PGPase Antibody

Images

 
Western Blot: PGPase Antibody [NBP2-30549] - Analysis in control (vector only transfected HEK293T lysate) and PGP over-expression lysate (Co-expressed with a C-terminal myc-DDK tag (3.1 kDa) in mammalian HEK293T cells).
Immunocytochemistry/ Immunofluorescence: PGPase Antibody [NBP2-30549] - Immunofluorescent staining of human cell line MCF7 shows localization to nuclear bodies.
Immunohistochemistry-Paraffin: PGPase Antibody [NBP2-30549] - Staining of human skeletal muscle shows weak to moderate cytoplasmic positivity in myocytes.
Immunohistochemistry: PGPase Antibody [NBP2-30549] - Staining of human liver shows strong cytoplasmic positivity in hepatocytes.
Immunohistochemistry-Paraffin: PGPase Antibody [NBP2-30549] - Staining of human cerebral cortex shows strong positivity in neuropil.
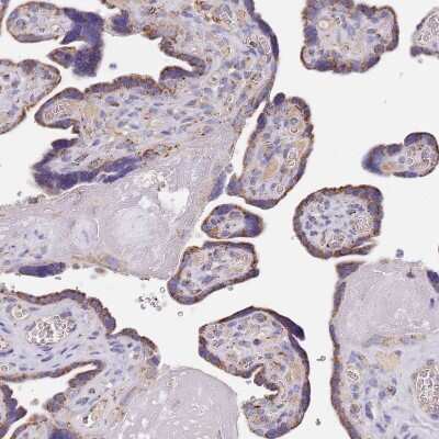
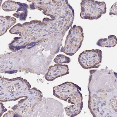
Immunohistochemistry-Paraffin: PGPase Antibody [NBP2-30549] - Staining of human placenta shows moderate granular cytoplasmic positivity in trophoblastic cells.
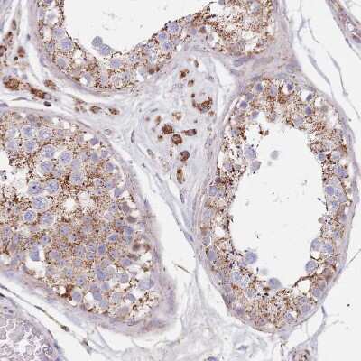
Immunohistochemistry-Paraffin: PGPase Antibody [NBP2-30549] - Staining of human testis shows moderate granular cytoplasmic positivity in cells in seminiferous ducts and Leydig cells.

Product Details

Summary
Product Discontinued
View other related PGPase Primary Antibodies

Order Details


    • Catalog Number
      NBP2-30549
    • Availability
      Product Discontinued

    Can't find what you are looking for? Use our Antibody Concierge Service & we will help you locate your antibody!

    Or feel free to contact us for alternative products.

PGPase Antibody Summary

Immunogen
This antibody was developed against a recombinant protein corresponding to amino acids: DTDILLGATCGLKTILTLTGVSTLGDVKNNQESDCVSKKKMVPDFYVDSI
Isotype
IgG
Clonality
Polyclonal
Host
Rabbit
Gene
PGP
Purity
Immunogen affinity purified
Innovator's Reward
Test in a species/application not listed above to receive a full credit towards a future purchase.

Applications/Dilutions

Dilutions
  • Immunocytochemistry/ Immunofluorescence 0.25-2 ug/ml
  • Immunohistochemistry 1:200 - 1:500
  • Immunohistochemistry-Paraffin 1:200 - 1:500
  • Western Blot 1:100 - 1:250
Application Notes
For IHC-Paraffin, HIER pH 6 retrieval is recommended. Immunocytochemistry/Immunofluorescence Fixation Permeabilization: Use PFA/Triton X-100.

