PIEZO1 Antibody (CL9714) - Azide and BSA Free

Images

 
Orthogonal Strategies: Analysis in human lung and skeletal muscle tissues using NBP3-44234 antibody. Corresponding PIEZO1 RNA-seq data are presented for the same tissues.
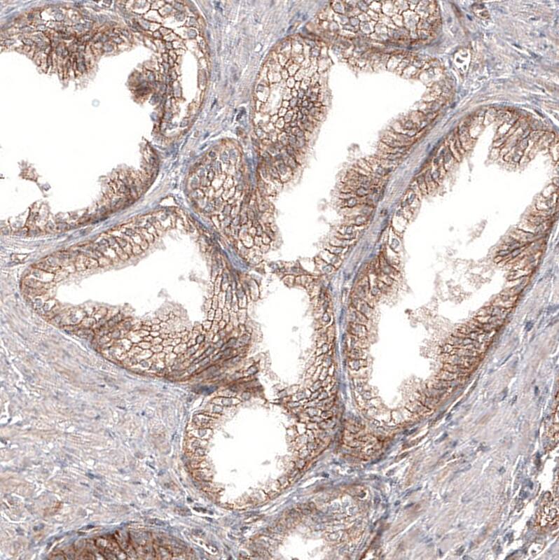
Staining of human prostate shows moderate membranous positivity in glandular cells.
Staining of human lung shows moderate membranous positivity in pneumocytes.
Staining of human skeletal muscle shows no positivity in myocytes as expected.
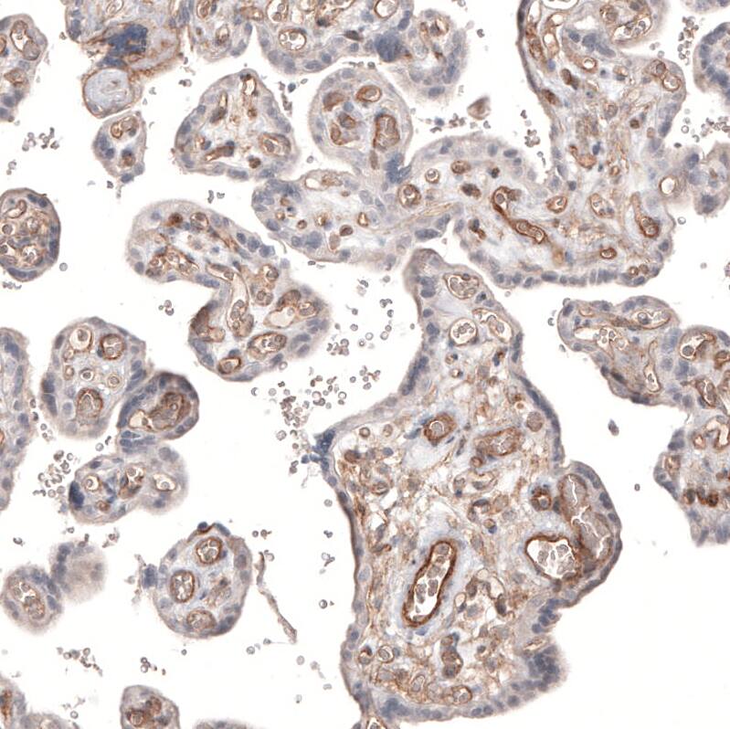
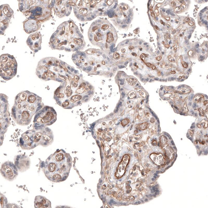
Staining of human placenta shows moderate membranous positivity in endothelial cells.
Analysis in human cell line MCF-7.

Product Details

Summary
Reactivity HuSpecies Glossary
Applications WB, IHC
Clone
CL9714
Clonality
Monoclonal
Host
Mouse
Conjugate
Unconjugated
Format
Azide and BSA Free
Concentration
LYOPH
Validated by:
       

Orthogonal Strategies

 

Order Details

PIEZO1 Antibody (CL9714) - Azide and BSA Free Summary

Description
Novus Biologicals Mouse PIEZO1 Antibody (CL9714) - Azide and BSA Free (NBP2-88938) is a monoclonal antibody validated for use in IHC and WB. All Novus Biologicals antibodies are covered by our 100% guarantee.
Immunogen
This antibody was generated using a synthetic peptide of Q92508, with the exact immunogen sequence remaining proprietary.
Isotype
IgG1
Clonality
Monoclonal
Host
Mouse
Gene
PIEZO1
Purity
Protein A purified
Innovator's Reward
Test in a species/application not listed above to receive a full credit towards a future purchase.

Applications/Dilutions

Dilutions
  • Immunohistochemistry-Paraffin 1:200 - 1:500
  • Western Blot 1 ug/ml
Application Notes
For IHC-Paraffin, HIER pH 6 retrieval is recommended.

Packaging, Storage & Formulations

Storage
Store at 4C short term. Aliquot and store at -20C long term. Avoid freeze-thaw cycles.
Buffer
Lyophilized from a 0.2 um filtered solution in PBS with Trehalose
Preservative
No Preservative
Concentration
LYOPH
Purity
Protein A purified
Reconstitution Instructions
Centrifuge the vial of lyophilized antibody at 12,000 x g for 20 seconds. Reconstitute by adding sterile, distilled water to achieve a final antibody concentration of 1mg/ml.

