PHGDH Antibody (CL0555) - Azide and BSA Free

Images

 
Orthogonal Strategies: Analysis in human pancreas and skeletal muscle tissues using NBP3-43966 antibody. Corresponding PHGDH RNA-seq data are presented for the same tissues.
Lane 1: Marker [kDa]Lane 2: Human cell line RT-4
Lane 1: Marker [kDa]Lane 2: Human cell line HeLa cytoplasmic fractionLane 3: Human cell line HeLa membrane fractionLane 4: Human cell line HeLa nuclear fractionLane 5: Human cell line HeLa chromatin fractionLane 6: ...read more
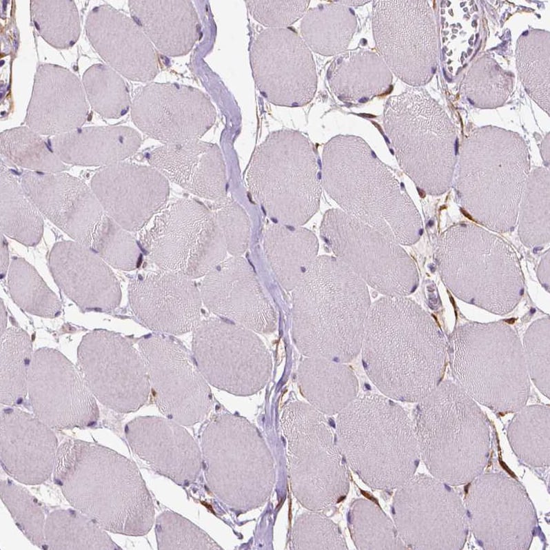
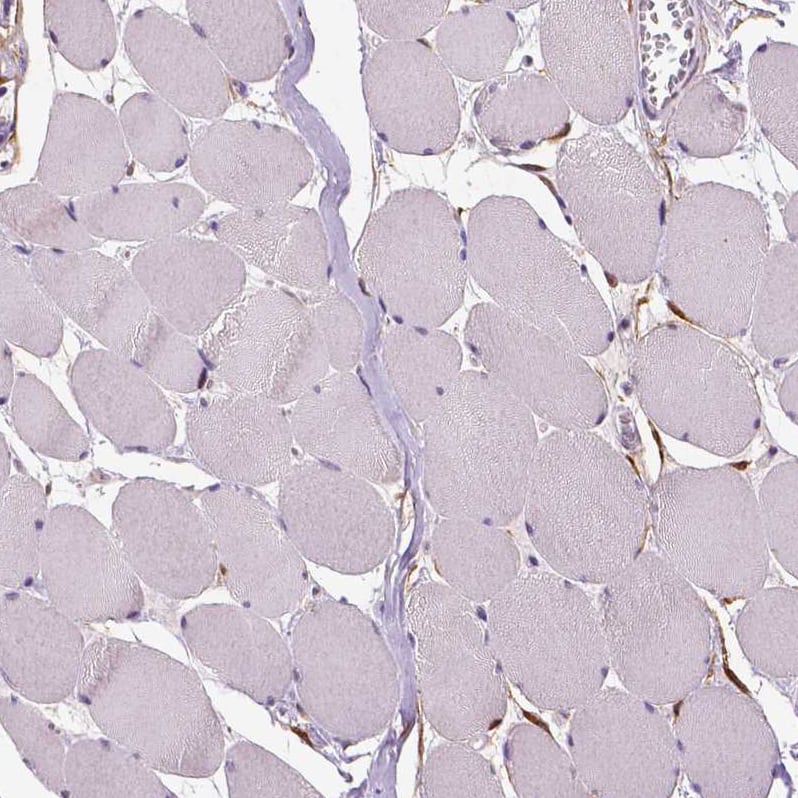
Staining of human skeletal muscle shows no positivity in myocytes as expected.
Staining of human pancreas shows strong cytoplasmic positivity in exocrine glandular cells.
Staining of human liver shows strong cytoplasmic positivity in hepatocytes.
Staining of MCF7 cells using the Anti-PHGDH monoclonal antibody) .
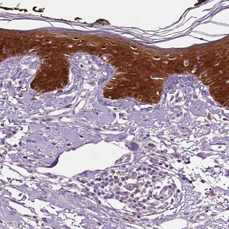
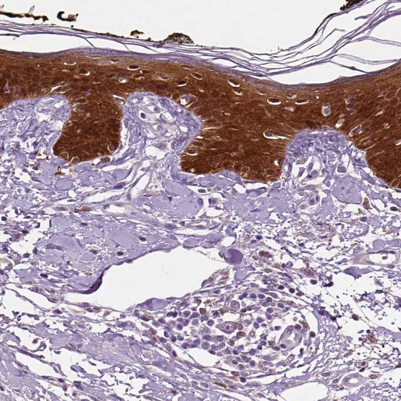
Staining of human skin shows strong cytoplasmic positivity in squamous epithelial cells.

Product Details

Summary
Reactivity HuSpecies Glossary
Applications WB, ICC/IF, IHC
Clone
CL0555
Clonality
Monoclonal
Host
Mouse
Conjugate
Unconjugated
Format
Azide and BSA Free
Concentration
LYOPH
Validated by:
       

Orthogonal Strategies

 

Order Details

PHGDH Antibody (CL0555) - Azide and BSA Free Summary

Description
Novus Biologicals Mouse PHGDH Antibody (CL0555) - Azide and BSA Free (NBP2-52939) is a monoclonal antibody validated for use in IHC, WB and ICC/IF. All Novus Biologicals antibodies are covered by our 100% guarantee.
Immunogen
This antibody was generated using a recombinant protein sequence of O43175, with the exact immunogen sequence remaining proprietary.
Isotype
IgG1
Clonality
Monoclonal
Host
Mouse
Gene
PHGDH
Purity
Protein A purified
Innovator's Reward
Test in a species/application not listed above to receive a full credit towards a future purchase.

