p38 alpha Antibody (JF55-07)

Images

 
Western Blot: p38 alpha Antibody (JF55-07) [NBP2-67006] - Analysis of p38 on LOVO cell lysates with Rabbit anti-p38 antibody at 1/500 dilution. Lysates/proteins at 10 ug/Lane. Predicted band size: 41 kDa Observed band ...read more
Immunocytochemistry/ Immunofluorescence: p38 alpha Antibody (JF55-07) [NBP2-67006] - Staining p38 MAPK in NIH/3T3 cells (red). The nuclear counter stain is DAPI (blue). Cells were fixed in paraformaldehyde, ...read more
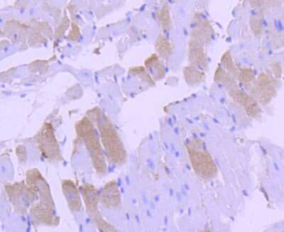
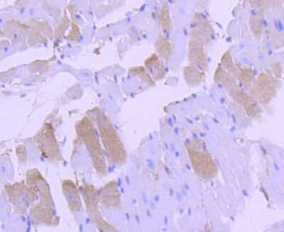
Immunohistochemistry-Paraffin: p38 alpha Antibody (JF55-07) [NBP2-67006] - Analysis of paraffin-embedded mouse heart tissue with Rabbit anti-p38 alpha antibody washed with ddH2O and PBS, and then probed with the primary ...read more
Western Blot: p38 alpha Antibody (JF55-07) [NBP2-67006] - Analysis of p38 MAPK on different lysates using anti-p38 MAPK antibody at 1/1,000 dilution. Positive control: Lane 1: NIH/3T3 Lane 2: Human brain Lane 3: 293
Western Blot: p38 alpha Antibody (JF55-07) [NBP2-67006] - Western blot analysis of p38 alpha on different lysates. Proteins were transferred to a PVDF membrane and blocked with 5% BSA in PBS for 1 hour at room ...read more
Immunocytochemistry/ Immunofluorescence: p38 alpha Antibody (JF55-07) [NBP2-67006] - Staining p38 MAPK in 293T cells (red). The nuclear counter stain is DAPI (blue). Cells were fixed in paraformaldehyde, permeabilised ...read more
Immunocytochemistry/ Immunofluorescence: p38 alpha Antibody (JF55-07) [NBP2-67006] - Staining p38 MAPK in Hela cells (red). The nuclear counter stain is DAPI (blue). Cells were fixed in paraformaldehyde, permeabilised ...read more
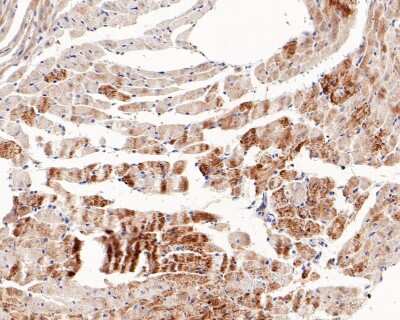
Immunohistochemistry-Paraffin: p38 alpha Antibody (JF55-07) [NBP2-67006] - Analysis of paraffin-embedded mouse heart tissue using anti-p38 MAPK antibody. Counter stained with hematoxylin.

Product Details

Summary
Product Discontinued
View other related p38 alpha Primary Antibodies

Order Details


    • Catalog Number
      NBP2-67006
    • Availability
      Product Discontinued

    Can't find what you are looking for? Use our Antibody Concierge Service & we will help you locate your antibody!

    Or feel free to contact us for alternative products.

p38 alpha Antibody (JF55-07) Summary

Additional Information
Recombinant Monoclonal Antibody.
Immunogen
Synthetic peptide within C-terminal human p38 alpha. (SwissProt: Q16539 Human; SwissProt: P47811 Mouse; SwissProt: P70618 Rat)
Localization
Nucleus, Cytoplasm.
Isotype
IgG
Clonality
Monoclonal
Host
Rabbit
Gene
MAPK14
Purity
Protein A purified
Innovator's Reward
Test in a species/application not listed above to receive a full credit towards a future purchase.