Reactivity Notes

Immunogen displays the following percentage of sequence identity for non-tested species: Mouse (86%), Rat (86%)

Packaging, Storage & Formulations

Storage
Store at 4C short term. Aliquot and store at -20C long term. Avoid freeze-thaw cycles.
Buffer
PBS (pH 7.2) and 40% Glycerol
Preservative
0.02% Sodium Azide
Purity
Immunogen affinity purified

Alternate Names for PGPase Antibody

  • EC 3.1.3
  • EC 3.1.3.18
  • PGP
  • Phosphoglycolate Phosphatase

Limitations

This product is for research use only and is not approved for use in humans or in clinical diagnosis. Primary Antibodies are guaranteed for 1 year from date of receipt.

Customers Who Viewed This Item Also Viewed...

NBP2-67667
Species: Hu, Mu, Rt
Applications: ICC/IF, IHC, IHC-Fr,  IHC-P, WB
NB400-156
Species: Hu, Mu, Rt
Applications: CyTOF-ready, Dual ISH-IHC, ELISA, Flow, ICC/IF, IHC, IP, Simple Western, WB
NBP2-13415
Species: Hu
Applications: ICC/IF, IHC,  IHC-P
NBP2-22124
Species: Hu, Mu, Pm
Applications: ELISA, Flow, ICC/IF, IHC,  IHC-P, WB
NBP2-38160
Species: Hu
Applications: ICC/IF, IHC,  IHC-P
NBP3-46186
Species: Hu, Mu, Rt
Applications: ELISA, IHC, IP, WB
NBP1-82820
Species: Hu
Applications: ICC/IF, IHC,  IHC-P, Simple Western, WB
NBP3-24587
Species: Hu
Applications: ICC/IF, IHC,  IHC-P, WB
NB100-556
Species: Hu
Applications: IP, WB
NBP3-41339
Species: Hu, Mu, Rt
Applications: IHC,  IHC-P, WB
NBP1-69023
Species: Mu
Applications: WB
NBP1-86037
Species: Hu
Applications: ICC/IF, IHC,  IHC-P, WB
NBP2-37502
Species: Hu
Applications: CyTOF-ready, ELISA, Flow, ICC/IF, IHC,  IHC-P, WB
NB100-64808
Species: Hu
Applications: ELISA, Flow, ICC/IF, IHC, IHC-Fr, IP, WB
NBP3-14454
Species: Hu
Applications: IHC,  IHC-P
NBP2-79854
Species: Hu
Applications: CyTOF-ready, Flow, ICC/IF, IHC,  IHC-P, PA, WB
NB120-14817
Species: Hu, Rt
Applications: ICC/IF, IHC, S-ELISA, WB
AF1052
Species: Hu
Applications: CyTOF-ready, Flow, IHC, Simple Western, WB

Publications for PGPase Antibody (NBP2-30549) (0)

There are no publications for PGPase Antibody (NBP2-30549).
By submitting your publication information earn gift cards and discounts for future purchases.

Reviews for PGPase Antibody (NBP2-30549) (0)

There are no reviews for PGPase Antibody (NBP2-30549). By submitting a review you will receive an Amazon e-Gift Card or Novus Product Discount.
  • Review with no image -- $10/€7/£6/$10 CAD/¥70 Yuan/¥1110 Yen
  • Review with an image -- $25/€18/£15/$25 CAD/¥150 Yuan/¥2500 Yen

Product General Protocols

Find general support by application which include: protocols, troubleshooting, illustrated assays, videos and webinars.

Video Protocols

WB Video Protocol
ICC/IF Video Protocol

FAQs for PGPase Antibody (NBP2-30549) (0)

There are no specific FAQs related to this product. Read our general customer & technical service FAQs.

Contact Information

Product PDFs

Calculators

Concentration Calculator

The concentration calculator allows you to quickly calculate the volume, mass or concentration of your vial. Simply enter your mass, volume, or concentration values for your reagent and the calculator will determine the rest.

=
÷

Review this Product

Be the first to review our PGPase Antibody and receive a gift card or discount.

Bioinformatics

Gene Symbol PGP
Uniprot