p27/Kip1 Antibody (KIP1/9168R) - Azide and BSA Free

Images

 
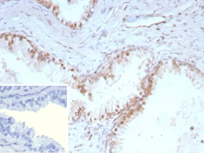
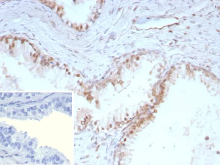
Immunohistochemistry-Paraffin: p27/Kip1 Antibody (KIP1/9168R) - Azide and BSA Free [NBP3-24282] - IHC analysis of formalin-fixed, paraffin-embedded human prostate. Strong nuclear staining using p27/Kip1 Antibody ...read more

Product Details

Summary
Reactivity HuSpecies Glossary
Applications IHC
Clone
KIP1/9168R
Clonality
Monoclonal
Host
Rabbit
Conjugate
Unconjugated
Format
Azide and BSA Free
Concentration
1 mg/ml

Order Details

p27/Kip1 Antibody (KIP1/9168R) - Azide and BSA Free Summary

Description
Antibody without azide - store at -20 to -80C.
Additional Information
Recombinant Monoclonal Antibody
Immunogen
Recombinant full-length human p27/Kip1 protein
Localization
Nucleus.
Specificity
This monoclonal antibody recognizes a 27kDa protein, identified as the p27Kip1, a cell cycle regulatory mitotic inhibitor. It is highly specific and shows no cross-reaction with other related mitotic inhibitors. In Western blotting of cell lysates from 7 human breast cancer cell lines (ZR75-1, ZR75-30, MCF-7, MDAMB453, T47D, CAL51, 734B), the antibody labels a single band corresponding to p27Kip1. It functions as a negative regulator of G1 progression and has been proposed to function as a possible mediator of TGF-i induced G1 arrest.
Isotype
IgG Kappa
Clonality
Monoclonal
Host
Rabbit
Gene
CDKN1B
Purity
Protein A purified
Innovator's Reward
Test in a species/application not listed above to receive a full credit towards a future purchase.

Applications/Dilutions

Dilutions
  • Immunohistochemistry-Paraffin 1-2ug/ml
Application Notes
Immunohistochemistry-Paraffin: 1-2ug/ml for 30 minutes at RT. Staining of formalin-fixed tissues requires heating tissue sections in 10mM Tris with 1mM EDTA, pH 9.0, for 45 min at 95C followed by cooling at RT for 20 minutes. Optimal dilution for a specific application should be determined.

Packaging, Storage & Formulations

Storage
Store at -20 to -80C. Avoid freeze-thaw cycles.
Buffer
10mM PBS
Preservative
No Preservative
Concentration
1 mg/ml
Purity
Protein A purified

Alternate Names for p27/Kip1 Antibody (KIP1/9168R) - Azide and BSA Free

  • CDKN1B
  • CDKN4
  • cyclin-dependent kinase inhibitor 1B (p27, Kip1)
  • cyclin-dependent kinase inhibitor 1B
  • Cyclin-dependent kinase inhibitor p27
  • Kip1
  • KIP1P27KIP1
  • MEN1B
  • MEN4
  • p27
  • p27Kip1

Background

p27(Kip1) is a cyclin-dependent kinase inhibitor involved in G1 arrest. p27(Kip1) binds to and inhibits cyclinE-Cdk2 complex, cyclinA-CDK2 and cyclinD1-CDK4 (1). p27(Kip1) is regulated by phosphorylation on serine 10 (S10) and threonine 187 (T187). Phosphorylation by CDK2 on T187 results in ubiquitylation and degradation of p27(Kip1) (2); while phosphorylation by hKIS on S10 signals the nuclear export to the cytoplasm (3).

Limitations

This product is for research use only and is not approved for use in humans or in clinical diagnosis. Primary Antibodies are guaranteed for 1 year from date of receipt.

Customers Who Viewed This Item Also Viewed...

NBP2-29463
Species: Pm, Hu, Pm, Mu
Applications: Flow, ICC/IF, IHC,  IHC-P, WB
NBP1-90949
Species: Hu
Applications: IHC,  IHC-P, WB
NBP1-80616
Species: Hu, Mu, Rt
Applications: IHC,  IHC-P, WB
NBP2-03198
Species: Hu
Applications: Flow, ICC/IF, IHC,  IHC-P, WB
NBP3-26876
Species: Hu
Applications: IHC,  IHC-P
NBP2-47561
Species: Hu
Applications: ICC/IF, IHC,  IHC-P, WB
NBP2-00776
Species: Ca, Hu, Pm, Mu, Rt
Applications: Flow, ICC/IF, IHC,  IHC-P, WB
NBP2-46085
Species: Hu
Applications: IHC,  IHC-P, WB
H00027065-M01
Species: Hu, Rt
Applications: ELISA, ICC/IF, S-ELISA, WB
AF6897
Species: Hu, Mu
Applications: IHC, Simple Western, WB
NBP2-68858
Species: Hu
Applications: IHC,  IHC-P
NB200-106
Species: Mu, Rt
Applications: ELISA, ICC/IF, IHC, IHC-Fr,  IHC-P, WB
NBP1-31308
Species: Bv, Hu, Mu, Rt
Applications: ICC/IF, IHC,  IHC-P, Simple Western, WB
NBP2-32840
Species: Hu, Pm, Mu, Rt
Applications: Flow, ICC/IF, IHC,  IHC-P, WB
AF887
Species: Hu, Mu, Rt
Applications: CyTOF-ready, IHC, ICFlow, Simple Western, WB
NB200-103
Species: Hu, Mu, Rt, Xp(-), Ye
Applications: CyTOF-ready, ELISA, Flow-IC, Flow, ICC/IF, IHC, IHC-Fr,  IHC-P, IP, WB
NB500-106
Species: Ch, Dr, Fi, Hu, Mar, Mu, Po, Pm, Rb, Rt, Ye, Ze
Applications: ChIP, ChIP, ELISA, Flow, ICC/IF, IHC-FrFl, IHC, IHC-Fr,  IHC-P, IP, Simple Western, WB
MAB6495
Species: Hu
Applications: ICC, Simple Western, WB

Publications for p27/Kip1 Antibody (NBP3-24282) (0)

There are no publications for p27/Kip1 Antibody (NBP3-24282).
By submitting your publication information earn gift cards and discounts for future purchases.

Reviews for p27/Kip1 Antibody (NBP3-24282) (0)

There are no reviews for p27/Kip1 Antibody (NBP3-24282). By submitting a review you will receive an Amazon e-Gift Card or Novus Product Discount.
  • Review with no image -- $10/€7/£6/$10 CAD/¥70 Yuan/¥1110 Yen
  • Review with an image -- $25/€18/£15/$25 CAD/¥150 Yuan/¥2500 Yen

Product General Protocols

Find general support by application which include: protocols, troubleshooting, illustrated assays, videos and webinars.

FAQs for p27/Kip1 Antibody (NBP3-24282) (0)

There are no specific FAQs related to this product. Read our general customer & technical service FAQs.

Customers Who Bought This Also Bought

Contact Information

Product PDFs

Calculators

Concentration Calculator

The concentration calculator allows you to quickly calculate the volume, mass or concentration of your vial. Simply enter your mass, volume, or concentration values for your reagent and the calculator will determine the rest.

=
÷

Review this Product

Be the first to review our p27/Kip1 Antibody (KIP1/9168R) - Azide and BSA Free and receive a gift card or discount.

Bioinformatics

Gene Symbol CDKN1B