PCTAIRE3 Antibody

Images

 
Immunocytochemistry/ Immunofluorescence: PCTAIRE3 Antibody [NBP1-92249] - Staining of human cell line MCF7 shows localization to actin filaments. Antibody staining is shown in green.
Immunohistochemistry-Paraffin: PCTAIRE3 Antibody [NBP1-92249] - Staining of human heart muscle shows moderate cytoplasmic positivity in cardiomyocytes.
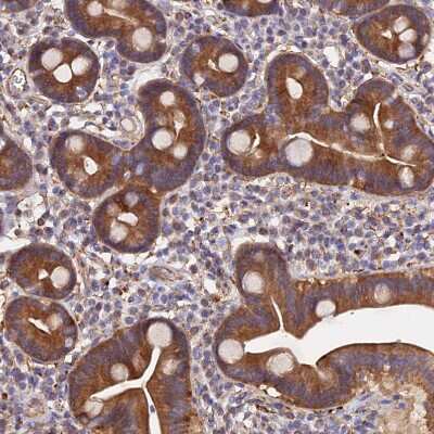
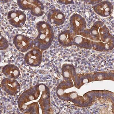
Immunohistochemistry-Paraffin: PCTAIRE3 Antibody [NBP1-92249] - Staining of human duodenum shows moderate to strong cytoplasmic positivity in glandular cells.
Immunohistochemistry-Paraffin: PCTAIRE3 Antibody [NBP1-92249] - Staining of human cerebral cortex shows moderate to strong cytoplasmic positivity in glial cells.
Immunohistochemistry-Paraffin: PCTAIRE3 Antibody [NBP1-92249] - Staining of human seminal vesicle shows moderate cytoplasmic positivity in glandular cells.
Immunohistochemistry-Paraffin: PCTAIRE3 Antibody [NBP1-92249] - Staining of human skeletal muscle shows very weak positivity in myocytes as expected.

Product Details

Summary
Product Discontinued
View other related PCTAIRE3 Primary Antibodies

Order Details


    • Catalog Number
      NBP1-92249
    • Availability
      Product Discontinued

    Can't find what you are looking for? Use our Antibody Concierge Service & we will help you locate your antibody!

    Or feel free to contact us for alternative products.

PCTAIRE3 Antibody Summary

Immunogen
This antibody was developed against Recombinant Protein corresponding to amino acids: MNKMKNFKRRFSLSVPRTETIEESLAEFTEQFNQLHNRRNENLQLGPLGRDPPQECSTFSPTDSGEEPGQLSPGVQFQRRQ
Isotype
IgG
Clonality
Polyclonal
Host
Rabbit
Gene
CDK18
Purity
Immunogen affinity purified
Innovator's Reward
Test in a species/application not listed above to receive a full credit towards a future purchase.

Applications/Dilutions

Dilutions
  • Immunocytochemistry/ Immunofluorescence 0.25-2 ug/ml
  • Immunohistochemistry 1:20 - 1:50
  • Immunohistochemistry-Paraffin 1:20 - 1:50
Application Notes
For IHC-Paraffin, HIER pH 6 retrieval is recommended. ICC/IF, Fixation Permeabilization: Use PFA/Triton X-100.

Packaging, Storage & Formulations

Storage
Store at 4C short term. Aliquot and store at -20C long term. Avoid freeze-thaw cycles.
Buffer
PBS (pH 7.2) and 40% Glycerol
Preservative
0.02% Sodium Azide
Purity
Immunogen affinity purified

Alternate Names for PCTAIRE3 Antibody

  • CDK18
  • Cell division protein kinase 18
  • cyclin-dependent kinase 18
  • EC 2.7.11
  • EC 2.7.11.22
  • PCTAIRE
  • PCTAIRE3
  • PCTAIRE-motif protein kinase 3
  • PCTK3
  • PCTK3PCTAIRE protein kinase 3
  • Serine/threonine-protein kinase PCTAIRE-3

Background

PCTK3( AAH11526, 1 a.a. - 473 a.a.) full-length recombinant protein with GST.

Limitations

This product is for research use only and is not approved for use in humans or in clinical diagnosis. Primary Antibodies are guaranteed for 1 year from date of receipt.

Customers Who Viewed This Item Also Viewed...

NBP1-92248
Species: Hu
Applications: ICC/IF, IHC,  IHC-P, WB
NBP1-88542
Species: Hu
Applications: IHC,  IHC-P, WB
NBP2-37602
Species: Hu, Pm, Rt
Applications: ELISA, Flow, ICC/IF, IHC,  IHC-P, WB
NBP2-33466
Species: Hu
Applications: ICC/IF, IHC,  IHC-P, WB
NBP1-85729
Species: Hu, Mu, Rt
Applications: ICC/IF, IHC,  IHC-P, WB
419-ML
Species: Mu
Applications: BA
AF4958
Species: Hu
Applications: CyTOF-ready, Flow, WB
NBP1-89530
Species: Hu
Applications: ICC/IF, IHC,  IHC-P, WB
NB100-496
Species: Hu
Applications: IHC,  IHC-P, IP, WB
NBP1-92564
Species: Hu
Applications: ICC/IF, IHC,  IHC-P
2428-FC
Species: Hu
Applications: Bind
AF3770
Species: Hu, Mu, Rt
Applications: IHC, Simple Western, WB
NBP1-31308
Species: Bv, Hu, Mu, Rt
Applications: ICC/IF, IHC,  IHC-P, Simple Western, WB
AF3035
Species: Hu
Applications: CyTOF-ready, Flow, IHC, KO, WB
NBP1-87262
Species: Hu
Applications: ICC/IF, IHC,  IHC-P, KD, WB
NBP1-87275
Species: Hu
Applications: ICC/IF, IHC,  IHC-P, WB
NBP1-91931
Species: Hu
Applications: ICC/IF, IHC,  IHC-P, WB
NBP3-13279
Species: Hu, Mu, Rt
Applications: ICC/IF, IHC,  IHC-P, WB

Publications for PCTAIRE3 Antibody (NBP1-92249) (0)

There are no publications for PCTAIRE3 Antibody (NBP1-92249).
By submitting your publication information earn gift cards and discounts for future purchases.

Reviews for PCTAIRE3 Antibody (NBP1-92249) (0)

There are no reviews for PCTAIRE3 Antibody (NBP1-92249). By submitting a review you will receive an Amazon e-Gift Card or Novus Product Discount.
  • Review with no image -- $10/€7/£6/$10 CAD/¥70 Yuan/¥1110 Yen
  • Review with an image -- $25/€18/£15/$25 CAD/¥150 Yuan/¥2500 Yen

Product General Protocols

Find general support by application which include: protocols, troubleshooting, illustrated assays, videos and webinars.

Video Protocols

ICC/IF Video Protocol

FAQs for PCTAIRE3 Antibody (NBP1-92249) (0)

There are no specific FAQs related to this product. Read our general customer & technical service FAQs.

Secondary Antibodies

 

Isotype Controls

Additional PCTAIRE3 Products

Research Areas for PCTAIRE3 Antibody (NBP1-92249)

Find related products by research area.

Blogs on PCTAIRE3

There are no specific blogs for PCTAIRE3, but you can read our latest blog posts.

Contact Information

Product PDFs

Calculators

Concentration Calculator

The concentration calculator allows you to quickly calculate the volume, mass or concentration of your vial. Simply enter your mass, volume, or concentration values for your reagent and the calculator will determine the rest.

=
÷

Review this Product

Be the first to review our PCTAIRE3 Antibody and receive a gift card or discount.

Bioinformatics

Gene Symbol CDK18