PDK2 Antibody (JB66-93)

Images

 
Western Blot: PDK2 Antibody (JB66-93) [NBP2-75611] - Analysis of PDK2 on rat heart tissue lysate using anti-PDK2 antibody at 1/500 dilution.
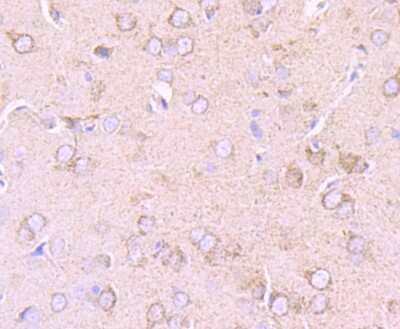
Immunohistochemistry-Paraffin: PDK2 Antibody (JB66-93) [NBP2-75611] - Analysis of paraffin-embedded rat brain tissue using anti-PDK2 antibody. Counter stained with hematoxylin.
Flow Cytometry: PDK2 Antibody (JB66-93) [NBP2-75611] - Analysis of SH-SY-5Y cells with PDK2 antibody at 1/100 dilution (red) compared with an unlabelled control (cells without incubation with primary antibody; black). ...read more
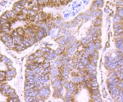
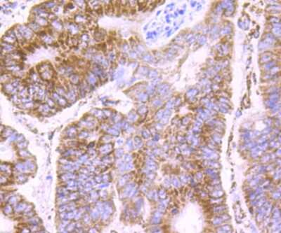
Immunohistochemistry-Paraffin: PDK2 Antibody (JB66-93) [NBP2-75611] - Analysis of paraffin-embedded human colon cancer tissue using anti-PDK2 antibody. Counter stained with hematoxylin.
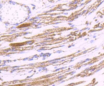
Immunohistochemistry-Paraffin: PDK2 Antibody (JB66-93) [NBP2-75611] - Analysis of paraffin-embedded human fetal skeletal muscle tissue using anti-PDK2 antibody. Counter stained with hematoxylin.
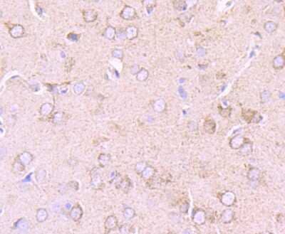
Immunohistochemistry-Paraffin: PDK2 Antibody (JB66-93) [NBP2-75611] - Analysis of paraffin-embedded mouse cerebellum tissue using anti-PDK2 antibody. Counter stained with hematoxylin.

Product Details

Summary
Product Discontinued
View other related PDK2 Primary Antibodies

Order Details


    • Catalog Number
      NBP2-75611
    • Availability
      Product Discontinued

    Can't find what you are looking for? Use our Antibody Concierge Service & we will help you locate your antibody!

    Or feel free to contact us for alternative products.

PDK2 Antibody (JB66-93) Summary

Additional Information
Recombinant Monoclonal Antibody.
Immunogen
Synthetic peptide within Human PDK2 aa 358-407 / 407. (SwissProt: Q15119 Human)
Localization
Mitochondrion.
Isotype
IgG
Clonality
Monoclonal
Host
Rabbit
Gene
PDK2
Purity
Protein A purified
Innovator's Reward
Test in a species/application not listed above to receive a full credit towards a future purchase.

Applications/Dilutions

Dilutions
  • Flow Cytometry 1:50-1:100
  • Immunohistochemistry-Paraffin 1:50-1:200
  • Immunoprecipitation
  • Western Blot 1:500-1:2000
Theoretical MW
46 kDa.
Disclaimer note: The observed molecular weight of the protein may vary from the listed predicted molecular weight due to post translational modifications, post translation cleavages, relative charges, and other experimental factors.
Publications
Read Publication using NBP2-75611.

