p73 Antibody (5B1288) - Azide and BSA Free

Images

 
Western Blot: p73 Antibody (5B1288) - Azide Free [NBP2-33241] - Analysis of p73 in transfected cell lysate using this antibody. Image from the standard format of this antibody.
Immunocytochemistry: p73 Antibody (5B1288) - Azide Free [NBP2-33241] - Human breast cancer section using 10 ug/mL of p73 antibody (clone 5B1288) on a Bond Rx autostainer (Leica Biosystems). The assay involved 20 minutes ...read more
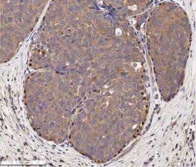
Immunohistochemistry-Paraffin: p73 Antibody (5B1288) - Azide Free [NBP2-33241] - Human breast cancer section using 10ug/mL of p73 antibody (clone 5B1288) on a Bond Rx autostainer (Leica Biosystems). The assay involved ...read more
Western Blot: p73 Antibody (5B1288) - Azide Free [NBP2-33241] - Analysis of p73 in HeLa cell lysate (Cat no. NBP2-25045) using this antibody at 1 ug/mL. Image from the standard format of this antibody.

Product Details

Summary
Reactivity Hu, MuSpecies Glossary
Applications WB, ChIP, ICC/IF, IHC, IP, ChIP
Clone
5B1288
Clonality
Monoclonal
Host
Mouse
Conjugate
Unconjugated
Format
Azide and BSA Free
Concentration
1.0 mg/ml

Order Details

p73 Antibody (5B1288) - Azide and BSA Free Summary

Description
Novus Biologicals Mouse p73 Antibody (5B1288) - Azide and BSA Free (NB100-56674) is a monoclonal antibody validated for use in IHC, WB, ICC/IF, IP and ChIP. All Novus Biologicals antibodies are covered by our 100% guarantee.
Immunogen
This antibody was raised against full-length human p73. The epitope is thought to lie around the center of the molecule (NP_005418).
Specificity
It reacts with alpha, beta, gamma and delta isoforms of mouse and human p73 as well as the dominant negative p73 (Costanzo, et al, 2002). Because of its reactivity pattern it may be regarded as anti-pan p73. NB100-56674 has been shown to recongize all the known alternative splicing variants of human and mouse p73 (Costanzo et al, 2002). The antibody does not cross react with p53.
Isotype
IgG1 Kappa
Clonality
Monoclonal
Host
Mouse
Gene
TP73
Purity
Protein G purified
Innovator's Reward
Test in a species/application not listed above to receive a full credit towards a future purchase.

Applications/Dilutions

Dilutions
  • Chromatin Immunoprecipitation (ChIP) 1:10-1:500
  • Chromatin Immunoprecipitation 1:10-1:500. Use reported in scientific literature (Accardi et al)
  • Immunocytochemistry/ Immunofluorescence 1:10-1:2000. Use reported in scientific literature (Sayan et al)
  • Immunohistochemistry-Paraffin
  • Immunoprecipitation 1:10-1:500. Use reported in scientific literature (Sayan et al)
  • Western Blot 1-3 ug/ml
Application Notes
Immunoprecipitation details can be found in Sayan et al (2005). The observed molecular weight of the protein may vary from the listed predicted molecular weight due to post translational modifications, post translation cleavages, relative charges, and other experimental factors.
Theoretical MW
73 kDa.
Disclaimer note: The observed molecular weight of the protein may vary from the listed predicted molecular weight due to post translational modifications, post translation cleavages, relative charges, and other experimental factors.

Packaging, Storage & Formulations

Storage
Store at -20C. Avoid freeze-thaw cycles.
Buffer
PBS
Preservative
No Preservative
Concentration
1.0 mg/ml
Purity
Protein G purified

Alternate Names for p73 Antibody (5B1288) - Azide and BSA Free

  • p53-related protein
  • P73p53-like transcription factor
  • TA p73
  • TAp73
  • tumor protein p73

Background

p73 is a transcription factor that shares a significant amino acid identity with p53 and p63 (1). p73 and p63 can both activate p53-responsive genes and induce apoptosis upon over expression (2) Unlike p53, p73 is not induced by DNA damage and is not a target for inactivation by viral oncoproteins (3). Similar to p63, p73 has an additional coding region in the C-terminus (not found in p53) that can undergo complex alternative splicing giving rise to 3 splice forms (alpha, beta, and gamma) (4). Activation of p73 requires the presence of functional c-Abl. It has also be found that mutant p53 can bind to and inactivate p73 (5).

