p53 DINP1 Antibody (JG37-64)

Images

 
Western Blot: p53 DINP1 Antibody (JG37-64) [NBP2-76860] - Western blot analysis of p53DINP1 on different cell lysates using anti-p53DINP1 at 1/500 dilution.Positive control:Line 1: SH-SY-5YLine 2: HepG2Line 3: Mouse ...read more
Immunocytochemistry/ Immunofluorescence: p53 DINP1 Antibody (JG37-64) [NBP2-76860] - ICC staining p53DINP1 in HUVEC cells (green). The nuclear counter stain is DAPI (blue). Cells were fixed in paraformaldehyde, ...read more
Immunohistochemistry: p53 DINP1 Antibody (JG37-64) [NBP2-76860] - Immunohistochemical analysis of paraffin-embedded human pancreas tissue using anti-p53DINP1 antibody. Counter stained with hematoxylin.
Immunocytochemistry/ Immunofluorescence: p53 DINP1 Antibody (JG37-64) [NBP2-76860] - ICC staining p53DINP1 in HepG2 cells (green). The nuclear counter stain is DAPI (blue). Cells were fixed in paraformaldehyde, ...read more
Immunohistochemistry: p53 DINP1 Antibody (JG37-64) [NBP2-76860] - Immunohistochemical analysis of paraffin-embedded huamn liver cancer tissue using anti-p53DINP1 antibody. Counter stained with hematoxylin.
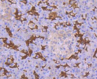
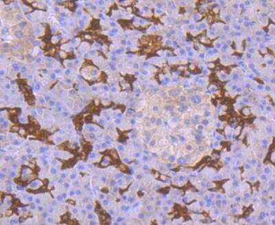
Immunohistochemistry: p53 DINP1 Antibody (JG37-64) [NBP2-76860] - Immunohistochemical analysis of paraffin-embedded human kidney tissue using anti-p53DINP1 antibody. Counter stained with hematoxylin.

Product Details

Summary
Product Discontinued
View other related p53 DINP1 Primary Antibodies

Order Details


    • Catalog Number
      NBP2-76860
    • Availability
      Product Discontinued

    Can't find what you are looking for? Use our Antibody Concierge Service & we will help you locate your antibody!

    Or feel free to contact us for alternative products.

p53 DINP1 Antibody (JG37-64) Summary

Additional Information
Recombinant Monoclonal Antibody.
Immunogen
Recombinant protein within Human p53 DINP1 aa 80-188 / 240. (SwissProt: Q96A56 Human; SwissProt: Q9QXE4 Mouse; SwissProt: Q80YE2 Rat)
Localization
Cytosol. Nucleus.
Isotype
IgG
Clonality
Monoclonal
Host
Rabbit
Gene
TP53INP1
Purity
Protein A purified
Innovator's Reward
Test in a species/application not listed above to receive a full credit towards a future purchase.

Applications/Dilutions

Dilutions
  • Immunocytochemistry/ Immunofluorescence 1:50-1:200
  • Immunohistochemistry
  • Immunohistochemistry-Paraffin 1:50-1:200
  • Western Blot 1:500-1:1000
Theoretical MW
27 kDa.
Disclaimer note: The observed molecular weight of the protein may vary from the listed predicted molecular weight due to post translational modifications, post translation cleavages, relative charges, and other experimental factors.

Packaging, Storage & Formulations

Storage
Store at 4C short term. Aliquot and store at -20C long term. Avoid freeze-thaw cycles.
Buffer
TBS (pH7.4), 0.05% BSA, 40% Glycerol
Preservative
0.05% Sodium Azide
Concentration
1 mg/ml
Purity
Protein A purified

Alternate Names for p53 DINP1 Antibody (JG37-64)

  • DKFZp434M1317
  • FLJ22139
  • p53DINP1
  • P53DINP1p53-dependent damage-inducible nuclear protein 1
  • p53-inducible p53DINP1
  • SIPStress-induced protein
  • Teap
  • TP53DINP1
  • TP53INP1A
  • TP53INP1B
  • tumor protein p53 inducible nuclear protein 1
  • tumor protein p53-inducible nuclear protein 1

Background

Apoptosis is related to many diseases and development. The p53 tumor-suppressor protein induces apoptosis through transcriptional activation of several genes. A novel p53 inducible gene was identified recently and designated p53DINP1 (for p53-dependent damage-inducible nuclear protein and SIP (for stress induced protein) in human and mouse. A p53DINP1 antisense oligonucleotide inhibits and overexpression of p53DINP1 enhances Ser46 phosphorylation of p53, induction of p53AIP1, and cell death induced by DNA double-strand breaks. p53DINP1 may regulate p53-dependent apoptosis through phosphorylation at Ser46 and induction of p53AIP1. The p53DINP1/SIP gene encodes two proteins of 27 and 18 kDa in human and mouse termed p53DINP1-a and p53DINP1-b or SIP27 and SIP18. p53DINP1/SIP is expressed in many tissues and induced by a variety of stress agents including UV stress, mutagenic stress, heat shock, and oxidative stress.

