Pax5/BSAP Antibody (CL14550) - Azide and BSA Free

Images

 
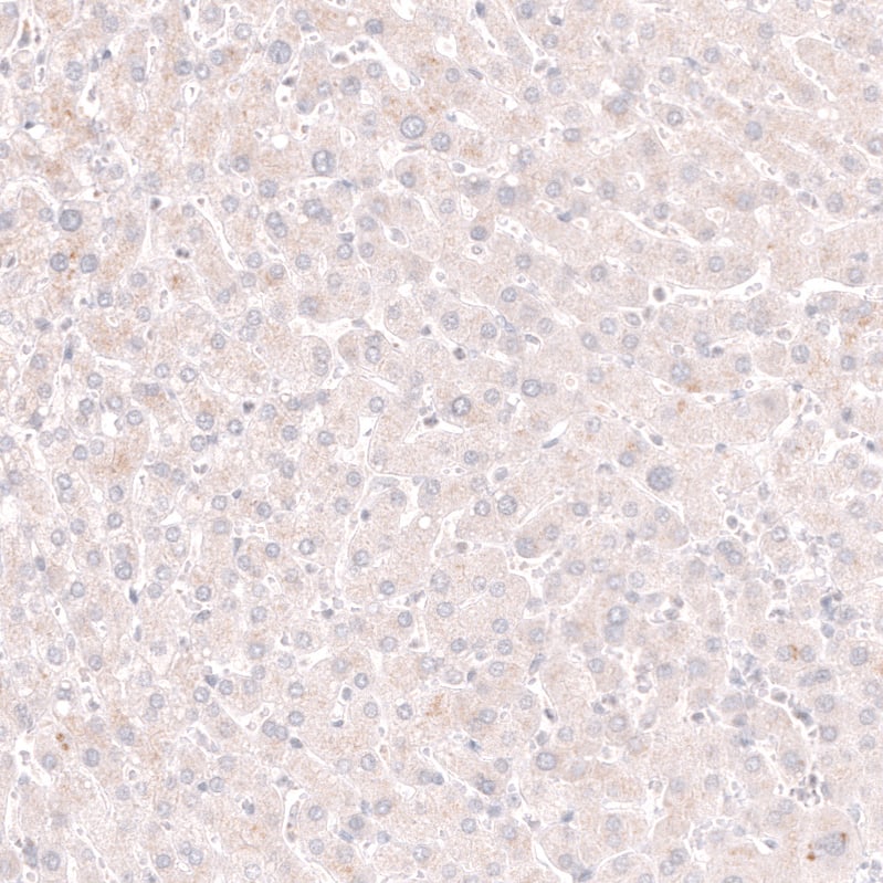
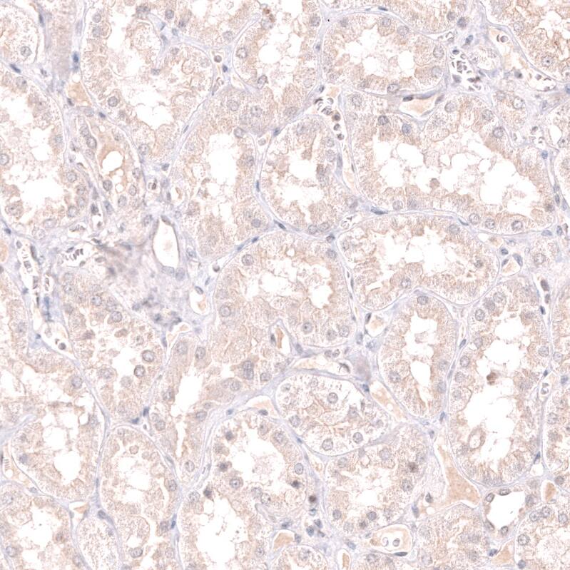
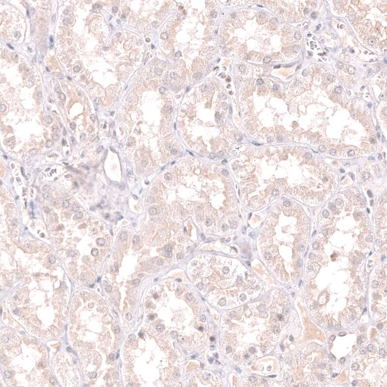
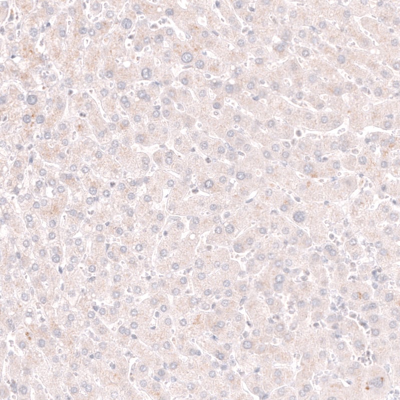
Orthogonal Strategies: Analysis in human lymph node and liver tissues using NBP3-44317 antibody. Corresponding Pax5/BSAP RNA-seq data are presented for the same tissues.
Staining of human liver shows no nuclear positivity in hepatocytes as expected.
Staining of human chronic lymphocytic leukemia shows moderate nuclear positivity in tumor cells.
Staining of human kidney shows no nuclear positivity in cells in tubules as expected.
Staining of human lymph node shows weak to moderate nuclear positivity in lymphoid cells.
Analysis in human cell line Daudi.