Alternate Names for PIEZO1 Antibody (CL9714) - Azide and BSA Free

  • FAM38A
  • KIAA0233
  • member A
  • membrane protein induced by beta-amyloid treatment
  • Mib
  • PIEZO1
  • piezo-type mechanosensitive ion channel component 1
  • Protein FAM38A

Background

PIEZO1 (piezo-type mechanosensitive ion channel component 1) plays a crucial role in epithelial cell adhesion. PIEZO1 belongs to the PIEZO family of transmembrane proteins. Mutations in Piezo1 have been tied to Xerocytosis. PIEZO1 has been studied in relation to neuronitis, Alzheimer's disease and Parkinson's disease.

Limitations

This product is for research use only and is not approved for use in humans or in clinical diagnosis. Primary Antibodies are guaranteed for 1 year from date of receipt.

Customers Who Viewed This Item Also Viewed...

NB500-106
Species: Ch, Dr, Fi, Hu, Mar, Mu, Po, Pm, Rb, Rt, Ye, Ze
Applications: ChIP, ChIP, ELISA, Flow, ICC/IF, IHC-FrFl, IHC, IHC-Fr,  IHC-P, IP, Simple Western, WB
NB200-103
Species: Hu, Mu, Rt, Xp(-), Ye
Applications: CyTOF-ready, ELISA, Flow-IC, Flow, ICC/IF, IHC, IHC-Fr,  IHC-P, IP, WB
AF7305
Species: Hu, Mu, Rt
Applications: WB
NB100-56098
Species: Ca, Hu, Mu, Rt
Applications: IHC,  IHC-P, IP, WB
NB300-223
Species: Bv, Ca, Ch, Eq, Hu, Mu, Po, Rt
Applications: ICC/IF, IHC, IHC-Fr,  IHC-P, WB
NBP2-67309
Species: Hu, Rt
Applications: Flow, ICC/IF, IHC,  IHC-P, IP, WB
NBP2-29463
Species: Pm, Hu, Pm, Mu
Applications: Flow, ICC/IF, IHC,  IHC-P, WB
AF5415
Species: Hu
Applications: ICC, IHC, Simple Western, WB
NB100-56603
Species: Ca, Hu, Mu, Pm, Rt
Applications: IHC,  IHC-P, WB
NB120-22711
Species: Hu, Mu
Applications: ELISA, Flow, ICC/IF, IHC, IHC-Fr,  IHC-P
NBP2-61871
Species: Hu
Applications: ELISA, Flow, ICC/IF, IHC,  IHC-P, WB
NBP2-34062
Species: Hu
Applications: IHC,  IHC-P, WB
H00005555-P01
Species: Hu
Applications: ELISA, AP, PA, PAGE, WB
NBP1-89150
Species: Hu
Applications: IHC,  IHC-P, WB
H00011026-M01
Species: Hu
Applications: ELISA, WB
NBP1-31302
Species: Hu, Mu, Rt
Applications: ICC/IF, IHC,  IHC-P, KO, WB
NBP3-44234
Species: Hu
Applications: WB, IHC

Publications for PIEZO1 Antibody (NBP3-44234) (0)

There are no publications for PIEZO1 Antibody (NBP3-44234).
By submitting your publication information earn gift cards and discounts for future purchases.

Reviews for PIEZO1 Antibody (NBP3-44234) (0)

There are no reviews for PIEZO1 Antibody (NBP3-44234). By submitting a review you will receive an Amazon e-Gift Card or Novus Product Discount.
  • Review with no image -- $10/€7/£6/$10 CAD/¥70 Yuan/¥1110 Yen
  • Review with an image -- $25/€18/£15/$25 CAD/¥150 Yuan/¥2500 Yen

Product General Protocols

Find general support by application which include: protocols, troubleshooting, illustrated assays, videos and webinars.

Video Protocols

WB Video Protocol

FAQs for PIEZO1 Antibody (NBP3-44234) (0)

There are no specific FAQs related to this product. Read our general customer & technical service FAQs.

Secondary Antibodies

 

Isotype Controls

Additional PIEZO1 Products

Research Areas for PIEZO1 Antibody (NBP3-44234)

Find related products by research area.

Blogs on PIEZO1.

Touch Infographic: From Touch Receptors to the Brain
The body contains thousands of receptors and nerves which allow us to experience the sense of touch, also referred to as tactile perception. The somatosensory system allows organisms to perceive and decode a wide range of tactile stimuli to allow for ...  Read full blog post.

PIEZO1: A Mechanosensitive Ion Channel Protein
PIEZO1, and its close homologue PIEZO2, are mechanosensitive ion channel proteins. Mechanosensitive ion channels couple protein conformation to the mechanics of the surrounding membrane, and switch between a closed state and an open state in response ...  Read full blog post.

Customers Who Bought This Also Bought

Contact Information

Product PDFs

Calculators

Concentration Calculator

The concentration calculator allows you to quickly calculate the volume, mass or concentration of your vial. Simply enter your mass, volume, or concentration values for your reagent and the calculator will determine the rest.

=
÷

Review this Product

Be the first to review our PIEZO1 Antibody (CL9714) - Azide and BSA Free and receive a gift card or discount.

Bioinformatics

Gene Symbol PIEZO1