Limitations

This product is for research use only and is not approved for use in humans or in clinical diagnosis. Primary Antibodies are guaranteed for 1 year from date of receipt.

Customers Who Viewed This Item Also Viewed...

NB200-103
Species: Hu, Mu, Rt, Xp(-), Ye
Applications: CyTOF-ready, ELISA, Flow-IC, Flow, ICC/IF, IHC, IHC-Fr,  IHC-P, IP, WB
NBP1-87104
Species: Hu, Mu, Rt
Applications: ICC/IF, IHC,  IHC-P, WB
NBP1-98280
Species: Hu
Applications: WB
NBP2-29463
Species: Pm, Hu, Pm, Mu
Applications: Flow, ICC/IF, IHC,  IHC-P, WB
NBP1-91258
Species: Bv, Ca, Eq, Fe, Hu, Mu, Po, Rt
Applications: ICC/IF, IHC, IHC-Fr,  IHC-P, Simple Western, WB
NBP1-81696
Species: Hu, Mu, Rt
Applications: ICC/IF, IHC,  IHC-P, WB
NBP2-22203
Species: Hu, Pm, Mu, Rt
Applications: ELISA, Flow, ICC/IF, IHC,  IHC-P, WB
NBP1-89388
Species: Hu, Mu, Rt
Applications: ICC/IF, IHC,  IHC-P, Simple Western, WB
NBP2-24915
Species: Bv, Hu, Mu, Rt
Applications: IHC,  IHC-P, WB
AF1329
Species: Hu, Mu, Rt
Applications: ChIP, CyTOF-ready, ICC, IHC, ICFlow, Simple Western, WB
NBP1-82991
Species: Hu, Mu
Applications: ChIP-EXO-SEQ, Flow, ICC/IF, IHC,  IHC-P, KD, WB
AF1230
Species: Hu, Mu, Rt
Applications: IHC, KO, WB
MEP00B
Species: Mu
Applications: ELISA
NBP3-05161
Species: Hu, Mu
Applications: ELISA, ICC/IF, IHC,  IHC-P, WB
MAB1417
Species: Bv, Hu, Mu
Applications: ICC, IHC
NB200-541
Species: Mu
Applications: IA, ICC/IF, IHC, IHC-Fr, IP, WB
NBP2-20380
Species: Hu, Mu
Applications: IHC,  IHC-P, WB
AF1436
Species: Mu
Applications: WB

Publications for p53 DINP1 Antibody (NBP2-76860) (0)

There are no publications for p53 DINP1 Antibody (NBP2-76860).
By submitting your publication information earn gift cards and discounts for future purchases.

Reviews for p53 DINP1 Antibody (NBP2-76860) (0)

There are no reviews for p53 DINP1 Antibody (NBP2-76860). By submitting a review you will receive an Amazon e-Gift Card or Novus Product Discount.
  • Review with no image -- $10/€7/£6/$10 CAD/¥70 Yuan/¥1110 Yen
  • Review with an image -- $25/€18/£15/$25 CAD/¥150 Yuan/¥2500 Yen

Product General Protocols

Find general support by application which include: protocols, troubleshooting, illustrated assays, videos and webinars.

Video Protocols

WB Video Protocol
ICC/IF Video Protocol

FAQs for p53 DINP1 Antibody (NBP2-76860) (0)

There are no specific FAQs related to this product. Read our general customer & technical service FAQs.

Secondary Antibodies

 

Isotype Controls

Additional p53 DINP1 Products

Research Areas for p53 DINP1 Antibody (NBP2-76860)

Find related products by research area.

Blogs on p53 DINP1

There are no specific blogs for p53 DINP1, but you can read our latest blog posts.

Contact Information

Product PDFs

Calculators

Concentration Calculator

The concentration calculator allows you to quickly calculate the volume, mass or concentration of your vial. Simply enter your mass, volume, or concentration values for your reagent and the calculator will determine the rest.

=
÷

Review this Product

Be the first to review our p53 DINP1 Antibody (JG37-64) and receive a gift card or discount.

Bioinformatics

Gene Symbol TP53INP1