Packaging, Storage & Formulations

Storage
Store at 4C short term. Aliquot and store at -20C long term. Avoid freeze-thaw cycles.
Buffer
TBS (pH7.4), 0.05% BSA, 40% Glycerol
Preservative
0.05% Sodium Azide
Concentration
1 mg/ml
Purity
Protein A purified

Alternate Names for PDK2 Antibody (JB66-93)

  • EC 2.7.11
  • EC 2.7.11.2
  • lipoamide, kinase isozyme 2, mitochondrial
  • PDH kinase 2
  • PDHK2
  • PDK2
  • PDKII
  • Pyruvate dehydrogenase kinase isoform 2
  • pyruvate dehydrogenase kinase, isoenzyme 2
  • pyruvate dehydrogenase kinase, isozyme 2

Background

PDK2 inhibits the mitochondrial pyruvate dehydrogenase complex by phosphorylation of the E1 alpha subunit, thus contributing to the regulation of glucose metabolism

Limitations

This product is for research use only and is not approved for use in humans or in clinical diagnosis. Primary Antibodies are guaranteed for 1 year from date of receipt.

Customers Who Viewed This Item Also Viewed...

NBP1-07047
Species: Hu, Mu
Applications: WB
NB100-2383
Species: Hu
Applications: ICC/IF, WB
MAB864
Species: Hu, Mu, Rt
Applications: ICC, Simple Western, WB
AF887
Species: Hu, Mu, Rt
Applications: CyTOF-ready, IHC, ICFlow, Simple Western, WB
MAB1417
Species: Bv, Hu, Mu
Applications: ICC, IHC
NBP1-87308
Species: Hu, Mu, Rt
Applications: IHC,  IHC-P, WB
NBP2-94660
Species: Hu, Mu, Rt
Applications: ELISA, IHC,  IHC-P, WB
NBP1-88347
Species: Hu, Mu
Applications: ICC/IF, IHC,  IHC-P, KD, WB
MAB6210
Species: Hu
Applications: Simple Western, WB
NBP1-32581
Species: Hu, Mu, Sq, Xp
Applications: ICC/IF, IHC,  IHC-P, WB
NB300-537
Species: Bv, Hu, Mu, Rb, Rt
Applications: ChIP, Flow, GS, ICC/IF, IHC,  IHC-P, IP, KD, Simple Western, WB
AF9024
Species: Mu, Rt
Applications: IHC, WB
NBP2-54301
Species: Hu, Mu, Rt
Applications: CyTOF-ready, ELISA, IHC,  IHC-P, WB
NBP2-13961
Species: Hu
Applications: ICC/IF, IHC,  IHC-P, WB
NBP2-22106
Species: Hu, Mu, Rt
Applications: IHC,  IHC-P, IP, WB
NBP1-89522
Species: Hu, Mu, Rt
Applications: ICC/IF, IHC,  IHC-P, WB
NB600-607
Species: Hu, Rt
Applications: ELISA, IHC,  IHC-P, WB
NBP2-15071
Species: Hu, Mu, Rt
Applications: ICC/IF, IHC,  IHC-P, KO, WB
NBP1-80104
Species: Hu
Applications: WB
NBP1-83192
Species: Hu
Applications: ICC/IF, IHC,  IHC-P, WB

Publications for PDK2 Antibody (NBP2-75611)(1)

Reviews for PDK2 Antibody (NBP2-75611) (0)

There are no reviews for PDK2 Antibody (NBP2-75611). By submitting a review you will receive an Amazon e-Gift Card or Novus Product Discount.
  • Review with no image -- $10/€7/£6/$10 CAD/¥70 Yuan/¥1110 Yen
  • Review with an image -- $25/€18/£15/$25 CAD/¥150 Yuan/¥2500 Yen

Product General Protocols

Find general support by application which include: protocols, troubleshooting, illustrated assays, videos and webinars.

Video Protocols

WB Video Protocol

FAQs for PDK2 Antibody (NBP2-75611) (0)

There are no specific FAQs related to this product. Read our general customer & technical service FAQs.

Secondary Antibodies

 

Isotype Controls

Additional PDK2 Products

Research Areas for PDK2 Antibody (NBP2-75611)

Find related products by research area.

Blogs on PDK2

There are no specific blogs for PDK2, but you can read our latest blog posts.

Contact Information

Product PDFs

Calculators

Concentration Calculator

The concentration calculator allows you to quickly calculate the volume, mass or concentration of your vial. Simply enter your mass, volume, or concentration values for your reagent and the calculator will determine the rest.

=
÷

Review this Product

Be the first to review our PDK2 Antibody (JB66-93) and receive a gift card or discount.

Bioinformatics

Gene Symbol PDK2