PGAM5 Antibody (CL0624) - Azide and BSA Free

Images

 
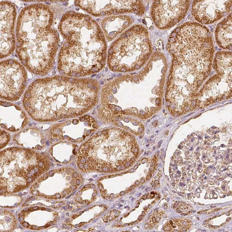
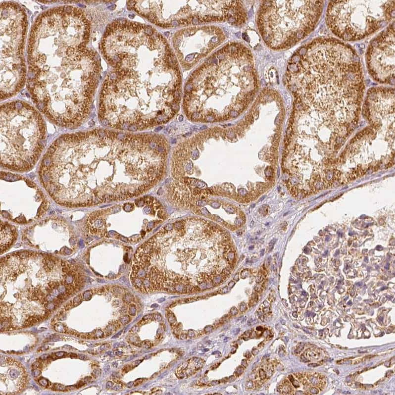
Staining of human kidney shows strong granular cytoplasmic positivity in cells in tubules.
Staining of human liver shows strong granular cytoplasmic positivity in hepatocytes.
Staining of human tonsil shows strong granular cytoplasmic positivity in germinal center cells.
Genetic Strategies: Analysis in RT-4 cells transfected with control siRNA, target specific siRNA probe #1 and #2, using Anti-PGAM5 antibody. Remaining relative intensity is presented. Loading control: Anti-PARP1.
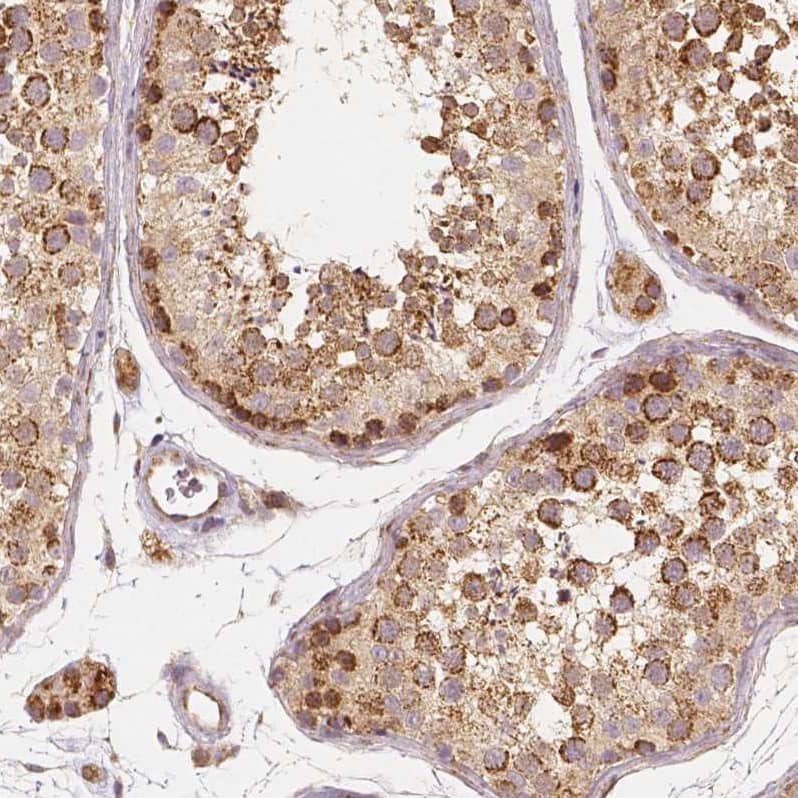
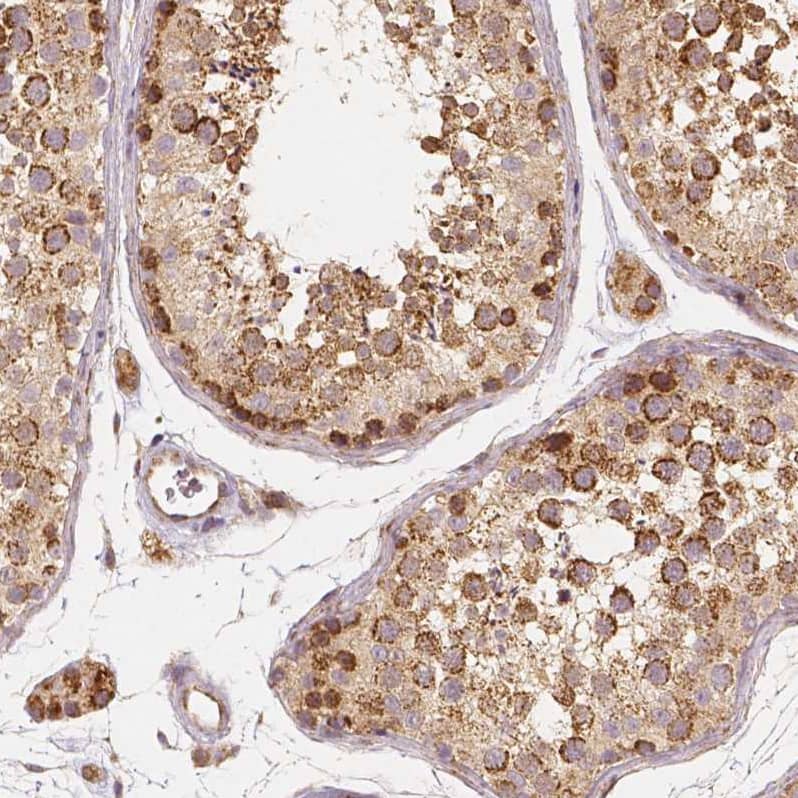
Staining of human testis shows moderate to strong granular cytoplasmic positivity in cells in seminiferous ducts.