Applications/Dilutions

Dilutions
  • Immunocytochemistry/ Immunofluorescence 1:50-1:200
  • Immunohistochemistry
  • Immunohistochemistry-Paraffin 1:50-1:200
  • Western Blot 1:1000-1:2000

Packaging, Storage & Formulations

Storage
Store at 4C short term. Aliquot and store at -20C long term. Avoid freeze-thaw cycles.
Buffer
TBS (pH7.4), 0.05% BSA, 40% Glycerol
Preservative
0.05% Sodium Azide
Concentration
1 mg/ml
Purity
Protein A purified

Alternate Names for p38 alpha Antibody (JF55-07)

  • CSBP;CSBP1;CSBP2;CSPB1;EXIP;MAPK14;Mitogen-activated protein kinase;Mitogen-activated protein kinase 14;Mxi2;p38;p38ALPHA;PRKM14;PRKM15;RK;SAPK2A
  • MAPK14
  • p38 alpha
  • SAPK2a

Limitations

This product is for research use only and is not approved for use in humans or in clinical diagnosis. Primary Antibodies are guaranteed for 1 year from date of receipt.

Customers Who Viewed This Item Also Viewed...

AF1230
Species: Hu, Mu, Rt
Applications: IHC, KO, WB
MAB17761
Species: Hu, Mu, Rt
Applications: ICC, WB
NBP2-22203
Species: Hu, Pm, Mu, Rt
Applications: ELISA, Flow, ICC/IF, IHC,  IHC-P, WB
NBP2-13304
Species: Hu
Applications: ICC/IF, IHC,  IHC-P, WB
AF467
Species: Hu, Mu
Applications: CyTOF-ready, Flow, ICC, IHC, Simple Western, WB
MAB8930
Species: Hu
Applications: ICC, Simple Western, WB
AF887
Species: Hu, Mu, Rt
Applications: CyTOF-ready, IHC, ICFlow, Simple Western, WB
NB100-56583
Species: Hu, Rb, Rt
Applications: Flow, IHC,  IHC-P, KO, Simple Western, WB
M6000B
Species: Mu
Applications: ELISA
AF1347
Species: Hu, Mu, Rt
Applications: ICC, IHC, Simple Western, WB
NBP2-50037
Species: Hu, Mu, Rt
Applications: ICC/IF, IHC, KO, WB
H00005706-M02
Species: Hu, Mu, Rt
Applications: ELISA, ICC/IF, KD, WB
NBP1-47839
Species: Ca, Hu, Mu, Rt
Applications: Flow, ICC/IF, IHC,  IHC-P, IP, WB
MAB1846
Species: Hu, Mu, Rt
Applications: ICC, KO, WB
NBP1-47833
Species: Hu, Mu, Rt
Applications: ICC/IF, IHC,  IHC-P, WB
AF2214
Species: Hu
Applications: ICC, IHC, WB
NBP3-16602
Species: Hu, Mu, Rt
Applications: IHC,  IHC-P, IP, WB
NBP2-67006
Species: Hu, Mu, Rt
Applications: WB, ICC/IF, IHC

Publications for p38 Antibody (NBP2-67006) (0)

There are no publications for p38 Antibody (NBP2-67006).
By submitting your publication information earn gift cards and discounts for future purchases.

Reviews for p38 Antibody (NBP2-67006) (0)

There are no reviews for p38 Antibody (NBP2-67006). By submitting a review you will receive an Amazon e-Gift Card or Novus Product Discount.
  • Review with no image -- $10/€7/£6/$10 CAD/¥70 Yuan/¥1110 Yen
  • Review with an image -- $25/€18/£15/$25 CAD/¥150 Yuan/¥2500 Yen

Product General Protocols

Find general support by application which include: protocols, troubleshooting, illustrated assays, videos and webinars.

Video Protocols

WB Video Protocol
ICC/IF Video Protocol

FAQs for p38 Antibody (NBP2-67006) (0)

There are no specific FAQs related to this product. Read our general customer & technical service FAQs.

Contact Information

Product PDFs

Calculators

Concentration Calculator

The concentration calculator allows you to quickly calculate the volume, mass or concentration of your vial. Simply enter your mass, volume, or concentration values for your reagent and the calculator will determine the rest.

=
÷

Review this Product

Be the first to review our p38 alpha Antibody (JF55-07) and receive a gift card or discount.

Bioinformatics

Gene Symbol MAPK14