p38 alpha Antibody (9-B9)

Images

 
Western Blot: p38 alpha Antibody (9-B9) [NBP2-67002] - Analysis of MAPK14 on different cell lysates using anti-MAPK14 antibody at 1/500 dilution. Positive control: Lane 1: A431 Lane 2: HepG2 Lane 3: Hela Lane 4: NIH/3T3 ...read more
Immunocytochemistry/ Immunofluorescence: p38 alpha Antibody (9-B9) [NBP2-67002] - Staining of MAPK14 in Hela cells (red). Cells were fixed in paraformaldehyde, permeabilised with 0.25% Triton X100/PBS.
Immunohistochemistry-Paraffin: p38 alpha Antibody (9-B9) [NBP2-67002] - Analysis of paraffin-embedded mouse stomach tissue using anti-MAPK14 antibody. Counter stained with hematoxylin.
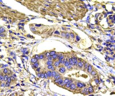
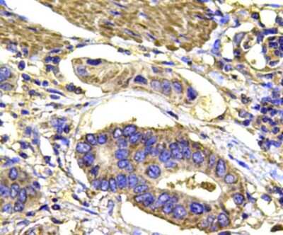
Immunohistochemistry-Paraffin: p38 alpha Antibody (9-B9) [NBP2-67002] - Analysis of paraffin-embedded human colon carcinoma tissue using anti-MAPK14 antibody. Counter stained with hematoxylin.
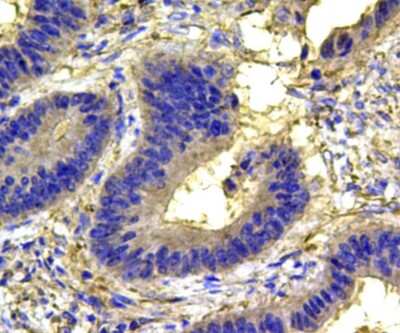
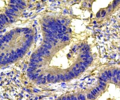
Immunohistochemistry-Paraffin: p38 alpha Antibody (9-B9) [NBP2-67002] - Analysis of paraffin-embedded human stomach carcinoma tissue using anti-MAPK14 antibody. Counter stained with hematoxylin.

Product Details

Summary
Product Discontinued
View other related p38 alpha Primary Antibodies

Order Details


    • Catalog Number
      NBP2-67002
    • Availability
      Product Discontinued

    Can't find what you are looking for? Use our Antibody Concierge Service & we will help you locate your antibody!

    Or feel free to contact us for alternative products.

p38 alpha Antibody (9-B9) Summary

Immunogen
Synthetic peptide within Human p38 alpha aa 1-50 / 360. (SwissProt: Q16539 Human)
Localization
Cytoplasm, nucleus
Isotype
IgG2a
Clonality
Monoclonal
Host
Mouse
Gene
MAPK14
Purity
Protein A purified
Innovator's Reward
Test in a species/application not listed above to receive a full credit towards a future purchase.

Applications/Dilutions

Dilutions
  • Immunocytochemistry/ Immunofluorescence 1:100-1:200
  • Immunohistochemistry
  • Immunohistochemistry-Paraffin 1:100-1:200
  • Western Blot 1:500

Reactivity Notes

Mouse blocking reagent may be needed for IHC and ICC experiments to reduce high background signal. You can find these reagents under catalog numbers PK-2200-NB and MP-2400-NB. Please contact Technical Support if you have any. Please note that this antibody is reactive to Mouse and derived from the same host, Mouse. Mouse-On-questions.

Packaging, Storage & Formulations

Storage
Store at 4C short term. Aliquot and store at -20C long term. Avoid freeze-thaw cycles.
Buffer
PBS (pH7.4), 0.2% BSA, 40% Glycerol
Preservative
0.05% Sodium Azide
Concentration
2 mg/ml
Purity
Protein A purified

Alternate Names for p38 alpha Antibody (9-B9)

  • CSBP;CSBP1;CSBP2;CSPB1;EXIP;MAPK14;Mitogen-activated protein kinase;Mitogen-activated protein kinase 14;Mxi2;p38;p38ALPHA;PRKM14;PRKM15;RK;SAPK2A
  • MAPK14
  • p38 alpha
  • SAPK2a

Limitations

This product is for research use only and is not approved for use in humans or in clinical diagnosis. Primary Antibodies are guaranteed for 1 year from date of receipt.

Customers Who Viewed This Item Also Viewed...

AF1230
Species: Hu, Mu, Rt
Applications: IHC, KO, WB
MAB17761
Species: Hu, Mu, Rt
Applications: ICC, WB
DYC1825-2
Species: Hu, Mu, Rt
Applications: ELISA
NBP2-13304
Species: Hu
Applications: ICC/IF, IHC,  IHC-P, WB
AF467
Species: Hu, Mu
Applications: CyTOF-ready, Flow, ICC, IHC, Simple Western, WB
NBP2-67471
Species: Hu, Mu, Rt
Applications: ICC/IF, IHC,  IHC-P, WB
AF887
Species: Hu, Mu, Rt
Applications: CyTOF-ready, IHC, ICFlow, Simple Western, WB
NB100-56583
Species: Hu, Rb, Rt
Applications: Flow, IHC,  IHC-P, KO, Simple Western, WB
M6000B
Species: Mu
Applications: ELISA
AF1347
Species: Hu, Mu, Rt
Applications: ICC, IHC, Simple Western, WB
NBP2-50037
Species: Hu, Mu, Rt
Applications: ICC/IF, IHC, KO, WB
H00005706-M02
Species: Hu, Mu, Rt
Applications: ELISA, ICC/IF, KD, WB
NBP1-47839
Species: Ca, Hu, Mu, Rt
Applications: Flow, ICC/IF, IHC,  IHC-P, IP, WB
MAB1846
Species: Hu, Mu, Rt
Applications: ICC, KO, WB
NBP1-47833
Species: Hu, Mu, Rt
Applications: ICC/IF, IHC,  IHC-P, WB
AF2214
Species: Hu
Applications: ICC, IHC, WB
NBP3-16602
Species: Hu, Mu, Rt
Applications: IHC,  IHC-P, IP, WB
NBP2-67002
Species: Hu, Mu
Applications: WB, ICC/IF, IHC

Publications for p38 Antibody (NBP2-67002) (0)

There are no publications for p38 Antibody (NBP2-67002).
By submitting your publication information earn gift cards and discounts for future purchases.

Reviews for p38 Antibody (NBP2-67002) (0)

There are no reviews for p38 Antibody (NBP2-67002). By submitting a review you will receive an Amazon e-Gift Card or Novus Product Discount.
  • Review with no image -- $10/€7/£6/$10 CAD/¥70 Yuan/¥1110 Yen
  • Review with an image -- $25/€18/£15/$25 CAD/¥150 Yuan/¥2500 Yen

Product General Protocols

Find general support by application which include: protocols, troubleshooting, illustrated assays, videos and webinars.

Video Protocols

WB Video Protocol
ICC/IF Video Protocol

FAQs for p38 Antibody (NBP2-67002) (0)

There are no specific FAQs related to this product. Read our general customer & technical service FAQs.

Contact Information

Product PDFs

Calculators

Concentration Calculator

The concentration calculator allows you to quickly calculate the volume, mass or concentration of your vial. Simply enter your mass, volume, or concentration values for your reagent and the calculator will determine the rest.

=
÷

Review this Product

Be the first to review our p38 alpha Antibody (9-B9) and receive a gift card or discount.

Bioinformatics

Gene Symbol MAPK14