Product Details

Summary
Reactivity HuSpecies Glossary
Applications WB, IHC
Clone
CL0624
Clonality
Monoclonal
Host
Mouse
Conjugate
Unconjugated
Format
Azide and BSA Free
Concentration
LYOPH
Validated by:
     

Genetic Strategies

   

Order Details

PGAM5 Antibody (CL0624) - Azide and BSA Free Summary

Description
Novus Biologicals Mouse PGAM5 Antibody (CL0624) - Azide and BSA Free (NBP2-52947) is a monoclonal antibody validated for use in IHC and WB. All Novus Biologicals antibodies are covered by our 100% guarantee.
Immunogen
This antibody was generated using a recombinant protein sequence of Q96HS1, with the exact immunogen sequence remaining proprietary.
Isotype
IgG1
Clonality
Monoclonal
Host
Mouse
Gene
PGAM5
Purity
Protein A purified
Innovator's Reward
Test in a species/application not listed above to receive a full credit towards a future purchase.

Applications/Dilutions

Dilutions
  • Immunohistochemistry-Paraffin 1:200 - 1:500
  • Western Blot 1 ug/ml
Application Notes
For IHC-Paraffin, HIER pH 6 retrieval is recommended.

Packaging, Storage & Formulations

Storage
Store at 4C short term. Aliquot and store at -20C long term. Avoid freeze-thaw cycles.
Buffer
Lyophilized from a 0.2 um filtered solution in PBS with Trehalose
Preservative
No Preservative
Concentration
LYOPH
Purity
Protein A purified
Reconstitution Instructions
Centrifuge the vial of lyophilized antibody at 12,000 x g for 20 seconds. Reconstitute by adding sterile, distilled water to achieve a final antibody concentration of 1mg/ml.

Alternate Names for PGAM5 Antibody (CL0624) - Azide and BSA Free

  • Bcl-XL-binding protein v68
  • BXLBv68
  • EC 3.1.3.16
  • MGC5352
  • phosphoglycerate mutase family member 5BXLBV68
  • serine/threonine-protein phosphatase PGAM5, mitochondrial

Background

Displays phosphatase activity for serine/threonine residues, and, dephosphorylates and activates MAP3K5kinase. Has apparently no phosphoglycerate mutase activity. May be regulator of mitochondrial dynamics. Substrate fora Keap1-dependent ubiquitin ligase complex. Contributes to the repression of NFE2L2-dependent gene expression

Limitations

This product is for research use only and is not approved for use in humans or in clinical diagnosis. Primary Antibodies are guaranteed for 1 year from date of receipt.

Customers Who Viewed This Item Also Viewed...

