PKA C beta [p Thr198] Antibody

Images

 
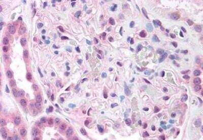
Immunohistochemistry-Paraffin: PKA C beta [p Thr198] Antibody [NBP1-02558] - Staining of human kidney. Immunohistochemistry of formalin-fixed, paraffin-embedded tissue after heat-induced antigen retrieval. Antibody ...read more

Product Details

Summary
Product Discontinued
View other related PKA C beta Primary Antibodies

Order Details


    • Catalog Number
      NBP1-02558
    • Availability
      Product Discontinued

    Can't find what you are looking for? Use our Antibody Concierge Service & we will help you locate your antibody!

    Or feel free to contact us for alternative products.

PKA C beta [p Thr198] Antibody Summary

Immunogen
Synthetic peptide from human PRKACB.
Modification
p Thr198
Specificity
Amino acids 193 to 202 with pTHR198 of human PRKACB
Isotype
IgG
Clonality
Polyclonal
Host
Rabbit
Gene
PRKACB
Purity
Protein G purified
Innovator's Reward
Test in a species/application not listed above to receive a full credit towards a future purchase.

Applications/Dilutions

Dilutions
  • ELISA 1:100-1:1000
  • Immunohistochemistry 1:10-1:500
  • Immunohistochemistry-Paraffin 5 ug/ml

Packaging, Storage & Formulations

Storage
Store at 4C short term. Aliquot and store at -20C long term. Avoid freeze-thaw cycles.
Buffer
PBS
Preservative
0.1% Sodium Azide
Concentration
0.1 mg/ml
Purity
Protein G purified

Alternate Names for PKA C beta [p Thr198] Antibody

  • cAMP-dependent protein kinase catalytic beta subunit isoform 4ab
  • cAMP-dependent protein kinase catalytic subunit beta
  • cAPKbeta
  • DKFZp781I2452
  • EC 2.7.11
  • EC 2.7.11.11
  • MGC41879
  • MGC9320
  • PKA C beta
  • PKA C-beta
  • PKACb
  • PRKACB
  • protein kinase A catalytic subunit beta
  • protein kinase, cAMP-dependent, catalytic, beta

Background

PRKACGB, a cAMP type protein kinase, is the catalytic beta subunit for the PKA holoenzyme. Multiple isoforms of PRKACB have been reported.

Limitations

This product is for research use only and is not approved for use in humans or in clinical diagnosis. Primary Antibodies are guaranteed for 1 year from date of receipt.

Customers Who Viewed This Item Also Viewed...

NB600-201
Species: Pm, Bv, Ca, Ch, Fi, Hu, Pm, Mu, Po, Rb, Rt, Sh, Ze
Applications: ELISA, Flow, ICC/IF, IHC, IHC-Fr,  IHC-P, IP, RIA, WB
MAB5908
Species: Hu, Mu, Rt
Applications: WB
NBP1-87426
Species: Hu, Mu, Rt
Applications: ICC/IF, IHC,  IHC-P, WB
AF1494
Species: Hu, Mu, Rt
Applications: Block, IHC, Simple Western, WB
DBD00
Species: Hu
Applications: ELISA
NBP1-47935
Species: Hu, Mu, Rt
Applications: ICC/IF, IHC,  IHC-P, WB
MAB1799
Species: Hu, Mu, Rt
Applications: ICC, IP, ICFlow, KO, WB
NBP2-41304
Species: Hu, Po, Rt
Applications: ELISA, ICC/IF, IHC,  IHC-P, WB
AF1230
Species: Hu, Mu, Rt
Applications: IHC, KO, WB
NBP1-85729
Species: Hu, Mu, Rt
Applications: ICC/IF, IHC,  IHC-P, WB
NB600-302
Species: Bv, Dr, Hu, Mu
Applications: ChIP, ELISA, Flow-IC, Flow, IB, ICC/IF, IHC, IHC-Fr,  IHC-P, IP, PLA, S-ELISA, Simple Western, WB
201-LB
Species: Hu
Applications: BA
NBP2-33466
Species: Hu
Applications: ICC/IF, IHC,  IHC-P, WB
H00002263-M01
Species: Bv, Hu
Applications: ELISA, ICC/IF, IHC,  IHC-P, S-ELISA, WB
NBP2-45802
Species: Ca, Hu, Pm, Mu, Rt
Applications: ICC/IF, IHC,  IHC-P, WB
NBP2-15840
Species: Hu, Mu, Rt
Applications: ICC/IF, IHC,  IHC-P, WB
MAB17761
Species: Hu, Mu, Rt
Applications: ICC, WB
NBP1-02558
Species: Hu
Applications: ELISA, IHC

Publications for PKA C beta Antibody (NBP1-02558) (0)

There are no publications for PKA C beta Antibody (NBP1-02558).
By submitting your publication information earn gift cards and discounts for future purchases.

Reviews for PKA C beta Antibody (NBP1-02558) (0)

There are no reviews for PKA C beta Antibody (NBP1-02558). By submitting a review you will receive an Amazon e-Gift Card or Novus Product Discount.
  • Review with no image -- $10/€7/£6/$10 CAD/¥70 Yuan/¥1110 Yen
  • Review with an image -- $25/€18/£15/$25 CAD/¥150 Yuan/¥2500 Yen

Product General Protocols

Find general support by application which include: protocols, troubleshooting, illustrated assays, videos and webinars.

FAQs for PKA C beta Antibody (NBP1-02558) (0)

There are no specific FAQs related to this product. Read our general customer & technical service FAQs.

Secondary Antibodies

 

Isotype Controls

Additional PKA C beta Products

Research Areas for PKA C beta Antibody (NBP1-02558)

Find related products by research area.

Blogs on PKA C beta

There are no specific blogs for PKA C beta, but you can read our latest blog posts.

Contact Information

Product PDFs

Calculators

Concentration Calculator

The concentration calculator allows you to quickly calculate the volume, mass or concentration of your vial. Simply enter your mass, volume, or concentration values for your reagent and the calculator will determine the rest.

=
÷

Review this Product

Be the first to review our PKA C beta [p Thr198] Antibody and receive a gift card or discount.

Bioinformatics

Gene Symbol PRKACB
Entrez
Uniprot