PI 3-Kinase p85 beta Antibody (PIK3R2/1293) - Azide and BSA Free

Images

 
Protein Array: PI 3-Kinase p85 beta Antibody (PIK3R2/1293) - Azide and BSA Free [NBP3-14139] - Analysis of Protein Array containing more than 19,000 full-length human proteins using PI 3-Kinase p85 beta Antibody ...read more
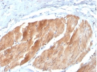
Formalin-fixed, paraffin-embedded human bladder stained with PI 3-Kinase p85 beta antibody (PIK3R2/1293). HIER: Tris/EDTA, pH9.0, 45min. Secondary: HRP-polymer, 30min. DAB, 5min.
Formalin-fixed, paraffin-embedded human spleen stained with PI 3-Kinase p85 beta antibody (PIK3R2/1293). HIER: Tris/EDTA, pH9.0, 45min. Secondary: HRP-polymer, 30min. DAB, 5min.

Product Details

Summary
Reactivity HuSpecies Glossary
Applications IHC, MA
Clone
PIK3R2/1293
Clonality
Monoclonal
Host
Mouse
Conjugate
Unconjugated
Format
Azide and BSA Free
Concentration
1 mg/ml

Order Details

PI 3-Kinase p85 beta Antibody (PIK3R2/1293) - Azide and BSA Free Summary

Description
1.0 mg/ml of antibody purified from Bioreactor Concentrate by Protein A/G. Prepared in 10mM PBS WITHOUT BSA & azide. Also available at 200 ug/ml WITH BSA & azide (NBP3-13736).

Antibody with azide - store at 2 to 8C. Antibody without azide - store at -20 to -80 C.
Immunogen
Recombinant fragment of human PI 3-Kinase p85 beta protein (around aa 520-720) (exact sequence is proprietary) (Uniprot: O00459)
Localization
Cytoplasm,golgi apparatus, Nucleus
Isotype
IgG2b Kappa
Clonality
Monoclonal
Host
Mouse
Gene
PIK3R2
Purity
Protein A or G purified
Innovator's Reward
Test in a species/application not listed above to receive a full credit towards a future purchase.

Applications/Dilutions

Dilutions
  • Immunohistochemistry-Paraffin 1-2 ug/ml
  • Protein Array
Application Notes
Immunohistochemistry (Formalin-fixed): 1-2ug/ml for 30 minutes at RT. Staining of formalin-fixed tissues requires heating tissue sections in 10mM Tris with 1mM EDTA, pH 9.0, for 45 min at 95C followed by cooling at RT for 20 minutes
Theoretical MW
85 kDa.
Disclaimer note: The observed molecular weight of the protein may vary from the listed predicted molecular weight due to post translational modifications, post translation cleavages, relative charges, and other experimental factors.

Packaging, Storage & Formulations

Storage
Store at -20 to -80C. Avoid freeze-thaw cycles.
Buffer
10mM PBS
Preservative
No Preservative
Concentration
1 mg/ml
Purity
Protein A or G purified

Alternate Names for PI 3-Kinase p85 beta Antibody (PIK3R2/1293) - Azide and BSA Free

  • P85B
  • p85-beta
  • phosphatidylinositol 3-kinase 85 kDa regulatory subunit beta
  • phosphatidylinositol 3-kinase regulatory subunit beta
  • phosphatidylinositol 3-kinase, regulatory subunit, polypeptide 2 (p85 beta)
  • phosphoinositide-3-kinase, regulatory subunit 2 (beta)
  • phosphoinositide-3-kinase, regulatory subunit 2 (p85 beta)
  • phosphoinositide-3-kinase, regulatory subunit, polypeptide 2 (p85 beta)
  • PI 3Kinase p85 beta
  • PI 3-Kinase p85 beta
  • PI3K regulatory subunit beta
  • PI3-kinase regulatory subunit beta
  • PI3-kinase subunit p85-beta
  • PIK3R2
  • ptdIns-3-kinase regulatory subunit beta
  • ptdIns-3-kinase regulatory subunit p85-beta

Background

The enzyme phosphatidylinositol 3 kinase (PI3 kinase) is a lipid kinase that generates phosphatidylinositol 3, 4, 5-triphosphate in response to receptor activation in many signal transduction pathways. Class IA PI3Ks exist as a heterodimer of a catalytic 110 kDa (p110) and a regulatory p85 subunit (e.g. p85 beta). p85 beta is an adaptor molecule that regulates the activity of the catalytic p110 subunit by binding to phosphorylated receptor tyrosine kinases (RTKs) through its SH2 domain and mediating the interaction between p110 and the plasma membrane. p85 beta is necessary for insulin-stimulated increase in glucose uptake and glycogen synthesis in insulin-sensitive tissues.