NB110-55288
Species: Fi, Hu, Mu, Pm, Rt
Applications: Flow-IC, Flow, ICC/IF, IHC,  IHC-P, IP, Simple Western, WB
NBP1-32822
Species: Al, Av, Hu, Mu, Pl, Rt, Ze
Applications: ChIP, Flow, ICC/IF, IHC,  IHC-P, IP, KD, Simple Western, WB
NBP3-47447
Species: Hu, Rt
Applications: ELISA, IHC, WB
NBP2-13913
Species: Hu
Applications: ICC/IF, IHC,  IHC-P
NBP1-76651
Species: Hu, Mu, Rt
Applications: ELISA, ICC/IF, IHC,  IHC-P, WB
NBP2-02477
Species: Ca, Hu, Pm, Mu, Rt
Applications: Flow, ICC/IF, IHC,  IHC-P, IP, WB
MAB3024
Species: Hu, Mu, Rt
Applications: KO, Simple Western, WB
NBP2-66953
Species: Hu, Mu
Applications: IHC, IHC-Fr,  IHC-P, WB
BC100-494
Species: Hu, Mu, Rb, Rt
Applications: EM, IB, ICC/IF, IHC, IHC-Fr,  IHC-P, IP, KD, KO, PEP-ELISA, PAGE, WB
NBP1-32105
Species: Hu, Mu, Rt
Applications: ICC/IF, IHC,  IHC-P, IP, KD, WB
NB100-41418
Species: Hu
Applications: IHC,  IHC-P, IP, WB
NBP2-13304
Species: Hu
Applications: ICC/IF, IHC,  IHC-P, WB
NB100-56077
Species: Hu
Applications: IHC,  IHC-P, IP, WB
NB100-56104
Species: Ca, Hu, Mu, Rt
Applications: IHC, IHC-Fr,  IHC-P, IP, WB
NBP1-87826
Species: Hu, Rt
Applications: ICC/IF, IHC,  IHC-P, Simple Western, WB
NBP1-77077
Species: Hu, Mu, Rt
Applications: ELISA, ICC/IF, IHC,  IHC-P, KD, WB
H00010928-M02
Species: Hu, Xp
Applications: ELISA, ICC/IF, IP, WB
NBP2-94197
Species: Hu, Mu
Applications: IHC,  IHC-P, WB
NBP1-28566
Species: Bv, Hu, Pm, Mu, Po, Rt
Applications: Func, IHC, IHC-Fr,  IHC-P, WB
NBP3-44002
Species: Hu
Applications: WB, IHC

Publications for PGAM5 Antibody (NBP3-44002) (0)

There are no publications for PGAM5 Antibody (NBP3-44002).
By submitting your publication information earn gift cards and discounts for future purchases.

Reviews for PGAM5 Antibody (NBP3-44002) (0)

There are no reviews for PGAM5 Antibody (NBP3-44002). By submitting a review you will receive an Amazon e-Gift Card or Novus Product Discount.
  • Review with no image -- $10/€7/£6/$10 CAD/¥70 Yuan/¥1110 Yen
  • Review with an image -- $25/€18/£15/$25 CAD/¥150 Yuan/¥2500 Yen

Product General Protocols

Find general support by application which include: protocols, troubleshooting, illustrated assays, videos and webinars.

Video Protocols

WB Video Protocol

FAQs for PGAM5 Antibody (NBP3-44002) (0)

There are no specific FAQs related to this product. Read our general customer & technical service FAQs.

Secondary Antibodies

 

Isotype Controls

Additional PGAM5 Products

Research Areas for PGAM5 Antibody (NBP3-44002)

Find related products by research area.

Blogs on PGAM5

There are no specific blogs for PGAM5, but you can read our latest blog posts.

Customers Who Bought This Also Bought

Contact Information

Product PDFs

Calculators

Concentration Calculator

The concentration calculator allows you to quickly calculate the volume, mass or concentration of your vial. Simply enter your mass, volume, or concentration values for your reagent and the calculator will determine the rest.

=
÷

Review this Product

Be the first to review our PGAM5 Antibody (CL0624) - Azide and BSA Free and receive a gift card or discount.

Bioinformatics

Gene Symbol PGAM5