Product Details

Summary
Reactivity HuSpecies Glossary
Applications WB, IHC
Clone
CL14550
Clonality
Monoclonal
Host
Mouse
Conjugate
Unconjugated
Format
Azide and BSA Free
Concentration
LYOPH
Validated by:
       

Orthogonal Strategies

 

Order Details

Pax5/BSAP Antibody (CL14550) - Azide and BSA Free Summary

Description
Novus Biologicals Mouse Pax5/BSAP Antibody (CL14550) - Azide and BSA Free (NBP3-26865) is a monoclonal antibody validated for use in IHC and WB. All Novus Biologicals antibodies are covered by our 100% guarantee.
Immunogen
This antibody was generated using a synthetic peptide of Q02548, with the exact immunogen sequence remaining proprietary.
Isotype
IgG2a
Clonality
Monoclonal
Host
Mouse
Gene
PAX5
Purity
Protein A purified
Innovator's Reward
Test in a species/application not listed above to receive a full credit towards a future purchase.

Applications/Dilutions

Dilutions
  • Immunohistochemistry-Paraffin 1:50 - 1:200
  • Western Blot 1 ug/ml
Application Notes
For IHC-Paraffin, HIER pH 6 retrieval is recommended.

Packaging, Storage & Formulations

Storage
Store at 4C short term. Aliquot and store at -20C long term. Avoid freeze-thaw cycles.
Buffer
Lyophilized from a 0.2 um filtered solution in PBS with Trehalose
Preservative
No Preservative
Concentration
LYOPH
Purity
Protein A purified
Reconstitution Instructions
Centrifuge the vial of lyophilized antibody at 12,000 x g for 20 seconds. Reconstitute by adding sterile, distilled water to achieve a final antibody concentration of 1mg/ml.

Alternate Names for Pax5/BSAP Antibody (CL14550) - Azide and BSA Free

  • B cell specific activator protein
  • B-cell-specific transcription factor
  • BSAP
  • BSAPB-cell lineage specific activator
  • paired box 5
  • paired box gene 5 (B-cell lineage specific activator protein)
  • paired box gene 5 (B-cell lineage specific activator)
  • paired box homeotic gene 5
  • paired box protein Pax-5
  • Pax5
  • transcription factor PAX 5

Background

PAX5 encodes a member of the paired box (PAX) family of transcription factors. The central feature of this gene family is a novel, highly conserved DNA-binding motif, known as the paired box. PAX proteins are important regulators in early development, and alterations in the expression of their genes are thought to contribute to neoplastic transformation. This gene encodes the B-cell lineage specific activator protein that is expressed at early, but not late stages of B-cell differentiation. Its expression has also been detected in developing CNS and testis and so the encoded protein may also play a role in neural development and spermatogenesis. This gene is located at 9p13, which is involved in t(9;14)(p13;q32) translocations recurring in small lymphocytic lymphomas of the plasmacytoid subtype, and in derived large-cell lymphomas. This translocation brings the potent E-mu enhancer of the IgH gene into close proximity of the PAX5 promoter, suggesting that the deregulation of transcription of this gene contributes to the pathogenesis of these lymphomas. Alternatively spliced transcript variants encoding different isoforms have been described but their biological validity has not been determined. [provided by RefSeq]

Limitations

This product is for research use only and is not approved for use in humans or in clinical diagnosis. Primary Antibodies are guaranteed for 1 year from date of receipt.