Limitations

This product is for research use only and is not approved for use in humans or in clinical diagnosis. Primary Antibodies are guaranteed for 1 year from date of receipt.

Customers Who Viewed This Item Also Viewed...

AF887
Species: Hu, Mu, Rt
Applications: CyTOF-ready, IHC, ICFlow, Simple Western, WB
NB100-82001
Species: Hu, Mu, Po, Rt
Applications: ICC/IF, IHC,  IHC-P, Simple Western, WB
NBP2-15071
Species: Hu, Mu, Rt
Applications: ICC/IF, IHC,  IHC-P, KO, WB
NBP2-46404
Species: Hu, Mu, Rt
Applications: IHC,  IHC-P
NBP2-19804
Species: Hu, Mu
Applications: ICC/IF, IHC,  IHC-P, WB
NBP2-12793
Species: Hu, Mu
Applications: IHC,  IHC-P, IP, WB
AF2685
Species: Hu
Applications: IHC, Simple Western, WB
H00001523-M01
Species: Hu, Mu, Rt
Applications: ELISA, ICC/IF, IHC,  IHC-P, IP, WB
NB100-74648
Species: Hu
Applications: ICC/IF, IHC,  IHC-P, IP, WB
MAB1417
Species: Bv, Hu, Mu
Applications: ICC, IHC
AF1230
Species: Hu, Mu, Rt
Applications: IHC, KO, WB
NBP2-22203
Species: Hu, Pm, Mu, Rt
Applications: ELISA, Flow, ICC/IF, IHC,  IHC-P, WB
AF3846
Species: Hu, Mu, Rt
Applications: IHC, WB
MAB6210
Species: Hu
Applications: Simple Western, WB
MAB6347
Species: Hu
Applications: WB
236-EG
Species: Hu
Applications: BA
AF231
Species: Hu
Applications: CyTOF-ready, Dual ISH-IHC, ELISA(Cap), ELISA(Det), ELISA(Sta), Flow, ICC, IHC, IP, Simple Western, WB
NBP1-49533
Species: Hu, Mu, Pl, Rt
Applications: Flow-IC, Flow, ICC/IF, IHC,  IHC-P, KD, WB
NBP3-14139
Species: Hu
Applications: IHC, MA

Publications for PI 3-Kinase p85 beta Antibody (NBP3-14139) (0)

There are no publications for PI 3-Kinase p85 beta Antibody (NBP3-14139).
By submitting your publication information earn gift cards and discounts for future purchases.

Reviews for PI 3-Kinase p85 beta Antibody (NBP3-14139) (0)

There are no reviews for PI 3-Kinase p85 beta Antibody (NBP3-14139). By submitting a review you will receive an Amazon e-Gift Card or Novus Product Discount.
  • Review with no image -- $10/€7/£6/$10 CAD/¥70 Yuan/¥1110 Yen
  • Review with an image -- $25/€18/£15/$25 CAD/¥150 Yuan/¥2500 Yen

Product General Protocols

Find general support by application which include: protocols, troubleshooting, illustrated assays, videos and webinars.

FAQs for PI 3-Kinase p85 beta Antibody (NBP3-14139) (0)

There are no specific FAQs related to this product. Read our general customer & technical service FAQs.

Secondary Antibodies

 

Isotype Controls

Additional PI 3-Kinase p85 beta Products

Research Areas for PI 3-Kinase p85 beta Antibody (NBP3-14139)

Find related products by research area.

Blogs on PI 3-Kinase p85 beta

There are no specific blogs for PI 3-Kinase p85 beta, but you can read our latest blog posts.

Customers Who Bought This Also Bought

Contact Information

Product PDFs

Calculators

Concentration Calculator

The concentration calculator allows you to quickly calculate the volume, mass or concentration of your vial. Simply enter your mass, volume, or concentration values for your reagent and the calculator will determine the rest.

=
÷

Review this Product

Be the first to review our PI 3-Kinase p85 beta Antibody (PIK3R2/1293) - Azide and BSA Free and receive a gift card or discount.

Bioinformatics

Gene Symbol PIK3R2