| Immunogen | This antibody was developed against Recombinant Protein corresponding to amino acids: MKVPDMKLPEIKLPKVPEMAVPDVHLPEVQLPKVSEIRLPEMQVPKVPDVHLPKAPEVKLPRAPEVQLKATKAEQAEGMEFGFKMPKMTMPKLGRAESPSRGKPGEAGAEVSGKLVTLPCLQPEVDGEAHVGVPSLTLPSVELDL |
| Specificity | Specificity of human Periaxin antibody verified on a Protein Array containing target protein plus 383 other non-specific proteins. |
| Isotype | IgG |
| Clonality | Polyclonal |
| Host | Rabbit |
| Gene | PRX |
| Purity | Immunogen affinity purified |
| Innovator's Reward | Test in a species/application not listed above to receive a full credit towards a future purchase. |
| Dilutions |
|
||
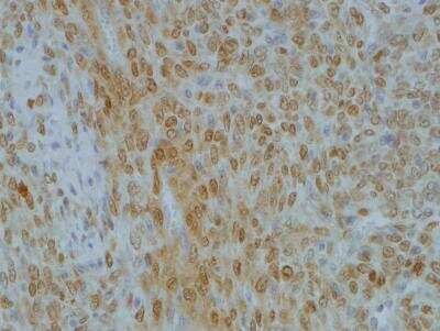
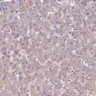
| Application Notes | For IHC-Paraffin, HIER pH 6 retrieval is recommended. ICC/IF reactivity reported in (PMID: 26196511). Periaxin antibody validated for IHC-F from a verified customer review. |
||
| Control Peptide |
|
||
| Reviewed Applications |
|
||
| Publications |
|
| Storage | Store at 4C short term. Aliquot and store at -20C long term. Avoid freeze-thaw cycles. |
| Buffer | PBS (pH 7.2) and 40% Glycerol |
| Preservative | 0.02% Sodium Azide |
| Purity | Immunogen affinity purified |
| Publication using NBP1-89598 | Applications | Species |
|---|---|---|
| Kegler K, Spitzbarth I, Imbschweiler I et al. Contribution of Schwann Cells to Remyelination in a Naturally Occurring Canine Model of CNS Neuroinflammation. PLoS One 2015 [PMID: 26196511] (IHC, ICC/IF, Canine) | IHC, ICC/IF | Canine |
| Images | Ratings | Applications | Species | Date | Details | ||||||
|---|---|---|---|---|---|---|---|---|---|---|---|
Enlarge |
reviewed by:
Markus Tammia |
IHC-Fr | Mouse | 07/13/2015 |
Summary
|
Secondary Antibodies |
Isotype Controls |
Diseases for Periaxin Antibody (NBP1-89598)Discover more about diseases related to Periaxin Antibody (NBP1-89598).
| Pathways for Periaxin Antibody (NBP1-89598)View related products by pathway.
|
PTMs for Periaxin Antibody (NBP1-89598)Learn more about PTMs related to Periaxin Antibody (NBP1-89598).
|

The concentration calculator allows you to quickly calculate the volume, mass or concentration of your vial. Simply enter your mass, volume, or concentration values for your reagent and the calculator will determine the rest.
| Gene Symbol | PRX |