Customers Who Viewed This Item Also Viewed...

AF5165
Species: Hu, Mu
Applications: WB
NBP2-25196
Species: Hu, Mu
Applications: CyTOF-ready, Flow, ICC/IF, In vitro, WB
NB600-235
Species: Hu, Mu, Po
Applications: ChIP, ELISA, Flow, ICC/IF, IHC, IHC-Fr,  IHC-P, IP, WB
MAB7650
Species: Mu
Applications: IHC, WB
NB100-64347
Species: Hu
Applications: Flow, IHC, IHC-Fr,  IHC-P
NBP2-54591
Species: Hu
Applications: CyTOF-ready, Flow, ICC/IF, IHC,  IHC-P, PA
NBP2-27163
Species: Bv, Ca, Eq, Hu, Mu, Pm
Applications: Flow, WB
NBP2-67309
Species: Hu, Rt
Applications: Flow, ICC/IF, IHC,  IHC-P, IP, WB
NBP2-59786
Species: Hu
Applications: ICC/IF, IHC,  IHC-P, Simple Western
MAB1419
Species: Hu, Rt
Applications: CyTOF-ready, ICC, IHC, ICFlow
207-IL
Species: Hu
Applications: BA
AF4984
Species: Hu
Applications: ChIP, CyTOF-ready, ICC, ICFlow, Simple Western, WB
NBP1-89953
Species: Hu, Mu
Applications: ICC/IF, IHC,  IHC-P
NB300-164
Species: Ca, Hu, Mu, Po, Pm, Rt(-)
Applications: Dual ISH-IHC, ICC/IF, IHC, IHC-Fr,  IHC-P, IP, KO, PLA, WB
NBP2-75734
Species: Hu
Applications: ELISA, IHC,  IHC-P, PA, WB
AF114
Species: Mu
Applications: CyTOF-ready, Flow, ICC, IHC, WB
NB100-524
Species: Hu, Mu
Applications: Flow-IC, Flow, ICC/IF, IHC, IHC-Fr,  IHC-P, IP, WB
7268-CT
Species: Hu
Applications: BA
NBP2-79843
Species: Hu
Applications: CyTOF-ready, ELISA, Flow, ICC/IF, IHC,  IHC-P, PA, WB
NBP3-44317
Species: Hu
Applications: WB, IHC

Publications for Pax5/BSAP Antibody (NBP3-44317) (0)

There are no publications for Pax5/BSAP Antibody (NBP3-44317).
By submitting your publication information earn gift cards and discounts for future purchases.

Reviews for Pax5/BSAP Antibody (NBP3-44317) (0)

There are no reviews for Pax5/BSAP Antibody (NBP3-44317). By submitting a review you will receive an Amazon e-Gift Card or Novus Product Discount.
  • Review with no image -- $10/€7/£6/$10 CAD/¥70 Yuan/¥1110 Yen
  • Review with an image -- $25/€18/£15/$25 CAD/¥150 Yuan/¥2500 Yen

Product General Protocols

Find general support by application which include: protocols, troubleshooting, illustrated assays, videos and webinars.

Video Protocols

WB Video Protocol

FAQs for Pax5/BSAP Antibody (NBP3-44317) (0)

There are no specific FAQs related to this product. Read our general customer & technical service FAQs.

Secondary Antibodies

 

Isotype Controls

Additional Pax5/BSAP Products

Research Areas for Pax5/BSAP Antibody (NBP3-44317)

Find related products by research area.

Blogs on Pax5/BSAP

There are no specific blogs for Pax5/BSAP, but you can read our latest blog posts.

Customers Who Bought This Also Bought

Contact Information

Product PDFs

Calculators

Concentration Calculator

The concentration calculator allows you to quickly calculate the volume, mass or concentration of your vial. Simply enter your mass, volume, or concentration values for your reagent and the calculator will determine the rest.

=
÷

Review this Product

Be the first to review our Pax5/BSAP Antibody (CL14550) - Azide and BSA Free and receive a gift card or discount.

Bioinformatics

Gene Symbol PAX5