Applications/Dilutions

Dilutions
  • Immunocytochemistry/ Immunofluorescence 2-10 ug/ml
  • Immunohistochemistry-Paraffin 1:500 - 1:1000
  • Western Blot 1 ug/ml
Application Notes
For IHC-Paraffin, HIER pH 6 retrieval is recommended. For Immunocytochemistry/ Immunofluorescence/IF, PFA/Triton X-100 is recommended for fixation/permeabilization.

Packaging, Storage & Formulations

Storage
Store at 4C short term. Aliquot and store at -20C long term. Avoid freeze-thaw cycles.
Buffer
Lyophilized from a 0.2 um filtered solution in PBS with Trehalose
Preservative
No Preservative
Concentration
LYOPH
Purity
Protein A purified
Reconstitution Instructions
Centrifuge the vial of lyophilized antibody at 12,000 x g for 20 seconds. Reconstitute by adding sterile, distilled water to achieve a final antibody concentration of 1mg/ml.

Alternate Names for PHGDH Antibody (CL0555) - Azide and BSA Free

  • 3,3-phosphoglycerate dehydrogenase
  • 3PGDH
  • 3-PGDH
  • D-3-phosphoglycerate dehydrogenase
  • EC 1.1.1
  • EC 1.1.1.95
  • MGC3017
  • PDG
  • PDGH3
  • PGAD
  • PGD
  • PGDH
  • PHGDH
  • phosphoglycerate dehydrogenase
  • SERA

Background

3-Phosphoglycerate dehydrogenase (PHGDH; EC 1.1.1.95) catalyzes the transition of 3-phosphoglycerate into 3-phosphohydroxypyruvate, which is the first and rate-limiting step in the phosphorylated pathway of serine biosynthesis, using NAD+/NADH as a cofactor.[supplied by OMIM]

Limitations

This product is for research use only and is not approved for use in humans or in clinical diagnosis. Primary Antibodies are guaranteed for 1 year from date of receipt.

Customers Who Viewed This Item Also Viewed...

H00005729-B01P
Species: Hu
Applications: Flow, ICC/IF, WB
NBP1-79280
Species: Hu, Mu
Applications: IHC,  IHC-P, WB
NB100-689
Species: Hu, Rt
Applications: IHC, IHC-Fr,  IHC-P, Simple Western, WB
DPG00
Species: Hu
Applications: ELISA
NBP2-02541
Species: Hu, Pm, Mu, Pm, Rt
Applications: ICC/IF, IHC,  IHC-P, WB
NBP1-76755
Species: Gp, Hu, Mu, Rt
Applications: ELISA, ICC/IF, IHC,  IHC-P, WB
NBP1-00178
Species: Hu, Mu, Sh
Applications: Flow, ICC/IF, IHC, IHC-Fr, PEP-ELISA, WB
NBP2-48836
Species: Ca, Hu
Applications: ICC/IF, IHC,  IHC-P
H00005236-M01
Species: Bv, Hu
Applications: ELISA, ICC/IF, IP, KD, S-ELISA, WB
NBP1-32550
Species: Hu, Mu, Ze
Applications: ICC/IF, IHC,  IHC-P, Simple Western, WB
NBP2-59438
Species: Hu
Applications: ELISA, ICC/IF, WB
NBP3-47534
Species: Hu, Mu
Applications: ELISA, IHC, WB
NBP2-22106
Species: Hu, Mu, Rt
Applications: IHC,  IHC-P, IP, WB
AF2667
Species: Hu
Applications: IHC, WB

Publications for PHGDH Antibody (NBP3-43966) (0)

There are no publications for PHGDH Antibody (NBP3-43966).
By submitting your publication information earn gift cards and discounts for future purchases.

Reviews for PHGDH Antibody (NBP3-43966) (0)

There are no reviews for PHGDH Antibody (NBP3-43966). By submitting a review you will receive an Amazon e-Gift Card or Novus Product Discount.
  • Review with no image -- $10/€7/£6/$10 CAD/¥70 Yuan/¥1110 Yen
  • Review with an image -- $25/€18/£15/$25 CAD/¥150 Yuan/¥2500 Yen

Product General Protocols

Find general support by application which include: protocols, troubleshooting, illustrated assays, videos and webinars.

Video Protocols

WB Video Protocol
ICC/IF Video Protocol

FAQs for PHGDH Antibody (NBP3-43966) (0)

There are no specific FAQs related to this product. Read our general customer & technical service FAQs.

Secondary Antibodies

 

Isotype Controls

Additional PHGDH Products

Research Areas for PHGDH Antibody (NBP3-43966)

Find related products by research area.

Blogs on PHGDH

There are no specific blogs for PHGDH, but you can read our latest blog posts.

Customers Who Bought This Also Bought

Contact Information

Product PDFs

Calculators

Concentration Calculator

The concentration calculator allows you to quickly calculate the volume, mass or concentration of your vial. Simply enter your mass, volume, or concentration values for your reagent and the calculator will determine the rest.

=
÷

Review this Product

Be the first to review our PHGDH Antibody (CL0555) - Azide and BSA Free and receive a gift card or discount.

Bioinformatics

Gene Symbol PHGDH