approved for use in humans or in clinical diagnosis. Primary Antibodies are guaranteed for 1 year from date of receipt.

Customers Who Viewed This Item Also Viewed...

NBP2-82026
Species: Hu, Mu, Rt
Applications: ELISA, ICC/IF, IHC,  IHC-P, WB
NBP1-83257
Species: Hu, Mu, Rt
Applications: ICC/IF, IHC,  IHC-P, WB
NBP1-89062
Species: Hu
Applications: IHC,  IHC-P, WB
NBP1-88191
Species: Hu, Mu
Applications: IHC,  IHC-P, WB
NBP1-81746
Species: Hu
Applications: ICC/IF, IHC,  IHC-P, WB
PP-H4417-00
Species: Hu
Applications: DirELISA, IP, WB
MAB5018
Species: Hu
Applications: IP, WB
DTM100
Species: Hu
Applications: ELISA
NBP1-86990
Species: Hu, Mu
Applications: ICC/IF, KD, WB
H00151056-B01P
Species: Hu, Mu
Applications: WB
NBP2-24593
Species: Hu, Mu, Rt
Applications: IHC,  IHC-P, WB
NBP1-78295
Species: Hu, Mu
Applications: Flow, ICC/IF, IHC,  IHC-P, WB
NBP3-14155
Species: Hu, Ca, Fe
Applications: IHC, MA

Publications for PKC iota Antibody (NBP3-14155) (0)

There are no publications for PKC iota Antibody (NBP3-14155).
By submitting your publication information earn gift cards and discounts for future purchases.

Reviews for PKC iota Antibody (NBP3-14155) (0)

There are no reviews for PKC iota Antibody (NBP3-14155). By submitting a review you will receive an Amazon e-Gift Card or Novus Product Discount.
  • Review with no image -- $10/€7/£6/$10 CAD/¥70 Yuan/¥1110 Yen
  • Review with an image -- $25/€18/£15/$25 CAD/¥150 Yuan/¥2500 Yen

Product General Protocols

Find general support by application which include: protocols, troubleshooting, illustrated assays, videos and webinars.

FAQs for PKC iota Antibody (NBP3-14155) (0)

There are no specific FAQs related to this product. Read our general customer & technical service FAQs.

Secondary Antibodies

 

Isotype Controls

Additional PKC iota Products

Research Areas for PKC iota Antibody (NBP3-14155)

Find related products by research area.

Blogs on PKC iota

There are no specific blogs for PKC iota, but you can read our latest blog posts.

Customers Who Bought This Also Bought

Contact Information

Product PDFs

Calculators

Concentration Calculator

The concentration calculator allows you to quickly calculate the volume, mass or concentration of your vial. Simply enter your mass, volume, or concentration values for your reagent and the calculator will determine the rest.

=
÷

Review this Product

Be the first to review our PKC iota Antibody (PRKCI/4911) - Azide and BSA Free and receive a gift card or discount.

Bioinformatics

Gene Symbol PRKCI