Limitations

This product is for research use only and is not approved for use in humans or in clinical diagnosis. Primary Antibodies are guaranteed for 1 year from date of receipt.

Customers Who Viewed This Item Also Viewed...

NB200-103
Species: Hu, Mu, Rt, Xp(-), Ye
Applications: CyTOF-ready, ELISA, Flow-IC, Flow, ICC/IF, IHC, IHC-Fr,  IHC-P, IP, WB
AF1916
Species: Hu
Applications: ICC, IHC, WB
AF7355
Species: Hu
Applications: ICC, Simple Western, WB
NBP1-18885
Species: Hu
Applications: ICC/IF, IHC,  IHC-P, IP, KO, WB
NB100-355
Species: Bv, Ca, Ch, Hu, Mu, Po, Pm, Rt, Xp
Applications: CyTOF-ready, Flow, ICC/IF, IF, IHC, IHC-Fr,  IHC-P, IP, In vivo, KO, Simple Western, WB
NBP2-29463
Species: Pm, Hu, Pm, Mu
Applications: Flow, ICC/IF, IHC,  IHC-P, WB
NB200-106
Species: Mu, Rt
Applications: ELISA, ICC/IF, IHC, IHC-Fr,  IHC-P, WB
NBP2-46085
Species: Hu
Applications: IHC,  IHC-P, WB
H00027065-M01
Species: Hu, Rt
Applications: ELISA, ICC/IF, S-ELISA, WB
NB100-2736
Species: Hu, Mu, Rt
Applications: IHC, IHC-Fr,  IHC-P, IP, WB
NBP1-82454
Species: Hu, Mu
Applications: ICC/IF, IHC,  IHC-P, WB
NBP2-67899
Species: Hu, Mu, Rt
Applications: Flow, ICC/IF, IHC,  IHC-P, IP, WB
NBP1-28566
Species: Bv, Hu, Pm, Mu, Po, Rt
Applications: Func, IHC, IHC-Fr,  IHC-P, WB
NBP2-45603
Species: Hu, Mu, Rt
Applications: Flow, IHC,  IHC-P, WB
AF5414
Species: Hu
Applications: Simple Western, WB
MAB6495
Species: Hu
Applications: ICC, Simple Western, WB
NBP1-76639
Species: Hu, Rt
Applications: ELISA, ICC/IF, IHC,  IHC-P, WB
NB100-168
Species: Hu, Mu(-)
Applications: CyTOF-ready, Flow-IC, Flow, ICC/IF, IHC,  IHC-P, Simple Western, WB
AF6897
Species: Hu, Mu
Applications: IHC, Simple Western, WB
NBP2-33241
Species: Hu, Mu
Applications: WB, ChIP, ICC/IF, IHC, IP, ChIP
Supplier Logo

Publications for p73 Antibody (NBP2-33241) (0)

There are no publications for p73 Antibody (NBP2-33241).
By submitting your publication information earn gift cards and discounts for future purchases.

Reviews for p73 Antibody (NBP2-33241) (0)

There are no reviews for p73 Antibody (NBP2-33241). By submitting a review you will receive an Amazon e-Gift Card or Novus Product Discount.
  • Review with no image -- $10/€7/£6/$10 CAD/¥70 Yuan/¥1110 Yen
  • Review with an image -- $25/€18/£15/$25 CAD/¥150 Yuan/¥2500 Yen

Product General Protocols

Video Protocols

WB Video Protocol
ChIP Video Protocol
ChIP Webinar
ICC/IF Video Protocol

FAQs for p73 Antibody (NBP2-33241) (0)

There are no specific FAQs related to this product. Read our general customer & technical service FAQs.

Secondary Antibodies

 

Isotype Controls

Additional p73 Products

Research Areas for p73 Antibody (NBP2-33241)

Find related products by research area.

Blogs on p73.

p73: An Important Tumor Suppressor Cousin of p53
p73 has been identified as a long-lost cousin of the p53 tumor suppressor protein. It has high homology with both p53 and with p63, a gene implicated in the maintenance of epithelial stem cells. The presence of significant homology between the DNA-bin...  Read full blog post.

Customers Who Bought This Also Bought

Contact Information

Product PDFs

Calculators

Concentration Calculator

The concentration calculator allows you to quickly calculate the volume, mass or concentration of your vial. Simply enter your mass, volume, or concentration values for your reagent and the calculator will determine the rest.

=
÷

Review this Product

Be the first to review our p73 Antibody (5B1288) - Azide and BSA Free and receive a gift card or discount.

Bioinformatics

Gene Symbol TP73