PAX8 Antibody (PAX8/1492) - Azide and BSA Free

Images

 
Western Blot: PAX8 Antibody (PAX8/1492) - Azide and BSA Free [NBP2-54539] - Analysis (A) Recombinant Protein (B) Raji Cell Lysate Using PAX8 Monoclonal Antibody (PAX8/1492).
Immunohistochemistry-Paraffin: PAX8 Antibody (PAX8/1492) - Azide and BSA Free [NBP2-54539] - Formalin-fixed, paraffin-embedded human Urothelial Carcinoma stained with PAX8 Monoclonal Antibody (PAX8/1492).
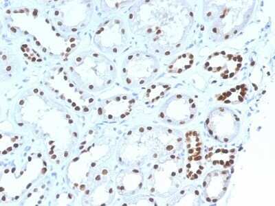
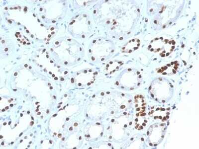
Immunohistochemistry-Paraffin: PAX8 Antibody (PAX8/1492) - Azide and BSA Free [NBP2-54539] - Formalin-fixed, paraffin-embedded human Renal Cell Carcinoma stained with PAX8 Monoclonal Antibody (PAX8/1492).
Immunohistochemistry-Paraffin: PAX8 Antibody (PAX8/1492) - Azide and BSA Free [NBP2-54539] - Formalin-fixed, paraffin-embedded human Thyroid Carcinoma stained with PAX8 Monoclonal Antibody (PAX8/1492).
Protein Array: PAX8 Antibody (PAX8/1492) - Azide and BSA Free [NBP2-54539] - Analysis of Protein Array containing >19,000 full-length human proteins using PAX8 Antibody (PAX8/1492) Z- and S- Score: The Z-score ...read more

Product Details

Summary
Reactivity Hu, CaSpecies Glossary
Applications WB, Flow, ICC/IF, IHC, MA, CyTOF-ready
Clone
PAX8/1492
Clonality
Monoclonal
Host
Mouse
Conjugate
Unconjugated
Format
Azide and BSA Free
Concentration
1 mg/ml

Order Details

PAX8 Antibody (PAX8/1492) - Azide and BSA Free Summary

Description
1.0 mg/ml of antibody purified from Bioreactor Concentrate by Protein A/G. Prepared in 10mM PBS WITHOUT BSA & azide. Also available at 200 ug/ml WITH BSA & azide (NBP2-53371).

Antibody with azide - store at 2 to 8C. Antibody without azide - store at -20 to -80C.
Immunogen
Recombinant fragment (around aa 60-261) of human PAX8 protein (exact sequence is proprietary) (Uniprot: Q06710)
Localization
Nuclear
Marker
Renal Cell Marker
Specificity
Recognizes a protein of 62kDa, identified as PAX8. It is a member of the paired box (PAX) family of transcription factors. This nuclear protein is involved in thyroid follicular cell development and expression of thyroid-specific genes. Mutations in this gene have been associated with thyroid dysgenesis, thyroid follicular carcinomas, and atypical thyroid adenomas. PAX-8 is expressed in the thyroid (and associated carcinomas), non-ciliated mucosal cells of the fallopian tubes, and simple ovarian inclusion cysts, but not normal ovarian surface epithelial cells. PAX-8 is expressed in a high percentage of ovarian serous, endometrioid, and clear cell carcinomas, but only rarely in primary ovarian mucinous adenocarcinomas. PAX-8 expression is reported in renal tubules as well as renal cell carcinoma, nephroblastoma, and seminoma. PAX-8 antibody may be used as an additional immunohistochemical marker for renal epithelial tumors.
Isotype
IgG2b Kappa
Clonality
Monoclonal
Host
Mouse
Gene
PAX8
Purity
Protein A or G purified
Innovator's Reward
Test in a species/application not listed above to receive a full credit towards a future purchase.

Applications/Dilutions

Dilutions
  • CyTOF-ready
  • Flow Cytometry 0.5 - 1 ug/million cells
  • Immunocytochemistry/ Immunofluorescence 1 - 2 ug/ml
  • Immunohistochemistry
  • Immunohistochemistry-Paraffin 1 - 2 ug/ml
  • Protein Array
  • Western Blot 0.5 - 1 ug/ml
Application Notes
Immunohistochemistry (Formalin-fixed): 1-2ug/ml for 30 minutes at RT. Staining of formalin-fixed tissues requires heating tissue sections in 10mM Tris buffer with 1mM EDTA, pH 9.0, for 45 min at 95C followed by cooling at RT for 20 minutes.
Optimal dilution for a specific application should be determined.
Theoretical MW
62 kDa.
Disclaimer note: The observed molecular weight of the protein may vary from the listed predicted molecular weight due to post translational modifications, post translation cleavages, relative charges, and other experimental factors.

Packaging, Storage & Formulations

Storage
Store at -20 to -80C. Avoid freeze-thaw cycles.
Buffer
10 mM PBS
Preservative
No Preservative
Concentration
1 mg/ml
Purity
Protein A or G purified

Alternate Names for PAX8 Antibody (PAX8/1492) - Azide and BSA Free

  • paired box 8
  • paired box gene 8
  • paired box protein Pax-8
  • paired domain gene 8

Background

PAX8 is a member of the paired box (PAX) family of transcription factors, typically containing a paired box domain, an octapeptide, and a paired-type homeodomain. This family plays critical roles during fetal development and cancer growth. The specific function of the PAX8 is unknown but it may involve kidney cell differentiation, thyroid development, or thyroid dysgenesis. Alternative splicing in the gene by inclusion or exclusion of exons 7 and/or 8 has produced several known products but the biological significance of the variants is unknown. Several other splice variants have been proposed but the full nature of these products has not been described.

Limitations

This product is for research use only and is not approved for use in humans or in clinical diagnosis. Primary Antibodies are guaranteed for 1 year from date of receipt.

Customers Who Viewed This Item Also Viewed...

NBP2-44501
Species: Hu, Mu, Rt
Applications: Flow, ICC/IF, IF, IHC,  IHC-P
NBP2-34294
Species: Hu, Mu, Rt
Applications: Flow, IHC,  IHC-P
NBP2-22106
Species: Hu, Mu, Rt
Applications: IHC,  IHC-P, IP, WB
NBP1-80670
Species: Hu
Applications: IHC,  IHC-P, WB
AF3364
Species: Hu
Applications: ICC, IHC, WB
NBP3-27122
Species: Hu
Applications: ELISA, Flow, ICC/IF, IHC,  IHC-P, WB
AF482
Species: Mu
Applications: IHC, WB
NB100-1271
Species: Hu
Applications: IHC,  IHC-P, PEP-ELISA
MAB41051
Species: Hu, Mu
Applications: WB
MAB6534
Species: Hu
Applications: ELISA, WB
NBP1-47668
Species: Hu, Pm, Mu, Rt
Applications: Flow, ICC/IF, IHC,  IHC-P, IP, WB
NBP1-85351
Species: Hu, Mu, Rt
Applications: ICC/IF, IHC,  IHC-P, WB
NBP1-33581
Species: Hu, Mu, Rt
Applications: ELISA, ICC/IF, IHC,  IHC-P, WB
NBP2-33711
Species: Hu
Applications: IHC,  IHC-P
MAB3487
Species: Hu, Mu
Applications: Flow, ICC, IHC, mIF, Simple Western, WB
288-TPN/CF
Species: Hu
Applications: BA

Publications for PAX8 Antibody (NBP2-54539) (0)

There are no publications for PAX8 Antibody (NBP2-54539).
By submitting your publication information earn gift cards and discounts for future purchases.

Reviews for PAX8 Antibody (NBP2-54539) (0)

There are no reviews for PAX8 Antibody (NBP2-54539). By submitting a review you will receive an Amazon e-Gift Card or Novus Product Discount.
  • Review with no image -- $10/€7/£6/$10 CAD/¥70 Yuan/¥1110 Yen
  • Review with an image -- $25/€18/£15/$25 CAD/¥150 Yuan/¥2500 Yen

Product General Protocols

Find general support by application which include: protocols, troubleshooting, illustrated assays, videos and webinars.

Video Protocols

WB Video Protocol
ICC/IF Video Protocol

FAQs for PAX8 Antibody (NBP2-54539) (0)

There are no specific FAQs related to this product. Read our general customer & technical service FAQs.

Secondary Antibodies

 

Isotype Controls

Additional PAX8 Products

Research Areas for PAX8 Antibody (NBP2-54539)

Find related products by research area.

Blogs on PAX8

There are no specific blogs for PAX8, but you can read our latest blog posts.

Customers Who Bought This Also Bought

Contact Information

Product PDFs

Calculators

Concentration Calculator

The concentration calculator allows you to quickly calculate the volume, mass or concentration of your vial. Simply enter your mass, volume, or concentration values for your reagent and the calculator will determine the rest.

=
÷

Review this Product

Be the first to review our PAX8 Antibody (PAX8/1492) - Azide and BSA Free and receive a gift card or discount.

Bioinformatics

Gene Symbol PAX8